Abrasion (Dental)

From Handwiki

Abrasion (dental)
Gum graft fig 1.png
Dental abrasion
SpecialtyDentistry

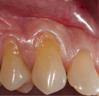
Abrasion is the non-carious, mechanical wear of tooth from interaction with objects other than tooth-tooth contact.[1] It most commonly affects the premolars and canines, usually along the cervical margins.[2] Based on clinical surveys, studies have shown that abrasion is the most common but not the sole aetiological factor for development of non-carious cervical lesions (NCCL) and is most frequently caused by incorrect toothbrushing technique.[3]

Abrasion frequently presents at the cemento-enamel junction and can be caused by many contributing factors, all with the ability to affect the tooth surface in varying degrees.[4]

The appearance may vary depending on the cause of abrasion, however most commonly presents in a V-shaped caused by excessive lateral pressure whilst tooth-brushing. The surface is shiny rather than carious, and sometimes the ridge is deep enough to see the pulp chamber within the tooth itself.

Non-carious cervical loss due to abrasion may lead to consequences and symptoms such as increased tooth sensitivity to hot and cold, increased plaque trapping which will result in caries and periodontal disease, and difficulty of dental appliances such as retainers or dentures engaging the tooth. It may also be aesthetically unpleasant to some people.[3]

For successful treatment of abrasion, the cause first needs to be identified and ceased (e.g. overzealous brushing). Once this has occurred, subsequent treatment may involve the changes in oral hygiene, application of fluoride to reduce sensitivity, or the placement of a restoration to help prevent further loss of tooth structure and aid plaque control.[4]

Cause

Abrasion occurring on the cervical margins from the effects of friction from toothbrushing and abrasive toothpastes

Cause of abrasion may arise from interaction of teeth with other objects such as toothbrushes, toothpicks, floss, and ill-fitting dental appliance like retainers and dentures. Apart from that, people with habits such as nail biting, chewing tobacco, lip or tongue piercing,[5] and having occupation such as joiner, are subjected to higher risks of abrasion.

The aetiology of dental abrasion can be due to a single stimuli or, as in most cases, multi-factorial.[6] The most common cause of dental abrasion, is the combination of mechanical and chemical wear.

Tooth brushing is the most common cause of dental abrasion, which is found to develop along the gingival margin, due to vigorous brushing in this area.[7][8] The type of toothbrush, the technique used and the force applied when brushing can influence the occurrence and severity of resulting abrasion.[9] Further, brushing for extended periods of time (exceeding 2-3 min) in some cases, when combined with medium/hard bristled toothbrushes can cause abrasive lesions.[10] Abrasion may also be exacerbated by overzealous use of certain types of dentifrice; some have more abrasive qualities to remove stains such as whitening toothpastes.

The bristles combined with forceful brushing techniques applied can roughen the tooth surface and cause abrasion as well as aggravating the gums.[11] Repetitive irritation to the gingival margin can eventually cause recession of the gums. When the gums recede, the root surface is exposed which is more susceptible to abrasion.[12] Comparatively, electric toothbrushes have less abrasive tendencies.[13]

When combined with incorrect brushing technique, toothpastes can also damage enamel and dentine due to the abrasive properties.[14] Specific ingredients are used in toothpaste to target removal of the bio-film and extrinsic staining however in some cases can contribute to the pastes being abrasive.[15][11] In-home and clinical whitening have been proven to increase the likelihood of an individual experiencing dental abrasion. It is believed that dental abrasion due to the whitening process is caused by a combination of both mechanical and chemical irritants, for example, using whitening toothpaste and at home bleaching kits together.[16] However, if an individual is regimented in their after-whitening care then they can avoid loss of tooth structure and in turn abrasion can be avoided.[17]

Another factor that can contribute to abrasive loss of tooth structure is the alteration of pH levels at the tooth surface. This can associated with the consumption of acidic foods and liquids or regurgitation of stomach acid, a process known as dental erosion. An increase in acidity at the tooth surface can induce demineralization and softening, therefore leaving the tooth structure susceptible to abrasive factors such as tooth brushing.[18] When the surface of the tooth structure is softened by acid, mechanical forces such as brushing can cause irreparable damage on tooth surface.[16][19][20] Remineralization of the softened surface can help prevent this damage from occurring.

Relative dentin abrasivity

Relative dentin abrasivity (RDA) is a standardised measurement of the abrasive effect that the components of a toothpaste.[10]

The RDA scale was developed by the American Dental Association (ADA), government bodies and other stakeholders to quantify the abrasivity of a toothpaste.[21] It was not designed to rank safety of toothpastes,[21] and all toothpastes with an RDA of 250 or less are considered to be equally safe for regular use in terms of abrasivity.[22] The RDA scale compares toothpaste abrasivity to standard abrasive materials and measures the depth of cut at an average of 1 millimetre per 100,000 brush strokes onto dentine.[23] This comparison generates abrasive values for the dentifrices that would be safe for daily use.[12]

Since 1998, the RDA value is set by the standards DIN EN ISO 11609.[24] Currently, the claim on products such as toothpaste are not regulated by law, however a dentifrice is required to have a level lower than 250 to be considered safe and before being given the ADA seal of approval.[25] The vast majority of toothpastes commercially available have RDA values of 250 or less and are unlikely to have a significant impact on abrasion of tooth structure over a lifetime of use.[12][26] On average, data suggests less than 400 μm of tooth wear occurs over a lifetime using toothpastes of RDA 250 or less.[23]

The RDA score of a toothpaste is not the primary factor to consider when managing and preventing dental abrasion.[23][12][27] Other factors such as the amount of pressure used whilst brushing, the type, thickness and dispersion of bristle in the toothbrush and the time spent brushing are significant factors that contribute to the risk of dental abrasion.[27][28]

Treatment

There are several reasons to treat abrasion lesion(s) (also known as ‘Class V cavity’) such as:

  1. Sensitivity.
  2. Presence of carious lesion.
  3. Aesthetically unpleasant.
  4. Arresting the progression of the lesion.
  5. Reducing potential onset of caries or periodontal disease as these lesions can present as a plaque retention factor.
  6. Where there is a risk of pulpal exposure if lesion depth is severe enough.
  7. When retention of a removable appliance is interfered, i.e. denture
  8. To improve denture clasp(s) retention.
  9. Overall integrity of tooth structure is compromised.

In order for successful treatment of abrasion to occur, the aetiology first needs to be identified. The most accurate way of doing so is completing a thorough medical, dental, social and diet history. All aspects need to be investigated as in many cases the cause of abrasion can be multi-factorial. Once a definitive diagnosis is completed the appropriate treatment can commence. Treatment for abrasion can present in varying difficulties depending on the current degree or progress caused by the abrasion. Abrasion often presents in conjunction with other dental conditions such as attrition, decay and erosion. Evidence suggest there is a decrease in the effect of dental abrasion with dental erosion when fluoride varnish is applied onto teeth.[29] Successful treatment focuses on the prevention and progression on the condition and modifies the current habit/s instigating the condition.

Removal of causes

If the cause of abrasion is due to habitual behaviours, the discontinuation and change of habit is critical in the prevention of further tooth loss.[30] The correct brushing technique is pivotal and involves a gentle scrub technique with small horizontal movements with an extra-soft/soft bristle brush.[27] Excessive lateral force can be corrected by holding the toothbrush in a pen grasp or by using the non-dominant hand to brush.[27] If abrasion is the result of an ill-fitting dental appliance, this should be corrected or replaced by a dental practitioner and should not be attempted in a home setting.

Chemical

The current selection of dentifrice should also be critically analysed and changed to include a less abrasive and gentler paste such as sensitive toothpaste as evidence suggests that a very abrasive toothpaste would lead to loss of tooth structure.[31] A toothpaste containing increased fluoride will also help combat the increased sensitivity and risk to dental decay.[32] Toothpastes containing stannous fluoride have been shown to inhibit acid erosion of tooth structure, thereby reducing its susceptibility to abrasive wear.[33] Fluoride varnish can also be used as a preventive measure for patients at high risk of dental erosion, as the fluoride varnish increases resistance to erosion and subsequent tooth wear.[29]

Treatment in the dental chair may include a fluoride application or the placement of a restoration in more severe cases. If the lesion is small and confined to enamel or cementum, a restoration is not warranted, instead the eradication of rough edges should occur to reduce plaque retentive properties.[34] However, in the case of dental decay, aesthetic concerns or defects close to the pulp a restoration may be completed.[35] Further restorative work may be required when the lesion compromises the overall strength of the tooth or when the defect contributes to a periodontal problem the lesion may be restored.[36]

Once abrasive lesions have been diagnosed and treated they should be closely monitored to identify further progression or potential relief of symptoms.

Restoration

Ideal properties of restoration materials particularly for these lesions include:[37]

  1. Satisfactory wear resistance most commonly caused by overzealous/excessive force used during toothbrushing.
  2. Low modulus of elasticity, given that teeth (anterior dentition) have been considered to flex around the cervical area (area closest to gum levels).
  3. Good aesthetics.

There are other properties of restoration materials which could be considered appropriate, although not specific to Class V restorations, which includes:

  1. Small filler particles for polishability to achieve better aesthetics.
  2. Sufficiently stiff consistency to hold shape but still allows easy handling for placement into a cavity.
  3. Self-curing/setting or curable to any depth.
  4. Dimensionally stable or low shrinkage/stress.
  5. Fluoride release.
  6. Self-adhesive to enamel and dentine.

Dental materials such as amalgam, glass ionomer (GI), resin-modified glass ionomer (a variant of GI) and resin composite are the types of restoration materials available when active treatment by means of restoration is appropriate.

Taking into consideration these factors and their respective dental materials' properties, evidence and studies has shown that resin-modified glass ionomer (RMGI) restoration material is the recommended restoration material in clinical situations as it performs optimally - provided aesthetics is not the top priority when restoring these lesions.[37] The surface of such lesions should be roughened prior to its restoration[38][39][40][41][42] - whether material is GI-based or resin-based[37] - with no need for bevelling of the coronal aspect of the cavity.[39][43][44]

See also

  • Tooth wear
  • Attrition
  • Erosion
  • Abfraction
  • Bruxism
  • Air abrasion

References

  1. "Clinical measurement of tooth wear: Tooth wear indices". Journal of Clinical and Experimental Dentistry 4 (1): e48-53. February 2012. doi:10.4317/jced.50592. PMID 24558525. 
  2. "Establishing the Effect of Brushing and a Day's Diet on Tooth Tissue Loss in Vitro". Dentistry Journal 4 (3): 25. August 2016. doi:10.3390/dj4030025. PMID 29563467. 
  3. 3.0 3.1 "Restoration of noncarious cervical lesions: when, why, and how". International Journal of Dentistry 2012: 687058. 2012. doi:10.1155/2012/687058. PMID 22216032. 
  4. 4.0 4.1 "A pilot study to assess the morphology and progression of non-carious cervical lesions". Journal of Dentistry 57: 51–56. February 2017. doi:10.1016/j.jdent.2016.12.004. PMID 27956017. 
  5. "Dental and oral complications of lip and tongue piercings" (in En). British Dental Journal 199 (8): 506–9. October 2005. doi:10.1038/sj.bdj.4812852. PMID 16244618. 
  6. "Tooth wear and wear investigations in dentistry". Journal of Oral Rehabilitation 39 (3): 217–25. March 2012. doi:10.1111/j.1365-2842.2011.02257.x. PMID 21923888. 
  7. "Role of Brushing and Occlusal Forces in Non-Carious Cervical Lesions (NCCL)". International Journal of Biomedical Science 10 (4): 265–8. December 2014. PMID 25598758. 
  8. "Diet influenced tooth erosion prevalence in children and adolescents: Results of a meta-analysis and meta-regression". Journal of Dentistry 43 (8): 865–75. August 2015. doi:10.1016/j.jdent.2015.05.012. PMID 26057086. 
  9. "Biofilm removal and gingival abrasion with medium and soft toothbrushes". Oral Health & Preventive Dentistry 9 (2): 177–83. 2011. PMID 21842020. 
  10. 10.0 10.1 "Effect of Whitening Toothpastes on Dentin Abrasion: An In Vitro Study". Oral Health & Preventive Dentistry 14 (6): 547–553. 2016. doi:10.3290/j.ohpd.a36465. PMID 27351730. 
  11. 11.0 11.1 "Abrasion of eroded dentin caused by toothpaste slurries of different abrasivity and toothbrushes of different filament diameter". Journal of Dentistry 37 (6): 480–4. June 2009. doi:10.1016/j.jdent.2009.03.005. PMID 19346053. https://www.zora.uzh.ch/id/eprint/19374/3/Wiegand_RDA_J_Dent_2009_04_(3).pdf. 
  12. 12.0 12.1 12.2 12.3 "Can tooth brushing damage your health? Effects on oral and dental tissues". International Dental Journal 53 (Suppl 3): 177–86. 2003. doi:10.1111/j.1875-595x.2003.tb00768.x. PMID 12875306. 
  13. "Influence of rotating-oscillating, sonic and ultrasonic action of power toothbrushes on abrasion of sound and eroded dentine". Journal of Periodontal Research 41 (3): 221–7. June 2006. doi:10.1111/j.1600-0765.2005.00850.x. PMID 16677292. 
  14. "The role of the toothbrush in the abrasion process". International Journal of Dental Hygiene 9 (4): 284–90. November 2011. doi:10.1111/j.1601-5037.2011.00505.x. PMID 21545405. 
  15. "Influence of Bristle Stiffness of Manual Toothbrushes on Eroded and Sound Human Dentin--An In Vitro Study". PLOS ONE 11 (4): e0153250. 2016. doi:10.1371/journal.pone.0153250. PMID 27070901. Bibcode: 2016PLoSO..1153250B. 
  16. 16.0 16.1 "Erosion and abrasion on dental structures undergoing at-home bleaching". Clinical, Cosmetic and Investigational Dentistry 3: 45–52. 2011. doi:10.2147/CCIDEN.S15943. PMID 23674914. 
  17. "History of the Development of Abrasivity Limits for Dentifrices". The Journal of Clinical Dentistry 26 (2): 50–4. 2015. PMID 26349126. 
  18. "Demineralization-remineralization dynamics in teeth and bone". International Journal of Nanomedicine 11: 4743–4763. 2016. doi:10.2147/IJN.S107624. PMID 27695330. 
  19. "Dental erosion--an overview with emphasis on chemical and histopathological aspects". Caries Research 45 (Suppl 1): 2–12. 2011. doi:10.1159/000325915. PMID 21625128. 
  20. "Toothbrush abrasion of erosively altered enamel after intraoral exposure to saliva: an in situ study". Caries Research 33 (6): 455–61. 1999. doi:10.1159/000016551. PMID 10529531. 
  21. 21.0 21.1 "Toothpastes". https://www.ada.org/en/member-center/oral-health-topics/toothpastes. 
  22. Hunter, M.L.; Addy, M.; Pickles, M.J.; Joiner, A. (October 2002). "The role of toothpastes and toothbrushes in the aetiology of tooth wear". International Dental Journal 52: 399–405. doi:10.1111/j.1875-595x.2002.tb00729.x. ISSN 0020-6539. http://dx.doi.org/10.1111/j.1875-595x.2002.tb00729.x. 
  23. 23.0 23.1 23.2 "History of the Development of Abrasivity Limits for Dentifrices". The Journal of Clinical Dentistry 26 (2): 50–4. 2015. PMID 26349126. https://www.researchgate.net/publication/281637238. 
  24. DIN EN ISO 11609:2017-09, Zahnheilkunde_- Zahnreinigungsmittel_- Anforderungen, Prüfverfahren und Kennzeichnung (ISO_11609:2017); Deutsche Fassung EN_ISO_11609:2017, Beuth Verlag GmbH, doi:10.31030/2632113, http://dx.doi.org/10.31030/2632113, retrieved 2021-07-23 
  25. "Toothpastes". American Dental Association. 2017. http://www.ada.org/en/member-center/oral-health-topics/toothpastes. 
  26. Addy, M.; Hunter, M.L. (2003-06-01). "Can tooth brushing damage your health? Effects on oral and dental tissues" (in en). International Dental Journal 53: 177–186. doi:10.1111/j.1875-595X.2003.tb00768.x. ISSN 0020-6539. PMID 12875306. https://www.sciencedirect.com/science/article/pii/S0020653920361062. 
  27. 27.0 27.1 27.2 27.3 Dental hygiene: theory and practice. (5th ed.). Elsevier Health Sciences. March 2019. ISBN 978-0-323-67676-2. 
  28. Shellis, R. Peter; Addy, Martin (2014), Lussi, A.; Ganss, C., eds., "The Interactions between Attrition, Abrasion and Erosion in Tooth Wear" (in en), Monographs in Oral Science (Basel: S. KARGER AG) 25: 32–45, doi:10.1159/000359936, ISBN 978-3-318-02552-1, PMID 24993256, https://www.karger.com/Article/FullText/359936, retrieved 2021-07-23 
  29. 29.0 29.1 "The influence of varnish and high fluoride on erosion and abrasion in a laboratory investigation". Australian Dental Journal 60 (1): 38–42. March 2015. doi:10.1111/adj.12271. PMID 25721276. 
  30. "An epidemiologic approach to toothbrushing and dental abrasion". Community Dentistry and Oral Epidemiology 7 (1): 57–64. February 1979. doi:10.1111/j.1600-0528.1979.tb01186.x. PMID 282958. 
  31. "Toothpastes and enamel erosion/abrasion - Impact of active ingredients and the particulate fraction". Journal of Dentistry 54: 62–67. November 2016. doi:10.1016/j.jdent.2016.09.005. PMID 27650640. 
  32. "Randomised clinical trial to evaluate changes in dentine tubule occlusion following 4 weeks use of an occluding toothpaste". Clinical Oral Investigations 22 (1): 225–233. January 2018. doi:10.1007/s00784-017-2103-5. PMID 28365809. 
  33. "Randomized in situ clinical trial evaluating erosion protection efficacy of a 0.454% stannous fluoride dentifrice". International Journal of Dental Hygiene 17 (3): 261–267. August 2019. doi:10.1111/idh.12379. PMID 30556372. 
  34. "Cochrane fluoride reviews: an overview of the evidence on caries prevention with fluoride treatments.". Faculty Dental Journal 5 (2): 78–83. April 2014. doi:10.1308/rcsfdj.2014.5.2.78. 
  35. "Diagnosis and management of dental wear". Today's FDA 24 (5): 50–7. 2012. PMID 23189508. 
  36. "Rationale and treatment approach in minimally invasive dentistry". Journal of the American Dental Association 131 (Suppl): 13S–19S. June 2000. doi:10.14219/jada.archive.2000.0394. PMID 10860340. 
  37. 37.0 37.1 37.2 "Dental Materials: What Goes Where? Class V Restorations". Dental Update 42 (9): 829–30, 833–6, 839. November 2015. doi:10.12968/denu.2015.42.9.829. PMID 26749791. 
  38. "The survival of Class V restorations in general dental practice: part 3, five-year survival". British Dental Journal 212 (9): E14. May 2012. doi:10.1038/sj.bdj.2012.367. PMID 22576479. 
  39. 39.0 39.1 "Clinical performance of cervical restorations--a meta-analysis". Dental Materials 26 (10): 993–1000. October 2010. doi:10.1016/j.dental.2010.06.003. PMID 20638116. 
  40. "A prospective 8-year evaluation of a mild two-step self-etching adhesive and a heavily filled two-step etch-and-rinse system in non-carious cervical lesions". Dental Materials 26 (9): 940–6. September 2010. doi:10.1016/j.dental.2010.05.009. PMID 20646753. 
  41. "Interfacial morphology of resin composite and shiny erosion lesions". American Journal of Dentistry 5 (6): 315–7. December 1992. PMID 1304179. 
  42. "Resin bonding to cervical sclerotic dentin: a review". Journal of Dentistry 32 (3): 173–96. March 2004. doi:10.1016/j.jdent.2003.10.009. PMID 15001284. 
  43. "Effect of enamel bevel on the clinical performance of resin composite restorations placed in non-carious cervical lesions". Journal of Esthetic and Restorative Dentistry 25 (5): 346–56. October 2013. doi:10.1111/jerd.12042. PMID 24148985. 
  44. "Effect of enamel bevel on retention of cervical composite resin restorations: A systematic review and meta-analysis". Journal of Dentistry 43 (7): 777–88. July 2015. doi:10.1016/j.jdent.2015.02.017. PMID 25765866. 

External links

Classification
D
  • ICD-10: K03.1
  • MeSH: D014072




Retrieved from "https://handwiki.org/wiki/index.php?title=Medicine:Abrasion_(dental)&oldid=2926745"

Categories: [Medical terminology]


Download as ZWI file | Last modified: 03/25/2024 16:49:13 | 21 views
☰ Source: https://handwiki.org/wiki/Medicine:Abrasion_(dental) | License: CC BY-SA 3.0

ZWI is not signed. [what is this?]