Diversion Colitis

From Handwiki
Diversion colitis
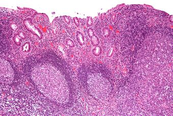
Diversion proctitis - intermed mag.jpg
Micrograph showing colonic-type mucosa with follicular lymphoid hyperplasia, as is seen in diversion colitis. H&E stain.
SpecialtyGastroenterology
CausesSurgery with diversion of colon (ileostomy or colostomy)
TreatmentShort-chain fatty acid enemas
MedicationMesalazine

Diversion colitis is an inflammation of the colon which can occur as a complication of ileostomy or colostomy, where symptoms may occur between one month and three years following surgery.[1] It also occurs frequently in a neovagina created by colovaginoplasty, with varying delay after the original procedure.[2] Despite the presence of a variable degree of inflammation the most suggestive histological feature remains the prominent lymphoid aggregates.

Symptoms and signs

People may be asymptomatic but common symptoms are abdominal discomfort, anorectal pain, mucous discharge and rectal bleeding that develops from the inflamed mucosa of the distal, unused colon.[1]

Diagnosis

Diagnosis is aided by knowing the full clinical history.[3]

Treatment

In many milder cases after ileostomy or colostomy, diversion colitis is left untreated and disappears naturally. Possible pharmacologic treatments include short-chain fatty acid irrigation, steroid enemas and mesalazine.[4] For surgical candidates, reanastomosis is a reversal procedure carried out to restore bowel continuity that effectively halts the symptoms of diversion colitis.[1]

References

  1. 1.0 1.1 1.2 "Diversion colitis and pouchitis: A mini-review". World Journal of Gastroenterology 24 (16): 1734–1747. April 2018. doi:10.3748/wjg.v24.i16.1734. PMID 29713128. 
  2. "Diversion neovaginitis after sigmoid vaginoplasty: endoscopic and clinical characteristics". Fertility and Sterility 105 (3): 834–839.e1. March 2016. doi:10.1016/j.fertnstert.2015.11.013. PMID 26632208. 
  3. "Reporting colonic mucosal biopsies in inflammatory conditions: a new approach". Colorectal Disease 2 (2): 66–72. April 2000. doi:10.1046/j.1463-1318.2000.00104.x. PMID 23577987. 
  4. "Diversion colitis: histological features in the colon and rectum after defunctioning colostomy". Gut 32 (9): 1020–3. September 1991. doi:10.1136/gut.32.9.1020. PMID 1916483. 



Retrieved from "https://handwiki.org/wiki/index.php?title=Medicine:Diversion_colitis&oldid=3669130"

Categories: [Colitis] [Diseases of intestines]


Download as ZWI file | Last modified: 02/28/2025 08:20:08 | 4 views
☰ Source: https://handwiki.org/wiki/Medicine:Diversion_colitis | License: CC BY-SA 3.0

ZWI is not signed. [what is this?]