Human Pathogen

From Mdwiki

Human pathogenic fungi are soil-dwelling microbes that have no obvious need for animal hosts. So why do some of these organisms cause disease in mammals(humans), in this video we will dissect the biology of human pathogenic fungus Cryptococcus neoformans in an effort to glean an explanation for the origin of virulence[1][2].

A human pathogen is a pathogen (microbe or microorganism such as a virus, bacterium, prion, or fungus) that causes disease in humans.[3][4]

The human physiological defense against common pathogens (such as Pneumocystis) is mainly the responsibility of the immune system with help by some of the body's normal flora and fauna. However, if the immune system or "good" microbiota are damaged in any way such as by chemotherapy, or human immunodeficiency virus (HIV), pathogenic bacteria that were being held at bay can proliferate and cause harm to the host. Such cases are called opportunistic infections.[3][4][5][6]

Some pathogens have been responsible for massive numbers of casualties and have had numerous effects on affected groups. Of particular note in modern times is HIV, which is known to have infected several million humans globally, along with the influenza virus. Today, while many medical advances have been made to safeguard against infection by pathogens, through the use of vaccination, antibiotics, and fungicide, pathogens continue to threaten human life. Social advances such as food safety, hygiene, and water treatment have reduced the threat from some pathogens.[7][4][8]

Types[edit | edit source]

Viral[edit | edit source]

One year old child with smallpox

Pathogenic viruses are mainly those of the families of: Adenoviridae, Picornaviridae, Herpesviridae, Hepadnaviridae, Coronaviridae, Flaviviridae, Retroviridae, Orthomyxoviridae, Paramyxoviridae, Papovaviridae, Polyomavirus, Poxviridae, Rhabdoviridae, and Togaviridae. Some notable pathogenic viruses cause smallpox, influenza, mumps, measles, chickenpox, ebola, and rubella.[9][10][11][12]

This type of pathogen is not cellular, and is instead composed of either RNA or DNA within a protein shell - the capsid. Pathogenic viruses infiltrate host cells and manipulate the organelles within the cell such as the ribosomes, golgi Apparatus, and endoplasmic Reticulum in order to multiply which commonly results in the death of the host cell via cellular decay. All the viruses that were contained within the lipid bilayer of the cell membrane are then released into the intercellular matrix to infect neighboring cells to continue the viral life cycle.[13][14][15]

The white blood cells are responsible for swallowing up the virus using a mechanism known as endocytosis within the extracellular matrix to reduce and fight the infection. The components within the white blood cell are responsible for destroying the virus and recycling it's components for the body to use.[16]

Bacterial[edit | edit source]

A photomicrograph of a stool that has shigella dysentery. This bacteria typically causes foodborne illness.

Although the vast majority of bacteria are harmless or beneficial to one's body, a few pathogenic bacteria can cause infectious diseases. The most common bacterial disease is tuberculosis, caused by the bacterium Mycobacterium tuberculosis, which affects millions of people mostly in sub-Saharan Africa. Pathogenic bacteria contribute to other globally important diseases, such as pneumonia, which can be caused by bacteria such as Streptococcus and Pseudomonas, and foodborne illnesses, which can be caused by bacteria such as Shigella, Campylobacter, and Salmonella. Pathogenic bacteria also cause infections such as tetanus, typhoid fever, diphtheria, syphilis.[17][18][19][20]

Fungal[edit | edit source]

Fungi are a eukaryotic kingdom of microbes that are usually saprophytes, but can cause diseases in humans. Life-threatening fungal infections in humans most often occur in immunocompromised patients or vulnerable people with a weakened immune system, although fungi are common problems in the immunocompetent population as the causative agents of skin, nail, or yeast infections. Most antibiotics that function on bacterial pathogens cannot be used to treat fungal infections because fungi and their hosts both have eukaryotic cells. Most clinical fungicides belong to the azole group. The typical fungal spore size is 1-40 micrometers in length.[21]

Other parasites[edit | edit source]

Two pinworms next to a ruler, measuring in 6 millimeters in length

Protozoans are single-celled eukaryotes that feed on microorganisms and organic tissues. Considered as "one-celled animal" as they have animal like behaviors such as motility, predation, and a lack of a cell wall. Many protozoan pathogens are considered human parasites as they cause a variety of diseases such as: malaria, amoebiasis, babesiosis, giardiasis, toxoplasmosis, cryptosporidiosis, trichomoniasis, Chagas disease, leishmaniasis, African trypanosomiasis , Acanthamoeba keratitis, and primary amoebic meningoencephalitis .[22][23][24][25]

Parasitic worms (Helminths) are macroparasites that can be seen by the naked eye. Worms live and feed in their living host, receiving nourishment and shelter while affecting the host's way of digesting nutrients. They also manipulate the host's immune system by secreting immunomodulatory products[26] which allows them to live in their host for years. Many parasitic worms are more commonly intestinal that are soil-transmitted and infect the digestive tract; other parasitic worms are found in the host's blood vessels. Parasitic worms living in the host can cause weakness and even lead to many diseases. Parasitic worms can cause many diseases to both humans and animals.[27][28]

Prionic[edit | edit source]

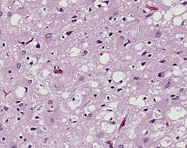
Magnified 100X and stained. This photomicrograph of the brain tissue shows the presence of the prominent spongiotic changes in the cortex, with the loss of neurons in a case of a variant of Creutzfeldt-Jakob disease (vCJD)

Prions are misfolded proteins that are transmissible and can influence abnormal folding of normal proteins in the brain. They do not contain any DNA or RNA and cannot replicate other than to convert already existing normal proteins to the misfolded state. These abnormally folded proteins are found characteristically in many neurodegenerative diseases as they aggregate the central nervous system and create plaques that damages the tissue structure. This essentially creates "holes" in the tissue. It has been found that prions transmit three ways: obtained, familial, and sporadic. It has also been found that plants play the role of vector for prions. There are eight different diseases that affect mammals that are caused by prions such as scrapie, bovine spongiform encephalopathy (mad cow disease) and Feline spongiform encephalopathy (FSE). There are also ten diseases that affect humans such as, Creutzfeldt–Jakob disease (CJD).[29] and Fatal familial insomnia (FFI).

Animal pathogens[edit | edit source]

Animal pathogens are disease-causing agents of wild and domestic animal species, at times including humans.[30]

Virulence[edit | edit source]

Virulence ,the tendency of a pathogen to cause damage to a host's fitness, evolves when that pathogen can spread from a diseased host, despite that host being very debilitated. An example is the malaria parasite, which can spread from a person near death, by hitching a ride to a healthy person on a mosquito that has bitten the diseased person. This is called horizontal transmission in contrast to vertical transmission, which tends to evolve symbiosis by linking the pathogen's evolutionary success to the evolutionary success of the host organism.[31][32][33]

Evolutionary medicine has found that under horizontal transmission, the host population might never develop tolerance to the pathogen.[34]

Transmission[edit | edit source]

Transmission of pathogens occurs through many different routes, including airborne, direct or indirect contact, sexual contact, through blood, breast milk, or other body fluids, and through the fecal-oral route. One of the primary pathways by which food or water become contaminated is from the release of untreated sewage into a drinking water supply or onto cropland, with the result that people who eat or drink contaminated sources become infected. In developing countries, most sewage is discharged into the environment or on cropland; even in developed countries, some locations have periodic system failures that result in sanitary sewer overflows.[35]

Examples of human pathogens[edit | edit source]

Morphology of non-purified spores of Clostridium botulinum CB11/1-1

The following are examples of some human pathogens:

See also[edit | edit source]

References[edit | edit source]

  1. Zhao, Youbao; Ye, Leixin; Zhao, Fujie; Zhang, Lanyue; Lu, Zhenguo; Chu, Tianxin; Wang, Siyu; Liu, Zhanxiang; Sun, Yukai; Chen, Min; Liao, Guojian; Ding, Chen; Xu, Yingchun; Liao, Wanqing; Wang, Linqi (17 March 2023). "Cryptococcus neoformans, a global threat to human health". Infectious Diseases of Poverty. 12 (1): 20. doi:10.1186/s40249-023-01073-4. ISSN 2049-9957.
  2. "Insights into Microbial Pathogenesis and Immunology from Cryptococcus Neoformans". NIH. 28 January 2015. Retrieved 21 March 2024.
  3. 3.0 3.1 Alberts, Bruce; Johnson, Alexander; Lewis, Julian; Raff, Martin; Roberts, Keith; Walter, Peter (2002). "Introduction to Pathogens". Molecular Biology of the Cell. 4th edition. Garland Science. Archived from the original on 2020-01-09. Retrieved 2024-03-23.
  4. 4.0 4.1 4.2 Janik, Edyta; Ceremuga, Michal; Niemcewicz, Marcin; Bijak, Michal (6 November 2020). "Dangerous Pathogens as a Potential Problem for Public Health". Medicina. 56 (11): 591. doi:10.3390/medicina56110591. Archived from the original on 20 January 2024. Retrieved 24 March 2024.
  5. "Defenses Against Infection - Infections". Merck Manuals Consumer Version. Archived from the original on 8 June 2023. Retrieved 31 March 2024.
  6. Hong, Bo-Young; Sobue, Takanori; Choquette, Linda; Dupuy, Amanda K.; Thompson, Angela; Burleson, Joseph A.; Salner, Andrew L.; Schauer, Peter K.; Joshi, Pujan; Fox, Evan; Shin, Dong-Guk; Weinstock, George M.; Strausbaugh, Linda D.; Dongari-Bagtzoglou, Anna; Peterson, Douglas E.; Diaz, Patricia I. (25 April 2019). "Chemotherapy-induced oral mucositis is associated with detrimental bacterial dysbiosis". Microbiome. 7 (1): 66. doi:10.1186/s40168-019-0679-5. ISSN 2049-2618. Archived from the original on 15 February 2024. Retrieved 3 April 2024.
  7. Wolfe, Nathan D.; Dunavan, Claire Panosian; Diamond, Jared (May 2007). "Origins of major human infectious diseases". Nature. 447 (7142): 279–283. doi:10.1038/nature05775. ISSN 1476-4687. Archived from the original on 2024-01-22. Retrieved 2024-03-23.
  8. Nicolle, L (13 March 2007). "Hygiene: what and why?". Canadian Medical Association journal. 176 (6): 767–8. doi:10.1503/cmaj.061741. PMID 17353528. Archived from the original on 4 December 2022. Retrieved 2 April 2024.
  9. "Questions and Answers about Ebola Hemorrhagic Fever". U.S. Centers for Disease Control and Prevention. Archived from the original on 2009-05-06. Retrieved 2017-09-09.
  10. Berman, Jules J. (2019). "Viruses". Taxonomic Guide to Infectious Diseases: 263–319. doi:10.1016/B978-0-12-817576-7.00007-9. Archived from the original on 2022-05-23. Retrieved 2024-04-07.
  11. Siegel, Robert David (2018). "Classification of Human Viruses". Principles and Practice of Pediatric Infectious Diseases: 1044–1048.e1. doi:10.1016/B978-0-323-40181-4.00201-2. Archived from the original on 2024-04-07. Retrieved 2024-04-07.
  12. Tang, Yi-Wei; Hindiyeh, Musa; Liu, Dongyou; Sails, Andrew; Spearman, Paul; Zhang, Jing-Ren (2021-09-15). Molecular Medical Microbiology. Academic Press. ISBN 978-0-12-818619-0.
  13. Baron, Samuel; Fons, Michael; Albrecht, Thomas (1996). "Viral Pathogenesis". Medical Microbiology. University of Texas Medical Branch at Galveston. Archived from the original on 2023-03-27. Retrieved 2024-03-24.
  14. Heise, M.T. (2014). "Viral Pathogenesis". Reference Module in Biomedical Sciences. doi:10.1016/B978-0-12-801238-3.00079-9. Archived from the original on 9 September 2022. Retrieved 25 March 2024.
  15. Taylor, Milton W. (2014). "What Is a Virus?". Viruses and Man: A History of Interactions: 23–40. doi:10.1007/978-3-319-07758-1_2. Archived from the original on 11 March 2023. Retrieved 8 April 2024.
  16. Pathak, Chandramani; Vaidya, Foram U.; Waghela, Bhargav N.; Jaiswara, Pradip Kumar; Gupta, Vishal Kumar; Kumar, Ajay; Rajendran, Barani Kumar; Ranjan, Kishu (3 February 2023). "Insights of Endocytosis Signaling in Health and Disease". International Journal of Molecular Sciences. 24 (3): 2971. doi:10.3390/ijms24032971. Archived from the original on 27 March 2024. Retrieved 26 March 2024.
  17. Peterson, Johnny W. (1996). "Bacterial Pathogenesis". Medical Microbiology (4th ed.). University of Texas Medical Branch at Galveston. ISBN 978-0-9631172-1-2. Archived from the original on 2016-04-25. Retrieved 2024-03-24.
  18. Ryan, Kenneth J.; Ray, C. George; Ahmad, Nafees; Drew, W. Lawrence; Lagunoff, Michael; Pottinger, Paul; Reller, L. Barth; Sterling, Charles R. (2014). "Pathogenesis of Bacterial Infections". Sherris Medical Microbiology (6th ed.). New York: McGraw Hill Education. pp. 391–406. ISBN 978-0-07-181826-1.
  19. Doron, S.; Gorbach, S.L. (2008). "Bacterial Infections: Overview". International Encyclopedia of Public Health: 273–282. doi:10.1016/B978-012373960-5.00596-7.
  20. Biondo, C (26 December 2022). "New Insights into Bacterial Pathogenesis". Pathogens (Basel, Switzerland). 12 (1). doi:10.3390/pathogens12010038. PMID 36678386. Archived from the original on 9 April 2024. Retrieved 6 April 2024.
  21. Köhler JR, Casadevall A, Perfect J (November 2014). "The spectrum of fungi that infects humans". Cold Spring Harbor Perspectives in Medicine. 5 (1): a019273. doi:10.1101/cshperspect.a019273. PMC 4292074. PMID 25367975.
  22. Seed, John Richard (1996). "Protozoa: Pathogenesis and Defenses". Medical Microbiology (4th ed.). University of Texas Medical Branch at Galveston. ISBN 978-0-9631172-1-2. Archived from the original on 2021-03-09. Retrieved 2024-03-24.
  23. "CDC - Parasites - About Parasites". www.cdc.gov. 26 September 2023. Archived from the original on 25 December 2019. Retrieved 29 March 2024.
  24. Wiser, Mark F. (2021). "NutritionNutrition and Protozoan PathogensPathogens of Humans: A Primer". Nutrition and Infectious Diseases : Shifting the Clinical Paradigm. Springer International Publishing. pp. 165–187. ISBN 978-3-030-56913-6. Archived from the original on 2024-03-30. Retrieved 2024-03-29.
  25. Anderson, Rodney P.; Young, Linda (14 August 2017). Visualizing Microbiology. John Wiley & Sons. p. 128. ISBN 978-1-119-44312-4. Archived from the original on 9 April 2024. Retrieved 5 April 2024.
  26. Jirillo E, Magrone T, Miragliotta G, eds. (2014). Immune Response to Parasitic Infections. Immune Response to Parasitic Infections. Vol. 2. Bentham Science Publishers. doi:10.2174/97816080598501140201. ISBN 978-1-60805-989-8. S2CID 78737083.
  27. Zaccone, P.; Fehervari, Z.; Phillips, J. M.; Dunne, D. W.; Cooke, A. (October 2006). "Parasitic worms and inflammatory diseases". Parasite Immunology. 28 (10): 515–523. doi:10.1111/j.1365-3024.2006.00879.x. Archived from the original on 2024-01-17. Retrieved 2024-03-27.
  28. Cummings, Richard D.; Hokke, Cornelis H.; Haslam, Stuart M. (2022). "Parasitic Infections". Essentials of Glycobiology (4th ed.). Cold Spring Harbor Laboratory Press. ISBN 978-1-62182-421-3. Archived from the original on 2022-11-20. Retrieved 2024-04-02.
  29. Prusiner SB (January 1995). "The prion diseases". Scientific American. 272 (1): 48–51, 54–7. Bibcode:1995SciAm.272a..48P. doi:10.1038/scientificamerican0195-48. PMID 7824915. Archived from the original on 25 January 2012.
  30. Hickling GJ (2011). "Pathogens, animal". In Simberloff D, Rejmánek M (eds.). Encyclopedia of biological invasions. Berkeley: University of California Press. ISBN 978-0-520-26421-2. Animal pathogens are disease-causing agents of wild and domestic animal species, at times including humans. In the context of invasion biology, the term usually ..
  31. Sharma, Aditya Kumar; Dhasmana, Neha; Dubey, Neha; Kumar, Nishant; Gangwal, Aakriti; Gupta, Meetu; Singh, Yogendra (March 2017). "Bacterial Virulence Factors: Secreted for Survival". Indian Journal of Microbiology. 57 (1): 1–10. doi:10.1007/s12088-016-0625-1. Archived from the original on 2022-11-30. Retrieved 2024-03-26.
  32. Leitão, JH (27 July 2020). "Microbial Virulence Factors". International journal of molecular sciences. 21 (15). doi:10.3390/ijms21155320. PMID 32727013. Archived from the original on 10 November 2023. Retrieved 31 March 2024.
  33. Casadevall, Arturo; Pirofski, Liise‐anne (August 2001). "Host‐Pathogen Interactions: The Attributes of Virulence". The Journal of Infectious Diseases. 184 (3): 337–344. doi:10.1086/322044. Archived from the original on 2024-01-18. Retrieved 2024-04-05.
  34. Dutra, Daniela de Angeli; Poulin, Robert; Ferreira, Francisco C. (November 2022). "Evolutionary consequences of vector-borne transmission: how using vectors shapes host, vector and pathogen evolution". Parasitology. 149 (13): 1667–1678. doi:10.1017/S0031182022001378. ISSN 0031-1820. Archived from the original on 2023-12-12. Retrieved 2024-03-30.
  35. Hrudey, Steve E.; Hrudey, Elizabeth J.; Pollard, Simon J. T. (2006-12-01). "Risk management for assuring safe drinking water". Environment International. Environmental Risk Management - the State of the Art. 32 (8): 948–957. doi:10.1016/j.envint.2006.06.004. hdl:1826/1519. ISSN 0160-4120. PMID 16839605. Archived from the original on 2022-08-08. Retrieved 2023-01-03.
  36. Spencer, R. C. (1 March 2003). "Bacillus anthracis". Journal of Clinical Pathology. 56 (3): 182–187. doi:10.1136/jcp.56.3.182. ISSN 0021-9746. Archived from the original on 28 January 2024. Retrieved 25 March 2024.
  37. Tiwari, Aman; Nagalli, Shivaraj (2024). "Clostridium botulinum Infection". StatPearls. StatPearls Publishing. Archived from the original on 19 October 2023. Retrieved 26 March 2024.
  38. Delogu, Giovanni; Sali, Michela; Fadda, Giovanni (15 November 2013). "THE BIOLOGY OF MYCOBACTERIUM TUBERCULOSIS INFECTION". Mediterranean Journal of Hematology and Infectious Diseases. 5 (1): e2013070. doi:10.4084/MJHID.2013.070. Archived from the original on 13 April 2023. Retrieved 28 March 2024.
  39. Sugawara-Mikami, Mariko; Tanigawa, Kazunari; Kawashima, Akira; Kiriya, Mitsuo; Nakamura, Yasuhiro; Fujiwara, Yoko; Suzuki, Koichi (31 December 2022). "Pathogenicity and virulence of Mycobacterium leprae". Virulence. 13 (1): 1985–2011. doi:10.1080/21505594.2022.2141987. Archived from the original on 29 April 2023. Retrieved 28 March 2024.
  40. Barbieri, R.; Signoli, M.; Chevé, D.; Costedoat, C.; Tzortzis, S.; Aboudharam, G.; Raoult, D.; Drancourt, M. (16 December 2020). "Yersinia pestis: the Natural History of Plague". Clinical Microbiology Reviews. 34 (1). doi:10.1128/CMR.00044-19. Archived from the original on 9 September 2022. Retrieved 28 March 2024.
  41. Akram, Sami M.; Ladd, Megan; King, Kevin C. (2024). "Rickettsia Prowazekii". StatPearls. StatPearls Publishing. Archived from the original on 4 November 2022. Retrieved 28 March 2024.
  42. Martini, Mariano; Gazzaniga, Valentina; Bragazzi, Nicola Luigi; Barberis, Ilaria (2 April 2019). "The Spanish Influenza Pandemic: a lesson from the history 100 years after 1918". Journal of Preventive Medicine and Hygiene. Vol 60: E64 Pages. doi:10.15167/2421-4248/jpmh2019.60.1.1205. Archived from the original on 8 January 2024. Retrieved 28 March 2024. {{cite journal}}: |volume= has extra text (help)

External links[edit | edit source]


Categories: [Microbiology]


Download as ZWI file | Last modified: 06/24/2024 20:30:45 | 9 views
☰ Source: https://mdwiki.org/wiki/Human_pathogen | License: CC BY-SA 3.0

ZWI is not signed. [what is this?]