Tumor Lysis Syndrome

From Mdwiki

Tumor lysis syndrome
Pathogenesis of tumor lysis syndrome.[1]
SpecialtyOncology, hematology

Tumor lysis syndrome (TLS) is a group of metabolic abnormalities that can occur as a complication of cancer treatment.[2] Symptoms may include nausea and vomiting.[3][4] Complications may include acute kidney failure and arrhythmias.[5]

It typically occurs following chemotherapy; though may occasionally occur spontaneously.[5] It most commonly occurs with blood cancers.[6] The underlying mechanism involves large numbers of tumor cells dying at the same time and releasing their contents into the bloodstream. It is characterized by high potassium, high phosphate, low calcium, high uric acid, and higher than normal levels of blood urea nitrogen (BUN) and other nitrogen-containing compounds (azotemia).

It can result in death.

TLS is similar to rhabdomyolysis, with comparable mechanism and blood chemistry effects but with different cause. In TLS, the breakdown occurs after cytotoxic therapy or from cancers with high cell turnover and tumor proliferation rates.

Signs and symptoms[edit | edit source]

  • Hyperkalemia. Potassium is mainly an intracellular ion. High turnover of tumor cells leads to spill of potassium into the blood. Symptoms usually do not manifest until levels are high (> 7 mmol/L) [normal 3.5–5.0 mmol/L] and they include[citation needed]
    • cardiac conduction abnormalities (can be fatal)
    • severe muscle weakness or paralysis
  • Hyperphosphatemia. Like potassium, phosphates are also predominantly intracellular. Hyperphosphatemia causes acute kidney failure in tumor lysis syndrome, because of deposition of calcium phosphate crystals in the kidney parenchyma.
  • Hypocalcemia. Because of the hyperphosphatemia, calcium is precipitated to form calcium phosphate, leading to hypocalcemia. Symptoms of hypocalcemia include (but are not limited to):
    • tetany
    • sudden mental incapacity, including emotional lability
    • Parkinsonian (extrapyramidal) movement disorders
    • papilledema
    • myopathy
  • Hyperuricemia[7] and hyperuricosuria. Massive cell death and nuclear breakdown generates large quantities of nucleic acids. Of these, the purines (adenine and guanine) are converted to uric acid via the purine degradation pathway and excreted in the urine. However, at the high concentrations of uric acid generated by tumor lysis, uric acid is apt to precipitate as monosodium urate crystals.

Acute uric acid nephropathy (AUAN) due to hyperuricosuria has been a dominant cause of acute kidney failure but with the advent of effective treatments for hyperuricosuria, AUAN has become a less common cause than hyperphosphatemia. Two common conditions related to excess uric acid, gout and uric acid nephrolithiasis, are not features of tumor lysis syndrome.

  • Lactic acidosis.[8][9]
  • Pretreatment spontaneous tumor lysis syndrome. This entity is associated with acute kidney failure due to uric acid nephropathy prior to the institution of chemotherapy and is largely associated with lymphoma and leukemia. The important distinction between this syndrome and the post-chemotherapy syndrome is that spontaneous TLS is not associated with hyperphosphatemia. One suggestion for the reason of this is that the high cell turnover rate leads to high uric acid levels through nucleobase turnover but the tumor reuses the released phosphate for growth of new tumor cells. In post-chemotherapy TLS, tumor cells are destroyed and no new tumor cells are being synthesized.[citation needed] TLS is most common during cytotoxic treatment of hematologic neoplasms.[10]

Risk factors[edit | edit source]

Risk factors for tumor lysis syndrome depend on several different characteristics of the patient, the type of cancer, and the type of chemotherapy used.[11]

Tumor characteristics: Tumors with a high cell turnover rate, rapid growth rate, and high tumor bulk tend to be more associated with the development of tumor lysis syndrome. The most common tumors associated with this syndrome are poorly differentiated lymphomas (such as Burkitt's lymphoma), other Non-Hodgkin Lymphomas (NHL), acute lymphoblastic leukemia (ALL), acute myeloid leukemia (AML), chronic lymphocytic leukemia (CLL), and chronic myelogenous leukemia (CML).[4] Other cancers (such as melanoma) have also been associated with TLS but are less common.

Patient characteristics: Certain patient-related factors can affect the development of clinical tumor lysis syndrome. These factors include elevated baseline serum creatinine, kidney failure, dehydration, and other issues affecting urinary flow or the acidity of urine.[11]

Chemotherapy: Chemo-sensitive tumors, such as lymphomas, carry a higher risk for the development of tumor lysis syndrome. Those tumors that are more responsive to a chemotherapy agent carry a higher TLS risk.[4] Usually, the precipitating medication regimen includes combination chemotherapy, but TLS can be triggered in cancer patients by steroid treatment alone, and sometimes without any treatment—in this case the condition is referred to as "spontaneous tumor lysis syndrome".[10][12]

Diagnosis[edit | edit source]

Diagnosis (and risk factor) for tumor lysis syndrome[13]
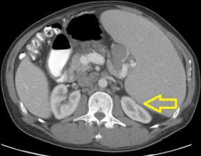
Acute tumor lysis syndrome after proximal splenic artery embolization-CT of abdomen shows splenomegaly with compression of left renal parenchyma arrow

TLS should be suspected in patients with large tumor burden who develop acute kidney failure along with hyperuricemia (> 15 mg/dL) or hyperphosphatemia (> 8 mg/dL). (Most other acute kidney failure occurs with uric acid < 12 mg/dL and phosphate < 6 mg/dL). Acute uric acid nephropathy is associated with little or no urine output. The urinalysis may show uric acid crystals or amorphous urates. The hypersecretion of uric acid can be detected with a high urine uric acid - creatinine ratio > 1.0, compared to a value of 0.6–0.7 for most other causes of acute kidney failure.[citation needed]

Cairo-Bishop definition[edit | edit source]

In 2004, Cairo and Bishop defined a classification system for tumor lysis syndrome.[14]

  • Laboratory: abnormality in two or more of the following, occurring within three days before or seven days after chemotherapy.
    • uric acid > 8 mg/dL or 25% increase
    • potassium > 6 meq/L or 25% increase
    • phosphate > 4.5 mg/dL or 25% increase
    • calcium < 7 mg/dL or 25% decrease
  • Clinical: laboratory tumor lysis syndrome plus one or more of the following:
    • increased serum creatinine (1.5 times upper limit of normal)
    • cardiac arrhythmia or sudden death
    • seizure

A grading scale (0–5) is used depending on the presence of lab TLS, serum creatinine, arrhythmias, or seizures.

Howard definition[edit | edit source]

In 2011, Howard proposed a refinement of the standard Cairo-Bishop definition of TLS accounting for 2 limitations:[15]

  • Two or more electrolyte laboratory abnormalities must be present simultaneously to be considered related to TLS. In fact, some patients may present with one abnormality, but later another one may develop that is unrelated to the TLS (e.g., hypocalcemia associated with sepsis).
  • A 25% change from baseline should not be considered a criterion since such increases are rarely clinically important unless the value is already outside the normal range.

Moreover, any symptomatic hypocalcemia should constitute clinical TLS.[citation needed]

Prevention[edit | edit source]

People about to receive chemotherapy for a cancer with a high cell turnover rate, especially lymphomas and leukemias, should receive prophylactic oral or IV allopurinol (a xanthine oxidase inhibitor, which inhibits uric acid production) as well as adequate IV hydration to maintain high urine output (> 2.5 L/day). Allopurinol works by preventing the formation of uric acid following tumor cell lysis.[10]

Rasburicase is an alternative to allopurinol[16][17] and is reserved for people who are high-risk in developing TLS, or when xanthine oxidase inhibition is contraindicated (taking 6-MP or azathioprine). It is a synthetic urate oxidase enzyme and acts by degrading uric acid.[18] However, it's not clear if it results in any important benefits as of 2014.[3]Alkalization of the urine with acetazolamide or sodium bicarbonate is controversial. Routine alkalization of urine above pH of 7.0 is not recommended. Alkalization is also not required if uricase is used.[citation needed]

Treatment[edit | edit source]

Treatment is first targeted at the specific metabolic disorder.

Kidney failure before chemotherapy[edit | edit source]

Since the major cause of acute kidney failure in this setting is uric acid build-up, therapy consists of rasburicase to wash out excessive uric acid crystals as well as a loop diuretic and fluids. Sodium bicarbonate should not be given at this time. If the patient does not respond, hemodialysis may be instituted, which is very efficient in removing uric acid, with plasma uric acid levels falling about 50% with each six-hour treatment.[citation needed]

Kidney failure after chemotherapy[edit | edit source]

The major cause of acute kidney failure in this setting is hyperphosphatemia, and the main treatment is hemodialysis. Forms of hemodialysis used include continuous arteriovenous hemodialysis (CAVHD), continuous venovenous hemofiltration (CVVH), or continuous venovenous hemodialysis (CVVHD).[citation needed]

References[edit | edit source]

  1. Pession, Andrea; Melchionda, Fraia; Castellini, Claudia (2008). "Pitfalls, prevention, and treatment of hyperuricemia during tumor lysis syndrome in the era of rasburicase (recombinant urate oxidase)". Biologics : Targets & Therapy. 2 (1): 129–141. ISSN 1177-5475. Archived from the original on 2024-02-12. Retrieved 2024-02-11.
  2. Davidson MB, Thakkar S, Hix JK, Bhandarkar MD, Wong A, Schreiber MJ (April 2004). "Pathophysiology, clinical consequences, and treatment of tumor lysis syndrome". Am. J. Med. 116 (8): 546–54. doi:10.1016/j.amjmed.2003.09.045. PMID 15063817.
  3. 3.0 3.1 Cheuk, Daniel Kl; Chiang, Alan Ks; Chan, Godfrey Cf; Ha, Shau Yin (8 March 2017). "Urate oxidase for the prevention and treatment of tumour lysis syndrome in children with cancer". The Cochrane Database of Systematic Reviews. 2017 (3): CD006945. doi:10.1002/14651858.CD006945.pub4. ISSN 1469-493X. PMC 6464610. PMID 28272834.
  4. 4.0 4.1 4.2 Niederhuber, John E.; Armitage, James O.; Doroshow, James H.; Kastan, Michael B.; Tepper, Joel E. (2014). Aebeloff's Clinical Oncology, Fifth Edition. Philadelphia: Elsevier Saunders. ISBN 978-1-4557-2865-7.
  5. 5.0 5.1 Adeyinka, A; Bashir, K (January 2023). "Tumor Lysis Syndrome". PMID 30085527. {{cite journal}}: Cite journal requires |journal= (help)
  6. Durfee, EM (1 June 2022). "Tumor Lysis Syndrome". Critical care nurse. 42 (3): 19–25. doi:10.4037/ccn2022795. PMID 35640898.
  7. Rampello E, Fricia T, Malaguarnera M (August 2006). "The management of tumor lysis syndrome". Nat Clin Pract Oncol. 3 (8): 438–47. doi:10.1038/ncponc0581. PMID 16894389. S2CID 23245352.
  8. A. R. Moossa; Stephen C. Schimpff; Martin C. Robson (1991). Comprehensive textbook of oncology, Volume 2. Lippincott Williams & Wilkins. ISBN 9780683061475. Archived from the original on 3 March 2022. Retrieved 2 May 2012. ... result in severe metabolic derangements (e.g., hyperuricemia, hypocalcemia, lactic aci- dosis, and the acute tumor lysis syndrome) which require expeditious management. Hyperuricemia Uric acid is the end product of purine catabolism.
  9. Darmon, Michael; Malak, Sandra; Guichard, Isabelle; Schlemmer, Benoit (July–September 2008). "Acute tumor lysis syndrome: a comprehensive review". Revista Brasileira de Terapia Intensiva. 20 (3): 278–285. doi:10.1590/S0103-507X2008000300011. ISSN 0103-507X. PMID 25307096.
  10. 10.0 10.1 10.2 Weeks, A. C.; Kimple, M. E. (26 August 2015). "Spontaneous Tumor Lysis Syndrome: A Case Report and Critical Evaluation of Current Diagnostic Criteria and Optimal Treatment Regimens". Journal of Investigative Medicine High Impact Case Reports. 3 (3): 232470961560319. doi:10.1177/2324709615603199. PMC 4748506. PMID 26904699.
  11. 11.0 11.1 Coiffier, Bertrand; Riouffol, Catherine (2007-02-01). "Management of tumor lysis syndrome in adults". Expert Review of Anticancer Therapy. 7 (2): 233–239. doi:10.1586/14737140.7.2.233. ISSN 1473-7140. PMID 17288532. S2CID 41115749.
  12. d'Alessandro, V.; Greco, A.; Clemente, C.; Sperandeo, M.; De Cata, A.; Di Micco, C.; Maiello, E.; Vendemiale, G. (2010). "Severe spontaneous acute tumor lysis syndrome and hypoglycemia in patient with germ cell tumor". Tumori. 96 (6): 1040–1043. doi:10.1177/548.6530. PMID 21388073. S2CID 7889581.
  13. Puri, Isha; Sharma, Deep; Gunturu, Krishna S.; Ahmed, Andaleeb A. (14 June 2020). "Diagnosis and management of tumor lysis syndrome". Journal of Community Hospital Internal Medicine Perspectives. 10 (3): 269–272. doi:10.1080/20009666.2020.1761185. ISSN 2000-9666.
  14. Cairo MS, Bishop M (October 2004). "Tumour lysis syndrome: new therapeutic strategies and classification". Br. J. Haematol. 127 (1): 3–11. doi:10.1111/j.1365-2141.2004.05094.x. PMID 15384972. S2CID 35738745.
  15. Howard, SC; Jones, DP; Pui, CH (12 May 2011). "The tumor lysis syndrome". The New England Journal of Medicine. 364 (19): 1844–54. doi:10.1056/NEJMra0904569. PMC 3437249. PMID 21561350.
  16. Mayne N, Keady S, Thacker M (February 2008). "Rasburicase in the prevention and treatment of tumour lysis syndrome". Intensive Crit Care Nurs. 24 (1): 59–62. doi:10.1016/j.iccn.2007.06.002. PMID 17698360.
  17. Coiffier B, Mounier N, Bologna S, et al. (December 2003). "Efficacy and safety of rasburicase (recombinant urate oxidase) for the prevention and treatment of hyperuricemia during induction chemotherapy of aggressive non-Hodgkin's lymphoma: results of the GRAAL1 (Groupe d'Etude des Lymphomes de l'Adulte Trial on Rasburicase Activity in Adult Lymphoma) study". J. Clin. Oncol. 21 (23): 4402–6. doi:10.1200/JCO.2003.04.115. PMID 14581437.{{cite journal}}: CS1 maint: url-status (link)
  18. Cammalleri L, Malaguarnera M (2007). "Rasburicase represents a new tool for hyperuricemia in tumor lysis syndrome and in gout". Int J Med Sci. 4 (2): 83–93. doi:10.7150/ijms.4.83. PMC 1838823. PMID 17396159.

External links[edit | edit source]

Classification
External resources

Categories: [Oncology] [Blood disorders] [Conditions of the subcutaneous fat] [Oncological emergencies] [Syndromes]


Download as ZWI file | Last modified: 05/27/2024 01:05:15 | 6 views
☰ Source: https://mdwiki.org/wiki/Tumor_lysis_syndrome | License: CC BY-SA 3.0

ZWI is not signed. [what is this?]