Large Granular Lymphocytic Leukemia

From Mdwiki

Large granular lymphocytic leukemia
Diseases commonly associated with LGL leukemia (and representation of underlying pathogenesis)[1]
SpecialtyHematology, oncology

Large granular lymphocytic (LGL) leukemia is a chronic lymphoproliferative disorder that exhibits an unexplained, chronic (> 6 months) elevation in large granular lymphocytes (LGLs) in the peripheral blood.[2]

It is divided in two main categories: T-cell LGL leukemia (T-LGLL) and natural-killer (NK)-cell LGL leukemia (NK-LGLL). As the name suggests, T-cell large granular lymphocyte leukemia is characterized by involvement of cytotoxic-T cells).[3]

In a study based in the US, the average age of diagnosis was 66.5 years[4] whereas in a French study the median age at diagnosis was 59 years (with an age range of 12–87 years old).[5] In the French study, only 26% of patients were younger than 50 years which suggests that this disorder is associated with older age at diagnosis.[5] Due to lack of presenting symptoms, the disorder is likely to be underdiagnosed in the general population.[6]

Signs and symptoms[edit | edit source]

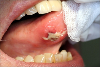
Painful ulcer on the right ventral tongue with irregular margins[7]

This disease is known for an indolent clinical course and incidental discovery.[2] The most common physical finding is moderate splenomegaly. B symptoms are seen in a third of cases, and recurrent infections due to anaemia and/or neutropenia[8] are seen in almost half of cases.[9][10][11][12]

Rheumatoid arthritis is commonly observed in people with T-LGLL, leading to a clinical presentation similar to Felty's syndrome.[13] Signs and symptoms of anemia are commonly found, due to the association between T-LGLL and erythroid hypoplasia.[14]

Sites of involvement[edit | edit source]

The leukemic cells of T-LGLL can be found in peripheral blood, bone marrow, spleen, and liver. Nodal involvement is rare.[2][9]

Cause[edit | edit source]

The postulated cells of origin of T-LGLL leukemia are transformed CD8+ T-cell with clonal rearrangements of β chain T-cell receptor genes for the majority of cases and a CD8- T-cell with clonal rearrangements of γ chain T-cell receptor genes for a minority of cases.[2]

Diagnosis[edit | edit source]

Laboratory findings[edit | edit source]

The requisite lymphocytosis of this disease is typically 2-20x109/L.[14]

Immunoglobulin derangements including hypergammaglobulinemia, autoantibodies, and circulating immune complexes are commonly seen.[12][15][16][17]

Peripheral blood[edit | edit source]

The neoplastic lymphocytes seen in this disease are large in size with azurophilic granules that contains proteins involved in cell lysis such as perforin and granzyme B.[18] Flow cytometry is also commonly used.[19]

Bone marrow[edit | edit source]

Bone marrow involvement in this disease is often present, but to a variable extent. Bone marrow biopsy is commonly used for diagnosis. The lymphocytic infiltrate is usually interstitial, but a nodular pattern rarely occurs.[2]

Immunophenotype[edit | edit source]

The neoplastic cells of this disease display a mature T-cell immunophenotype, with the majority of cases showing a CD4-/CD8+ T-cell subset immunophenotype versus other permutations of those markers.[10][11] Variable expression of CD11b, CD56, and CD57[12] are observed. Immunohistochemistry for perforin, TIA-1, and granzyme B are usually positive.[2]

Type Immunophenotype
Common type (80% of cases) CD3+, TCRαβ+, CD4-, CD8+
Rare variants CD3+, TCRαβ+, CD4+, CD8-
CD3+, TCRαβ+, CD4+, CD8+
CD3+, TCRγδ+, CD4 and CD8 variable

Genetic findings[edit | edit source]

Clonal rearrangements of the T-cell receptor (TCR) genes are a necessary condition for the diagnosis of this disease. The gene for the β chain of the TCR is found to be rearranged more often than the γ chain. of the TCR.[16][20]

Current evidence suggests that patients with STAT3 mutations are more likely to respond to methotrexate therapy.[21]

Treatment[edit | edit source]

First line treatment is immunosuppressive therapy. A weekly dosage of Methotrexate (with or without daily Prednisone) may induce partial or complete response in some patients while others may require Cyclosporine or Cyclophosphamide.[8]

Alemtuzumab has been investigated for use in treatment of refractory T-cell large granular lymphocytic leukemia.[22]

Experimental data suggests that treatment with calcitrol (the active form of vitamin D) may be useful in treating T-cell LGL due to its ability to decrease pro-inflammatory cytokines.[23]

Prognosis[edit | edit source]

The 5 year survival has been noted as 89% in at least one study from France of 201 patients with T-LGL leukemia.[5]

Epidemiology[edit | edit source]

T-LGLL is a rare form of leukemia, comprising 2-3% of all cases of chronic lymphoproliferative disorders.[citation needed]

History[edit | edit source]

LGLL was discovered in 1985 by Thomas P. Loughran Jr. while working at Fred Hutchinson Cancer Research Center.[24] Specimens from patients with LGLL are banked at the University of Virginia for research purposes, the only bank for such purposes.[25]

References[edit | edit source]

  1. Zawit, M; Bahaj, W; Gurnari, C; Maciejewski, J (1 September 2021). "Large Granular Lymphocytic Leukemia: From Immunopathogenesis to Treatment of Refractory Disease". Cancers. 13 (17). doi:10.3390/cancers13174418. PMID 34503230. Archived from the original on 22 May 2024. Retrieved 22 May 2024.
  2. 2.0 2.1 2.2 2.3 2.4 2.5 Elaine Sarkin Jaffe; Nancy Lee Harris; World Health Organization; International Agency for Research on Cancer; Harald Stein; J.W. Vardiman (2001). Pathology and genetics of tumours of haematopoietic and lymphoid tissues. World Health Organization Classification of Tumors. Vol. 3. Lyon: IARC Press. ISBN 978-92-832-2411-2.
  3. Epling-Burnette PK, Sokol L, Chen X, et al. (December 2008). "Clinical improvement by farnesyltransferase inhibition in NK large granular lymphocyte leukemia associated with imbalanced NK receptor signaling". Blood. 112 (12): 4694–8. doi:10.1182/blood-2008-02-136382. PMC 2597136. PMID 18791165.
  4. Shah, M V; Hook, C C; Call, T G; Go, R S (August 2016). "A population-based study of large granular lymphocyte leukemia". Blood Cancer Journal. 6 (8): e455. doi:10.1038/bcj.2016.59. ISSN 2044-5385. PMC 5022177. PMID 27494824.
  5. 5.0 5.1 5.2 Bareau, B; Rey, J; Hamidou, M; Donadieu, J; Morcet, J; Reman, O; Schleinitz, N; Tournilhac, O; et al. (2010). "Analysis of a French cohort of patients with large granular lymphocyte leukemia: A report on 229 cases". Haematologica. 95 (9): 1534–41. doi:10.3324/haematol.2009.018481. PMC 2930955. PMID 20378561.
  6. Kojić Katović, Sandra (2018). "T-Cell Large Granular Lymphocytic Leukemia – Case Report". Acta Clinica Croatica. 57 (2): 362–365. doi:10.20471/acc.2018.57.02.18. ISSN 0353-9466. PMC 6531996. PMID 30431731.
  7. Armitage, James O.; Mauch, Peter M.; Harris, Nancy Lee; Coiffier, Bertrand; Dalla-Favera, Riccardo (8 August 2013). Non-Hodgkin Lymphomas. Lippincott Williams & Wilkins. p. 395. ISBN 978-1-4698-3731-4. Retrieved 22 November 2022.
  8. 8.0 8.1 Sanikommu, Srinivasa R.; Clemente, Michael J.; Chomczynski, Peter; Afable, Manuel G.; Jerez, Andres; Thota, Swapna; Patel, Bhumika; Hirsch, Cassandra; Nazha, Aziz (2017-06-20). "Clinical features and treatment outcomes in large granular lymphocytic leukemia (LGLL)". Leukemia & Lymphoma. 59 (2): 416–422. doi:10.1080/10428194.2017.1339880. ISSN 1042-8194. PMC 8694069. PMID 28633612.
  9. 9.0 9.1 Lamy T, Loughran TP (January 1998). "Large Granular Lymphocyte Leukemia". Cancer Control. 5 (1): 25–33. doi:10.1177/107327489800500103. PMID 10761014. Archived from the original on 2008-10-06. Retrieved 2022-10-21.
  10. 10.0 10.1 Chan WC, Link S, Mawle A, Check I, Brynes RK, Winton EF (November 1986). "Heterogeneity of large granular lymphocyte proliferations: delineation of two major subtypes". Blood. 68 (5): 1142–53. doi:10.1182/blood.V68.5.1142.1142. PMID 3490288. Archived from the original on 2022-11-23. Retrieved 2022-10-21.
  11. 11.0 11.1 Pandolfi F, Loughran TP, Starkebaum G, et al. (January 1990). "Clinical course and prognosis of the lymphoproliferative disease of granular lymphocytes. A multicenter study". Cancer. 65 (2): 341–8. doi:10.1002/1097-0142(19900115)65:2<341::AID-CNCR2820650227>3.0.CO;2-2. PMID 2403836.
  12. 12.0 12.1 12.2 Lamy T, Loughran TP (July 2003). "Clinical features of large granular lymphocyte leukemia". Semin. Hematol. 40 (3): 185–95. doi:10.1016/S0037-1963(03)00133-1. PMID 12876667.
  13. Loughran TP, Starkebaum G, Kidd P, Neiman P (January 1988). "Clonal proliferation of large granular lymphocytes in rheumatoid arthritis". Arthritis Rheum. 31 (1): 31–6. doi:10.1002/art.1780310105. PMID 3345230.
  14. 14.0 14.1 Kwong YL, Wong KF (September 1998). "Association of pure red cell aplasia with T large granular lymphocyte leukaemia". J. Clin. Pathol. 51 (9): 672–5. doi:10.1136/jcp.51.9.672. PMC 500904. PMID 9930071.
  15. Oshimi K, Yamada O, Kaneko T, et al. (June 1993). "Laboratory findings and clinical courses of 33 patients with granular lymphocyte-proliferative disorders". Leukemia. 7 (6): 782–8. PMID 8388971.
  16. 16.0 16.1 Loughran TP, Starkebaum G, Aprile JA (March 1988). "Rearrangement and expression of T-cell receptor genes in large granular lymphocyte leukemia". Blood. 71 (3): 822–4. doi:10.1182/blood.V71.3.822.822. PMID 3345349. Archived from the original on 2022-11-23. Retrieved 2022-10-21.
  17. Loughran TP, Kadin ME, Starkebaum G, et al. (February 1985). "Leukemia of large granular lymphocytes: association with clonal chromosomal abnormalities and autoimmune neutropenia, thrombocytopenia, and hemolytic anemia". Ann. Intern. Med. 102 (2): 169–75. doi:10.7326/0003-4819-102-2-169. PMID 3966754.
  18. Semenzato G, Zambello R, Starkebaum G, Oshimi K, Loughran TP (January 1997). "The lymphoproliferative disease of granular lymphocytes: updated criteria for diagnosis". Blood. 89 (1): 256–60. doi:10.1182/blood.V89.1.256. PMID 8978299. Archived from the original on 2022-11-23. Retrieved 2022-10-21.
  19. Lamy, Thierry; Loughran, Thomas P. (2011-03-10). "How I treat LGL leukemia". Blood. 117 (10): 2764–2774. doi:10.1182/blood-2010-07-296962. ISSN 0006-4971. PMC 3062292. PMID 21190991.
  20. Vie H, Chevalier S, Garand R, et al. (July 1989). "Clonal expansion of lymphocytes bearing the gamma delta T-cell receptor in a patient with large granular lymphocyte disorder". Blood. 74 (1): 285–90. doi:10.1182/blood.V74.1.285.285. PMID 2546620. Archived from the original on 2022-11-23. Retrieved 2022-10-21.
  21. Shi, Min; He, Rong; Feldman, Andrew L.; Viswanatha, David S.; Jevremovic, Dragan; Chen, Dong; Morice, William G. (March 2018). "STAT3 mutation and its clinical and histopathologic correlation in T-cell large granular lymphocytic leukemia". Human Pathology. 73: 74–81. doi:10.1016/j.humpath.2017.12.014. ISSN 0046-8177. PMID 29288042.
  22. Rosenblum MD, LaBelle JL, Chang CC, Margolis DA, Schauer DW, Vesole DH (March 2004). "Efficacy of alemtuzumab treatment for refractory T-cell large granular lymphocytic leukemia". Blood. 103 (5): 1969–71. doi:10.1182/blood-2003-11-3951. PMID 14976065.
  23. Olson, Kristine C.; Kulling, Paige M.; Olson, Thomas L.; Tan, Su-Fern; Rainbow, Rebecca J.; Feith, David J.; Loughran, Thomas P. (2016-10-07). "Vitamin D decreases STAT phosphorylation and inflammatory cytokine output in T-LGL leukemia". Cancer Biology & Therapy. 18 (5): 290–303. doi:10.1080/15384047.2016.1235669. ISSN 1538-4047. PMC 5499847. PMID 27715403.
  24. "Archived copy" (PDF). Archived from the original (PDF) on 2016-12-21. Retrieved 2016-12-12.{{cite web}}: CS1 maint: archived copy as title (link)
  25. "LGL Leukemia Program | UVA Health System". Archived from the original on 2016-12-21. Retrieved 2022-10-21.

External links[edit | edit source]

Classification

Categories: [Lymphocytic leukemia]


Download as ZWI file | Last modified: 05/26/2024 23:56:22 | 1 views
☰ Source: https://mdwiki.org/wiki/Large_granular_lymphocytic_leukemia | License: CC BY-SA 3.0

ZWI is not signed. [what is this?]