Lymphoma

From Mdwiki
Lymphoma
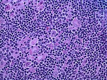
Follicular lymphoma replacing a lymph node
SpecialtyHematology and oncology
SymptomsEnlarged lymph nodes, fever, sweats, unintended weight loss, itching, feeling tired[1][2]
Risk factorsEpstein–Barr virus, autoimmune diseases, HIV/AIDS, tobacco smoking[2][3]
Diagnostic methodLymph node biopsy[1][2]
TreatmentChemotherapy, radiation therapy, targeted therapy, surgery[1][2]
PrognosisAverage five year survival 85% (USA)[4]
Frequency4.9 million (2015)[5]
Deaths204,700 (2015)[6]

Lymphoma is a group of blood cancers that develop from lymphocytes (a type of white blood cell).[7] The name often refers to just the cancerous versions rather than all such tumours.[7] Signs and symptoms may include enlarged lymph nodes, fever, drenching sweats, unintended weight loss, itching, and constantly feeling tired.[1][2] The enlarged lymph nodes are usually painless.[1] The sweats are most common at night.[1][2]

There are many subtypes of lymphomas.[8] The two main categories of lymphomas are the non-Hodgkin lymphomas (NHL) (90% of cases) and Hodgkin lymphomas (HL) (10%).[9] The World Health Organization (WHO) includes two other categories as types of lymphoma: multiple myeloma and immunoproliferative diseases.[10] About 90% of lymphomas are non-Hodgkin lymphomas.[9][11] Lymphomas and leukemias are a part of the broader group of tumors of the hematopoietic and lymphoid tissues.[12]

Risk factors for Hodgkin lymphoma include infection with Epstein–Barr virus and a history of the disease in the family.[1] Risk factors for common types of non-Hodgkin lymphomas include autoimmune diseases, HIV/AIDS, infection with human T-lymphotropic virus, immunosuppressant medications, and some pesticides.[2][13] Eating large amounts of red meat and tobacco smoking may also increase the risk.[3][14][15] Diagnosis, if enlarged lymph nodes are present, is usually by lymph node biopsy.[1][2] Blood, urine, and bone marrow testing may also be useful in the diagnosis.[2] Medical imaging may then be done to determine if and where the cancer has spread.[1][2] Lymphoma most often spreads to the lungs, liver, and brain.[1][2]

Treatment may involve one or more of the following: chemotherapy, radiation therapy, targeted therapy, and surgery.[1][2] In some non-Hodgkin lymphomas, an increased amount of protein produced by the lymphoma cells causes the blood to become so thick that plasmapheresis is performed to remove the protein.[2] Watchful waiting may be appropriate for certain types.[2] The outcome depends on the subtype with some being curable and treatment prolonging survival in most.[9] The five-year survival rate in the United States for all Hodgkin lymphoma subtypes is 85%,[4] while that for non-Hodgkin lymphomas is 69%.[16] Worldwide, lymphomas developed in 566,000 people in 2012 and caused 305,000 deaths.[10] They make up 3–4% of all cancers, making them as a group the seventh-most common form.[10][17] In children, they are the third-most common cancer.[18] They occur more often in the developed world than the developing world.[10]

Signs and symptoms[edit | edit source]

The lymph nodes where lymphoma most commonly develops
Lymphoma and lymphatic system

Lymphoma may present with certain nonspecific symptoms; if the symptoms are persistent, an evaluation to determine their cause, including possible lymphoma, should be undertaken.

Mouth[edit | edit source]

Asymptomatic soft swelling which may or may not be ulcerated that is primarily seen on the tonsils, buccal mucosa, palate, gums, salivary glands, tongue, floor of the mouth, and retromolar region.

Diagnosis[edit | edit source]

Lymphoma is definitively diagnosed by a lymph node biopsy, meaning a partial or total excision of a lymph node examined under the microscope.[22] This examination reveals histopathological features that may indicate lymphoma. After lymphoma is diagnosed, a variety of tests may be carried out to look for specific features characteristic of different types of lymphoma. These include:

Classification[edit | edit source]

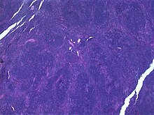
Lymph node with mantle cell lymphoma (low-power view, H&E)

According to the World Health Organization (WHO), lymphoma classification should reflect which lymphocyte population the neoplasm arises.[24] Thus, neoplasms which arise from precursor lymphoid cells are distinguished from those which arise from mature lymphoid cells.[24] Most mature lymphoid neoplasms comprise the non-Hodgkin lymphomas.[24] Historically, mature histiocytic and dendritic cell (HDC) neoplasms have been considered mature lymphoid neoplasms since these often involve lymphoid tissue.[24]

Lymphoma can also spread to the central nervous system, often around the brain in the meninges, known as lymphomatous meningitis (LM).[25]

Hodgkin lymphoma[edit | edit source]

Hodgkin lymphoma accounts for about 15% of lymphomas.[26] It differs from other forms of lymphoma in its prognosis and several pathological characteristics. A division into Hodgkin and non-Hodgkin lymphomas is used in several of the older classification systems. A Hodgkin lymphoma is marked by the presence of a type of cell called the Reed–Sternberg cell.[27][28]

Non-Hodgkin lymphomas[edit | edit source]

Non-Hodgkin lymphomas, which are defined as being all lymphomas except Hodgkin lymphoma, are more common than Hodgkin lymphoma. A wide variety of lymphomas are in this class, and the causes, the types of cells involved, and the prognosis vary by type. The number of cases per year of non-Hodgkin lymphoma increases with age. It is further divided into several subtypes.

Epstein-Barr virus-associated lymphoproliferative diseases[edit | edit source]

Epstein-Barr virus-associated lymphoproliferative diseases are a group of benign, pre-malignant, and malignant diseases of lymphoid cells, i.e. B cells, T cells, NK cells, and histiocytic-dendritic cells in which one or more of these cell types is infected with the Epstein-Barr virus (EBV). The virus may be responsible for the development and/or progression of these diseases. In addition to EBV-positive Hodgkin lymphomas, the World Health Organization (2016) includes the following lymphomas, when associated with EBV infection, in this group of diseases: Burkitt lymphoma; large B cell lymphoma, not otherwise specified; diffuse large B cell lymphoma associated with chronic inflammation; fibrin-associated diffuse large B cell lymphoma; primary effusion lymphoma; plasmablastic lymphoma; extranodal NK/T cell lymphoma, nasal type; peripheral T cell lymphoma, not otherwise specified; angioimmunoblastic T cell lymphoma; follicular T cell lymphoma; and systemic T cell lymphoma of childhood.[29]

WHO classification[edit | edit source]

The WHO classification, published in 2001 and updated in 2008,[30][31] is based upon the foundations laid within the "revised European-American lymphoma classification" (REAL). This system groups lymphomas by cell type (i.e. the normal cell type that most resembles the tumor) and defining phenotypic, molecular, or cytogenetic characteristics. The five groups are shown in the table. Hodgkin lymphoma is considered separately within the WHO and preceding classifications, although it is recognized as being a tumor of, albeit markedly abnormal, lymphocytes of mature B cell lineage.

Of the many forms of lymphoma, some are categorized as indolent (e.g. small lymphocytic lymphoma), compatible with a long life even without treatment, whereas other forms are aggressive (e.g. Burkitt's lymphoma), causing rapid deterioration and death. However, most of the aggressive lymphomas respond well to treatment and are curable. The prognosis, therefore, depends on the correct diagnosis and classification of the disease, which is established after examination of a biopsy by a pathologist (usually a hematopathologist).[32]

Lymphoma subtypes (WHO 2008)
Mature B cell neoplasms
DNA-microarray analysis of Burkitt's lymphoma and diffuse large B-cell lymphoma (DLBCL) showing differences in gene expression patterns. Colors indicate levels of expression; green indicates genes that are underexpressed in lymphoma cells (as compared to normal cells), whereas red indicates genes that are overexpressed in lymphoma cells.
3 to 4% of lymphomas in adults
Small resting lymphocytes mixed with variable numbers of large activated cells, lymph nodes diffusely effaced
CD5, surface immunoglobulin
5-year survival rate 50%.[33]
Occurs in older adults, usually involves lymph nodes, bone marrow and spleen, most patients have peripheral blood involvement, indolent
About 5% of lymphomas in adults
Variable cell size and differentiation, 40% show plasma cell differentiation, homing of B cells to epithelium creates lymphoepithelial lesions.
CD5, CD10, surface Ig
Frequently occurs outside lymph nodes, very indolent, may be cured by local excision
About 40% of lymphomas in adults
Small "cleaved" cells (centrocytes) mixed with large activated cells (centroblasts), usually nodular ("follicular") growth pattern
CD10, surface Ig
72–77%[34]
Occurs in older adults, usually involves lymph nodes, bone marrow and spleen, associated with t(14;18) translocation overexpressing Bcl-2, indolent
3 to 4% of lymphomas in adults
Lymphocytes of small to intermediate size growing in diffuse pattern
CD5
50%[35] to 70%[35]
Occurs mainly in adult males, usually involves lymph nodes, bone marrow, spleen and GI tract, associated with t(11;14) translocation overexpressing cyclin D1, moderately aggressive
About 40 to 50% of lymphomas in adults
Variable, most resemble B cells of large germinal centers, diffuse growth pattern
Variable expression of CD10 and surface Ig
5-year survival 60%[36]
Occurs in all ages, but most commonly in older adults, may occur outside lymph nodes, aggressive
< 1% of lymphomas in the United States
Round lymphoid cells of intermediate size with several nucleoli, starry-sky appearance by diffuse spread with interspersed apoptosis
CD10, surface Ig
5-year
survival
50%[37]
Endemic in Africa, sporadic elsewhere, more common in immunocompromised and children, often visceral involvement, highly aggressive
Mature T cell and natural killer (NK) cell neoplasms
Most common cutaneous lymphoid malignancy
Usually small lymphoid cells with convoluted nuclei that often infiltrate the epidermis, creating Pautrier microabscesseses
CD4
5-year
survival
75%[38]
Localized or more generalized skin symptoms, generally indolent, in a more aggressive variant, Sézary's disease, skin erythema and peripheral blood involvement
Most common T cell lymphoma
Variable, usually a mix small to large lymphoid cells with irregular nuclear contours
CD3
Probably consists of several rare tumor types, often disseminated and generally aggressive
Precursor lymphoid neoplasms
15% of childhood acute lymphoblastic leukemia and 90% of lymphoblastic lymphoma.[30]: 635 
Lymphoblasts with irregular nuclear contours, condensed chromatin, small nucleoli and scant cytoplasm without granules
TdT, CD2, CD7
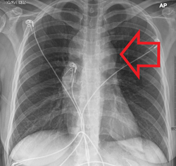
It often presents as a mediastinal mass because of involvement of the thymus. It is highly associated with NOTCH1 mutations, and is most common in adolescent males.
Hodgkin lymphoma
Most common type of Hodgkin lymphoma
Reed-Sternberg cell variants and inflammation, usually broad sclerotic bands that consist of collagen
CD15, CD30
Most common in young adults, often arises in the mediastinum or cervical lymph nodes
    • Mixed cellularity Hodgkin lymphoma
Second-most common form of Hodgkin lymphoma
Many classic Reed-Sternberg cells and inflammation
CD15, CD30
Most common in men, more likely to be diagnosed at advanced stages than the nodular sclerosis form Epstein-Barr virus involved in 70% of cases
Immunodeficiency-associated lymphoproliferative disorders

Previous classifications[edit | edit source]

Several previous classifications have been used, including Rappaport 1956, Lennert/Kiel 1974, BNLI, Working formulation (1982), and REAL (1994).

The Working Formulation of 1982 was a classification of non-Hodgkin lymphoma. It excluded the Hodgkin lymphomas and divided the remaining lymphomas into four grades (low, intermediate, high, and miscellaneous) related to prognosis, with some further subdivisions based on the size and shape of affected cells. This purely histological classification included no information about cell surface markers, or genetics, and it made no distinction between T-cell lymphomas and B-cell lymphomas. It was widely accepted at the time of its publication, but is now obsolete.[39]

In 1994, the Revised European-American Lymphoma (REAL) classification applied immunophenotypic and genetic features in identifying distinct clinicopathologic entities among all the lymphomas except Hodgkin lymphoma.[40] For coding purposes, the ICD-O (codes 9590–9999)[41] and ICD-10 (codes C81-C96)[42] are available.

Staging[edit | edit source]

Diagram showing common sites where lymphoma spreads

After a diagnosis and before treatment, a cancer is staged. This refers to determining if the cancer has spread, and if so, whether locally or to distant sites. Staging is reported as a grade between I (confined) and IV (spread). The stage of a lymphoma helps predict a patient's prognosis and is used to help select the appropriate therapy.[43]

The Ann Arbor staging system is routinely used for staging of both HL and NHL. In this staging system, I represents localized disease contained within a lymph node group, II represents the presence of lymphoma in two or more lymph nodes groups, III represents spread of the lymphoma to lymph nodes groups on both sides of the diaphragm, and IV indicates spread to tissue outside the lymphatic system. Different suffixes imply involvement of different organs, for example S for the spleen and H for the liver. Extra-lymphatic involvement is expressed with the letter E. In addition, the presence of B symptoms (one or more of the following: unintentional loss of 10% body weight in the last 6 months, night sweats, or persistent fever of 38 °C or more) or their absence is expressed with B or A, respectively.[44]

CT scan or PET scan imaging modalities are used to stage a cancer. PET scanning is advised for fluorodeoxyglucose-avid lymphomas, such as Hodgkin lymphoma, as a staging tool that can even replace bone marrow biopsy. For other lymphomas, CT scanning is recommended for staging.[43]

Age and poor performance status are other established poor prognostic factors.[45]

Differential diagnosis[edit | edit source]

Certain lymphomas (extranodal NK/T-cell lymphoma, nasal type and type II enteropathy-associated T-cell lymphoma) can be mimicked by two benign diseases which involve the excessive proliferation of non-malignant NK cells in the GI tract, natural killer cell enteropathy, a disease wherein NK cell infiltrative lesions occur in the intestine, colon, stomach, or esophagus, and lymphomatoid gastropathy, a disease wherein these cells' infiltrative lesions are limited to the stomach. These diseases do not progress to cancer, may regress spontaneously and do not respond to, and do not require, chemotherapy or other lymphoma treatments.[46]

Treatment[edit | edit source]

Prognoses and treatments are different for HL and between all the different forms of NHL,[47] and also depend on the grade of tumour, referring to how quickly a cancer replicates. Paradoxically, high-grade lymphomas are more readily treated and have better prognoses:[citation needed] Burkitt lymphoma, for example, is a high-grade tumour known to double within days, and is highly responsive to treatment. Lymphomas may be curable if detected in early stages with modern treatment.

Low-grade[edit | edit source]

Many low-grade lymphomas remain indolent for many years. Treatment of the nonsymptomatic person is often avoided. In these forms of lymphoma, such as follicular lymphoma, watchful waiting is often the initial course of action. This is carried out because the harms and risks of treatment outweigh the benefits.[48] If a low-grade lymphoma is becoming symptomatic, radiotherapy or chemotherapy are the treatments of choice; although they do not cure the lymphoma, they can alleviate the symptoms, particularly painful lymphadenopathy. People with these types of lymphoma can live near-normal lifespans, but the disease is incurable. Some centers advocate the use of single agent rituximab in the treatment of follicular lymphoma rather than the wait and watch approach. Watchful waiting is not a good strategy for everyone, as it leads to significant distress and anxiety in some people. It has been equated with watch and worry.[49]

High-grade[edit | edit source]

Treatment of some other, more aggressive, forms of lymphoma[which?] can result in a cure in the majority of cases, but the prognosis for people with a poor response to therapy is worse.[50] Treatment for these types of lymphoma typically consists of aggressive chemotherapy, including the CHOP or R-CHOP regimen. A number of people are cured with first-line chemotherapy. Most relapses occur within the first two years, and the relapse risk drops significantly thereafter.[51] For people who relapse, high-dose chemotherapy followed by autologous stem cell transplantation is a proven approach.[52]

Hodgkin lymphoma[edit | edit source]

Hodgkin lymphoma typically is treated with radiotherapy alone, as long as it is localized.[53]

Advanced Hodgkin disease requires systemic chemotherapy, sometimes combined with radiotherapy.[54] Chemotherapy used includes the ABVD regimen, which is commonly used in the United States. Other regimens used in the management of Hodgkin lymphoma include BEACOPP and Stanford V. Considerable controversy exists regarding the use of ABVD or BEACOPP. Briefly, both regimens are effective, but BEACOPP is associated with more toxicity. Encouragingly, a significant number of people who relapse after ABVD can still be salvaged by stem cell transplant.[55]

Palliative care[edit | edit source]

Palliative care, a specialized medical care focused on the symptoms, pain, and stress of a serious illness, is recommended by multiple national cancer treatment guidelines as an accompaniment to curative treatments for people suffering from lymphoma.[56][57] It is used to address both the direct symptoms of lymphoma and many unwanted side effects that arise from treatments.[58][59] Palliative care can be especially helpful for children who develop lymphoma, helping both children and their families deal with the physical and emotional symptoms of the disease.[58][60][61][62] For these reasons, palliative care is especially important for people requiring bone marrow transplants.[63][64]

Prognosis[edit | edit source]

Five-year relative survival by stage at diagnosis[65]
Stage at diagnosis Five-year relative
survival (%)
Percentage
of cases (%)
Localized (confined to primary site) 82.3 26
Regional (spread to regional lymph nodes) 78.3 19
Distant (cancer has metastasized) 62.7 47
Unknown (unstaged) 68.6 8

Epidemiology[edit | edit source]

Deaths from lymphomas and multiple myeloma per million persons in 2012
  0-13
  14-18
  19-22
  23-28
  29-34
  35-42
  43-57
  58-88
  89-121
  122-184

Lymphoma is the most common form of hematological malignancy, or "blood cancer", in the developed world.

Taken together, lymphomas represent 5.3% of all cancers (excluding simple basal cell and squamous cell skin cancers) in the United States and 55.6% of all blood cancers.[66]

According to the U.S. National Institutes of Health, lymphomas account for about 5%, and Hodgkin lymphoma in particular accounts for less than 1% of all cases of cancer in the United States.

Because the whole system is part of the body's immune system, people with a weakened immune system such as from HIV infection or from certain drugs or medication also have a higher number of cases of lymphoma.[67]

History[edit | edit source]

Thomas Hodgkin

Thomas Hodgkin published the first description of lymphoma in 1832, specifically of the form named after him.[68] Since then, many other forms of lymphoma have been described.

The term "lymphoma" is from latin lympha ("water") and from greek -oma ("morbid growth, tumor").[69]

Research[edit | edit source]

The two types of lymphoma research are clinical or translational research and basic research. Clinical/translational research focuses on studying the disease in a defined and generally immediately applicable way, such as testing a new drug in people. Studies may focus on effective means of treatment, better ways of treating the disease, improving the quality of life for people, or appropriate care in remission or after cures. Hundreds of clinical trials are being planned or conducted at any given time.[70]

Basic science research studies the disease process at a distance, such as seeing whether a suspected carcinogen can cause healthy cells to turn into lymphoma cells in the laboratory or how the DNA changes inside lymphoma cells as the disease progresses. The results from basic research studies are generally less immediately useful to people with the disease,[71] but can improve scientists' understanding of lymphoma and form the foundation for future, more effective treatments.

Other animals[edit | edit source]

References[edit | edit source]

  1. 1.00 1.01 1.02 1.03 1.04 1.05 1.06 1.07 1.08 1.09 1.10 "General Information About Adult Hodgkin Lymphoma". National Cancer Institute. 2014-04-23. Archived from the original on 5 July 2014. Retrieved 20 June 2014.
  2. 2.00 2.01 2.02 2.03 2.04 2.05 2.06 2.07 2.08 2.09 2.10 2.11 2.12 2.13 "General Information About Adult Non-Hodgkin Lymphoma". National Cancer Institute. 2014-04-25. Archived from the original on 5 July 2014. Retrieved 20 June 2014.
  3. 3.0 3.1 Kamper-Jørgensen, M; Rostgaard, K; Glaser, SL; Zahm, SH; Cozen, W; Smedby, KE; Sanjosé, S; Chang, ET; Zheng, T; La Vecchia, C; Serraino, D; Monnereau, A; Kane, EV; Miligi, L; Vineis, P; Spinelli, JJ; McLaughlin, JR; Pahwa, P; Dosman, JA; Vornanen, M; Foretova, L; Maynadie, M; Staines, A; Becker, N; Nieters, A; Brennan, P; Boffetta, P; Cocco, P; Hjalgrim, H (September 2013). "Cigarette smoking and risk of Hodgkin lymphoma and its subtypes: a pooled analysis from the International Lymphoma Epidemiology Consortium (InterLymph)". Annals of Oncology. 24 (9): 2245–55. doi:10.1093/annonc/mdt218. PMC 3755332. PMID 23788758.
  4. 4.0 4.1 "Hodgkin Lymphoma—SEER Stat Fact Sheets". Seer.cancer.gov. Archived from the original on 2012-10-17. Retrieved 2012-08-26.
  5. GBD 2015 Disease and Injury Incidence and Prevalence, Collaborators. (8 October 2016). "Global, regional, and national incidence, prevalence, and years lived with disability for 310 diseases and injuries, 1990-2015: a systematic analysis for the Global Burden of Disease Study 2015". Lancet. 388 (10053): 1545–1602. doi:10.1016/S0140-6736(16)31678-6. PMC 5055577. PMID 27733282.
  6. GBD 2015 Mortality and Causes of Death, Collaborators. (8 October 2016). "Global, regional, and national life expectancy, all-cause mortality, and cause-specific mortality for 249 causes of death, 1980-2015: a systematic analysis for the Global Burden of Disease Study 2015". Lancet. 388 (10053): 1459–1544. doi:10.1016/s0140-6736(16)31012-1. PMC 5388903. PMID 27733281.
  7. 7.0 7.1 Taylor, Elizabeth J. (2000). Dorland's Illustrated medical dictionary (29th ed.). Philadelphia: Saunders. p. 1038. ISBN 0721662544.
  8. Aditya Bardia (2010). Johns Hopkins Patients' Guide to Lymphoma. Jones & Bartlett Learning. p. 6. ISBN 9781449631413. Archived from the original on 2017-09-10.
  9. 9.0 9.1 9.2 The Lymphoma Guide Information for Patients and Caregivers (PDF). Leukemia and Lymphoma Society. 2013. Archived (PDF) from the original on 14 July 2014. Retrieved 20 June 2014.
  10. 10.0 10.1 10.2 10.3 World Cancer Report 2014. World Health Organization. 2014. pp. Chapter 5.13. ISBN 978-9283204299.
  11. "Lymphoma". NCI. 2011-02-02. Archived from the original on 5 July 2014. Retrieved 13 June 2014.
  12. Vardiman JW, Thiele J, Arber DA, Brunning RD, Borowitz MJ, Porwit A, Harris NL, Le Beau MM, Hellström-Lindberg E, Tefferi A, Bloomfield CD (Jul 30, 2009). "The 2008 revision of the World Health Organization (WHO) classification of myeloid neoplasms and acute leukemia: rationale and important changes". Blood. 114 (5): 937–51. doi:10.1182/blood-2009-03-209262. PMID 19357394. S2CID 3101472.
  13. Hu, L; Luo, D; Zhou, T; Tao, Y; Feng, J; Mei, S (12 August 2017). "The association between non-Hodgkin lymphoma and organophosphate pesticides exposure: A meta-analysis". Environmental Pollution (Barking, Essex : 1987). 231 (Pt 1): 319–328. doi:10.1016/j.envpol.2017.08.028. PMID 28810201.
  14. Yang, L; Dong, J; Jiang, S; Shi, W; Xu, X; Huang, H; You, X; Liu, H (November 2015). "Red and Processed Meat Consumption Increases Risk for Non-Hodgkin Lymphoma: A PRISMA-Compliant Meta-Analysis of Observational Studies". Medicine. 94 (45): e1729. doi:10.1097/MD.0000000000001729. PMC 4912242. PMID 26559248.
  15. Solimini, AG; Lombardi, AM; Palazzo, C; De Giusti, M (May 2016). "Meat intake and non-Hodgkin lymphoma: a meta-analysis of observational studies". Cancer Causes & Control. 27 (5): 595–606. doi:10.1007/s10552-016-0745-2. PMID 27076059. S2CID 17430078.
  16. "SEER Stat Fact Sheets: Non-Hodgkin Lymphoma". NCI. Archived from the original on 6 July 2014. Retrieved 18 June 2014.
  17. Marcus, Robert (2013). Lymphoma : pathology, diagnosis and treatment (Second ed.). p. 1. ISBN 9781107010598. Archived from the original on 2015-09-06.
  18. Tepper, John E. Niederhuber, James O. Armitage, James H. Doroshow, Michael B. Kastan, Joel E. (2014). "Childhood lymphoma". Abeloff's clinical oncology (Fifth ed.). p. Chapter 97. ISBN 978-1455728657.
  19. 19.0 19.1 19.2 19.3 19.4 19.5 "About Lymphoma". Lymphoma Research Foundation. Archived from the original on 2 December 2012. Retrieved 22 December 2012.
  20. 20.0 20.1 20.2 20.3 20.4 20.5 20.6 20.7 "Warning Signs of Lymphoma — First Signs of Lymphoma". Lymphoma.about.com. Archived from the original on 2012-11-18. Retrieved 2012-12-01.
  21. "Primary CNS Lymphoma: Overview, Etiology, Epidemiology". 2019-11-09. Archived from the original on 2020-01-30. Retrieved 2020-01-30. {{cite journal}}: Cite journal requires |journal= (help)
  22. Mallick, Indranil. "How Is Lymphoma Diagnosed?". lymphoma.about.com. Archived from the original on 16 January 2013. Retrieved 22 December 2012.
  23. Subhaschandra Singh, Y. Sobita Devi, Shweta Bhalothia and Veeraraghavan Gunasekaran (2016). "Peritoneal Carcinomatosis: Pictorial Review of Computed Tomography Findings". International Journal of Advanced Research. 4 (7): 735–748. doi:10.21474/IJAR01/936. ISSN 2320-5407.{{cite journal}}: CS1 maint: multiple names: authors list (link) CC-BY 4.0 Archived 2017-10-16 at the Wayback Machine
  24. 24.0 24.1 24.2 24.3 Manli Jiang, N. Nora Bennani, and Andrew L. Feldman. Lymphoma classification update: T-cell lymphomas, Hodgkin lymphoma, and histiocytic/dendritic cell neoplasms. Expert Rev Hematol. 2017 Mar; 10(3): 239-249. Author Manuscript.
  25. Canova, F; Marino, D; Trentin, C; Soldà, C; Ghiotto, C; Aversa, SM (August 2011). "Intrathecal chemotherapy in lymphomatous meningitis". Critical Reviews in Oncology/Hematology. 79 (2): 127–34. doi:10.1016/j.critrevonc.2010.07.005. PMID 20696592.
  26. "Hodgkins Lymphoma Incidence". 2015-05-14. Archived from the original on 2017-09-29. Retrieved 2 October 2017.
  27. National Cancer Institute, "Hodgkin Lymphoma", "Lymphoma—Patient Version". Archived from the original on 2013-08-02. Retrieved 2013-08-05., accessed on 2013-08-05
  28. National Cancer Institute. "What You Need To Know About Hodgkin Lymphoma". U.S. Dept of Health and Human Services, (online at "Archived copy" (PDF). Archived from the original (PDF) on 2014-01-24. Retrieved 2013-08-05.{{cite web}}: CS1 maint: archived copy as title (link)), pg 4.
  29. Rezk SA, Zhao X, Weiss LM (June 2018). "Epstein - Barr virus - associated lymphoid proliferations, a 2018 update". Human Pathology. 79: 18–41. doi:10.1016/j.humpath.2018.05.020. PMID 29885408.
  30. 30.0 30.1 Jaffe, ES; Harris, NL; Vardiman, JW; Campo, E; Arber, DA. (2011). Hematopathology (1st ed.). Elsevier Saunders. ISBN 9780721600406.
  31. Swerdlow, Steven H.; International Agency for Research on Cancer; World Health Organization (2008). WHO classification of tumours of haematopoietic and lymphoid tissues. World Health Organization classification of tumours. Vol. 2 (4th ed.). International Agency for Research on Cancer. ISBN 9789283224310. Archived from the original on 2015-02-11.
  32. Wagman LD. (2008). "Principles of Surgical Oncology". In Pazdur R, Wagman LD, Camphausen KA, Hoskins WJ (eds.). Cancer Management: A Multidisciplinary Approach (11th ed.). CMPMedica. ISBN 9781891483622. Archived from the original on 2013-10-04. {{cite book}}: Unknown parameter |chapterurl= ignored (help)
  33. "Chronic Leukemias". The Merck Manual of Geriatrics. Archived from the original on 2010-07-04.
  34. Lymphoma, Follicular at eMedicine
  35. 35.0 35.1
    50% for limited stage: Leitch HA, Gascoyne RD, Chhanabhai M, Voss NJ, Klasa R, Connors JM (October 2003). "Limited-stage mantle-cell lymphoma". Ann. Oncol. 14 (10): 1555–61. doi:10.1093/annonc/mdg414. PMID 14504058.
    70% for advanced stage: Herrmann A, Hoster E, Zwingers T, Brittinger G, Engelhard M, Meusers P, Reiser M, Forstpointner R, Metzner B, Peter N, Wörmann B, Trümper L, Pfreundschuh M, Einsele H, Hiddemann W, Unterhalt M, Dreyling M (February 2009). "Improvement of overall survival in advanced stage mantle cell lymphoma". J. Clin. Oncol. 27 (4): 511–8. doi:10.1200/JCO.2008.16.8435. PMID 19075279. S2CID 32350562.
  36. Turgeon, Mary Louise (2005). Clinical Hematology: Theory and Procedures. Vol. 936 (4 ed.). Lippincott Williams & Wilkins. pp. 285–6. ISBN 978-0-7817-5007-3. Archived from the original on 2015-09-06.
  37. Diviné M, Casassus P, Koscielny S, Bosq J, Sebban C, Le Maignan C, Stamattoulas A, Dupriez B, Raphaël M, Pico JL, Ribrag V (December 2005). "Burkitt lymphoma in adults: a prospective study of 72 patients treated with an adapted pediatric LMB protocol". Ann. Oncol. 16 (12): 1928–35. doi:10.1093/annonc/mdi403. PMID 16284057.
  38. Kirova YM, Piedbois Y, Haddad E, Levy E, Calitchi E, Marinello G, Le Bourgeois JP (May 1999). "Radiotherapy in the management of mycosis fungoides: indications, results, prognosis. Twenty years experience". Radiother Oncol. 51 (2): 147–51. doi:10.1016/S0167-8140(99)00050-X. PMID 10435806.
  39. Clarke CA, Glaser SL, Dorfman RF, Bracci PM, Eberle E, Holly EA (January 2004). "Expert review of non-Hodgkin lymphomas in a population-based cancer registry: reliability of diagnosis and subtype classifications". Cancer Epidemiol. Biomarkers Prev. 13 (1): 138–43. doi:10.1158/1055-9965.EPI-03-0250. PMID 14744745.
  40. Non-Hodgkin Lymphoma at eMedicine
  41. "Archived copy". Archived from the original on June 27, 2004. Retrieved 2005-11-07.{{cite web}}: CS1 maint: archived copy as title (link) CS1 maint: bot: original URL status unknown (link)
  42. who.int[permanent dead link]
  43. 43.0 43.1 Cheson, Bruce D.; Fisher, Richard I.; Barrington, Sally F.; Cavalli, Franco; Schwartz, Lawrence H.; Zucca, Emanuele; Lister, T. Andrew (20 September 2014). "Recommendations for Initial Evaluation, Staging, and Response Assessment of Hodgkin and Non-Hodgkin Lymphoma: The Lugano Classification". J Clin Oncol. 32 (27): 3059–3067. doi:10.1200/JCO.2013.54.8800. PMC 4979083. PMID 25113753.
  44. Carbone, PP; Kaplan, HS; Musshoff, K; Smithers, DW; Tubiana, M (November 1971). "Report of the Committee on Hodgkin's Disease Staging Classification". Cancer Res. 31 (11): 1860–1. PMID 5121694.
  45. International Non-Hodgkin's Lymphoma Prognostic Factors Project (30 September 1993). "A Predictive Model for Aggressive Non-Hodgkin's Lymphoma". N Engl J Med. 329 (14): 987–994. doi:10.1056/NEJM199309303291402. PMID 8141877.
  46. Xia D, Morgan EA, Berger D, Pinkus GS, Ferry JA, Zukerberg LR (January 2019). "NK-Cell Enteropathy and Similar Indolent Lymphoproliferative Disorders: A Case Series With Literature Review". American Journal of Clinical Pathology. 151 (1): 75–85. doi:10.1093/ajcp/aqy108. PMID 30212873. S2CID 52272766.
  47. Sweetenham JW (November 2009). "Treatment of lymphoblastic lymphoma in adults". Oncology (Williston Park, N.Y.). 23 (12): 1015–20. PMID 20017283.
  48. Elphee EE (May 2008). "Understanding the concept of uncertainty in patients with indolent lymphoma". Oncol Nurs Forum. 35 (3): 449–54. doi:10.1188/08.ONF.449-454. PMID 18467294. S2CID 25207677.
  49. Ansell SM (2014). "Follicular lymphoma: Watch and wait is watch and worry". The Lancet Oncology. 15 (4): 368–9. doi:10.1016/S1470-2045(14)70066-X. PMID 24602759.
  50. Bernstein SH, Burack WR; Burack (2009). "The incidence, natural history, biology, and treatment of transformed lymphomas". Hematology Am Soc Hematol Educ Program. 2009: 532–41. doi:10.1182/asheducation-2009.1.532. PMID 20008238.
  51. Jenkins EC (Jan 1972). "Wire-loop application of liquid emulsion to slides for autoradiography in light microscopy". Stain Technology. 47 (1): 23–6. doi:10.3109/10520297209116530. PMID 4550425.
  52. Philip T, Guglielmi C, Hagenbeek A, Somers R, Van der Lelie H, Bron D, Sonneveld P, Gisselbrecht C, Cahn JY, Harousseau JL (Dec 7, 1995). "Autologous bone marrow transplantation as compared with salvage chemotherapy in relapses of chemotherapy-sensitive non-Hodgkin's lymphoma". The New England Journal of Medicine. 333 (23): 1540–5. doi:10.1056/nejm199512073332305. PMID 7477169.
  53. Martin NE, Ng AK; Ng (November 2009). "Good things come in small packages: low-dose radiation as palliation for indolent non-Hodgkin lymphomas". Leuk. Lymphoma. 50 (11): 1765–72. doi:10.3109/10428190903186510. PMID 19883306. S2CID 11004437.
  54. Kuruvilla J (2009). "Standard therapy of advanced Hodgkin lymphoma". Hematology Am Soc Hematol Educ Program. 2009: 497–506. doi:10.1182/asheducation-2009.1.497. PMID 20008235.
  55. Viviani S, Zinzani PL, Rambaldi A, Brusamolino E, Levis A, Bonfante V, Vitolo U, Pulsoni A, Liberati AM, Specchia G, Valagussa P, Rossi A, Zaja F, Pogliani EM, Pregno P, Gotti M, Gallamini A, Rota Scalabrini D, Bonadonna G, Gianni AM (2011). "ABVD versus BEACOPP for Hodgkin's lymphoma when high-dose salvage is planned". New England Journal of Medicine. 365 (3): 203–12. doi:10.1056/NEJMoa1100340. PMID 21774708. S2CID 10038896.
  56. Ferrell B, Connor SR, Cordes A, Dahlin CM, Fine PG, Hutton N, Leenay M, Lentz J, Person JL, Meier DE, Zuroski K (2007). "The national agenda for quality palliative care: the National Consensus Project and the National Quality Forum". J Pain Symptom Manage. 33 (6): 737–44. doi:10.1016/j.jpainsymman.2007.02.024. PMID 17531914. Archived from the original on 2023-04-13. Retrieved 2017-09-04.
  57. *The American Society of Clinical Oncology made this recommendation based on various cancers. See American Society of Clinical Oncology, "Five Things Physicians and Patients Should Question" (PDF), Choosing Wisely: an initiative of the ABIM Foundation, American Society of Clinical Oncology, archived from the original (PDF) on July 31, 2012, retrieved August 14, 2012
  58. 58.0 58.1 Higginson IJ, Evans CJ; Evans (2010). "What is the evidence that palliative care teams improve outcomes for cancer patients and their families?". Cancer J. 16 (5): 423–35. doi:10.1097/PPO.0b013e3181f684e5. PMID 20890138. S2CID 39881122. Archived from the original on 2021-08-28. Retrieved 2022-03-14.
  59. "Palliative Care: It's for Caregivers Too, Says Study". Archived from the original on 2014-06-01. Retrieved 2014-08-21.
  60. Heath JA, Clarke NE, Donath SM, McCarthy M, Anderson VA, Wolfe J (2010). "Symptoms and suffering at the end of life in children with cancer: an Australian perspective". Med J Aust. 192 (2): 71–5. doi:10.5694/j.1326-5377.2010.tb03420.x. PMID 20078405.
  61. Schmidt P, Otto M, Hechler T, Metzing S, Wolfe J, Zernikow B (2013). "Did increased availability of pediatric palliative care lead to improved palliative care outcomes in children with cancer?". J Palliat Med. 16 (9): 1034–9. doi:10.1089/jpm.2013.0014. PMID 23901834.
  62. Tang ST, Chang WC, Chen JS, Wang HM, Shen WC, Li CY, Liao YC (2013). "Course and predictors of depressive symptoms among family caregivers of terminally ill cancer patients until their death". Psychooncology. 22 (6): 1312–8. doi:10.1002/pon.3141. PMID 22836818. Archived from the original on 10 September 2017.
  63. Chung HM, Lyckholm LJ, Smith TJ (2009). "Palliative care in BMT". Bone Marrow Transplant. 43 (4): 265–73. doi:10.1038/bmt.2008.436. PMID 19151797. Archived from the original on 2021-08-28. Retrieved 2022-03-14.
  64. "Providing Palliative Care to Family Caregivers Throughout the Bone Marrow Transplantation Trajectory". Archived from the original on 2013-08-12. Retrieved 2014-08-21.
  65. "SEER Stat Fact Sheets: Lymphoma". Archived from the original on 2013-10-10.
  66. Horner MJ, Ries LG, Krapcho M, Neyman N. "SEER Cancer Statistics Review, 1975–2006". Surveillance Epidemiology and End Results (SEER). Bethesda, MD: National Cancer Institute. Archived from the original on 26 September 2009. Retrieved 3 November 2009. Table 1.4: Age-Adjusted SEER Incidence and U.S. Death Rates and 5-Year Relative Survival Rates By Primary Cancer Site, Sex and Time Period
  67. Tran H, Nourse J, Hall S, Green M, Griffiths L, Gandhi MK (Sep 2008). "Immunodeficiency-associated lymphomas". Blood Reviews. 22 (5): 261–281. doi:10.1016/j.blre.2008.03.009. PMID 18456377.
  68. Hellman, Samuel; Mauch, P.M. Ed. (1999). Hodgkin's Disease. Chapter 1: Lippincott Williams & Wilkins. p. 5. ISBN 0-7817-1502-4.{{cite book}}: CS1 maint: location (link)
  69. "-oma". Online Etymology Dictionary. Archived from the original on 2020-10-30.
  70. "Archived copy". Archived from the original on 2013-01-06. Retrieved 2012-10-30.{{cite web}}: CS1 maint: archived copy as title (link)
  71. "Understanding Clinical Trials for Blood Cancers" (PDF). The Leukemia & Lymphoma Society. Leukemia and Lymphoma Society. Archived from the original (PDF) on 5 January 2011. Retrieved 19 May 2010.

External links[edit | edit source]

Classification
External resources

Categories: [Lymphoma] [Anatomical pathology] [Hematology] [Pediatric cancers] [RTT]


Download as ZWI file | Last modified: 06/19/2024 09:59:26 | 37 views
☰ Source: https://mdwiki.org/wiki/Lymphoma | License: CC BY-SA 3.0

ZWI is not signed. [what is this?]