From Handwiki | Transplant glomerulopathy | |
|---|---|
![]() | |
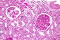
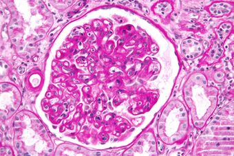
| Micrograph showing a glomerulus with changes characteristic of a transplant glomerulopathy. PAS stain. | |
| Specialty | Pathology |
Transplant glomerulopathy (TG) is a disease of the glomeruli in transplanted kidneys. It is a type of renal injury often associated with chronic antibody-mediated rejection. However, transplant glomerulopathy is not specific for chronic antibody-mediated rejection; it may be the result of a number of disease processes affecting the glomerular endothelium.[1]
It is characterized by glomerular basement membrane thickening (referred to as tram-tracking of the basement membrane), increased mesangial matrix and segmental and global glomerulosclerosis.[citation needed]
The differential diagnosis of tram-tracking includes membranoproliferative glomerulonephritis (especially hepatitis C), and thrombotic microangiopathies.[1]

Intermed. mag.

High mag.
![]() |
Categories: [Kidney diseases]