Mycobacterium Lepromatosis

From Mdwiki


Mycobacterium lepromatosis
Scientific classification
Domain:
Phylum:
Class:
Order:
Family:
Genus:
Species:
M. lepromatosis
Binomial name
Mycobacterium lepromatosis
Han et al. 2008[1]

Mycobacterium lepromatosis is an aerobic, acid-fast bacillus (AFB), and the second known causative agent of Hansen's disease (leprosy). It was discovered in 2008. Analysis of the 16S rRNA gene confirms that the species is distinct from Mycobacterium leprae.[2]

Characteristics[edit | edit source]

Members of the Mycobacterium genus are characterized by being Gram-positive, non-motile, non-spore-forming, and possess a bacilliary cell shape.[3][4] Bacteria in the Mycobacterium genus are characteristically known for possessing an outer membrane, a capsule, as well as a uniquely thick, waxy, hydrophobic cell wall abundant in mycolic acids.[3][4] Many species of Mycobacterium are opportunistic pathogenic bacteria and can cause serious disease.[3]

The 16S ribosomal RNA (rRNA), a genetic marker of bacterial evolution is used in establishing phylogenetic relationships due to its highly conserved nature. 16S rRNA sequencing of M. lepromatosis displays a 2.1% genomic discrepancy from other Mycobacterium.[5] The rpoB and hspa5 gene sequences were also analyzed, displaying speciation from its two most related ancestors of Mycobacterium, M. leprae and M. tuberculosis. M. lepromatosis exemplifies a 9.1% deviance from M. leprae in nucleotide structure, evidence of a novel bacterium.[5] A phylogenetic analysis of 20 genes and pseudogenes, isolated to 5 conserved protein genes, was used to construct phylogenetic trees displaying long terminal branches from the nodes, suggesting speciation occurred long ago.[5]

Disease[edit | edit source]

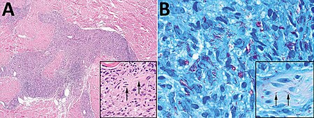
a,b)Skin biopsies of male showing Mycobacterium lepromatosis infection

Mycobacterium lepromatosis can induce diffuse lepromatous leprosy (DLL), typically known to occur in Mexico and the Caribbean.[6][7] DLL is a severe form of leprosy which manifests through nerve invasion and extensive skin ulcerations due to massive AFB burden in internal organs.[6] M. lepromatosis, like M. leprae, has not been cultured in the laboratory because they both lack genes necessary to grow outside their hosts. These genes are believed to have been lost through reductive evolution.[6]

The novel bacterium was discovered in 2008 following the autopsy of 2 deceased patients from Mexico.[8] Similar to its close relative, Mycobacterium leprae, M. lepromatosis is a facultative intracellular parasite, able to reproduce in and outside of host cells, a fact that researchers have speculated is why bacterial culturing in the laboratory has been unsuccessful.[9] Visually indistinguishable from its close relative, M. leprae, M. lepromatosis is an aerobic bacillus, requiring an oxygenated environment, is rod-shaped, consistent with all bacillus bacteria, and is resistant to acids due to the presence of mycolic acids in the cell wall.[4] This prohibits the standard use of the Gram stain in characterization.

References[edit | edit source]

  1. "Mycobacterium lepromatosis Han et al. 2008, effective name". NCBI Taxonomy Browser. NCBI:txid480418. Archived from the original on 16 May 2023. Retrieved 16 May 2023. Via Schoch CL, et al. NCBI Taxonomy: a comprehensive update on curation, resources and tools. Database (Oxford). 2020: baaa062. PMID 32761142 PMC 7408187.
  2. Han XY, Sizer KC, Thompson EJ, Kabanja J, Li J, Hu P, et al. (October 2009). "Comparative sequence analysis of Mycobacterium leprae and the new leprosy-causing Mycobacterium lepromatosis". Journal of Bacteriology. 191 (19): 6067–6074. doi:10.1128/JB.00762-09. PMC 2747882. PMID 19633074.
  3. 3.0 3.1 3.2 Percival, Steven L.; Williams, David W. (2014), "Mycobacterium", Microbiology of Waterborne Diseases, Elsevier, pp. 177–207, doi:10.1016/b978-0-12-415846-7.00009-3, ISBN 978-0-12-415846-7, archived from the original on 2022-07-01, retrieved 2022-11-17
  4. 4.0 4.1 4.2 Meehan CJ, Barco RA, Loh YE, Cogneau S, Rigouts L (September 2021). "Reconstituting the genus Mycobacterium". International Journal of Systematic and Evolutionary Microbiology. 71 (9). doi:10.1099/ijsem.0.004922. PMC 8549266. PMID 34554081.
  5. 5.0 5.1 5.2 Han XY, Sizer KC, Thompson EJ, Kabanja J, Li J, Hu P, et al. (October 2009). "Comparative sequence analysis of Mycobacterium leprae and the new leprosy-causing Mycobacterium lepromatosis". Journal of Bacteriology. 191 (19): 6067–6074. doi:10.1128/JB.00762-09. PMC 2747882. PMID 19633074.
  6. 6.0 6.1 6.2 Han XY, Seo YH, Sizer KC, Schoberle T, May GS, Spencer JS, et al. (December 2008). "A new Mycobacterium species causing diffuse lepromatous leprosy". American Journal of Clinical Pathology. 130 (6): 856–864. doi:10.1309/AJCPP72FJZZRRVMM. PMID 19019760.
  7. Dermatologic Manifestations of Leprosy at eMedicine
  8. Han XY, Seo YH, Sizer KC, Schoberle T, May GS, Spencer JS, et al. (December 2008). "A new Mycobacterium species causing diffuse lepromatous leprosy". American Journal of Clinical Pathology. 130 (6): 856–864. doi:10.1309/AJCPP72FJZZRRVMM. PMID 19019760.
  9. Miyamoto Y, Mukai T, Matsuoka M, Kai M, Maeda Y, Makino M (August 2016). Johnson C (ed.). "Profiling of Intracellular Metabolites: An Approach to Understanding the Characteristic Physiology of Mycobacterium leprae". PLOS Neglected Tropical Diseases. 10 (8): e0004881. doi:10.1371/journal.pntd.0004881. PMC 4968842. PMID 27479467.

Categories: [Mycobacteria] [Leprosy]


Download as ZWI file | Last modified: 02/03/2024 00:09:08 | 1 views
☰ Source: https://mdwiki.org/wiki/Mycobacterium_lepromatosis | License: CC BY-SA 3.0

ZWI is not signed. [what is this?]