| Radiographic classification of osteoarthritis |
|---|
| Medical diagnostics |
| Purpose | Quantify the degree of osteoarthritis |
|---|
| Based on | Medical imaging |
|---|
Radiographic systems to classify osteoarthritis vary by which joint is being investigated. In osteoarthritis, the choice of treatment is based on pain and decreased function, but radiography can be useful before surgery in order to prepare for the procedure.
Vertebral column
There are many grading systems for degeneration of intervertebral discs and facet joints in the cervical and lumbar vertebrae, of which the following radiographic systems can be recommended in terms of interobserver reliability:[1]
- Kellgren grading of cervical disc degeneration
- Kellgren grading of cervical facet joint degeneration
- Lane grading of lumbar disc degeneration
- Thompson grading of lumbar disc degeneration (by magnetic resonance imaging)
- Pathria grading of lumbar facet joint degeneration (by computed tomography)
- Weishaupt grading of lumbar facet joint degeneration (by MRI and computed tomography)
Kellgren grading of cervical disc degeneration[2]
| I
|
- Minimal anterior osteophytosis
|
| II
|
- Definite anterior osteophytosis
- Possible disc space narrowing
- Some endplate sclerosis
|
| III
|
- Moderate disc space narrowing
- Definite endplate sclerosis
- Osteophytosis
|
| IV
|
- Severe disc space narrowing
- Endplate sclerosis
- Multiple large osteophytes.
|
Lane grading of lumbar disc degeneration[1]
| Grade |
Joint space narrowing |
Osteophytes |
Sclerosis
|
| 0
|
None |
None |
None
|
| 1
|
Definite but mild narrowing |
Small |
Present
|
| 2
|
Moderate |
Moderate |
–
|
| 3
|
Severe (complete joint space loss) |
Large |
–
|
The Thomson grading system is regarded to have more academic than clinical value.[1]
Thomson grading of lumbar disc degeneration[1]
| Grade |
Nucleus |
Anulus |
Endplate |
Vertebral body
|
| I
|
Bulging gel |
Discrete fibrous laminae |
Hyaline, uniform thickness |
Rounded margins
|
| II
|
Peripheral white fibrous tissue |
Mucinous material between laminae |
Irregular thickness |
Pointed margins
|
| III
|
Consolidated fibrous tissue |
Extensive mucinous infiltration; loss of annular-nuclear demarcation |
Focal defects in cartilage |
Small chondrophytes or osteophytes at margins
|
| IV
|
Horizontal clefts parallel to endplate |
Focal disruptions |
Fibrocartilage extending from subchondral bone; irregularity and focal sclerosis in subchondral bone |
Osteophytes smaller than 2 mm
|
| V
|
Clefts extended through nucleus and annulus |
|
Diffuse sclerosis |
Osteophytes greater than 2 mm
|
Shoulder
The Samilson–Prieto classification is preferable for osteoarthritis of the glenohumeral joint.[3]
Samilson–Prieto classification[4]
| Grade |
Description
|
| Mild |
Exostosis of inferior humerus and/or glenoid measuring less than 3 mm
|
| Moderate |
Exostosis of inferior humerus and/or glenoid measuring 3–7 mm, and slight irregularity of the joint
|
| Severe |
Exostosis of inferior humerus and/or glenoid measuring more than 7 mm in height as well as sclerosis and narrowing of the joint space (normal joint space is 4–5 mm).[5]
|
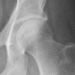
Hip
Hip joint with no signs of osteoarthritis.
The most commonly used radiographic classification system for osteoarthritis of the hip joint is the Kellgren–Lawrence system (or KL system).[6] It uses plain radiographs.
Kellgren–Lawrence system
| Grade
|
Description
|
| 0
|
No radiographic features of osteoarthritis
|
| 1
|
Possible joint space narrowing (normal joint space is at least 2 mm at the superior acetabulum)[7] and osteophyte formation
|
| 2
|
Definite osteophyte formation with possible joint space narrowing
|
| 3
|
Multiple osteophytes, definite joint space narrowing, sclerosis and possible bony deformity
|
| 4
|
Large osteophytes, marked joint space narrowing, severe sclerosis and definite bony deformity
|
Osteoarthritis of the hip joint may also be graded by Tönnis classification. There is no consensus whether it is more or less reliable than the Kellgren-Lawrence system.[8]
Severe (Tönnis grade 3) osteoarthritis of the hip.
Tönnis classification[9]
| Grade
|
Description
|
| 0 |
No osteoarthritis signs
|
| 1 |
Mild:
- increased osteosclerosis
- minor joint space narrowing (normal joint space is at least 2 mm at the superior acetabulum)[7]
- no or minor loss of head sphericity
|
| 2 |
Moderate:
- small bone cyst
- moderate joint space narrowing
- moderate loss of head sphericity
|
| 3 |
Severe:
- large bone cysts
- severe joint space narrowing, or joint space obliteration
- severe deformity of the head
|
Knee
For the grading of osteoarthritis in the knee, the International Knee Documentation Committee (IKDC) system is regarded to have the most favorable combination of interobserver precision and correlation to knee arthroscopy findings.[10] It was formed by a group of knee surgeons from Europe and America who met in 1987 to develop a standard form to measure results of knee ligament reconstructions.[11]
The Ahlbäck system has been found to have comparable interobserver precision and arthroscopy correlation to the IKDC system, but most of the span of the Ahlbäck system focused at various degrees of bone defect or loss, and it is therefore less useful in early osteoarthritis.[10] Systems that have been found to have lower interobserver precision and/or arthroscopy correlation are those developed by Kellgren and Lawrence, Fairbank, Brandt, and Jäger and Wirth.[10]
International Knee Documentation Committee (IKDC) system[10]
| Grade |
Findings
|
| A
|
No joint space narrowing, defined in this system as at least 4 mm joint space
|
| B
|
At least 4 mm joint space, but small osteophytes, slight sclerosis, or femoral condyle flattening
|
| C
|
2–4 mm joint space
|
| D
|
< 2 mm joint space
|
Ahlbäck classification[12]
| Grade |
Findings
|
| I |
Joint space narrowing, with or without subchondral sclerosis. Joint space narrowing is defined by this system as a joint space less than 3 mm, or less than half of the space in the other compartment, or less than half of the space of the homologous compartment of the other knee.
|
| II |
Obliteration of the joint space
|
| III |
Bone defect/loss < 5 mm
|
| IV |
Bone defect/loss between 5 and 10 mm
|
| V |
Bone defect/loss > 10 mm, often with subluxation and arthritis of the other compartment
|
For the patellofemoral joint, a classification by Merchant 1974 uses a 45° "skyline" view of the patella:[13]
Merchant system
| Stage
|
Description
|
| 1 (mild) |
Patellofemoral joint space > 3 mm
|
| 2 (moderate) |
Joint space < 3 mm but no bony contact
|
| 3 (severe) |
Bony surfaces in contact over less than one quarter of the joint surface
|
| 4 (very severe) |
Bony contact throughout the entire joint surface
|
Other joints
- In the temporomandibular joint, subchondral sclerosis of the mandibular condyle has been described as an early change, condylar flattening as a feature of progressive osteoarthritis, and narrowing of the temporomandibular joint space as a late stage change.[14] A joint space of between 1.5 and 4 mm is regarded as normal.[15]
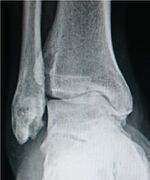
- For the ankle, the Kellgren–Lawrence scale, as described for the hip, has been recommended.[16] The distances between the bones in the ankle are normally as follows:[17]
- Talus - medial malleolus: 1.70 ± 0.13 mm
- Talus - tibial plafond: 2.04 ± 0.29 mm
- Talus - lateral malleolus: 2.13 ± 0.20 mm
See also
- WOMAC, a non-radiographic classification system of osteoarthritis, taking into account pain, stiffness and functional limitation.[18]
References
- ↑ 1.0 1.1 1.2 1.3 Kettler, Annette; Wilke, Hans-Joachim (2005). "Review of existing grading systems for cervical or lumbar disc and facet joint degeneration". European Spine Journal 15 (6): 705–718. doi:10.1007/s00586-005-0954-y. ISSN 0940-6719. PMID 16172902.
- ↑ Ofiram, Elisha; Garvey, Timothy A.; Schwender, James D.; Denis, Francis; Perra, Joseph H.; Transfeldt, Ensor E.; Winter, Robert B.; Wroblewski, Jill M. (2009). "Cervical degenerative index: a new quantitative radiographic scoring system for cervical spondylosis with interobserver and intraobserver reliability testing". Journal of Orthopaedics and Traumatology 10 (1): 21–26. doi:10.1007/s10195-008-0041-3. ISSN 1590-9921. PMID 19384631.
- ↑ Brox, Jens; Lereim, Paul; Merckoll, Else; Finnanger, Anne Marie (2009). "Radiographic classification of glenohumeral arthrosis". Acta Orthopaedica Scandinavica 74 (2): 186–189. doi:10.1080/00016470310013932. ISSN 0001-6470. PMID 12807327.
- ↑ Page 117 in Barbara N. W. Weissman (2009). Imaging of Arthritis and Metabolic Bone Disease. Elsevier Health Sciences. ISBN 9780323041775.
- ↑ "Glenohumeral joint space". http://radref.org/ref.php?id=361. , in turn citing: Petersson, Claes J.; Redlund-Johnell, Inga (2009). "Joint Space in Normal Gleno-Humeral Radiographs". Acta Orthopaedica Scandinavica 54 (2): 274–276. doi:10.3109/17453678308996569. ISSN 0001-6470. PMID 6846006.
- ↑ Zdravko Jotanovic, Radovan Mihelic, Gordan Gulan, Branko Sestan, Zlatko Dembic (2015). "Osteoarthritis of the hip: An overview". Periodicum Biologorum 117 (1). http://hrcak.srce.hr/139528?lang=en.
- ↑ 7.0 7.1 Lequesne, M (2004). "The normal hip joint space: variations in width, shape, and architecture on 223 pelvic radiographs". Annals of the Rheumatic Diseases 63 (9): 1145–1151. doi:10.1136/ard.2003.018424. ISSN 0003-4967. PMID 15308525.
- ↑ Terjesen, Terje; Gunderson, Ragnhild B (2012). "Radiographic evaluation of osteoarthritis of the hip". Acta Orthopaedica 83 (2): 185–189. doi:10.3109/17453674.2012.665331. ISSN 1745-3674. PMID 22329668.
- ↑ "Tönnis Classification of Osteoarthritis by Radiographic Changes". http://www.preventivehip.org/hip-scores/tonnis-classification.
- ↑ 10.0 10.1 10.2 10.3 Wright, RW (2014). "Osteoarthritis Classification Scales: Interobserver Reliability and Arthroscopic Correlation". The Journal of Bone and Joint Surgery. American Volume 96 (14): 1145–1151. doi:10.2106/JBJS.M.00929. ISSN 0021-9355. PMID 25031368.
- ↑ "Evaluation of knee ligament injuries with the IKDC form.". Knee Surg Sports Traumatol Arthrosc 1 (3–4): 226–34. 1993. doi:10.1007/bf01560215. PMID 8536037. https://pubmed.ncbi.nlm.nih.gov/8536037.
- ↑ Hernández-Vaquero, Daniel; Fernández-Carreira, José Manuel (2012). "Relationship between radiological grading and clinical status in knee osteoarthritis. a multicentric study". BMC Musculoskeletal Disorders 13 (1): 194. doi:10.1186/1471-2474-13-194. ISSN 1471-2474. PMID 23046837.
- ↑ Kim, Young-Mo; Joo, Yong-Bum (2012). "Patellofemoral Osteoarthritis". Knee Surgery & Related Research 24 (4): 193–200. doi:10.5792/ksrr.2012.24.4.193. ISSN 2234-0726. PMID 23269956.
- ↑ Page 722 in Gary S. Firestein, Ralph Budd, Sherine E Gabriel, Iain B. McInnes, James R O'Dell (2012). Kelley's Textbook of Rheumatology E-Book. Elsevier Health Sciences. ISBN 9781455737673.
- ↑ Massilla Mani, F.; Sivasubramanian, S. Satha (2016). "A study of temporomandibular joint osteoarthritis using computed tomographic imaging". Biomedical Journal 39 (3): 201–206. doi:10.1016/j.bj.2016.06.003. ISSN 2319-4170. PMID 27621122.
- ↑ Nicolas Holzer, Davide Salvo, Anne Karien Marijnissen, Aminudin Che Ahmad, Emanuele Sera, Pierre Hoffmeyer, Anne Lübbeke Wolff, Mathieu Assal (2017-09-14). "How to assess ankle osteoarthritis: comparison of the Kellgren and Lawrence scale with functional outcome and digital image analysis". Orthopaedic Proceedings 94-B. http://www.bjjprocs.boneandjoint.org.uk/content/94-B/SUPP_XXXVII/64.
- ↑ Imai, Kan; Ikoma, Kazuya; Kido, Masamitsu; Maki, Masahiro; Fujiwara, Hiroyoshi; Arai, Yuji; Oda, Ryo; Tokunaga, Daisaku et al. (2015). "Joint space width of the tibiotalar joint in the healthy foot". Journal of Foot and Ankle Research 8 (1): 26. doi:10.1186/s13047-015-0086-5. ISSN 1757-1146. PMID 26146520.
- ↑ Quintana, José M.; Escobar, Antonio; Arostegui, Inmaculada; Bilbao, Amaia; Azkarate, Jesús; Goenaga, J. Ignacio; Arenaza, Juan C. (2006). "Health-Related Quality of Life and Appropriateness of Knee or Hip Joint Replacement". Archives of Internal Medicine 166 (2): 220–6. doi:10.1001/archinte.166.2.220. ISSN 0003-9926. PMID 16432092.
 | Original source: https://en.wikipedia.org/wiki/Radiographic classification of osteoarthritis. Read more |