From Mdwiki | Head and neck cancer | |
|---|---|
![]() | |
| Extensive cancer of the tongue with surrounding lichen planus | |
| Specialty | Oncology, oral and maxillofacial surgery |
| Symptoms | Lump or sore that does not heal, sore throat that does not go away, trouble swallowing, change in the voice[1] |
| Risk factors | Alcohol, tobacco, betel quid, human papillomavirus, radiation exposure, certain workplace exposures, Epstein-Barr virus[1][2] |
| Diagnostic method | Tissue biopsy[1] |
| Prevention | Not using tobacco or alcohol[2] |
| Treatment | Surgery, radiation therapy, chemotherapy, targeted therapy[1] |
| Frequency | 5.5 million (affected during 2015)[3] |
| Deaths | 379,000 (2015)[4] |
Head and neck cancer is a group of cancers that starts in the mouth, nose, throat, larynx, sinuses, or salivary glands.[1] Symptoms for head and neck cancer may include a lump or sore that does not heal, a sore throat that does not go away, trouble swallowing, or a change in the voice.[1] There may also be unusual bleeding, facial swelling, or trouble breathing.[5]
About 75% of head and neck cancer is caused by the use of alcohol or tobacco, including smokeless tobacco.[5][2] Other risk factors include betel quid, certain types of human papillomavirus, radiation exposure, certain workplace exposures, and Epstein-Barr virus.[5] About 90% of head and neck cancers are squamous cell cancers.[6][2] The diagnosis is confirmed by tissue biopsy.[5] The degree of spread may be determined by medical imaging and blood tests.[5]
Not using tobacco or alcohol can reduce the risk for head and neck cancer.[2] While screening in the general population does not appear to be useful, screening high risk groups by examination of the throat might be useful.[2] Head and neck cancer often is curable if it is diagnosed early; however, outcomes are typically poor if it is diagnosed late.[2] Treatment may include a combination of surgery, radiation therapy, chemotherapy, and targeted therapy.[5] Following treatment of one head and neck cancer, people are at higher risk of having a second cancer.[5]
In 2015, head and neck cancers globally affected more than 5.5 million people (2.4 million mouth, 1.7 million throat, and 1.4 million larynx cancer),[3] and they caused over 379,000 deaths (146,000 mouth, 127,400 throat, 105,900 larynx cancer).[4] Together, they are the seventh most-frequent cancer and the ninth most-frequent cause of death from cancer.[2] In the United States, about 1% of people are affected at some point in their life, and males are affected twice as often as females.[5][7] The usual age at diagnosis is between 55 and 65 years old.[7] The average 5-year survival following diagnosis in the developed world is 42-64%.[7][8]
Head and neck cancer usually begins with symptoms that seem harmless enough, like an enlarged lymph node on the outside of the neck, neck pain, a sore throat, or a hoarse-sounding voice. However, in the case of head and neck cancer, these conditions may persist and become chronic. There may be a lump or a sore in the throat or neck that does not heal or go away. There may be difficult or painful swallowing. Speaking may become difficult. There may also be a persistent earache.[9]
Other symptoms can include: a lump in the lip, mouth or gums, ulcers or mouth sores that do not heal, bleeding from the mouth or numbness, bad breath, discolored patches that persist in the mouth, a sore tongue, and slurring of speech if the cancer is affecting the tongue. There may also be congested sinuses, weight loss, and some numbness or paralysis of facial muscles.
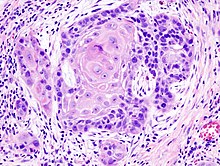
_squamous_cell_carcinoma_histopathology.jpg)
Squamous cell cancers are common in areas of the mouth, including the inner lip, tongue, floor of mouth, gums, and hard palate. Cancers of the mouth are strongly associated with tobacco use, especially use of chewing tobacco or dipping tobacco, as well as heavy alcohol use. Cancers of this region, particularly the tongue, are more frequently treated with surgery than are other head and neck cancers.
Surgeries for oral cancers include:
The defect is typically covered/improved by using another part of the body and/or skin grafts and/or wearing a prosthesis.
Paranasal sinus and nasal cavity cancer affects the nasal cavity and the paranasal sinuses. Most of these cancers are squamous cell carcinomas.[10]
Nasopharyngeal cancer arises in the nasopharynx, the region in which the nasal cavities and the Eustachian tubes connect with the upper part of the throat. While some nasopharyngeal cancers are biologically similar to the common head and neck squamous cell carcinomas (HNSCCs), "poorly differentiated" nasopharyngeal carcinoma is lymphoepithelioma, which is distinct in its epidemiology, biology, clinical behavior, and treatment, and is treated as a separate disease by many experts.
Most oropharyngeal cancers are squamous cell carcinomas that begin in the oropharynx (throat), the middle part of the throat that includes the soft palate, the base of the tongue, and the tonsils.[1] Squamous cell cancers of the tonsils are more strongly associated with human papillomavirus infection than are cancers of other regions of the head and neck. HPV-positive oropharyngeal cancer generally has a better outcomes than HPV-negative disease with a 54% better survival,[11] but this advantage for HPV associated cancer applies only to oropharyngeal cancers.[12]
People with oropharyngeal carcinomas are at high risk of developing second primary head and neck cancer.[13]
The hypopharynx includes the pyriform sinuses, the posterior pharyngeal wall, and the postcricoid area. Tumors of the hypopharynx frequently have an advanced stage at diagnosis, and have the most adverse prognoses of pharyngeal tumors. They tend to metastasize early due to the extensive lymphatic network around the larynx.
Laryngeal cancer begins in the larynx or "voice box." Cancer may occur on the vocal folds themselves ("glottic" cancer), or on tissues above and below the true cords ("supraglottic" and "subglottic" cancers respectively). Laryngeal cancer is strongly associated with tobacco smoking.
Surgery can include laser excision of small vocal cord lesions, partial laryngectomy (removal of part of the larynx) or total laryngectomy (removal of the whole larynx). If the whole larynx has been removed, the person is left with a permanent tracheostomy. Voice rehabilitation in such patients can be achieved through three important ways - esophageal speech, tracheoesophageal puncture, or electrolarynx. One would likely require the help of intensive teaching and speech therapy and/or an electronic device.
Cancer of the trachea is a rare cancer usually classed as a lung cancer.[14]
Most tumors of the salivary glands differ from the common squamous cell carcinomas of the head and neck in cause, histopathology, clinical presentation, and therapy. Other uncommon tumors arising in the head and neck include teratomas, adenocarcinomas, adenoid cystic carcinomas, and mucoepidermoid carcinomas.[15] Rarer still are melanomas and lymphomas of the upper aerodigestive tract.

Around 75% of cases are caused by alcohol and tobacco use.[1]
Tobacco smoking is one of the main risk factors for head and neck cancer. A major carcinogenic compound in tobacco smoke is acrylonitrile.[16] Acrylonitrile appears to indirectly cause DNA damage by increasing oxidative stress, leading to increased levels of 8-oxo-2'-deoxyguanosine (8-oxo-dG) and formamidopyrimidine in DNA.[17] (see image). Both 8-oxo-dG and formamidopyrimidine are mutagenic.[18][19] DNA glycosylase NEIL1 prevents mutagenesis by 8-oxo-dG[20] and removes formamidopyrimidines from DNA.[21]
However, cigarette smokers have a lifetime increased risk for head and neck cancers that is 5- to 25-fold increased over the general population.[22] The ex-smoker's risk for developing a head and neck cancer begins to approach the risk in the general population 15 years after smoking cessation.[23] The high prevalence of tobacco and alcohol use worldwide and the high association of these cancers with these substances makes them ideal targets for enhanced cancer prevention.
Smokeless tobacco is a cause of oral cancer and oropharyngeal cancer.[24] Cigar smoking is also an important risk factor for oral cancer.[25]
Other environmental carcinogens suspected of being potential causes of head and neck cancer include occupational exposures such as nickel ore refining, exposure to textile fibers, and woodworking. Use of marijuana, especially when younger, has been linked to an increase in squamous-cell carcinoma cases in at least one study,[26] while other studies suggest use is not shown to be associated with oral squamous cell carcinoma, or associated with decreased squamous cell carcinoma.[27][28]
Excessive consumption of eggs, processed meats, and red meat were associated with increased rates of cancer of the head and neck in one study, while consumption of raw and cooked vegetables seemed to be protective.[29]
Vitamin E was not found to prevent the development of leukoplakia, the white plaques that are the precursor for carcinomas of the mucosal surfaces, in adult smokers.[30] Another study examined a combination of Vitamin E and beta carotene in smokers with early-stage cancer of the oropharynx, and found a worse prognosis in the vitamin users.[31]
Betel nut chewing is associated with an increased risk of squamous cell cancer of the head and neck.[1][32]
Some head and neck cancers are caused by human papillomavirus (HPV).[1] In particular, HPV16 is a causal factor for some head and neck squamous-cell carcinomas (HNSCCs).[33][34] Approximately 15-25% of HNSCC contain genomic DNA from HPV,[35] and the association varies based on the site of the tumor,[36] especially HPV-positive oropharyngeal cancer, with highest distribution in the tonsils, where HPV DNA is found in (45 to 67%) of the cases,[37] less often in the hypopharynx (13%–25%), and least often in the oral cavity (12%–18%) and larynx (3%–7%).[38][39]
Some experts estimate that while up to 50% of cancers of the tonsil may be infected with HPV, only 50% of these are likely to be caused by HPV (as opposed to the usual tobacco and alcohol causes). The role of HPV in the remaining 25-30% is not yet clear.[40] Oral sex is not risk free and results in a significant proportion of HPV-related head and neck cancer.[41]
Positive HPV16 status is associated with improved prognosis over HPV-negative OSCC.[42]
HPV can induce tumor by several mechanisms:[43]
Induction of cancer can be associated for the expression of viral oncoproteins, the most important E6 and E7, or other mechanisms many of them run by the integration such as the generation of altered transcripts, disruption of tumor suppressors, high levels of DNA amplifications, interchromosomial rearrangements, or changes in DNA methylation patterns, the latter being able to find even when the virus is identified in episomes.[44][36] E6 sequesters p53 to promote p53 degradation while pRb inhibits E7. p53 prevents cell growth when DNA is damaged by activating apoptosis and p21, a kinase that blocks the formation of cyclin D / Cdk4 avoiding pRb phosphorylation and thereby prevents release of E2F is a transcription factor required for activation of genes involved in cell proliferation. pRb remains bound to E2F while this action phosphorylated preventing activation of proliferation. Therefore, E6 and E7 act synergistically in triggering cell cycle progression and therefore uncontrolled proliferation by inactivating the p53 and Rb tumor suppressors.[45]
Viral integration tends to occur in or near oncogenes or tumor suppressor genes and it is for this reason that the integration of the virus can greatly contribute to the development of tumor characteristics.[44]
Epstein–Barr virus (EBV) infection is associated with nasopharyngeal cancer. Nasopharyngeal cancer occurs endemically in some countries of the Mediterranean and Asia, where EBV antibody titers can be measured to screen high-risk populations. Nasopharyngeal cancer has also been associated with consumption of salted fish, which may contain high levels of nitrites.[46]
The presence of acid reflux disease (gastroesophageal reflux disease [GERD]) or larynx reflux disease can also be a major factor. Stomach acids that flow up through the esophagus can damage its lining and raise susceptibility to throat cancer.
Patients after hematopoietic stem cell transplantation (HSCT) are at a higher risk for oral squamous cell carcinoma. Post-HSCT oral cancer may have more aggressive behavior with poorer prognosis, when compared to oral cancer in non-HSCT patients.[47] This effect is supposed to be owing to the continuous lifelong immune suppression and chronic oral graft-versus-host disease.[47]
There are several risk factors for developing throat cancer. These include smoking or chewing tobacco or other things, such as gutkha, or paan, heavy alcohol consumption, poor diet resulting in vitamin deficiencies (worse if this is caused by heavy alcohol intake), weakened immune system, asbestos exposure, prolonged exposure to wood dust or paint fumes, exposure to petroleum industry chemicals, and being over the age of 55 years. Another risk factor includes the appearance of white patches or spots in the mouth, known as leukoplakia;[15] in about ⅓ of the cases this develops into cancer. Other heightened risks: breathing or inhaling silica from cutting concrete, stone or cinder-blocks, especially in enclosed areas such as a warehouse, garage or basement.
A person usually presents to the physician complaining of one or more of the above symptoms. The person will typically undergo a needle biopsy of this lesion, and a histopathologic information is available, a multidisciplinary discussion of the optimal treatment strategy will be undertaken between the radiation oncologist, surgical oncologist, and medical oncologist.[medical citation needed] Most ( 90%) cancers of the head and neck are squamous cell-derived termed as "head and neck squamous-cell carcinomas".[6]
Throat cancers are classified according to their histology or cell structure, and are commonly referred to by their location in the oral cavity and neck. This is because where the cancer appears in the throat affects the prognosis - some throat cancers are more aggressive than others depending upon their location. The stage at which the cancer is diagnosed is also a critical factor in the prognosis of throat cancer. Treatment guidelines recommend routine testing for the presence of HPV for all oropharyngeal squamous cell carcinoma tumours.[48]
Squamous-cell carcinoma is a cancer of the squamous cell – a kind of epithelial cell found in both the skin and mucous membranes. It accounts for over 90% of all head and neck cancers,[49] including more than 90% of throat cancer.[15] Squamous cell carcinoma is most likely to appear in males over 40 years of age with a history of heavy alcohol use coupled with smoking.
The tumor marker Cyfra 21-1 may be useful in diagnosing squamous cell carcinoma of the head/neck (SCCHN).[50]
Adenocarcinoma is a cancer of epithelial tissue that has glandular characteristics. Several head and neck cancers are adenocarcinomas (either of intestinal or non-intestinal cell-type).[49]
Avoidance of recognised risk factors (as described above) is the single most effective form of prevention. Regular dental examinations may identify pre-cancerous lesions in the oral cavity.[1]
When diagnosed early, oral, head and neck cancers can be treated more easily and the chances of survival increase tremendously.[1] As of 2017 it was not known if existing HPV vaccines can help prevent head and neck cancer.[1]
Improvements in diagnosis and local management, as well as targeted therapy, have led to improvements in quality of life and survival for people with head and neck cancer.[51]
After a histologic diagnosis has been established and tumor extent determined, the selection of appropriate treatment for a specific cancer depends on a complex array of variables, including tumor site, relative morbidity of various treatment options, concomitant health problems, social and logistic factors, previous primary tumors, and the person's preference. Treatment planning generally requires a multidisciplinary approach involving specialist surgeons and medical and radiation oncologists.[citation needed]
Surgical resection and radiation therapy are the mainstays of treatment for most head and neck cancers and remain the standard of care in most cases. For small primary cancers without regional metastases (stage I or II), wide surgical excision alone or curative radiation therapy alone is used. More extensive primary tumors, or those with regional metastases (stage III or IV), planned combinations of pre- or postoperative radiation and complete surgical excision are generally used. More recently, as historical survival and control rates are recognized as less than satisfactory, there has been an emphasis on the use of various induction or concomitant chemotherapy regimens.
Surgery as a treatment is frequently used in most types of head and neck cancer. Usually the goal is to remove the cancerous cells entirely. This can be particularly tricky if the cancer is near the larynx and can result in the person being unable to speak. Surgery is also commonly used to resect (remove) some or all of the cervical lymph nodes to prevent further spread of the disease.
CO2 laser surgery is also another form of treatment. Transoral laser microsurgery allows surgeons to remove tumors from the voice box with no external incisions. It also allows access to tumors that are not reachable with robotic surgery. During the surgery, surgeon and pathologist work together to assess the adequacy of excision (“margin status”), minimizing the amount of normal tissue removed or damaged.[52] This technique helps give the person as much speech and swallowing function as possible after surgery.[53]

Radiation therapy is the most common form of treatment. There are different forms of radiation therapy, including 3D conformal radiation therapy, intensity-modulated radiation therapy, particle beam therapy and brachytherapy, which are commonly used in the treatments of cancers of the head and neck. Most people with head and neck cancer who are treated in the United States and Europe are treated with intensity-modulated radiation therapy using high energy photons. At higher doses, head and neck radiation is associated with thyroid dysfunction and pituitary axis dysfunction.[54]
Chemotherapy in throat cancer is not generally used to cure the cancer as such. Instead, it is used to provide an inhospitable environment for metastases so that they will not establish in other parts of the body. Typical chemotherapy agents are a combination of paclitaxel and carboplatin. Cetuximab is also used in the treatment of throat cancer.
Docetaxel-based chemotherapy has shown a very good response in locally advanced head and neck cancer. Docetaxel is the only taxane approved by US FDA for head and neck cancer, in combination with cisplatin and fluorouracil for the induction treatment of inoperable, locally advanced squamous cell carcinoma of the head and neck.[55]
While not specifically a chemotherapy, amifostine is often administered intravenously by a chemotherapy clinic prior to IMRT radiotherapy sessions. Amifostine protects the gums and salivary glands from the effects of radiation.[citation needed]
There is no evidence that erythropoietin should be routinely given with radiotherapy.[56]
Photodynamic therapy may have promise in treating mucosal dysplasia and small head and neck tumors.[15] Amphinex is giving good results in early clinical trials for treatment of advanced head and neck cancer.[57]
Targeted therapy, according to the National Cancer Institute, is "a type of treatment that uses drugs or other substances, such as monoclonal antibodies, to identify and attack specific cancer cells without harming normal cells." Some targeted therapy used in squamous cell cancers of the head and neck include cetuximab, bevacizumab and erlotinib.
The best quality data are available for cetuximab since the 2006 publication of a randomized clinical trial comparing radiation treatment plus cetuximab versus radiation treatment alone.[58] This study found that concurrent cetuximab and radiotherapy improves survival and locoregional disease control compared to radiotherapy alone, without a substantial increase in side effects, as would be expected with the concurrent chemoradiotherapy, which is the current gold standard treatment for advanced head and neck cancer. Whilst this study is of pivotal significance, interpretation is difficult since cetuximab-radiotherapy was not directly compared to chemoradiotherapy. The results of ongoing studies to clarify the role of cetuximab in this disease are awaited with interest.
Another study evaluated the impact of adding cetuximab to conventional chemotherapy (cisplatin) versus cisplatin alone. This study found no improvement in survival or disease-free survival with the addition of cetuximab to the conventional chemotherapy.[59]
However, another study which completed in March 2007 found that there was an improvement in survival.[citation needed]
A 2010 review concluded that the combination of cetuximab and platin/5-fluorouracil should be considered the current standard first-line regimen.[60]
Gendicine is a gene therapy that employs an adenovirus to deliver the tumor suppressor gene p53 to cells. It was approved in China in 2003 for the treatment of head and neck squamous cell carcinoma.[61]
The mutational profile of HPV+ and HPV- head and neck cancer has been reported, further demonstrating that they are fundamentally distinct diseases. [62][non-primary source needed]
Immunotherapy is a type of treatment that activates the immune system to fight cancer. One type of immunotherapy, immune checkpoint blockade, binds to and blocks inhibitory signals on immune cells to release their anti-cancer activities.
In 2016, the FDA granted accelerated approval to pembrolizumab for the treatment of people with recurrent or metastatic HNSCC with disease progression on or after platinum-containing chemotherapy.[63] Later that year, the FDA approved nivolumab for the treatment of recurrent or metastatic HNSCC with disease progression on or after platinum-based chemotherapy.[64] In 2019, the FDA approved pembrolizumab for the first-line treatment of metastatic or unresectable recurrent HNSCC.[65]
Depending on the treatment used, people with head and neck cancer may experience the following symptoms and treatment side effects:[15][66]
Programs to support the emotional and social well-being of people who have been diagnosed with head and neck cancer may be offered.[67] There is no clear evidence on the effectiveness of these interventions or any particular type of psychosocial program or length of time that is the most helpful for those with head and neck cancer.[67]
Although early-stage head and neck cancers (especially laryngeal and oral cavity) have high cure rates, up to 50% of people with head and neck cancer present with advanced disease.[68] Cure rates decrease in locally advanced cases, whose probability of cure is inversely related to tumor size and even more so to the extent of regional node involvement.
Consensus panels in America (AJCC) and Europe (UICC) have established staging systems for head and neck squamous-cell cancers. These staging systems attempt to standardize clinical trial criteria for research studies, and attempt to define prognostic categories of disease. Squamous cell cancers of the head and neck are staged according to the TNM classification system, where T is the size and configuration of the tumor, N is the presence or absence of lymph node metastases, and M is the presence or absence of distant metastases. The T, N, and M characteristics are combined to produce a “stage” of the cancer, from I to IVB.[69]
Survival advantages provided by new treatment modalities have been undermined by the significant percentage of people cured of head and neck squamous cell carcinoma (HNSCC) who subsequently develop second primary tumors. The incidence of second primary tumors ranges in studies from 9%[70] to 23%[71] at 20 years. Second primary tumors are the major threat to long-term survival after successful therapy of early-stage HNSCC.[72] Their high incidence results from the same carcinogenic exposure responsible for the initial primary process, called field cancerization.
Many people with head and neck cancer are also not able to eat sufficiently. A tumor may impair a person's ability to swallow and eat, and throat cancer may affect the digestive system. The difficulty in swallowing can lead to a person to choke on their food in the early stages of digestion and interfere with the food's smooth travels down into the esophagus and beyond.
The treatments for throat cancer can also be harmful to the digestive system as well as other body systems. Radiation therapy can lead to nausea and vomiting, which can deprive a body of vital fluids (although these may be obtained through intravenous fluids if necessary). Frequent vomiting can lead to an electrolyte imbalance which has serious consequences for the proper functioning of the heart. Frequent vomiting can also upset the balance of stomach acids which has a negative impact on the digestive system, especially the lining of the stomach and esophagus.
Enteral feeding, a method that adds nutrients directly into a person's stomach using a nasogastric feeding tube or a gastrostomy tube, may be necessary for some people.[73] Further research is required to determine the most effective method of enteral feeding to ensure that people undergoing radiotherapy or chemoradiation treatment are able to stay nourished during their treatment.[73]
In the cases of some throat cancers, the air passages in the mouth and behind the nose may become blocked from lumps or the swelling from the open sores. If the throat cancer is near the bottom of the throat, it has a high likelihood of spreading to the lungs and interfering with the person's ability to breathe; this is even more likely if the person is a smoker, because they are highly susceptible to lung cancer.
Cancer in the head or neck may impact a person's mental well being and can sometimes lead to social isolation.[67] Psychological distress may occur and feelings such as uncertainty and fear may arise.[67] Some people may also have a changed physical appearance, differences in swallowing or breathing, and residual pain to manage.[67]
Like any cancer, metastasization affects many areas of the body, as the cancer spreads from cell to cell and organ to organ. For example, if it spreads to the bone marrow, it will prevent the body from producing enough red blood cells and affects the proper functioning of the white blood cells and the body's immune system; spreading to the circulatory system will prevent oxygen from being transported to all the cells of the body; and throat cancer can throw the nervous system into chaos, making it unable to properly regulate and control the body.

The number of new cases of head and neck cancers in the United States was 40,490 in 2006, accounting for about 3% of adult malignancies. A total of 11,170 people died of their disease in 2006.[75] The worldwide incidence exceeds half a million cases annually. In North America and Europe, the tumors usually arise from the oral cavity, oropharynx, or larynx, whereas nasopharyngeal cancer is more common in the Mediterranean countries and in the Far East. In Southeast China and Taiwan, head and neck cancer, specifically nasopharyngeal cancer, is the most-common cause of death in young men.[76]
Immunotherapy with immune checkpoint inhibitors is being investigated in head and neck cancers.[80]
{{cite journal}}: CS1 maint: uses authors parameter (link)
{{cite book}}: CS1 maint: others (link)
{{cite web}}: CS1 maint: multiple names: authors list (link)
<ref> tag; no text was provided for refs named :2{{cite web}}: CS1 maint: archived copy as title (link), NCH Healthcare Systems, 1999
| Classification |
|---|
Categories: [Head and neck cancer] [Otorhinolaryngology] [Health effects of tobacco] [RTT]