From Mdwiki | Cutaneous myxoma | |
|---|---|
![]() | |
| Cutaneous myxoma | |
| Frequency | Lua error in Module:PrevalenceData at line 5: attempt to index field 'wikibase' (a nil value). |
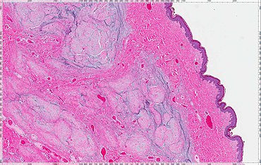
A cutaneous myxoma, or superficial angiomyxoma, consists of a multilobulated myxoid mass containing stellate or spindled fibroblasts with pools of mucin forming cleft-like spaces. There is often a proliferation of blood vessels and an inflammatory infiltrate. Staining is positive for vimentin, negative for cytokeratin and desmin, and variable for CD34, Factor VIIIa, SMA, MSA and S-100.[1]
Clinically, it may present as solitary or multiple flesh-colored nodules on the face, trunk, or extremities. It may occur as part of the Carney complex, and is sometimes the first sign. Local recurrence is common.[2]

Categories: [Dermal and subcutaneous growths]