Conjunctival Melanoma

From Mdwiki
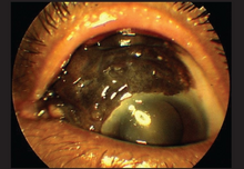
Conjunctival melanoma
Conjunctival melanoma.png
Conjunctival melanoma
SpecialtyOphthalmology
SymptomsSmall or larger, dark brown colorless bump in eye[1]
ComplicationsSpread to lungs, liver, brain, and bone[2]
FrequencyRare[2]

Conjunctival melanoma is a cancer in the lining of the inside of the eyelid or over the white of the eye.[1] It may be a small or larger bump, which arises suddenly or more frequently within a pre-existing spot.[1] It may be dark brown or have no color at all.[1] Characteristically, blood vessels are seen feeding into the cancer.[1]

It can spread to the lungs and less frequently the liver, brain, and bone.[2]

It is rare.[2]

Signs and symptoms[edit | edit source]

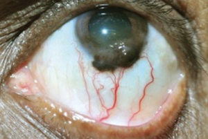
Photomicrograph showing diffuse conjunctival melanoma encroaching on the cornea OS. Melanoma arising from primary acquired melanosis with atypia is shown

References[edit | edit source]

  1. 1.0 1.1 1.2 1.3 1.4 DE, Elder; D, Massi; RA, Scolyer; R, Willemze (2018). "2. Melanocytic tumours: Conjunctival melanoma". WHO Classification of Skin Tumours. Vol. 11 (4th ed.). Lyon (France): World Health Organization. pp. 139–140. ISBN 978-92-832-2440-2. Archived from the original on 2022-07-11. Retrieved 2022-08-21.
  2. 2.0 2.1 2.2 2.3 "Conjunctival Melanoma: Overview, Etiology, Epidemiology". 9 March 2022. Archived from the original on 8 March 2022. Retrieved 21 August 2022.


Download as ZWI file | Last modified: 03/01/2024 20:23:33 | 5 views
☰ Source: https://mdwiki.org/wiki/Conjunctival_melanoma | License: CC BY-SA 3.0

ZWI is not signed. [what is this?]