Mycobacterium Nebraskense

From Mdwiki


Mycobacterium nebraskense
Scientific classification edit
Domain: Bacteria
Phylum: Actinomycetota
Class: Actinomycetia
Order: Mycobacteriales
Family: Mycobacteriaceae
Genus: Mycobacterium
Species:
M. nebraskense
Binomial name
Mycobacterium nebraskense
Mohamed et al. 2004, ATCC BAA-837

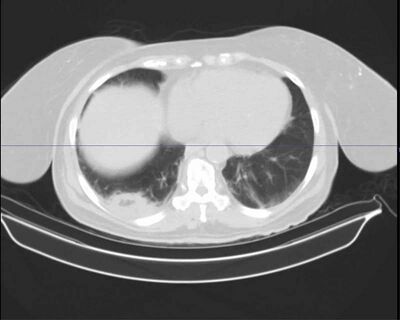
Mycobacterium nebraskense is a slow growing, yellow, pigmented mycobacterium[1] that was first isolated from human sputum at the University of Nebraska Medical Center, in Omaha, Nebraska, USA. Mycobacterium species are common causes of pulmonary infections in both humans and animals.

Mycobacterium nebraskense presenting as cavitary lung lesion

References[edit | edit source]

  1. Mohamed AM, Iwen PC, Tarantolo S, Hinrichs SH (November 2004). "Mycobacterium nebraskense sp. nov., a novel slowly growing scotochromogenic species". Int. J. Syst. Evol. Microbiol. 54 (Pt 6): 2057–60. doi:10.1099/ijs.0.63126-0. PMID 15545434.{{cite journal}}: CS1 maint: url-status (link)

External links[edit | edit source]



Categories: [Acid-fast bacilli] [Nontuberculous mycobacteria] [Bacteria described in 2004]


Download as ZWI file | Last modified: 02/02/2024 16:33:20 | 1 views
☰ Source: https://mdwiki.org/wiki/Mycobacterium_nebraskense | License: CC BY-SA 3.0

ZWI is not signed. [what is this?]