From Handwiki | Pathogenic bacteria | |
|---|---|
![]() | |
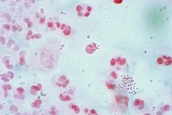
| Neisseria gonorrhoeae (small red dots) in pus from a man with a urethral discharge (Gram stain) |
Pathogenic bacteria are bacteria that can cause disease.[1] This article focuses on the bacteria that are pathogenic to humans. Most species of bacteria are harmless and are often beneficial but others can cause infectious diseases. The number of these pathogenic species in humans is estimated to be fewer than a hundred.[2] By contrast, several thousand species are part of the gut flora present in the digestive tract.[citation needed]
The body is continually exposed to many species of bacteria, including beneficial commensals, which grow on the skin and mucous membranes, and saprophytes, which grow mainly in the soil and in decaying matter. The blood and tissue fluids contain nutrients sufficient to sustain the growth of many bacteria. The body has defence mechanisms that enable it to resist microbial invasion of its tissues and give it a natural immunity or innate resistance against many microorganisms.
Pathogenic bacteria are specially adapted and endowed with mechanisms for overcoming the normal body defences, and can invade parts of the body, such as the blood, where bacteria are not normally found. Some pathogens invade only the surface epithelium, skin or mucous membrane, but many travel more deeply, spreading through the tissues and disseminating by the lymphatic and blood streams. In some rare cases a pathogenic microbe can infect an entirely healthy person, but infection usually occurs only if the body's defence mechanisms are damaged by some local trauma or an underlying debilitating disease, such as wounding, intoxication, chilling, fatigue, and malnutrition. In many cases, it is important to differentiate infection and colonization, which is when the bacteria are causing little or no harm.
Caused by Mycobacterium tuberculosis bacteria, one of the diseases with the highest disease burden is tuberculosis, which killed 1.4 million people in 2019, mostly in sub-Saharan Africa.[4] Pathogenic bacteria contribute to other globally important diseases, such as pneumonia, which can be caused by bacteria such as Staphylococcus, Streptococcus and Pseudomonas, and foodborne illnesses, which can be caused by bacteria such as Shigella, Campylobacter, and Salmonella. Pathogenic bacteria also cause infections such as tetanus, typhoid fever, diphtheria, syphilis, and leprosy.
Pathogenic bacteria are also the cause of high infant mortality rates in developing countries.[5] A GBD study estimated the global death rates from (33) bacterial pathogens, finding such infections contributed to one in 8 deaths (or ~7.7 million deaths), which could make it the second largest cause of death globally in 2019.[6][3]
Most pathogenic bacteria can be grown in cultures and identified by Gram stain and other methods. Bacteria grown in this way are often tested to find which antibiotics will be an effective treatment for the infection. For hitherto unknown pathogens, Koch's postulates are the standard to establish a causative relationship between a microbe and a disease.
Each species has specific effect and causes symptoms in people who are infected. Some people who are infected with a pathogenic bacteria do not have symptoms. Immunocompromised individuals are more susceptible to pathogenic bacteria.[7]
Some pathogenic bacteria cause disease under certain conditions, such as entry through the skin via a cut, through sexual activity or through compromised immune function.[citation needed]
Some species of Streptococcus and Staphylococcus are part of the normal skin microbiota and typically reside on healthy skin or in the nasopharyngeal region. Yet these species can potentially initiate skin infections. Streptococcal infections include sepsis, pneumonia, and meningitis.[8] These infections can become serious creating a systemic inflammatory response resulting in massive vasodilation, shock, and death.[9]
Other bacteria are opportunistic pathogens and cause disease mainly in people with immunosuppression or cystic fibrosis. Examples of these opportunistic pathogens include Pseudomonas aeruginosa, Burkholderia cenocepacia, and Mycobacterium avium.[10][11]
Obligate intracellular parasites (e.g. Chlamydophila, Ehrlichia, Rickettsia) have the ability to only grow and replicate inside other cells. Even these intracellular infections may be asymptomatic, requiring an incubation period. An example of this is Rickettsia which causes typhus. Another causes Rocky Mountain spotted fever.[citation needed]
Chlamydia are intracellular parasites. These pathogens can cause pneumonia or urinary tract infection and may be involved in coronary heart disease.[12]
Other groups of intracellular bacterial pathogens include Salmonella, Neisseria, Brucella, Mycobacterium, Nocardia, Listeria, Francisella, Legionella, and Yersinia pestis. These can exist intracellularly, but can exist outside host cells.[citation needed]
Bacterial pathogens often cause infection in specific areas of the body. Others are generalists.
The symptoms of disease appear as pathogenic bacteria damage host tissues or interfere with their function. The bacteria can damage host cells directly or indirectly by provoking an immune response that inadvertently damages host cells,[21] or by releasing toxins.[22]
Once pathogens attach to host cells, they can cause direct damage as the pathogens use the host cell for nutrients and produce waste products.[23] For example, Streptococcus mutans, a component of dental plaque, metabolizes dietary sugar and produces acid as a waste product. The acid decalcifies the tooth surface to cause dental caries.[24]
Endotoxins are the lipid portions of lipopolysaccharides that are part of the outer membrane of the cell wall of gram-negative bacteria. Endotoxins are released when the bacteria lyses, which is why after antibiotic treatment, symptoms can worsen at first as the bacteria are killed and they release their endotoxins. Exotoxins are secreted into the surrounding medium or released when the bacteria die and the cell wall breaks apart.[25]
An excessive or inappropriate immune response triggered by an infection may damage host cells.[1]
Iron is required for humans, as well as the growth of most bacteria. To obtain free iron, some pathogens secrete proteins called siderophores, which take the iron away from iron-transport proteins by binding to the iron even more tightly. Once the iron-siderophore complex is formed, it is taken up by siderophore receptors on the bacterial surface and then that iron is brought into the bacterium.[25]
Bacterial pathogens also require access to carbon and energy sources for growth. To avoid competition with host cells for glucose which is the main energy source used by human cells, many pathogens including the respiratory pathogen Haemophilus influenzae specialise in using other carbon sources such as lactate that are abundant in the human body [26]
Typically identification is done by growing the organism in a wide range of cultures which can take up to 48 hours. The growth is then visually or genomically identified. The cultured organism is then subjected to various assays to observe reactions to help further identify species and strain.[27]
Bacterial infections may be treated with antibiotics, which are classified as bacteriocidal if they kill bacteria or bacteriostatic if they just prevent bacterial growth. There are many types of antibiotics and each class inhibits a process that is different in the pathogen from that found in the host. For example, the antibiotics chloramphenicol and tetracyclin inhibit the bacterial ribosome but not the structurally different eukaryotic ribosome, so they exhibit selective toxicity.[28] Antibiotics are used both in treating human disease and in intensive farming to promote animal growth. Both uses may be contributing to the rapid development of antibiotic resistance in bacterial populations.[29] Phage therapy, using bacteriophages can also be used to treat certain bacterial infections.[30]
Infections can be prevented by antiseptic measures such as sterilizing the skin prior to piercing it with the needle of a syringe and by proper care of indwelling catheters. Surgical and dental instruments are also sterilized to prevent infection by bacteria. Disinfectants such as bleach are used to kill bacteria or other pathogens on surfaces to prevent contamination and further reduce the risk of infection. Bacteria in food are killed by cooking to temperatures above 73 °C (163 °F).[citation needed]
Many genera contain pathogenic bacterial species. They often possess characteristics that help to classify and organize them into groups. The following is a partial listing.
| Genus | Species | Gram staining | Shape | Oxygen requirement | Intra/Extracellular |
|---|---|---|---|---|---|
| Bacillus[31] |
|
Positive | Rods | Facultative anaerobic | Extracellular |
| Bartonella[31] |
|
Negative | Rods | Aerobic | Facultative intracellular |
| Bordetella[31] |
|
Negative | Small coccobacilli | Aerobic | Extracellular |
| Borrelia[31] |
|
Negative, stains poorly | Spirochete | Anaerobic | Extracellular |
| Brucella[31] |
|
Negative | Coccobacilli | Aerobic | Intracellular |
| Campylobacter[31] |
|
Negative | Spiral rods[34] coccoid in older cultures[34] |
Microaerophilic[34] | Extracellular |
| Chlamydia and Chlamydophila[31] |
|
(not Gram-stained) | Small, round, ovoid | Facultative or strictly aerobic | Obligate intracellular |
| Clostridium[31] |
|
Positive | Large, blunt-ended rods | Obligate anaerobic | Extracellular |
| Corynebacterium[31] |
|
Positive (unevenly) | Rods | Mostly facultative anaerobic | Extracellular |
| Enterococcus[33][37] |
|
Positive | Cocci | Facultative Anaerobic | Extracellular |
| Escherichia[5][33][38] |
|
Negative | Rods | Facultative anaerobic | Extracellular or Intracellular |
| Francisella[31] |
|
Negative | Coccobacillus | Strictly aerobic | Facultative intracellular |
| Haemophilus |
|
Negative | Coccobacilli to long and slender filaments | Facultative anaerobic 5 - 10% CO2 | Extracellular |
| Helicobacter |
|
Negative | Spiral rod | Microaerophile | Extracellular |
| Legionella[31] |
|
Negative, stains poorly | Cocobacilli | Aerobic | Facultative intracellular |
| Leptospira[33][41] |
|
Negative, stains poorly | Spirochete | Strictly aerobic | Extracellular |
| Listeria[31] |
|
Positive, darkly | Slender, short rods | Facultative Anaerobic | Facultative intracellular |
| Mycobacterium[31] |
|
(none) | Long, slender rods | Aerobic | Intracellular |
| Mycoplasma[31] |
|
(none) | Indistinct 'fried egg' appearance, no cell wall | Mostly facultative anaerobic; M. pneumoniae strictly aerobic | Extracellular |
| Neisseria[33][42] |
|
Negative | Kidney bean-shaped | Aerobic | Gonococcus: facultative intracellular N. meningitidis: extracellular |
| Pseudomonas[33][43] |
|
Negative | Rods | Obligate aerobic | Extracellular |
| Rickettsia[31] |
|
Negative, stains poorly | Small, rod-like coccobacillary | Aerobic | Obligate intracellular |
| Salmonella[31] |
|
Negative | Rods | Facultative anaerobica | Facultative intracellular |
| Shigella[33][44] |
|
Negative | Rods | Facultative anaerobic | Extracellular |
| Staphylococcus[5] |
|
Positive, darkly | Round cocci | Facultative anaerobic | Extracellular, facultative intracellular |
| Streptococcus[31] |
|
Positive | Ovoid to spherical | Facultative anaerobic | Extracellular |
| Treponema[31] |
|
Negative, stains poorly | Spirochete | Aerobic | Extracellular |
| Ureaplasma[5] |
|
Stains poorly[45] | Indistinct, 'fried egg' appearance, no cell wall | Anaerobic | Extracellular |
| Vibrio[33][46] |
|
Negative | Spiral with single polar flagellum | Facultative anaerobic | Extracellular |
| Yersinia[33][47] |
|
Negative, bipolarly | Small rods | Facultative anaerobe | Intracellular |

Overall age-standardised mortality rate per 100 000 population for 33 pathogens investigated, 2019[3]
_and_YLLs_(B),_by_pathogen_and_infectious_syndrome,_2019.jpg)
Global number of deaths (A) and YLLs (B), by pathogen and infectious syndrome, 2019[3]

Global number of deaths, by pathogen, age, and sex groups, 2019[3]
This is description of the more common genera and species presented with their clinical characteristics and treatments.
| Species | Transmission | Diseases | Treatment | Prevention | ||
|---|---|---|---|---|---|---|
| Actinomyces israelii | Oral flora[48] | Actinomycosis:[48] painful abscesses and cysts MRSA in the mouth, lungs,[49][50] or gastrointestinal tract.[35] | Prolonged penicillin G and drainage[48] | |||
| Bacillus anthracis |
Contact with cattle, sheep, goats and horses[51] |
Anthrax: pulmonary, gastrointestinal and/or cutaneous symptoms.[48] |
In early infection:[52] Penicillin |
Anthrax vaccine[33] | ||
| Bacteroides fragilis | Gut flora[48] | Abscesses in gastrointestinal tract, pelvic cavity and lungs[48] | metronidazole[48] | Wound care[54] Aspiration prevention[54] | ||
| Bordetella pertussis |
Contact with respiratory droplets expelled by infected human hosts.[33] |
Whooping cough[33][48] |
Macrolides[33] such as erythromycin,[33][48] before paroxysmal stage[48] |
Pertussis vaccine,[33][48] such as in DPT vaccine[33][48] | ||
| Borrelia | B. burgdorferi[33][48] B. garinii[33] |
Ixodes hard ticks |
Lyme disease[56][57]
|
Doxycycline for adults, amoxicillin for children, ceftriaxone for neurological involvement[56] |
Wearing clothing that limits skin exposure to ticks.[33] | |
| B. recurrentis[58] and others[note 1] |
Pediculus humanus corporis body louse (B. recurrentis only) and Ornithodoros soft ticks[58] | Relapsing fever | Penicillin, tetracycline, doxycycline[59] | Avoid areas where ticks are found[58] Better access to washing facilities[58] | ||
| Brucella | B. abortus B. canis |
Direct contact with infected animal[33] |
Brucellosis: mainly fever, muscular pain and night sweats |
doxycycline[33] |
||
| Campylobacter jejuni |
Fecal–oral from animals (mammals and fowl)[33][48] |
|
Treat symptoms[33] |
Good hygiene[33] | ||
| Chlamydia | C. pneumoniae |
Respiratory droplets[33][48] |
Atypical pneumonia[48] |
Doxycycline[33][48] |
None[33] | |
| C. trachomatis |
vaginal sex[33] |
Trachoma[33][48] |
Erythromycin[33][48] |
Erythromycin or silver nitrate in newborn's eyes[33] | ||
| Chlamydophila psittaci | Inhalation of dust with secretions or feces from birds (e.g. parrots) | Psittacosis, mainly atypical pneumonia |
Tetracycline[33] |
- | ||
| Clostridium | C. botulinum | Spores from soil,[33][48] persevere in canned food, smoked fish and honey[48] |
Botulism: Mainly muscle weakness and paralysis[48] |
Antitoxin[33][48] |
Proper food preservation techniques | |
| C. difficile |
Gut flora,[33][48] overgrowing when other flora is depleted[33] |
Pseudomembranous colitis[33][48] |
Discontinuing responsible antibiotic[33][48] |
Fecal bacteriotherapy | ||
| C. perfringens |
Spores in soil[33][48] |
Anaerobic cellulitis[33][48] |
Gas gangrene:
Debridement or amputation[33][48] |
Appropriate food handling[33] | ||
| C. tetani |
Spores in soil, skin penetration through wounds[33][48] |
Tetanus: muscle spasms[60] |
Tetanus immune globulin[33][48]
Sedatives[33] |
Tetanus vaccine (such as in the DPT vaccine)[33] | ||
| Corynebacterium diphtheriae |
respiratory droplets |
Diphtheria: Fever, sore throat and neck swelling, potentially narrowing airways.[61] |
Horse serum antitoxin |
DPT vaccine | ||
| Ehrlichia | E. canis[48] E. chaffeensis[48] |
Dog tick[48] | Ehrlichiosis:[48] headache, muscle aches, and fatigue |
| ||
| Enterococcus | E. faecalis E. faecium |
Part of gut flora,[48] opportunistic or entering through GI tract or urinary system wounds[33] |
Bacterial endocarditis,[48] biliary tract infections,[48] urinary tract infections[48] |
Ampicillin (combined with aminoglycoside in endocarditis)[48] Vancomycin[33] |
No vaccine Hand washing and other nosocomial prevention | |
| Escherichia | E. coli (generally) |
|
|
UTI:[33]
(resistance-tests are required first)
Meningitis:[33]
Diarrhea:[33]
|
(no vaccine or preventive drug)[33]
| |
| Enterotoxigenic E. coli (ETEC) |
|
| ||||
| Enteropathogenic E. coli |
|
| ||||
| Enteroinvasive E.coli (EIEC) |
|
| ||||
| Enterohemorrhagic (EHEC), including E. coli O157:H7 |
|
| ||||
| Francisella tularensis |
|
Tularemia: Fever, ulceration at entry site and/or lymphadenopathy.[63] Can cause severe pneumonia.[63] |
|
| ||
| Haemophilus influenzae |
|
|
Meningitis:[33]
(resistance-tests are required first)
|
| ||
| Helicobacter pylori |
|
|
|
(No vaccine or preventive drug)[33] | ||
| Klebsiella pneumoniae |
|
|
|
| ||
| Legionella pneumophila |
|
|
|
(no vaccine or preventive drug)[33]
Heating water[33] | ||
| Leptospira species |
|
|
|
Vaccine not widely used[33]
Prevention of exposure[33]
| ||
| Listeria monocytogenes |
|
|
|
(no vaccine)[33]
| ||
| Mycobacterium | M. leprae |
|
|
Tuberculoid form:
Lepromatous form:
|
| |
| M. tuberculosis |
|
|
(difficult, see Tuberculosis treatment for more details)[33] Standard "short" course:[33]
|
| ||
| Mycoplasma pneumoniae |
|
|
|
|||
| Neisseria | N. gonorrhoeae |
|
|
Uncomplicated gonorrhea:[33]
Ophthalmia neonatorum:
|
(No vaccine)[33]
| |
| N. meningitidis |
|
|
|
| ||
| Pseudomonas aeruginosa | Opportunistic;[48] Infects damaged tissues or people with immunodeficiency.[33] | Pseudomonas infection:[33]
|
|
(no vaccine)[33]
| ||
| Nocardia asteroides | In soil[48] | Nocardiosis:[48] Pneumonia, endocarditis, keratitis, neurological or lymphocutaneous infection | TMP/SMX[48] | |||
| Rickettsia rickettsii |
|
|
|
(no preventive drug or approved vaccine)[33]
| ||
| Salmonella | S typhi |
|
|
|
| |
| Other Salmonella species
|
|
|
|
(No vaccine or preventive drug)[33]
| ||
| Shigella | S. sonnei[33]
|
|
|
|
| |
| Staphylococcus | aureus |
|
Coagulase-positive staphylococcal infections:
|
|
(no vaccine or preventive drug)
| |
| epidermidis | Human flora in skin,[33][48] anterior nares[33] and mucous membranes[48] |
|
|
None[33] | ||
| saprophyticus | Part of normal vaginal flora[33] |
|
|
None[33] | ||
| Streptococcus | agalactiae | Human flora in vagina,[33][48] urethral mucous membranes,[33] rectum[33]
|
|
|
None[33] | |
| pneumoniae |
|
|
|
| ||
| pyogenes |
|
|
|
No vaccine[33]
| ||
| viridans | Oral flora,[48] penetration through abrasions |
|
Penicillin G[48] | |||
| Treponema pallidum subspecies pallidum |
|
|
|
| ||
| Vibrio cholerae |
|
|
|
| ||
| Yersinia pestis |
|
Plague:
|
|
|
||
Of the 59 species listed in the table with their clinical characteristics, 11 species (or 19%) are known to be capable of natural genetic transformation.[81] Natural transformation is a bacterial adaptation for transferring DNA from one cell to another. This process includes the uptake of exogenous DNA from a donor cell by a recipient cell and its incorporation into the recipient cell's genome by recombination. Transformation appears to be an adaptation for repairing damage in the recipient cell's DNA. Among pathogenic bacteria, transformation capability likely serves as an adaptation that facilitates survival and infectivity.[81] The pathogenic bacteria able to carry out natural genetic transformation (of those listed in the table) are Campylobacter jejuni, Enterococcus faecalis, Haemophilus influenzae, Helicobacter pylori, Klebsiella pneumoniae, Legionella pneumophila, Neisseria gonorrhoeae, Neisseria meningitidis, Staphylococcus aureus, Streptococcus pneumoniae and Vibrio cholerae.[citation needed]
| Classification | D
|
|---|
Categories: [Pathogenic bacteria] [Bacterial diseases]