List Of Eponymous Fractures

From Mdwiki

Eponymous fractures
Other names:
Abraham Colles 003.jpg
Profess. A. Hoffa.jpg
PercivallPottb026992.JPG
Guillaume Dupuytren.jpg
Léon Athanase Gosselin (circa 1850-1860).png
Jacques Lisfranc.jpg
Paul Jules Tillaux 2.jpg
PaulSegond.jpg
William H. Harris.jpeg
Giambattista Monteggia.jpg
From top left to right: Abraham Colles, Albert Hoffa, Percivall Pott, Guillaume Dupuytren, Léon Athanese Gosselin, Jacques Lisfranc, Paul Jules Tillaux, William H. Harris, Paul Segond, Giambattista Monteggia
SpecialtyOrthopedics

Eponymous fractures and fracture-dislocations are most commonly named after the doctor who first described them. They may also be named after an activity with which they are associated.[1][2]

Some of these terms are historic.[2]

Fracture Named after Description Mechanism of injury Reference Image
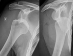
Bankart's fracture Arthur Bankart Fracture of anterior glenoid associated with anterior shoulder dislocation External rotation and abduction of shoulder [2][3] 3-D CT reconstruction of Bankart lesion which occurred post anterior shoulder dislocation.jpg
Barton's fracture John Rhea Barton distal radius fracture involving the articular surface with dislocation of the radiocarpal joint fall on outstretched hand Barton's fracture at Who Named It? 3D-rendered CT of Barton's fracture.jpg
Bennett's fracture Edward Hallaran Bennett intra-articular fracture of base of Thumb metacarpal axial load along metacarpal in a partially flexed thumb Bennett's fracture at Who Named It? Bennett-Faktur seitlich cropped.jpg
Bosworth fracture David M. Bosworth fracture of distal fibula with posterior dislocation of the proximal fibula behind the tibia severe external rotation of the foot "Bosworth fracture dislocation". Medcyclopaedia. GE. Archived from the original on 2013-01-29. Retrieved 2023-03-25.
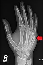
Boxer's fracture Boxers fracture at the neck of the fifth metacarpal punching solid object Boxer's fracture Archived 2007-07-15 at the Wayback Machine at Wheeless' Textbook of Orthopaedics online Fractured5thMetacarpalHead2018.jpg
Bumper fracture Car bumper compression fracture of lateral tibial plateau forced valgus of knee when struck from side by car bumper Bumper fracture Archived 2022-01-21 at the Wayback Machine at TheFreeDictionary.com TibPlateauBadMark.png
Busch fracture
Chance fracture George Quentin Chance horizontal fracture of vertebral body hyperflexion of spine, seen in car accidents when lap belts were used Chance fracture Archived 2018-07-06 at the Wayback Machine at Wheeless' Textbook of Orthopaedics online PchancefracCT.png
Chauffeur's fracture[4] Chauffeurs intra-articular fracture of radial styloid forced ulnar deviation of the wrist causing avulsion of the radial styloid Chauffeur's fracture Archived 2020-09-18 at the Wayback Machine at Wheeless' Textbook of Orthopaedics online Chauffeur-Fraktur und PSU bei Ulnavorschub mit Impaktation 83W - CR ap - 001.jpg
Chopart's fracture-dislocation François Chopart foot dislocation through talonavicular and calcaneocuboid joints with associated fractures, usually after ankle twisting.treated in a non weight bearing cast for 6–8 weeks Chopart's fracture dislocation at Who Named It?
Clay shoveller's fracture Clay shovellers spinous process fracture of C6, C7 or T1 forced hyperflexion of neck "Clay shovellers fracture". Medcyclopaedia. GE. Archived from the original on 2011-05-26. Retrieved 2023-03-25.
Colles' fracture Abraham Colles distal radius fracture with dorsal angulation, impaction and radial drift fall on outstretched hand Colles' fracture at Who Named It? Colles fracture1.png
Cotton fracture
Duverney fracture Joseph Guichard Duverney isolated fracture of the iliac wing direct trauma "Duverney fracture". Medcyclopaedia. GE. Archived from the original on 2012-09-06. Retrieved 2023-03-25. Duverney fracture (Radiopaedia 39019).PNG
Essex-Lopresti fracture Peter Essex-Lopresti comminuted radial head fracture with interosseous membrane disruption and distal radioulnar joint subluxation fall from height Essex Lopresti fracture Archived 2009-10-01 at the Wayback Machine at Wheeless' Textbook of Orthopaedics online
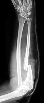
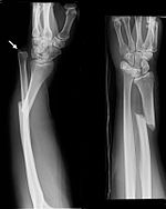
Galeazzi fracture Ricardo Galeazzi radius shaft fracture with dislocation of distal radioulnar joint blow to forearm Galeazzi fracture Archived 2017-12-01 at the Wayback Machine at eMedicine Galeazzifraktur 1 THWZ.jpg
Gosselin fracture Leon Athanese Gosselin V-shaped distal tibia fracture extending into the tibial plafond Gosselin's fracture Archived 2017-09-08 at the Wayback Machine at TheFreeDictionary.com
Hangman's fracture Hangman fracture of both pedicles of C2 distraction and extension of neck Hangman's fracture Archived 2020-09-18 at the Wayback Machine at Wheeless' Textbook of Orthopaedics online Hangman's fracture.JPG
Hill–Sachs fracture Harold Arthur Hill
Maurice David Sachs
impacted posterior humeral head fracture occurring during anterior shoulder dislocation Hill Sachs Lesion Archived 2020-09-20 at the Wayback Machine at Wheeless' Textbook of Orthopaedics online Dislocated shoulder X-ray 03.png
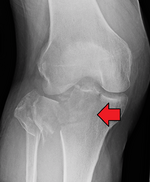
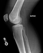
Hoffa fracture Albert Hoffa Hoffa fracture of medial unicondylar and bilateral in a man a rare case 2015 P03.png
Holstein–Lewis fracture Arthur Holstein
Gwylim Lewis
fracture of the distal third of the humerus resulting in entrapment of the radial nerve Holstein-Lewis fracture Archived 2022-01-29 at the Wayback Machine at Orthopedic Weblinks
Holdsworth fracture Sir Frank Wild Holdsworth unstable spinal fracture-dislocation at the thoracolumbar junction Thoracic Spine Fractures and Dislocations Archived 2023-02-03 at the Wayback Machine at eMedicine
Hume fracture A.C. Hume olecranon fracture with anterior dislocation of radial head Ronald McRae, Maxx Esser. Practical Fracture Treatment 5th edition, page 187. Elsevier Health Sciences, 2008. ISBN 978-0-443-06876-8.
Jefferson fracture Sir Geoffrey Jefferson fracture of first cervical vertebra compression of neck Jefferson fracture at Who Named It?
Jones fracture Sir Robert Jones fracture of base of 5th metatarsal extending into intermetatarsal joint inversion of ankle Jones fracture Archived 2006-07-02 at the Wayback Machine at Wheeless' Textbook of Orthopaedics online
Le Fort fractures René Le Fort series of facial fractures direct trauma to face LeFort I at Who Named It?
LeFort II at Who Named It?
LeFort III at Who Named It?
Le Fort's fracture of the ankle Léon Clément Le Fort vertical fracture of distal fibula with avulsion of medial malleolus LeFort's fracture of the ankle at Who Named It?
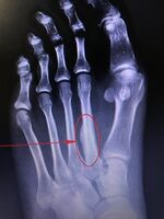
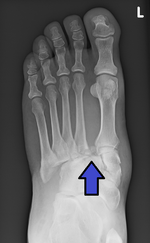
Lisfranc fracture Jacques Lisfranc de St. Martin fracture dislocation of midfoot forced plantar flexion of foot or dropping heavy weight on foot Lisfranc fracture at Who Named It? LisFrancArrow.png
Maisonneuve fracture Jules Germain François Maisonneuve spiral fracture of proximal fibula external rotation of ankle Maisonneuve fracture Archived 2020-09-22 at the Wayback Machine at Wheeless' Textbook of Orthopaedics online Maisonneuve fracture Fibula.JPG
Malgaigne's fracture Joseph-François Malgaigne vertical pelvic fracture through both pubic rami and the ilium or sacroiliac joint with vertical displacement high energy impact to pelvis (front to back) Malgaigne's fracture Archived 2017-11-02 at the Wayback Machine at TheFreeDictionary.com
March fracture Marching stress fracture of a metatarsal shaft heavy or unaccustomed exercise Metatarsal Stress Fracture Archived 2022-12-08 at the Wayback Machine at eMedicine IMG 0544NIH.jpg
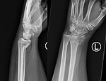
Monteggia fracture Giovanni Battista Monteggia proximal ulna fracture with dislocation of radial head blow to forearm Monteggia fracture at Who Named It? Monteggia Fracture.jpg
Moore's fracture Edward Mott Moore distal radius fracture with ulnar dislocation and entrapment of styloid process under annular ligament Moore's fracture Archived 2016-03-03 at the Wayback Machine at TheFreeDictionary.com
Pipkin fracture-dislocation G. Pipkin posterior dislocation of hip with avulsion fracture of fragment of femoral head by the ligamentum teres impact to the knee with the hip flexed (dashboard injury) Type II-V: Posterior Fracture Dislocations Archived 2020-09-18 at the Wayback Machine at Wheeless' Textbook of Orthopaedics online
Pott's fracture[5] Percival Pott bimalleolar fracture of the ankle eversion of ankle Pott's fracture at Who Named It?
Rolando fracture Silvio Rolando intra articular comminuted fracture of base of first metacarpal axial load along the metacarpal causing splitting of the proximal articular surface Rolando's fracture Archived 2020-09-18 at the Wayback Machine at Wheeless' Textbook of Orthopaedics online Rolando fracture.jpg
Runner's fracture Running stress fracture of distal fibula 3–8 cm above the lateral malleolus repeated axial stress on fibula Google books result Archived 2023-07-01 at the Wayback Machine Marko Pećina, Ivan Bojanić. Overuse injuries of the Musculoskeletal System, page 331. Informa Health Care, 2004. ISBN 978-0-8493-1428-5.
Salter–Harris fracture R.B. Salter, W.R. Harris[6] fractures involving a growth plate various Salter–Harris fractures Archived 2019-03-29 at the Wayback Machine at [[Medscape] SalterHarris2010.JPG
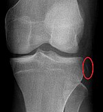
Segond fracture Paul Segond lateral tibial plateau avulsion fracture with anterior cruciate ligament tear Segond fracture at Who Named It? SegondFracture.JPG
Shepherd's fracture Francis J. Shepherd fracture of the lateral tubercle of the posterior process of the talus Shepherd's fracture Archived 2016-03-03 at the Wayback Machine at Mondofacto online medical dictionary
Smith's fracture Robert William Smith distal radius fracture with volar displacement fall on outstretched hand with wrist in flexed position Smith's fracture at Who Named It? Smith2019Frac.jpg
Stieda fracture Alfred Stieda avulsion fracture of the medial femoral condyle at the origin of the medial collateral ligament Stieda's fracture Archived 2022-05-17 at the Wayback Machine at TheFreeDictionary.com
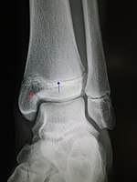
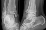
Tillaux fracture Paul Jules Tillaux Salter–Harris III fracture of the tibia forced lateral rotation of foot Tillaux fracture at Who Named It? Tillaux-Fraktur 11jw - Roe ap und seitlich - 001.png
Toddler's fracture Toddlers undisplaced spiral fracture of distal tibia in children under 8 years old low-energy trauma, often rotational The toddler's fracture revisited Archived 2016-03-03 at the Wayback Machine at Wheeless' Textbook of Orthopaedics online Tibfracture.png
Wagstaffe–Le Fort avulsion fracture Léon Clément Le Fort

Notes[edit | edit source]

  1. Martel, José; Bueno, Angel (2008). "Appendix A. Fractures with names". In Pope, Thomas; Bloem, Hans L.; Beltran, Javier; Morrison, William B.; John, David (eds.). Musculoskeletal Imaging (2nd ed.). Philadelphia: Elsevier. pp. 1232–1231. ISBN 978-1-4557-0813-0. Archived from the original on 2023-07-01. Retrieved 2023-06-04.
  2. 2.0 2.1 2.2 Hunter, Tim B.; Peltier, Leonard F.; Lund, Pamela J. (1 May 2000). "Radiologic History Exhibit". RadioGraphics. pp. 819–836. doi:10.1148/radiographics.20.3.g00ma20819. Archived from the original on 16 September 2022. Retrieved 16 September 2022.
  3. Major, Nancy M.; Anderson, Mark W. (2020). "10. Shoulder". Musculoskeletal MRI. Philadelphia: Elsevier. pp. 218–219. ISBN 978-0-323-415606. Archived from the original on 2023-07-01. Retrieved 2023-03-25.
  4. also known as Hutchinson's fracture
  5. also known as Dupuytren's fracture
  6. Injuries involving the epiphyseal plate. RB Salter, WR Harris. JBJS (1963) 45: 587–632.

Categories: [Lists of medical eponyms]


Download as ZWI file | Last modified: 03/19/2024 07:39:31 | 2 views
☰ Source: https://mdwiki.org/wiki/List_of_eponymous_fractures | License: CC BY-SA 3.0

ZWI is not signed. [what is this?]