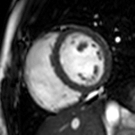
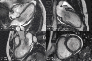
MRI sequences of a cardiac myxoma (a benign tumor)[1]
ICD-10-PCS
B23
ICD-9-CM
88.92
OPS-301 code
3-803, 3-824
[edit on Wikidata]
Cardiac magnetic resonance imaging (cardiac MRI, CMR), also known as cardiovascular MRI, is a magnetic resonance imaging (MRI) technology used for non-invasive assessment of the function and structure of the cardiovascular system.[2] Conditions in which it is performed include congenital heart disease, cardiomyopathies and valvular heart disease, diseases of the aorta such as dissection, aneurysm and coarctation, coronary heart disease. It can also be used to look at pulmonary veins.[3] Patient information may be found here.
It is contraindicated if there are some implanted metal or electronic devices such as some intracerebral clips or claustrophobia.[3] These can be looked up to see if they are MRI conditional. For pacemaker or defibrillator patients, almost all can be scanned but special protocols are needed.
Conventional MRI sequences are adapted for cardiac imaging by using ECG gating and high temporal resolution protocols. The development of cardiac MRI is an active field of research and continues to see a rapid expansion of new and emerging techniques.[2]
Contents
1Uses
2Risks
3Physics
4Techniques
4.1Heart function using cine imaging
4.2Late gadolinium enhancement
4.3Perfusion
4.44D flow CMR
5Children and congenital heart disease
6Different cardiac-capable magnet types
7History
8Training
9References
10External links
Uses
Cardiovascular MRI is complementary to other imaging techniques, such as echocardiography, cardiac CT, and nuclear medicine. The technique has a key role in evidence-based diagnosis and treatment of cardiovascular disease.[4] Its applications include assessment of myocardial ischemia and viability, cardiomyopathies, myocarditis, iron overload, vascular diseases, and congenital heart disease.[5] It is the reference standard for the assessment of cardiac structure and function,[6] and is valuable for diagnosis and surgical planning in complex congenital heart disease.[7]
Combined with vasodilator stress, it has a role in detecting and characterizing myocardial ischemia due to disease affecting the epicardial vessels and microvasculature. Late gadolinium enhancement (LGE) and T1 mapping allow infarction and fibrosis to be identified for characterizing cardiomyopathy and assessing viability.[8] Magnetic resonance angiography may be performed with or without contrast medium and is used to assess congenital or acquired abnormalities of the coronary arteries and great vessels.[9]
Obstacles to its wider application include limited access to scanners, lack of technologists and skilled clinicians, relatively high costs, and competing diagnostic modalities.[4] Some organizations are working on solutions to reduce these obstacles so that more clinics can adopt CMR into their practices. These solutions are often software platforms that provide clinical decision support and improve the efficiency of the procedures.[10]
Risks
Main page: Physics:Safety of magnetic resonance imaging
Cardiac MRI does not pose any specific risks compared to other indications for imaging.[11] Gadolinium based contrast medium is frequently used in CMR and has been associated with nephrogenic systemic fibrosis, predominantly using linear compounds in patients with renal disease. More recently evidence of intra-cranial deposition of gadolinium has been shown - although no neurological effects have been reported.[12] Genotoxic effects of cardiac MRI have been reported in vivo and in vitro,[13][14][15][16] but these findings have not been replicated by more recent studies,[17] and are unlikely to produce the complex DNA damage associated with ionizing radiation.[18]
Physics
Main page: Physics:Physics of magnetic resonance imaging
CMR uses the same basic principles as other MRI techniques. Imaging of the cardiovascular system is usually performed with cardiac gating using an adaptation of conventional ECG techniques.[19] Cine sequences of the heart are acquired using balanced steady state free precession (bSSFP) which has good temporal resolution and intrinsic image contrast. T1-weighted sequences are used to visualize anatomy and detect the presence of intra-myocardial fat. T1 mapping has also been developed to quantify diffuse myocardial fibrosis.[20] T2-weighted imaging is mainly used to detect myocardial edema which may develop in acute myocarditis or infarction. Phase-contrast imaging uses bipolar gradients to encode velocity in a given direction and is used to assess valve disease and quantify shunts.
Techniques
A CMR study typically comprises a set of sequences in a protocol tailored to the specific indication for the exam.[21] A study begins with localisers to assist with image planning, and then a set of retrospectively-gated cine sequences to assess biventricular function in standard orientations. Contrast medium is given intravenously to assess myocardial perfusion and LGE. Phase contrast imaging may be used to quantify valvular regurgitant fraction and shunt volume. Additional sequences may include T1 and T2-weighted imaging and MR angiography. Examples are below:
Heart function using cine imaging
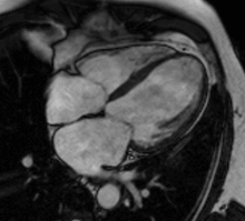
Functional and structural information is acquired using bSSFP cine sequences. These are usually retrospectively-gated and have intrinsically high contrast in cardiac imaging due to the relatively high T2:T1 ratio of blood compared to myocardium. Images are typically planned sequentially to achieve the standard cardiac planes used for assessment. Turbulent flow causes dephasing and signal loss allowing valvular disease to be qualitatively appreciated. The left ventricular short axis cines are acquired from base to apex and are used for quantifying end-diastolic and end-systolic volumes, as well as myocardial mass. Tagging sequences excite a grid pattern that deforms with cardiac contraction allowing strain to be assessed.
Example CMR images. In sequence: a coronal localiser, 2 chamber cine, 4 chamber cine, left ventricular short axis cine, and tagged image. Additional cines of the left ventricular outflow tract and aortic valve may also be acquired.
Late gadolinium enhancement
Gadolinium-based contrast agents are administered intravenously and delayed imaging is performed at least 10 minutes later to achieve optimum contrast between normal and infarcted myocardium. An inversion recovery (IR) sequence is used to null the signal from normal myocardium. Myocardial viability can be assessed by the degree of transmural enhancement. Cardiomyopathic, inflammatory and infiltrative diseases may also have distinctive patterns of non-ischemic LGE.[22][23]
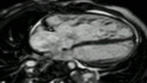
Myocardial infarction. Imaging in the 4-chamber plane. Left: Inversion recovery LGE sequence. Right: Corresponding cine sequence. This shows a chronic infarction with akinetic apex and transmural scar. Mitral regurgitation is also present.
Perfusion
Main page: Physics:Cardiac magnetic resonance imaging perfusion
Adenosine is used as a vasodilator, via the A2A receptor, to increase the difference in perfusion between myocardial territories supplied by normal and stenosed coronary arteries. A continuous intravenous infusion is administered for a few minutes until there are hemodynamic signs of vasodilatation, then a bolus of contrast medium is administered while acquiring saturation recovery images of the heart with a high temporal resolution readout. A positive result is evident from an inducible myocardial perfusion defect. Cost and availability mean that its use is often confined to patients with intermediate pre-test probability,[24] but it has been shown to reduce unnecessary angiography compared with guidelines-directed care.[25]
CMR perfusion. Inducible perfusion defect in the inferior wall.
4D flow CMR
Main page: Physics:Phase contrast magnetic resonance imaging
Conventional phase contrast imaging can be extended by applying flow-sensitive gradients in 3 orthogonal planes within a 3D volume throughout the cardiac cycle. Such 4D imaging encodes the velocity of flowing blood at each voxel in the volume enabling fluid dynamics to be visualised using specialist software. Applications are in complex congenital heart disease and for research into cardiovascular flow characteristics - however it is not in routine clinical use due to the complexity of post-processing and relatively long acquisition times.[26]
4D flow models. Intra- and extracardiac flow is visualised in a time-resolved 4D volume encompassing the heart and great vessels. Left: Flow velocity. Centre: Streamlines. Right: Flow vectors.
Children and congenital heart disease
Main page: Medicine:Congenital heart defect
Congenital heart defects are the most common type of major birth defect. Accurate diagnosis is essential for the development of appropriate treatment plans. CMR can provide comprehensive information about the nature of congenital hearts defects in a safe fashion without using x-rays or entering the body. It is rarely used as the first or sole diagnostic test for congenital heart disease.
Rather, it is typically used in concert with other diagnostic techniques. In general, the clinical reasons for a CMR examination fall into one or more of the following categories: (1) when echocardiography (cardiac ultrasound) cannot provide sufficient diagnostic information, (2) as an alternative to diagnostic cardiac catheterization which involve risks including x-ray radiation exposure, (3) to obtain diagnostic information for which CMR offers unique advantages such as blood flow measurement or identification of cardiac masses, and (4) when clinical assessment and other diagnostic tests are inconsistent. Examples of conditions in which CMR is often used include tetralogy of Fallot, transposition of the great arteries, coarctation of the aorta, single ventricle heart disease, abnormalities of the pulmonary veins, atrial septal defect, connective tissue diseases such as Marfan syndrome, vascular rings, abnormal origins of the coronary arteries, and cardiac tumors.
Atrial septal defect with dilation of the right ventricle by CMR
Partial Anomalous Pulmonary Venous Drainage by CMR
CMR examinations in children typically last 15 to 60 minutes. In order to avoid blurry images the child must remain very still during the examination. Different institutions have different protocols for pediatric CMR, but most children 7 years of age and older can cooperate sufficiently for a good quality examination. Providing an age-appropriate explanation of the procedure to the child in advance will increase the likelihood of a successful study. After proper safety screening, parents can be allowed into the MRI scanner room to help their child complete the examination. Some centers allow children to listen to music or watch movies through a specialized MRI-compatible audiovisual system to reduce anxiety and improve cooperation. However, the presence of a calm, encouraging, supportive parent generally produces better results in terms of pediatric cooperation than any distraction or entertainment strategy short of sedation. If the child cannot cooperate sufficiently, sedation with intravenous medications or general anesthesia may be necessary. In very young babies, it may be possible to perform the examination while they are in a natural sleep. New image capture techniques such as 4D flow require a shorter scan and can lead to reduced needs for sedation.
Enlarged right ventricle with poor function in a patient with repaired tetralogy of Fallot by CMR
Different cardiac-capable magnet types
The majority of CMR is performed on conventional superconducting MRI systems at either 1.5T or 3T.[27] Imaging at 3T field strength offers greater signal to noise ratio which can be traded for improved temporal or spatial resolution – which is of greatest utility in first-pass perfusion studies.[28] However, greater capital costs and effects of off-resonance artefact on image quality mean that many studies are routinely performed at 1.5T.[29] Imaging at 7T field strength is a growing area of research, but is not widely available.[30]
Current manufacturers of cardiac-capable MRI scanners include Philips, Siemens, Hitachi, Toshiba, GE.
History
Main page: Physics:History of magnetic resonance imaging
The phenomenon of nuclear magnetic resonance (NMR) was first described in molecular beams (1938) and bulk matter (1946), work later acknowledged by the award of a joint Nobel prize in 1952. Further investigation laid out the principles of relaxation times leading to nuclear spectroscopy. In 1971, there was the first report of the difference of the relaxation times for water in myocardium and pure water in spin-echo NMR by Hazlewood and Chang.[31] This difference forms the physical basis of the image contrast between cells and extracellular fluid. In 1973, the first simple NMR image was published and the first medical imaging in 1977, entering the clinical arena in the early 1980s. In 1984, NMR medical imaging was renamed MRI. Initial attempts to image the heart were confounded by respiratory and cardiac motion, solved by using cardiac ECG gating, faster scan techniques and breath hold imaging. Increasingly sophisticated techniques were developed including cine imaging and techniques to characterise heart muscle as normal or abnormal (fat infiltration, oedematous, iron loaded, acutely infarcted or fibrosed).
As MRI became more complex and application to cardiovascular imaging became more sophisticated, the Society for Cardiovascular Magnetic Resonance (SCMR) was set up (1996) with an academic journal, Journal of Cardiovascular Magnetic Resonance (JCMR) in 1999. In a move analogous to the development of 'echocardiography' from cardiac ultrasound, the term 'cardiovascular magnetic resonance' (CMR) was proposed and has gained acceptance as the name for the field.
CMR is increasingly recognized as a quantitative imaging modality for evaluation of the heart. The reporting of CMR exams involves manual work and visual assessment. In recent years, with the development of artificial intelligence techniques, the reporting and analysis of cardiac MRI are expected to be more efficient, facilitated by automatic deep learning tools.[32]
Training
Certification of competency in CMR can be obtained at three levels, with different requirements for each. Level 3 requires 50 hours of approved courses, at least 300 studies performed, sitting a written examination and recommendation by a supervisor.[33]
References
↑"Case of the Week Number 06-01. Left Atrial Myxoma". 2016-10-21. http://www.scmr.org/caseoftheweek/case06-01.cfm.
↑ 2.02.1Lee, Daniel C.; Markl, Michael; Dall’Armellina, Erica; Han, Yuchi; Kozerke, Sebastian; Kuehne, Titus; Nielles-Vallespin, Sonia; Messroghli, Daniel et al. (December 2018). "The growth and evolution of cardiovascular magnetic resonance: a 20-year history of the Society for Cardiovascular Magnetic Resonance (SCMR) annual scientific sessions". Journal of Cardiovascular Magnetic Resonance20 (1): 8. doi:10.1186/s12968-018-0429-z. PMID 29386064.
↑ 3.03.1Bunce, Nicholas H.; Ray, Robin; Patel, Hitesh (2020). "30. Cardiology". in Feather, Adam; Randall, David; Waterhouse, Mona (in en). Kumar and Clark's Clinical Medicine (10th ed.). Elsevier. pp. 1042–1044. ISBN 978-0-7020-7870-5. https://books.google.com/books?id=sl3sDwAAQBAJ&pg=PA1042.
↑ 4.04.1von Knobelsdorff-Brenkenhoff, Florian; Pilz, Guenter; Schulz-Menger, Jeanette (December 2017). "Representation of cardiovascular magnetic resonance in the AHA / ACC guidelines". Journal of Cardiovascular Magnetic Resonance19 (1): 70. doi:10.1186/s12968-017-0385-z. PMID 28942735.
↑von Knobelsdorff-Brenkenhoff, Florian; Schulz-Menger, Jeanette (December 2015). "Role of cardiovascular magnetic resonance in the guidelines of the European Society of Cardiology". Journal of Cardiovascular Magnetic Resonance18 (1): 6. doi:10.1186/s12968-016-0225-6. PMID 26800662.
↑Petersen, Steffen E.; Aung, Nay; Sanghvi, Mihir M.; Zemrak, Filip; Fung, Kenneth; Paiva, Jose Miguel; Francis, Jane M.; Khanji, Mohammed Y. et al. (December 2017). "Reference ranges for cardiac structure and function using cardiovascular magnetic resonance (CMR) in Caucasians from the UK Biobank population cohort". Journal of Cardiovascular Magnetic Resonance19 (1): 18. doi:10.1186/s12968-017-0327-9. PMID 28178995.
↑Babu-Narayan, Sonya V.; Giannakoulas, George; Valente, Anne Marie; Li, Wei; Gatzoulis, Michael A. (14 April 2016). "Imaging of congenital heart disease in adults". European Heart Journal37 (15): 1182–1195. doi:10.1093/eurheartj/ehv519. PMID 26424866.
↑Captur, Gabriella; Manisty, Charlotte; Moon, James C (15 September 2016). "Cardiac MRI evaluation of myocardial disease". Heart102 (18): 1429–1435. doi:10.1136/heartjnl-2015-309077. PMID 27354273. https://discovery.ucl.ac.uk/id/eprint/1502457/.
↑Carr, James C.; Carroll, Timothy J. (2016). Magnetic Resonance Angiography: Principles and Applications. Springer New York. ISBN 978-1-4939-4057-8. OCLC 1019592102.[page needed]
↑Kim, Soo Jung; Kim, Kyung Ah (2017). "Safety issues and updates under MR environments". European Journal of Radiology89: 7–13. doi:10.1016/j.ejrad.2017.01.010. PMID 28267552.
↑Gulani, Vikas; Calamante, Fernando; Shellock, Frank G; Kanal, Emanuel; Reeder, Scott B (2017). "Gadolinium deposition in the brain: summary of evidence and recommendations". The Lancet Neurology16 (7): 564–570. doi:10.1016/s1474-4422(17)30158-8. PMID 28653648.
↑"Impact of cardiac magnetic resonance imaging on human lymphocyte DNA integrity". European Heart Journal34 (30): 2340–5. 2013. doi:10.1093/eurheartj/eht184. PMID 23793096.
↑"Genotoxic effects of 3 T magnetic resonance imaging in cultured human lymphocytes". Bioelectromagnetics32 (7): 535–42. 2011. doi:10.1002/bem.20664. PMID 21412810.
↑"Is the genotoxic effect of magnetic resonance negligible? Low persistence of micronucleus frequency in lymphocytes of individuals after cardiac scan". Mutat. Res. Fundam. Mol. Mech. Mutagenesis645 (1–2): 39–43. 2008. doi:10.1016/j.mrfmmm.2008.08.011. PMID 18804118.
↑Suzuki, Y; Ikehata, M; Nakamura, K; Nishioka, M; Asanuma, K; Koana, T; Shimizu, H (November 2001). "Induction of micronuclei in mice exposed to static magnetic fields.". Mutagenesis16 (6): 499–501. doi:10.1093/mutage/16.6.499. PMID 11682641.
↑Critchley, William R; Reid, Anna; Morris, Julie; Naish, Josephine H; Stone, John P; Ball, Alexandra L; Major, Triin; Clark, David et al. (21 January 2018). "The effect of 1.5 T cardiac magnetic resonance on human circulating leucocytes". European Heart Journal39 (4): 305–312. doi:10.1093/eurheartj/ehx646. PMID 29165554.
↑Hill, Mark A (21 January 2018). "Cardiac MR imaging genotoxicity?". European Heart Journal39 (4): 313–315. doi:10.1093/eurheartj/ehx719. PMID 29281062.
↑Nacif, Marcelo Souto; Zavodni, Anna; Kawel, Nadine; Choi, Eui-Young; Lima, João A. C.; Bluemke, David A. (August 2012). "Cardiac magnetic resonance imaging and its electrocardiographs (ECG): tips and tricks". The International Journal of Cardiovascular Imaging28 (6): 1465–1475. doi:10.1007/s10554-011-9957-4. PMID 22033762.
↑Haaf, Philip; Garg, Pankaj; Messroghli, Daniel R.; Broadbent, David A.; Greenwood, John P.; Plein, Sven (January 2017). "Cardiac T1 Mapping and Extracellular Volume (ECV) in clinical practice: a comprehensive review". Journal of Cardiovascular Magnetic Resonance18 (1): 89. doi:10.1186/s12968-016-0308-4. PMID 27899132.
↑Kramer, Christopher M; Barkhausen, Jörg; Flamm, Scott D; Kim, Raymond J; Nagel, Eike; Society for Cardiovascular Magnetic Resonance Board of Trustees Task Force on Standardized, Protocols. (December 2013). "Standardized cardiovascular magnetic resonance (CMR) protocols 2013 update". Journal of Cardiovascular Magnetic Resonance15 (1): 91. doi:10.1186/1532-429X-15-91. PMID 24103764.
↑Doltra, Adelina; Amundsen, Brage Hoyem; Gebker, Rolf; Fleck, Eckart; Kelle, Sebastian (2013). "Emerging Concepts for Myocardial Late Gadolinium Enhancement MRI". Current Cardiology Reviews9 (3): 185–190. doi:10.2174/1573403x113099990030. PMID 23909638.
↑Eijgenraam, Tim R.; Silljé, Herman H.W.; de Boer, Rudolf A. (August 2020). "Current understanding of fibrosis in genetic cardiomyopathies". Trends in Cardiovascular Medicine30 (6): 353–361. doi:10.1016/j.tcm.2019.09.003. PMID 31585768.
↑"Chest pain of recent onset: assessment and diagnosis". 24 March 2010. https://www.nice.org.uk/guidance/cg95.
↑Greenwood, John P.; Ripley, David P.; Berry, Colin; McCann, Gerry P.; Plein, Sven; Bucciarelli-Ducci, Chiara; Dall’Armellina, Erica; Prasad, Abhiram et al. (13 September 2016). "Effect of Care Guided by Cardiovascular Magnetic Resonance, Myocardial Perfusion Scintigraphy, or NICE Guidelines on Subsequent Unnecessary Angiography Rates: The CE-MARC 2 Randomized Clinical Trial". JAMA316 (10): 1051–1060. doi:10.1001/jama.2016.12680. PMID 27570866.
↑Dyverfeldt, Petter; Bissell, Malenka; Barker, Alex J.; Bolger, Ann F.; Carlhäll, Carl-Johan; Ebbers, Tino; Francios, Christopher J.; Frydrychowicz, Alex et al. (December 2015). "4D flow cardiovascular magnetic resonance consensus statement". Journal of Cardiovascular Magnetic Resonance17 (1): 72. doi:10.1186/s12968-015-0174-5. PMID 26257141.
↑"Magnetic Resonance Imaging (MRI) Equipment, Operations and Planning in the NHS". 2017-04-01. https://www.rcr.ac.uk/sites/default/files/cib_mri_equipment_report.pdf.
↑Ripley, David P.; Brown, Julia M.; Everett, Colin C.; Bijsterveld, Petra; Walker, Simon; Sculpher, Mark; McCann, Gerry P.; Berry, Colin et al. (2015). "Rationale and design of the Clinical Evaluation of Magnetic Resonance Imaging in Coronary heart disease 2 trial (CE-MARC 2): A prospective, multicenter, randomized trial of diagnostic strategies in suspected coronary heart disease". American Heart Journal169 (1): 17–24.e1. doi:10.1016/j.ahj.2014.10.008. PMID 25497243.
↑Rajiah, Prabhakar; Bolen, Michael A. (October 2014). "Cardiovascular MR Imaging at 3 T: Opportunities, Challenges, and Solutions". RadioGraphics34 (6): 1612–1635. doi:10.1148/rg.346140048. PMID 25310420.
↑Niendorf, Thoralf; Sodickson, Daniel K.; Krombach, Gabriele A.; Schulz-Menger, Jeanette (December 2010). "Toward cardiovascular MRI at 7 T: clinical needs, technical solutions and research promises". European Radiology20 (12): 2806–2816. doi:10.1007/s00330-010-1902-8. PMID 20676653.
↑Hazlewood, C. F.; Chang, D. C.; Nichols, B. L.; Rorschach, H. E. (March 1971). "Interaction of water molecules with macromolecular structures in cardiac muscle". Journal of Molecular and Cellular Cardiology2 (1): 51–53. doi:10.1016/0022-2828(71)90078-2. PMID 5110317.
↑Tao, Qian; Lelieveldt, Boudewijn P. F.; van der Geest, Rob J. (March 2020). "Deep Learning for Quantitative Cardiac MRI". American Journal of Roentgenology214 (3): 529–535. doi:10.2214/AJR.19.21927. PMID 31670597.
↑Petersen, S. E.; Almeida, A. G.; Alpendurada, F.; Boubertakh, R.; Bucciarelli-Ducci, C.; Cosyns, B.; Greil, G. F.; Karamitsos, T. D. et al. (1 July 2014). "Update of the European Association of Cardiovascular Imaging (EACVI) Core Syllabus for the European Cardiovascular Magnetic Resonance Certification Exam". European Heart Journal - Cardiovascular Imaging15 (7): 728–729. doi:10.1093/ehjci/jeu076. PMID 24855220.
External links
The Society for Cardiovascular Magnetic Resonance
The Journal for Cardiovascular Magnetic Resonance
An Atlas of normal cardiac structure and function by CMR
Having a CMR scan
Cardiac MRI, Technical Aspects Primer at eMedicine
the basics of MRI
MRI tutor
v
t
e
Surgery and other procedures involving the heart (ICD-9-CM V3 35–37+89.4+99.6, ICD-10-PCS 02)
Surgery and IC
Heart valves and septa
Valve repair
Valvulotomy
Mitral valve repair
Valvuloplasty
aortic
mitral
Valve replacement
Aortic valve repair
Aortic valve replacement
Ross procedure
Percutaneous aortic valve replacement
Mitral valve replacement
Percutaneous pulmonary valve implantation
production of septal defect in heart
enlargement of existing septal defect
Atrial septostomy
Balloon septostomy
creation of septal defect in heart
Blalock–Hanlon procedure
shunt from heart chamber to blood vessel
atrium to pulmonary artery
Fontan procedure
left ventricle to aorta
Rastelli procedure
right ventricle to pulmonary artery
Sano shunt
compound procedures
for transposition of the great vessels
Arterial switch operation
Mustard procedure
Senning procedure
for univentricular defect
Norwood procedure
Kawashima procedure
shunt from blood vessel to blood vessel
systemic circulation to pulmonary artery shunt
Blalock–Taussig shunt
SVC to the right PA
Glenn procedure
Cardiac vessels
CHD
Angioplasty
Bypass/Coronary artery bypass
MIDCAB
Off-pump CAB
TECAB
Coronary stent
Bare-metal stent
Drug-eluting stent
Bentall procedure
Valve-sparing aortic root replacement
LeCompte maneuver
Other
Pericardium
Pericardiocentesis
Pericardial window
Pericardiectomy
Myocardium
Cardiomyoplasty
Dor procedure
Septal myectomy
Ventricular reduction
Alcohol septal ablation
Conduction system
Maze procedure
Cox maze and minimaze
Catheter ablation
Cryoablation
Radiofrequency ablation
Pacemaker insertion
Left atrial appendage occlusion
Cardiotomy
Heart transplantation
Diagnostic tests and procedures
Electrophysiology
Electrocardiography
Vectorcardiography
Holter monitor
Implantable loop recorder
Cardiac stress test
Bruce protocol
Electrophysiology study
Cardiac imaging
Angiocardiography
Echocardiography
TTE
TEE
Myocardial perfusion imaging
Cardiovascular MRI
Ventriculography
Radionuclide ventriculography
Cardiac catheterization/Coronary catheterization
Cardiac CT
Cardiac PET
sound
Phonocardiogram
Function tests
Impedance cardiography
Ballistocardiography
Cardiotocography
Pacing
Cardioversion
Transcutaneous pacing
Category
v
t
e
Medical imaging (ICD-9-CM V3 87–88, ICD-10-PCS B, CPT 70010–79999)
X-ray/ Radiography
2D
Medical:
Pneumoencephalography
Dental radiography
Sialography
Myelography
CXR
Bronchography
AXR
KUB
DXA/DXR
Upper gastrointestinal series/Small-bowel follow-through/Lower gastrointestinal series
Cholangiography/Cholecystography
Mammography
Pyelogram
Cystography
Arthrogram
Hysterosalpingography
Skeletal survey
Angiography
Angiocardiography
Aortography
Venography
Lymphogram
Orbital radiography
Industrial:
Radiographic testing
CT scan
Techniques:
General operation of CT
Quantitative CT
High-resolution CT
X-ray microtomography
Electron beam computed tomography
Cone beam computed tomography
Targets
Coronary
Calcium scan
CT angiography
Abdominal and pelvic CT
Virtual colonoscopy
CT angiography
Coronary CT
Pulmonary CT
Head CT
Thyroid CT
Whole body imaging
Full-body CT scan
Other
Fluoroscopy
Dental panoramic radiography
X-ray motion analysis
MRI
MRI of the brain
MR neurography
Cardiac MRI/Cardiac MRI perfusion
MR angiography
MR cholangiopancreatography
Breast MRI
Functional MRI
Sequences
Diffusion MRI
Perfusion MRI
Tractography
Synthetic MRI
Ultrasound
Echocardiography
Doppler ultrasonography
Doppler echocardiography
TTE
TEE
Transcranial Doppler
Intravascular
Gynecologic
Obstetric
Echoencephalography
Abdominal ultrasonography
Transrectal
Breast ultrasound
Transscrotal ultrasound
Carotid ultrasonography
Contrast-enhanced
3D ultrasound
Endoscopic ultrasound
Emergency ultrasound
FAST
Pre-hospital ultrasound
Duplex
Radionuclide
2D / scintigraphy
Cholescintigraphy
Scintimammography
Ventilation/perfusion scan
Radionuclide ventriculography
Radionuclide angiography
Radioisotope renography
Sestamibi parathyroid scintigraphy
Radioactive iodine uptake test
Bone scintigraphy
Immunoscintigraphy
Dacryoscintigraphy
DMSA scan
Gastric emptying scan
Full body:
Octreotide scan
Gallium 67 scan
Indium-111 WBC scan
3D / ECT
SPECT (gamma ray):
Myocardial perfusion imaging
PET (positron):
Brain PET
Cardiac PET
PET mammography
PET-CT
PET-MRI
Optical/Laser
Optical tomography
Optical coherence tomography
Confocal microscopy
Endomicroscopy
Orthogonal polarization spectral imaging
Thermography
non-contact thermography
contact thermography
dynamic angiothermography
Target conditions
Acute stroke
Pregnancy
Category
0.00
(0 votes)
Original source: https://en.wikipedia.org/wiki/Cardiac magnetic resonance imaging. Read more