Molecular Virology

From Handwiki

CDC worker in the maximum containment virology laboratory

Molecular virology is the study of viruses on a molecular level. Viruses are submicroscopic parasites that replicate inside host cells.[1][2] They are able to successfully infect and parasitize all kinds of life forms- from microorganisms to plants and animals- and as a result viruses have more biological diversity than the rest of the bacterial, plant, and animal kingdoms combined.[2][3] Studying this diversity is the key to a better understanding of how viruses interact with their hosts, replicate inside them, and cause diseases.[2]

Viral replication

Viruses rely on their host to replicate and multiply. This is because viruses are unable to go through cell division, as they are acellular–meaning they lack the genetic information that encode the necessary tools for protein synthesis or generation of metabolic energy; hence they rely on their host to replicate and multiply. Using the host cell's machinery the virus generates copies of its genome and produces new viruses for the survival of its kind and the infection of new hosts. The viral replication process varies depending on the virus's genome.[2]

Classification

In 1971 David Baltimore, a Nobel Prize-winning biologist, created a system called Baltimore Classification System.According to this system, viruses are classified into seven classes based on their replication strategy:[2][4]

  • Class I: Double-stranded DNA. Depending on the location of genome replication, this class can be subdivided into two groups: (a) viruses in which replication happens exclusively in the nucleus and is thus relatively dependent on cellular factors; (b) viruses replicating in cytoplasm that are mostly independent of cellular machinery due to the fact that they have acquired all needed factors for their genome's transcription and replication.[2]
  • Class II: Single-stranded DNA. These viruses only replicate in the nucleus. A double-stranded intermediate is formed during the replication process that serves as a template for the synthesis of virus's single-stranded DNA.[2]
  • Class III: Double-stranded RNA. The viruses in this class have segmented genomes. Each segment is transcribed individually to produce a monochromatic mRNA that codes for only one protein.[2]
  • Class IV: Single-stranded RNA - Positive-sense. The genome of these viruses are positive-sense RNAs, in which the RNA is directly translated into a viral protein. These viruses can be subdivided into two groups depending on their translation process: (a) viruses with polycistronic mRNA, in which the RNA translates into multiple protein products; (b) viruses with more complex transcription than the first group where either subgenomic RNAs or two rounds of translation are necessary to produce the genomic RNA.[2]
  • Class V: Single-stranded RNA - Negative-sense. All viruses in this class have negative-sense RNAs, in which the RNA complements mRNA, transcribes into a positive-sense RNA via a viral polymerase, and translates into viral protein. The viruses in this class either have segmented or unsegmented RNA; either way, replication occurs within the cell's cytoplasm.[2]
  • Class VI: Single-stranded positive-sense RNA with DNA intermediate. These viruses use reverse transcriptase to convert the positive-sense RNA ( as the template) into DNA. Retroviruses are the most well-known family among this class.[2]
  • Class VII: Double-stranded DNA with RNA intermediate. The genome of these viruses are gapped, double-stranded, and subsequently become filled to form cccDNA (covalently closed circular DNA). This group also use the reverse transcription during the process of maturation.[2]
Viral replication cycle - simplified

Replication cycle

Regardless of the differences among viral species, they all share six basic replication stages:[2][5]

Attachment is the cycle's starting point and consists of specific bindings between anti-receptors (or virus-attachment proteins) and cellular receptors molecules such as (glyco)proteins. The host range of a virus is determined by the specificity of the binding. The attachment causes the viral protein to change its configuration and thus fuse with the host's cell membrane; thereby enabling the virus to enter the cell.[6]

Penetration of virus happens either through membrane fusion or receptor-mediated endocytosis and leads to viral entry. Due to their rigid cellulose-made

(chitin in case of fungal cells) cell walls, plants and fungal cells get infected differently than animal cells. Often, a cell wall trauma is required for the virus to enter the cell.[6]

Uncoating is the removal of viral capsid, which makes the viral nucleic acids available for transcription. The capsid could have been degraded by either host or viral enzymes, releasing the viral genome into the cell.[6]

Replication is the multiplication of virus's genetic material. The process includes the transcription of mRNA, synthesis, and assembly of viral proteins and is regulated by protein expression.[6]

Assembly process involves putting together and modifying newly made viral nucleic acids and structural proteins to form the virus's nucleocapsid.[2][7]

Release of viruses could be done by two different mechanisms depending on the type of virus. Lytic viruses burst the cell's membrane or wall through a process called lysis in order to release themselves. On the other hand, enveloped viruses become released by a process called budding in which a virus obtain its lipid membrane as it buds out of the cell through membrane or intracellular vesicle. Both lysis and budding processes are highly damaging to the cell, with the exception of retroviruses, and often result in the cell's death.[2][6]

Viral pathogenesis

Pathogenicity is the ability of one organism to cause disease in another. There is a specialized field of study in virology called viral pathogenesis in which it studies how viruses infect their hosts at the molecular and cellular level.[2]

In order for the viral disease to develop several steps need to be taken. First, the virus has to enter the body and implant itself into a tissue ( e.g. respiratory tissue). Second, the virus has to reproduce extracellular after invading in order to make ample copies of itself. Third, the synthesized viruses must spread throughout the body via circulatory systems or nerve cells.[8]

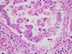
Respiratory syncytial virus (RSV) infection usually produces widespread bronchiolitis and interstitial pneumonia which may sometimes by associated with giant cells. This image shows a non-specific interstitial pneumonia pattern with no giant cells present.

With regards to viral diseases it is essential to look at two aspects: (a) the direct effect of virus replication; (b) the body's responses to infection. The course and severity of all viral infections are determined by the dynamic between the virus and the host. Common symptoms of virus infections are fever, body aches, inflammation, and skin rashes. Most of these symptoms are caused by our immune system's response to infection and are not the direct effect of viral replication.[2]

Cytopathis effects of virus

Often it is possible to recognize virus-infected cells through a number of common phenotypic changes referred to as cytopathis effects. These changes include:[2]

  • Altered shape: The shape of adherent cells– cells that attach themselves to other cells or artificial substrates— may change from flat to round. In addition, the cell's extensions resembling tendrils – involved in cell's mobility and attachments—are withdrawn into the cell.[2]
  • Detachment from the substrate: Happens as a result of adherent cells' damage. The cell damage is due to partial degradation of cytoskeleton.[2]
  • Lysis: In this case the entire cell breaks down because of the absorption of extracellular fluid and swelling. Not all viruses cause lysis.[2]
  • Membrane fusion: The adjacent cells' membranes fuse together and produce a mass called syncytium, in which the cytoplasm contains more than one nucleus and appears as a giant cell. These cells have a short lifespan compared to other cells.[2]
  • Increase in Membrane permeability: Viruses can increase the membrane permeability which allows many extracellular ions( e.g. iodine and sodium ions) to enter the cell.[2]

Viral infections

There are five different types of viral infections:[2]

  • Abortive infection: This kind of infection occurs when a virus successfully invades a host cell but is unable to complete its full replication cycle and produce more infectious viruses.[2]
Ebola virus virion. Created by GC microbiologist Cynthia Goldsmith, this colorized transmission electron micrograph (TEM) revealed some of the ultrastructural morphology displayed by an Ebola virus virion.
  • Acute infection: Many common viral infections fallow this pattern. Acute infections are brief since they are often completely eliminated by the immune system. Acute infection is frequently associated with epidemics since most of virus replication happens before the onset of symptoms.[2]
  • Chronic infection: These infections have a prolonged course and are hard to eliminate since the virus stays in the host for a significant period.[2]
  • Persistent infection: There is a delicate balance between the host and the virus in this pattern. The virus adjusts its replication and pathogenecitiy levels to keep the host alive for its own benefit. While it is possible for the virus to live and replicate inside the host for its entire lifetime, oftentimes the host eventually eliminates the virus.[2]
  • Latent infection: Being the ultimate infection, the latent virus infections tend to exist inside the host for its entire lifetime. A well-known example of such infection is the herpes simplex virus in humans. This virus is able to stop its replication and restrict its gene expression in order to stop the recognition of the infected cell by the host's immune system.[2]

Prevention and treatment

Viral vaccines contain inactivated viruses which have lost their ability to replicate. These vaccines can prevent or lower the intensity of viral illness. Developing vaccines against smallpox, polio, and hepatitis B over the past 50 years has had a significant impact on world health and thus on global population. Nevertheless, there have been ongoing viral outbreaks ( such as the Ebola and Zika viruses) in the past few years affecting millions of people all around the globe.[9] Therefore, more advanced understanding of molecular virology and viruses are needed for the development of new vaccines and the control of ongoing/future viral outbreaks.[2]

An alternative way to treat viral infections would be antiviral drugs in which the drug blocks the virus's replication cycle. The specificity of an antiviral drug is the key to its success. These drugs are toxic to both the virus and the host but in order to minimize their damage they are developed in such a way as to be more toxic to the virus than to the host. The efficiency of an antiviral drug is measured by the chemotherapeutic index, given by:[2]

[math]\displaystyle{ \frac{\hbox{Dose of drug that inhibits virus replication}}{\hbox{Dose of drug that is toxic to host}} }[/math]
The higher the drug's efficiency, the smaller the value of chemotherapeutic index. In clinical practice, this index is used to produce a safe and clinically useful drug.[2]

References

  1. Crawford, Dorothy (2011). Viruses: A Very Short Introduction. New york, NY: Oxford University Press. pp. 4–7. ISBN 978-0199574858. https://archive.org/details/virusesveryshort0000craw/page/4. 
  2. 2.00 2.01 2.02 2.03 2.04 2.05 2.06 2.07 2.08 2.09 2.10 2.11 2.12 2.13 2.14 2.15 2.16 2.17 2.18 2.19 2.20 2.21 2.22 2.23 2.24 2.25 2.26 2.27 2.28 2.29 2.30 2.31 Cann, Alan (2012). Principles of Molecular Virology. ELSEVIER. p. 214. ISBN 9780123849403. 
  3. Koonin, Eugene V.; Senkevich, Tatiana G.; Dolja, Valerian V. (2006-01-01). "The ancient Virus World and evolution of cells". Biology Direct 1: 29. doi:10.1186/1745-6150-1-29. ISSN 1745-6150. PMID 16984643. 
  4. Dimmock, Nigel (2007). Introduction to Modern Virology. Wiley-Blackwell. ISBN 978-1-119-97810-7. 
  5. Collier, Leslie; Balows, Albert; Sussman, Max (1998) Topley and Wilson's Microbiology and Microbial Infections ninth edition, Volume 1, Virology, volume editors: Mahy, Brian and Collier, Leslie. Arnold. ISBN:0-340-66316-2.
  6. 6.0 6.1 6.2 6.3 6.4 Dimmock, N.J; Easton, Andrew J; Leppard, Keith (2007) Introduction to Modern Virology sixth edition, Blackwell Publishing, ISBN:1-4051-3645-6.
  7. Barman, S; Ali, A; Hui, EK; Adhikary, L; Nayak, DP (2001). "Transport of viral proteins to the apical membranes and interaction of matrix protein with glycoproteins in the assembly of influenza viruses". Virus Res. 77 (1): 61–9. doi:10.1016/S0168-1702(01)00266-0. PMID 11451488. 
  8. Baron, S (1996). Medical Microbiology Chapter 45 Viral Pathogenesis. Galveston (TX). 
  9. "2014 Ebola Virus Disease Outbreak in West Africa". WHO. 21 April 2014.

Additional links

  • molecular biology
  • phage, the virus of bacteria/prokaryotes
  • viral plaque
  • Important publications in virology
  • Virus classification




Retrieved from "https://handwiki.org/wiki/index.php?title=Biology:Molecular_virology&oldid=2723737"

Categories: [Virology]


Download as ZWI file | Last modified: 09/17/2024 10:52:03 | 12 views
☰ Source: https://handwiki.org/wiki/Biology:Molecular_virology | License: CC BY-SA 3.0

ZWI is not signed. [what is this?]