Endometrioid Carcinoma

From Mdwiki

Endometrioid carcinoma
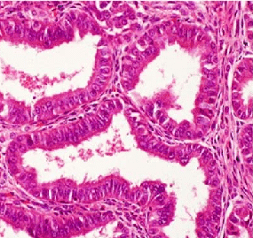
Histopathology of well-differentiated endometrioid adenocarcinoma.png
Histopathology of a well-differentiated endometrioid adenocarcinoma in the ovary
SpecialtyOncology, gynecology
SymptomsAbnormal vaginal bleeding after menopause, pelvic pain, distended abdomen[1]
TypesMesonephric adenocarcinoma, mesonephric-like adenocarcinoma, squamous cell carcinoma, mucinous carcinoma, intestinal type[2]
Frequency382,000 worldwide (2018)[1]

Endometrioid carcinoma is a type of endometrial cancer.[1] It typically presents with abnormal vaginal bleeding after menopause, pelvic pain and a distended abdomen, similar to ovarian cancer symptoms.[1]

Four molecular subtypes exist; mesonephric adenocarcinoma, mesonephric-like adenocarcinoma, squamous cell carcinoma and mucinous carcinoma, intestinal type.[2]

Endometrioid carcinoma accounts for around 80% of all uterine cancers in Europe and 90% in the United States.[1] In 2018, 382,000 women worldwide were diagnosed with the condition, making it the sixth most commonly diagnosed cancer in females.[1]

See also[edit | edit source]

References[edit | edit source]

  1. 1.0 1.1 1.2 1.3 1.4 1.5 WHO Classification of Tumours Editorial Board, ed. (2020). "6. Tumours of the uterine corpus: Endometrioid carcinoma". Female genital tumours: WHO Classification of Tumours. Vol. 4 (5th ed.). Lyon (France): International Agency for Research on Cancer. pp. 252–255. ISBN 978-92-832-4504-9. Archived from the original on 2022-06-17. Retrieved 2022-07-31.
  2. 2.0 2.1 Masood, Mariam; Singh, Naveena (1 December 2021). "Endometrial carcinoma: changes to classification (WHO 2020)". Diagnostic Histopathology. 27 (12): 493–499. doi:10.1016/j.mpdhp.2021.09.003. ISSN 1756-2317. Archived from the original on 21 February 2024. Retrieved 19 March 2024.

External links[edit | edit source]

Classification

Categories: [Gynaecological cancer]


Download as ZWI file | Last modified: 03/26/2024 17:35:56 | 3 views
☰ Source: https://mdwiki.org/wiki/Endometrioid_carcinoma | License: CC BY-SA 3.0

ZWI is not signed. [what is this?]