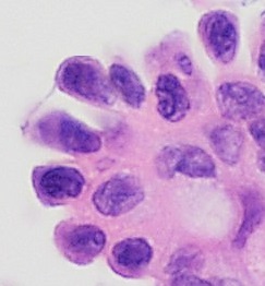
Histopathology of ovarian serous borderline tumor with hobnailing
In histopathology, hobnailing is the presence of smooth projections from an epithelial surface, which generally contain nuclei. Hobnailing is seen in clear cell ovarian adenocarcinoma, collecting duct carcinoma, and in end-stage cirrhosis.[1][2]
References
- ↑ Kumar, Vinay; Abbas, Abul K.; Aster, Jon C. (2014-06-25) (in en). Robbins and Cotran Pathologic Basis of Disease. Elsevier - Health Sciences Division. ISBN 9780323266161. https://books.google.com/books?id=zJvlngEACAAJ&q=editions:j4vYf67s5IQC.
- ↑ Hoffman, Barbara; Schorge, John; Schaffer, Joseph; Halvorson, Lisa; Bradshaw, Karen; Cunningham, F. (2012-04-12) (in en). Williams Gynecology, Second Edition. McGraw Hill Professional. ISBN 9780071716727. https://books.google.com/books?id=QFTeEWbqTbgC&q=williams+gynecology.
 | Original source: https://en.wikipedia.org/wiki/Hobnailing (histology). Read more |