Eosinophilic Vasculitis

From Mdwiki

Eosinophilic vasculitis
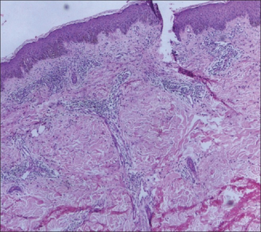
(Recurrent Cutaneous) Eosinophilic Vasculitis-perivascular inflammatory infiltrate in recurrent cutaneous eosinophilic vasculitis
SpecialtyDermatology

Eosinophilic vasculitis is a cutaneous condition characterized by an inflammation of blood vessels and the presence of eosinophils.[1]

See also[edit | edit source]

References[edit | edit source]

  1. Rapini, Ronald P.; Bolognia, Jean L.; Jorizzo, Joseph L. (2007). Dermatology: 2-Volume Set. St. Louis: Mosby. ISBN 1-4160-2999-0.



Categories: [Eosinophilic cutaneous conditions]


Download as ZWI file | Last modified: 05/31/2024 14:48:11 | 1 views
☰ Source: https://mdwiki.org/wiki/Eosinophilic_vasculitis | License: CC BY-SA 3.0

ZWI is not signed. [what is this?]