From Mdwiki | Lupus nephritis | |
|---|---|
| Other names: SLE nephritis[1] | |
![]() | |
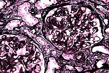
| Micrograph of diffuse proliferative lupus nephritis showing increased mesangial matrix and mesangial hypercellularity. Kidney biopsy. PAS stain. | |
| Specialty | Rheumatology, nephrology |
| Symptoms | Foamy urine, swelling of the legs, fever, muscle pains[2] |
| Complications | High blood pressure, kidney failure[2] |
| Usual onset | Young adults[3] |
| Types | Class I to VI[3] |
| Causes | Lupus[2] |
| Risk factors | Genetics[3] |
| Diagnostic method | Suspected based on urine and blood tests, confirmed by a kidney biopsy[2] |
| Differential diagnosis | Other causes of nephrotic syndrome, kidney stones, acute interstitial nephritis[3] |
| Treatment | Prednisone, cyclophosphamide, hydroxychloroquine, blood pressure medications, dialysis[2][3] |
| Frequency | Common in lupus[3] |
Lupus nephritis (LN) is a type of kidney disease due to systemic lupus erythematosus (SLE), an autoimmune disease.[2] Symptoms may include foamy urine, swelling of the legs, fever, and muscle pains.[2] When it occurs, it is generally at least 3 years after the onset of SLE.[3] Complications may include high blood pressure and kidney failure.[2]
Risk factors include certain genetic changes.[3] The underlying mechanism involves a type-III hypersensitivity reaction and the formation of immune complexes.[3] These complexes than build up near the glomerular basement membrane of the kidney and lead to inflammation.[3] Diagnosis may be suspected based on urine and blood tests, and is confirmed by a kidney biopsy.[2]
Treatment depends on the severity of the disease.[3] Medications to suppress the immune system such as prednisone, cyclophosphamide or hydroxychloroquine maybe used.[2] Blood pressure may require management with medications such as ACE inhibitors, diuretics, or beta blockers.[2] Dialysis may eventually bed required.[3]
Up to 50% of adults and 80% of children with lupus are affected.[2] Onset is often in young adults.[3] Males are more commonly affected than females.[2] While lupus was first described in 400 BC by Hippocrates, its effects on the kidneys were first documented in the early 1900s.[3][4]
General symptoms of lupus nephritis include[5][6]
The cause of lupus nephritis, a genetic predisposition, plays role in lupus nephritis. Multiple genes, many of which are not yet identified, mediate this genetic predisposition.[7][8]
The immune system protects the human body from infection, and with immune system problems it cannot distinguish between harmful and healthy substances. Lupus nephritis affects approximately 3 out of 10,000 people.[9]
The pathophysiology of lupus nephritis has autoimmunity contributing significantly.[10] Autoantibodies direct themselves against nuclear elements. The characteristics of nephritogenic autoantibodies (lupus nephritis) are antigen specificity directed at nucleosome, high affinity autoantibodies form intravascular immune complexes, and autoantibodies of certain isotypes activate complement.[7]

The diagnosis of lupus nephritis depends on blood tests, urinalysis, X-rays, ultrasound scans of the kidneys, and a kidney biopsy. On urinalysis, a nephritic picture is found and red blood cell casts, red blood cells and proteinuria is found. The World Health Organization has divided lupus nephritis into five stages based on the biopsy. This classification was defined in 1982 and revised in 1995.[11][12]
Class I disease (minimal mesangial glomerulonephritis) in its histology has a normal appearance under a light microscope, but mesangial deposits are visible under an electron microscope. At this stage urinalysis is normal.[14]
Class II disease (mesangial proliferative glomerulonephritis) is noted by mesangial hypercellularity and matrix expansion. Microscopic haematuria with or without proteinuria may be seen. Hypertension, nephrotic syndrome, and acute kidney injury are very rare at this stage.[14]
Class III disease (focal glomerulonephritis) is indicated by sclerotic lesions involving less than 50% of the glomeruli, which can be segmental or global, and active or chronic, with endocapillary or extracapillary proliferative lesions. Under the electron microscopy, subendothelial deposits are noted, and some mesangial changes may be present. Immunofluorescence reveals positively for IgG, IgA, IgM, C3, and C1q. Clinically, haematuria and proteinuria are present, with or without nephrotic syndrome, hypertension, and elevated serum creatinine.[14]

Class IV disease (diffuse proliferative nephritis) is both the most severe, and the most common subtype. More than 50% of glomeruli are involved. Lesions can be segmental or global, and active or chronic, with endocapillary or extracapillary proliferative lesions. Under electron microscopy, subendothelial deposits are noted, and some mesangial changes may be present. Clinically, haematuria and proteinuria are present, frequently with nephrotic syndrome, hypertension, hypocomplementemia, elevated anti-dsDNA titres and elevated serum creatinine.[14]
Class V disease (membranous glomerulonephritis) is characterized by diffuse thickening of the glomerular capillary wall (segmentally or globally), with diffuse membrane thickening, and subepithelial deposits seen under the electron microscope. Clinically, stage V presents with signs of nephrotic syndrome. Microscopic haematuria and hypertension may also be seen. Stage V can also lead to thrombotic complications such as renal vein thromboses or pulmonary emboli.[14]
Class VI, or advanced sclerosing lupus nephritis,[7] a final class which is included by most practitioners.
It is represented by global sclerosis involving more than 90% of glomeruli, and represents healing of prior inflammatory injury. Active glomerulonephritis is not usually present. This stage is characterised by slowly progressive kidney dysfunction, with relatively bland urine sediment. Response to immunotherapy is usually poor. A tubuloreticular inclusion within capillary endothelial cells is also characteristic of lupus nephritis and can be seen under an electron microscope in all stages. It is not diagnostic however, as it exists in other conditions such as HIV infection.[15]
It is thought to be due to the chronic interferon exposure.[16]

.webp.png)
Drug regimens prescribed for lupus nephritis include mycophenolate mofetil (MMF), intravenous cyclophosphamide with corticosteroids, and the immune suppressant azathioprine with corticosteroids. MMF and cyclophosphamide with corticosteroids are equally effective in achieving remission of the disease, however the results of a recent systematic review found that immunosuppressive drugs were better than corticosteroids for renal outcomes.[18]
MMF is safer than cyclophosphamide with corticosteroids, with less chance of causing ovarian failure, immune problems or hair loss. It also works better than azathioprine with corticosteroids for maintenance therapy.[19][20]
A 2016 review demonstrated that tacrolimus and MMF followed by azathioprine maintenance were associated with a lower risk of serious infection when compared to other immunosuppressants or glucocorticoids.[21][22]
Individuals with lupus nephritis have a high risk for B-cell lymphoma (which begins in the immune system cells).[5]
{{cite journal}}: Cite journal requires |journal= (help)
{{cite web}}: CS1 maint: numeric names: authors list (link)
{{cite journal}}: Cite journal requires |journal= (help)
| Classification | |
|---|---|
| External resources |
Categories: [Rheumatology] [Kidney diseases] [RTT]