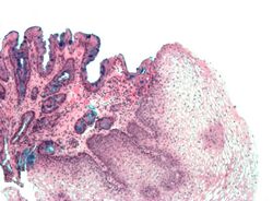
Micrograph of
Barrett's esophagus (left of image) and normal stratified squamous epithelium (right of image). Alcian blue stain.
Glandular metaplasia is a type of metaplasia where irritated tissue converts to a glandular form.
An example occurs in the esophagus, where tissue becomes more similar to the tissue of the stomach.[1]
Another example occurs in the urinary bladder.[2]
See also
- Intestinal metaplasia
- Squamous metaplasia
Additional images
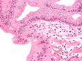
Micrograph of Barrett's esophagus, an example of glandular metaplasia.
References
- ↑ "Metaplasia". Archived from the original on 2008-08-01. https://web.archive.org/web/20080801102635/http://www.qub.ac.uk/cm/pat/undergraduate/Basiccancer/metaplasia.htm.
- ↑ Ward AM (July 1971). "Glandular metaplasia and mucin production in transitional cell carcinomas of bladder". J. Clin. Pathol. 24 (5): 481. doi:10.1136/jcp.24.5.481-b. PMID 5571853.
Pathology |
|---|
| Principles of pathology |
- Disease
- Infection
- Neoplasia
- Cause
- Pathogenesis
- Hemodynamics
- Inflammation
- Cell damage
- Wound healing
- Cellular adaptation
- Atrophy
- Hypertrophy
- Hyperplasia
- Dysplasia
- Metaplasia
- Squamous
- Glandular
- Cell death
- Necrosis
- Coagulative necrosis
- Liquefactive necrosis
- Gangrenous necrosis
- Caseous necrosis
- Fat necrosis
- Fibrinoid necrosis
- Myocytolysis
- Programmed cell death
- Apoptosis
- Pyknosis
- Karyorrhexis
- Karyolysis
- Accumulations
- pigment
- Hemosiderin
- Lipochrome/Lipofuscin
- Melanin
- Steatosis
|
|---|
| Anatomical pathology |
- Surgical pathology
- Cytopathology
- Autopsy
- Molecular pathology
- Forensic pathology
- Oral and maxillofacial pathology
- Gross examination
- Histopathology
- Immunohistochemistry
- Electron microscopy
- Immunofluorescence
- Fluorescence in situ hybridization
|
|---|
| Clinical pathology |
- Clinical chemistry
- Hematopathology
- Transfusion medicine
- Medical microbiology
- Diagnostic immunology
- Immunopathology
- Enzyme assay
- Mass spectrometry
- Chromatography
- Flow cytometry
- Blood bank
- Microbiological culture
- Serology
|
|---|
 | Original source: https://en.wikipedia.org/wiki/Glandular metaplasia. Read more |