Distal Spinal Muscular Atrophy Type 1

From Mdwiki

Distal spinal muscular atrophy type 1
Other names: Spinal muscular atrophy with respiratory distress type 1 (SMARD1), Distal hereditary motor neuronopathy type 6 (DHMN6) and Severe infantile axonal neuronopathy with respiratory failure
Autosomal recessive - en.svg
Distal spinal muscular atrophy type 1 is inherited via an autosomal recessive manner.

Distal spinal muscular atrophy type 1 (DSMA1), also known as spinal muscular atrophy with respiratory distress type 1 (SMARD1), is a rare neuromuscular disorder involving death of motor neurons in the spinal cord which leads to a generalised progressive atrophy of body muscles.

The condition is caused by a genetic mutation in the IGHMBP2 gene[1][2] and is inherited in an autosomal recessive manner. There is no known cure to DSMA1, and research of the disorder is still in early stages due to low incidence and high mortality rates.[1]

Signs and symptoms[edit | edit source]

Usually, the first respiratory symptoms are shortness of breath (dyspnea) and paradoxical respirations which then escalate within the first few months of life to diaphragmatic paralysis.[2] The symptoms of diaphragmatic paralysis come on very rapidly and without warning, and the patient is often rushed to a hospital where they are placed on a ventilator for respiratory support.[3] Due to the severe nature of diaphragmatic paralysis, the patient eventually needs continuous ventilation support to survive.[2] Continuous ventilation, however, may in itself cause damage to the anatomy of the lungs.[2]

In addition to diaphragmatic paralysis, other issues may arise: as the name suggests, the distal limbs are most affected with symptoms of weakness,[3] restricting mobility due to (near-)paralysis of the distal limbs as well as the head and neck.[3] Also, dysfunction of the peripheral nerves and the autonomic nervous system may occur.[1] Due to these dysfunctions, the patients have been shown to suffer from excessive sweating and irregular heartbeat.[2] The deep tendon reflex is also lost in patients with DSMA1.[3]

Uterine growth retardation and poor foetal movement have been observed in severe DSMA1 cases.[2]

Causes[edit | edit source]

Location of the IGHMBP2 gene on chromosome 11, locus 11q13.3

DSMA1 is caused by a genetic mutation in the IGHMBP2 gene (located on chromosome 11, locus 11q13.3), which codes the immunoglobulin helicase μ-binding protein 2. The role of the IGHMBP2 protein is not fully understood, but it is known to affect mRNA processing.[1] The cellular mechanisms of the mutation, as well as the protein mechanisms disrupted by the mutation, are unknown.[3] IGHMBP2 mutations are usually random mutations which are normally not passed down through generations.[1]

Pathophysiology[edit | edit source]

The pathology underlying the observable characteristics of DSMA1 is cell body degeneration of motor nerves. Specifically, the anterior horn α-motorneurons degenerate within the first six months of life leading to a variety of symptoms. Muscle deterioration increases at around 1–2 years of age, resulting in reduced motor function. The most severely affected muscles include facial muscles and the tongue (which may develop a twitch due to hypoglossal nerve paralysis). Reduced pain sensation and excessive sweating are sometimes observed. Non-ambulant patients may develop pressure ulcers, severe constipation, urinary incontinence, and (rarely) reflux nephropathy in the advanced stages of the disease.[3]

Diagnosis[edit | edit source]

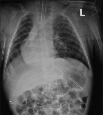
Spinal muscular atrophy with respiratory distress syndrome (SMARD1)- demonstrates eventration of right diaphragm

The diagnosis for DMSA1 is usually masked by a diagnosis for a respiratory disorder. In infants, DMSAI is usually the cause of acute respiratory insufficiency in the first 6 months of life.[2] The respiratory distress should be confirmed as diaphragmatic palsy by fluoroscopy or by electromyography. Although the patient may have a variety of other symptoms the diaphragmatic palsy confirmed by fluoroscopy or other means is the main criteria for diagnosis. This is usually confirmed with genetic testing looking for mutations in the IGHMBP2 gene.[1] The patient can be misdiagnosed if the respiratory distress is mistaken for a severe respiratory infection or DMSA1 can be mistaken for SMA1 because their symptoms are so similar but the genes which are affected are different. This is why genetic testing is necessary to confirm the diagnosis of DMSA.[1]

Classification[edit | edit source]

DSMA1 was identified and classified as a sub-group of spinal muscular atrophies (SMA) in 1974.[3] Currently, various classifications include DSMA1 among general spinal muscular atrophies or distal hereditary motor neuropathies, though the latter has been argued to be more correct.[4]

Treatment[edit | edit source]

There is no known cure to DSMA1, and care is primarily supportive. Patients require respiratory support which may include non-invasive ventilation or tracheal intubation. The child may also undergo additional immunisations and offered antibiotics to prevent respiratory infections. Maintaining a healthy weight is also important. Patients are at risk of undernutrition and weight loss because of the increased energy spent for breathing.[5] Physical and occupational therapy for the child can be very effective in maintaining muscle strength.[6]

There is no published practice standard for the care in DSMA1, even though the Spinal Muscular Atrophy Standard of Care Committee has been trying to come to a consensus on the care standards for DSMA1 patients. The discrepancies in the practitioners’ knowledge, family resources, and differences in patient's culture and/or residency have played a part in the outcome of the patient.[6]

Prognosis[edit | edit source]

DSMA1 is usually fatal in early childhood.[1] The patient, normally a child, suffers a progressive degradation of the respiratory system until respiratory failure. There is no consensus on the life expectancy in DSMA1 despite a number of studies being conducted. A small number of patients survive past two years of age but they lack signs of diaphragmatic paralysis or their breathing is dependent on a ventilation system.[1]

Research directions[edit | edit source]

The disease has only been identified as distinct from SMA recently, so research is still experimental, taking place mostly in animal models. Several therapy pathways have been devised which include gene therapy, whereby an IGHMBP2 transgene is delivered to the cell using a viral vector,[7] and small-molecule drugs like growth factors (e.g., IGF-1 and VEGF) or olesoxime. Studies in amyotrophic lateral sclerosis are also considered helpful because the condition is relatively similar to DSMA1.[citation needed]

See also[edit | edit source]

References[edit | edit source]

  1. 1.0 1.1 1.2 1.3 1.4 1.5 1.6 1.7 1.8 Messina, M. F.; Messina, S.; Gaeta, M.; Rodolico, C.; Salpietro Damiano, A. M.; Lombardo, F.; Crisafulli, G.; De Luca, F. (2011). "Infantile spinal muscular atrophy with respiratory distress type I (SMARD 1): An atypical phenotype and review of the literature". European Journal of Paediatric Neurology. 16 (1): 90–4. doi:10.1016/j.ejpn.2011.10.005. PMID 22099258.
  2. 2.0 2.1 2.2 2.3 2.4 2.5 2.6 Giannini, A.; Pinto, A. M.; Rossetti, G.; Prandi, E.; Tiziano, D.; Brahe, C.; Nardocci, N. (2006). "Respiratory failure in infants due to spinal muscular atrophy with respiratory distress type 1". Intensive Care Medicine. 32 (11): 1851–1855. doi:10.1007/s00134-006-0346-8. PMID 16964485. S2CID 2180011.
  3. 3.0 3.1 3.2 3.3 3.4 3.5 3.6 Kaindl, A. M.; Guenther, U. -P.; Rudnik-Schoneborn, S.; Varon, R.; Zerres, K.; Schuelke, M.; Hubner, C.; Von Au, K. (2007). "Spinal Muscular Atrophy with Respiratory Distress Type 1 (SMARD1)". Journal of Child Neurology. 23 (2): 199–204. doi:10.1177/0883073807310989. PMID 18263757. S2CID 38923248.
  4. Irobi, J.; Dierick, I.; Jordanova, A.; Clayes, K. G.; Jonghe, P.; Timmerman, V. (2006). "Unraveling the genetics of distal hereditary motor neuronopathies". NeuroMolecular Medicine. 8 (1–2): 131–146. doi:10.1385/NMM:8:1-2:131. PMID 16775372. S2CID 19966259.
  5. Oskoui, M.; Kaufmann, P. (2008). "Spinal muscular atrophy". Neurotherapeutics. 5 (4): 499–506. doi:10.1016/j.nurt.2008.08.007. PMC 4514700. PMID 19019300.
  6. 6.0 6.1 Wang, C. H.; Finkel, R. S.; Bertini, E. S.; Schroth, M.; Simonds, A.; Wong, B.; Aloysius, A.; Morrison, L.; Main, M.; Crawford, T. O.; Trela, A.; Participants of the International Conference on SMA Standard of Care (2007). "Consensus Statement for Standard of Care in Spinal Muscular Atrophy". Journal of Child Neurology. 22 (8): 1027–1049. doi:10.1177/0883073807305788. PMID 17761659. S2CID 6478040.
  7. Nizzardo, M; Simone, C; Rizzo, F; Salani, S; Dametti, S; Rinchetti, P; Del Bo, R; Foust, K; Kaspar, B. K.; Bresolin, N; Comi, G. P.; Corti, S (2015). "Gene therapy rescues disease phenotype in a spinal muscular atrophy with respiratory distress type 1 (SMARD1) mouse model". Science Advances. 1 (2): e1500078. Bibcode:2015SciA....1E0078N. doi:10.1126/sciadv.1500078. PMC 4643829. PMID 26601156.

Further reading[edit | edit source]

  • Eckart, M.; Guenther, U. -P.; Idkowiak, J.; Varon, R.; Grolle, B.; Boffi, P.; Van Maldergem, L.; Hübner, C.; Schuelke, M.; Von Au, K. (2011). "The Natural Course of Infantile Spinal Muscular Atrophy with Respiratory Distress Type 1 (SMARD1)". Pediatrics. 129 (1): e148–e156. doi:10.1542/peds.2011-0544. PMID 22157136. S2CID 8263009.
  • Grohmann, K.; Varon, R.; Stolz, P.; Schuelke, M.; Janetzki, C.; Bertini, E.; Bushby, K.; Muntoni, F.; Ouvrier, R.; Van Maldergem, L.; Goemans, N. M. L. A.; Lochmüller, H.; Eichholz, S.; Adams, C.; Bosch, F.; Grattan-Smith, P.; Navarro, C.; Neitzel, H.; Polster, T.; Topaloğlu, H.; Steglich, C.; Guenther, U. P.; Zerres, K.; Rudnik-Schöneborn, S.; Hübner, C. (2003). "Infantile spinal muscular atrophy with respiratory distress type 1 (SMARD1)". Annals of Neurology. 54 (6): 719–724. doi:10.1002/ana.10755. PMID 14681881. S2CID 2345441.
  • Kaindl, A. M.; Guenther, U. -P.; Rudnik-Schoneborn, S.; Varon, R.; Zerres, K.; Schuelke, M.; Hubner, C.; Von Au, K. (2007). "Spinal Muscular Atrophy with Respiratory Distress Type 1 (SMARD1)". Journal of Child Neurology. 23 (2): 199–204. doi:10.1177/0883073807310989. PMID 18263757. S2CID 38923248.
  • Messina, M. F.; Messina, S.; Gaeta, M.; Rodolico, C.; Salpietro Damiano, A. M.; Lombardo, F.; Crisafulli, G.; De Luca, F. (2011). "Infantile spinal muscular atrophy with respiratory distress type I (SMARD 1): An atypical phenotype and review of the literature". European Journal of Paediatric Neurology. 16 (1): 90–4. doi:10.1016/j.ejpn.2011.10.005. PMID 22099258.
  • Giannini, A.; Pinto, A. M.; Rossetti, G.; Prandi, E.; Tiziano, D.; Brahe, C.; Nardocci, N. (2006). "Respiratory failure in infants due to spinal muscular atrophy with respiratory distress type 1". Intensive Care Medicine. 32 (11): 1851–1855. doi:10.1007/s00134-006-0346-8. PMID 16964485. S2CID 2180011.

External links[edit | edit source]

Classification
External resources

Categories: [Motor neuron diseases] [Autosomal recessive disorders] [Neurogenetic disorders] [Neuromuscular disorders]


Download as ZWI file | Last modified: 10/27/2023 11:55:27 | 1 views
☰ Source: https://mdwiki.org/wiki/Distal_spinal_muscular_atrophy_type_1 | License: CC BY-SA 3.0

ZWI signed:
  Encycloreader by the Knowledge Standards Foundation (KSF) ✓[what is this?]