Child Abuse

From Rationalwiki

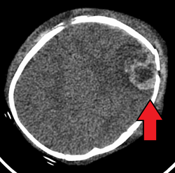
The above CT scan shows an infant having suffered a severe skull fracture and intercranial bleeding from head trauma caused by abusive parenting.
RationalWiki's Chilling Tales of True
Crime
Crime icon.png
Articles on illegal behaviour
  • Charlene Downes murder
  • Police brutality
  • Rape apology
  • SWATing
  • Ignaz Trebitsch Lincoln
  • Stop and Frisk
Busted
  • Matthew Heimbach
  • Graham Capill
  • Warren Jeffs
  • Kevin Alfred Strom
  • David Duke
  • Jim Bowie

Child abuse is defined as the ill-treatment and exploitation of children under the care of those who should properly provide for them by law. This is considered morally wrong, particularly because of the trust a child would put in their caretaker or parents, allowing abusers almost free rein to do what they like without too much fear of being caught by the authorities. Although, if child abusers are caught, they are usually top targets for vigilantes. We at RationalWiki will state the obvious: Abuse is never okay.[note 1]

Forms[edit]

There are, sadly, many forms of child abuse, some intentional and some not. Regardless of intent, child abuse has severe and lasting impacts, such as PTSD, low self esteem, depression, anxiety, a heightened risk of serious mental and physical disorders, self-harm and suicidal thoughts and attempts.

Physical and emotional abuse are not mutually exclusive, as many components of physical abuse also inflicts severe emotional harm to the child. Children who are abused may be inadvertently taught bad social and/or emotional skills in the process, including passive aggressive behavior, other relational aggression, self-hatred and doubt, and other emotional abnormalities.

Physical abuse[edit]

This image is a from a serious anti-abuse colouring book produced by the Roman Catholic diocese of New York.[1]

Physical abuse involves intentional use of force that results in injury or pain.[2]

  • Corporal punishment: slapping, kicking, choking, biting, pushing, burning, etc.
  • Physical restraint (such as tying someone to a chair or pinning them to the ground)
  • Intentional sleep deprivation
  • Drugging
  • Sexual contact with children

Despite claims that spanking isn't abuse, child psychologists, sociologists, and neuroscientists have discovered that in addition to worsening behavior, spanking massively increases stress, violent behaviours, and inflicts lasting physical and emotional trauma on the child, which leads to language issues, learning disabilities and aggression. As a result of these findings, parents are strongly recommended to abandon spanking and yelling and move on to nonviolent forms of discipline if they want their children to grow up into healthy and happy individuals.[3]

Emotional abuse[edit]

Emotional abuse involves violent tactics that attempt to degrade, manipulate, humiliate, and control the victim.

An emotional abuser:[4][5]

  • Manipulates the child and plays "mind games" with conditional love as a reward.
  • Uses put-downs, intimidation, humiliation, personal attacks, and other types of bullying.
  • Mocks, humiliates, and makes sarcastic jokes about the child in front of other people.
  • Deprivation of privacy by snooping in the child's bedroom or journals, including the outright removal of doors from rooms.
  • Sets the child up to fail by placing him/her in unwinnable situations and sabotaging any attempt by the child to resolve problems.
  • Routinely compares the child to other people, particularly siblings, damaging self esteem and fostering resentment among siblings.
  • Routinely blames and guilt-trips the child with fallacious and manipulative arguments, refusing to take any responsibility for the adult's own faults.
  • Attacks the child's self-worth by degrading any of their achievements.
  • Isolates the child from their peers or from adults who could help them escape an abusive family, or actively tries to destroy these relationships.
  • Acts passive-aggressive and routinely mocks the child, then blames the child for being scared or confused.
  • Withholds affection as punishment, demanding unquestioning loyalty as a "prerequisite" for expressing love.
  • Demands total respect and obedience, often rejecting any attempt by the child to freely express themselves.
  • Confiscates and/or destroys the child's property and personal belongings and even hurts and/or murders the child's pets as punishment.
  • Uses "diaper discipline" by forcing a toilet-trained child to wear a diaper as a punishment for a perceived or actual offense, and forcing them to breastfeed and use bottles, diapers, and other baby tools for an set or indefinite period of time.
  • Forces the child to witness other people (children and adults) being physically and emotionally abused.
  • Forces the child to lie about important matters to other individuals and authority figures, especially matters regarding the family.
  • Criticizes the child for showing signs and symptoms of emotional abuse, such as depression, self-harm, and suicidal ideation, denouncing it as "personal weakness" and "wimpiness".
  • Can also punish someone when they commit self-harm, justifying that they child is just trying to manipulate them to get what they want.
  • Commonly tries and make others perceive that the child is just entitled or extremely selfish.
  • Denies any harm and responsibility if the child is upset by parental abuse, and blaming the child for "overreacting" and "lying", often trying to redirect the conversation to favour their own selfish interests.
  • Punishing the child for having a condition that is widely considered as an acceptable and alternative state of being such as Autism, in a misguided attempt to "cure" them. Adults who do this are often known as curebies.[6]

While not every child abuser will do all of the above abusive tactics, even one or two of these has serious and often lifelong consequences.

Neglect[edit]

Child soldier in El Salvador.

Child neglect means failing to meet a child's needs for health and safety.[7]

  • Leaving kids home alone without age- or ability-appropriate supervision.[note 2]
  • Ignoring the child's need for food, shelter, clothing, medical attention, etc.
  • Failure to help with hygiene or keep the home hygienic.
  • Allowing a child to be forcibly conscripted into an armed force, or sent into indentured slavery.

One case of neglect involved parents ignoring children in order to spend time on the internet.[8]

Medical[edit]

  • Deliberately refusing to vaccinate one's children (except where the child has an allergic or otherwise documented adverse reaction to vaccines) ("vaccine-injuries" like autism and other favorite anti-vax fallbacks usually aren't a valid adverse reactions).
  • Not seeking proper medical care for "religious reasons".
  • Refusing access to gender-affirming treatment, if the youth is transgender or non-binary
  • Factitious disorder imposed on another (FDIA, formerly known as Munchausen syndrome by proxy). Factitious disorder is a psychological condition in which someone fakes an illness to get attention and sympathy from medical professionals. When imposed on a child, a parent forces their own child to become sick, usually through the ingestion of pills, other poisonous chemicals, feces, or other pathogenic materials. Julie Gregory described being the target of her mother's abuse in sickening detail, including (as demonstrative and not exhaustive examples) the aforementioned administration of medication and giving her a diet based on what doctors had told her not to eat.

More controversial forms[edit]

The above picture shows a gathering for the forced indoctrination of Native American children by the US government.

There are several other forms of child abuse which are considered equally harmful to the child and equally bad for the society in which it occurs. These are controversial mostly because a large portion of the American population engages in these abusive acts and consider them as socially and morally acceptable.

These abusive acts include:

  • Denying the child access to facts about the world they live in.
  • Telling the child lies about the nature of other people.
  • Refusing to expose the child to ideas outside a small range.
  • Forcibly indoctrinating the child in religious and political ideology.
  • Using the religious idea of eternal damnation to frighten children into following certain rules, such as the rule of unquestioning belief in a God.
  • Telling the child that their race, religion, gender, gender identity, sexual orientation, disability, and country is intrinsically better or worse than all others.
  • Teaching children to feel guilty about learning and feeling natural sexual development.
  • Forcibly indoctrinating a child on what to think rather than teaching a child how to reasonably think for themselves.
  • Putting a child into Hell Houses.
  • Forcibly and involuntarily mutilating the child's genitals, whether male, female, or intersex.

See also[edit]

  • Catholic Church
  • Child sexual abuse
  • Richard Dawkins on religious child abuse
  • Dynastic gymnastics — a Russian treatment that involves swinging babies around, sometimes quite violently
  • Focus on the Family
  • Homeschooling
  • Paida lajin — a treatment devised by Hongchi Xiao that involves slapping people as young as 6 years old
  • Battle Hymn of the Tiger Mother
  • To Train Up a Child
  • Psychohistory, an antithesis for child abuse

Want to read this in another language?

Abuso infantil es la versión en español de este artículo.

External links[edit]

  • Religion's Real Child Abuse by Richard Dawkins
  • PZ Myers lists some Papal excuses
  • The Nature and Scope of the Problem of Sexual Abuse of Minors by Catholic Priests and Deacons in the United States United States Conference of Catholic Bishops

Notes[edit]

  1. Neither is vigilantism, but you get our main point.
  2. Most US states have laws against leaving a child under thirteen home alone.

References[edit]

  1. Jessica Bennett. "Coloring Outside the Lines." The Daily Beast. 2007 December 1.
  2. What Is Physical Abuse? - Healthy Place
  3. https://www.npr.org/2018/11/11/666646403/the-american-academy-of-pediatrics-on-spanking-children-dont-do-it-ever
  4. What Is Emotional Child Abuse? - Very Well Family
  5. Preventing Emotional Abuse - Prevent Child Abuse
  6. curebie, Wiktionary
  7. Child Abuse and Neglect - Help Guide
  8. "Nev. couple blame Internet for child neglect." Associated Press. 2007 July 16.

Categories: [Law] [Parenting]


Download as ZWI file | Last modified: 11/04/2025 18:41:55 | 20 views
☰ Source: https://rationalwiki.org/wiki/Child_abuse | License: CC BY-SA 3.0

ZWI is not signed. [what is this?]