Collagenous Colitis

From Mdwiki

Collagenous colitis
Collagenous colitis - high mag.jpg
Micrograph of collagenous colitis. H&E stain.
SpecialtyGastroenterology

Collagenous colitis is an inflammatory bowel disease affecting the colon specifically with peak incidence in the 5th decade of life, affecting women more than men. Its clinical presentation involves watery diarrhea in the absence of rectal bleeding. It is often classified under the umbrella entity microscopic colitis, that it shares with a related condition, lymphocytic colitis.[1]

Signs and symptoms[edit | edit source]

Microscopic colitis causes chronic watery diarrhea with greater than 10 bowel movements per day. Some patients report nocturnal diarrhea, abdominal pain, urgency, fecal incontinence, fatigue, dehydration and weight loss. Patients report a significantly diminished quality of life.[1][2]

Causes[edit | edit source]

The cause of collagenous colitis is unknown.[1]

Diagnosis[edit | edit source]

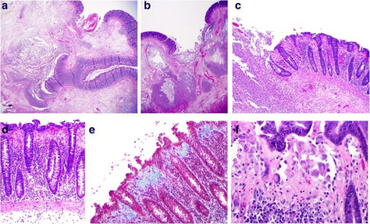
a-f) Microscopy of the resected colon

On colonoscopy, the mucosa of the colon typically looks normal, but biopsies of affected tissue usually show deposition of collagen in the lamina propria, which is the area of connective tissue between colonic glands. Radiological tests, such as a barium enema are also typically normal.[2]

Treatment[edit | edit source]

First line treatment for collagenous colitis is the use of budesonide, a steroid that works locally in the colon and is highly cleared by first pass effect. Other medications that can be used are the following:[1][2]

Pilot-scale studies have shown some evidence of possible benefit for both Boswellia serrata extract and specific strains of probiotics in the treatment of collagenous colitis, although larger sample sizes are needed to confirm the results.[3][4][5]

See also[edit | edit source]

References[edit | edit source]

  1. 1.0 1.1 1.2 1.3 Park, Tina; Cave, David; Marshall, Christopher (2015-08-07). "Microscopic colitis: A review of etiology, treatment and refractory disease". World Journal of Gastroenterology. 21 (29): 8804–8810. doi:10.3748/wjg.v21.i29.8804. ISSN 1007-9327. PMC 4528022. PMID 26269669.
  2. 2.0 2.1 2.2 O’Toole, Aoibhlinn (2016-02-10). "Optimal management of collagenous colitis: a review". Clinical and Experimental Gastroenterology. 9: 31–39. doi:10.2147/CEG.S67233. ISSN 1178-7023. PMC 4754103. PMID 26929656.
  3. Madisch A, Miehlke S, Eichele O, Mrwa J, Bethke B, Kuhlisch E, Bästlein E, Wilhelms G, Morgner A, Wigginghaus B, Stolte M (Dec 2007). "Boswellia serrata extract for the treatment of collagenous colitis. A double-blind, randomized, placebo-controlled, multicenter trial". International Journal of Colorectal Disease. 22 (12): 1445–51. doi:10.1007/s00384-007-0364-1. PMID 17764013.
  4. Wildt S, Munck LK, Vinter-Jensen L, Hanse BF, Nordgaard-Lassen I, Christensen S, Avnstroem S, Rasmussen SN, Rumessen JJ (May 2006). "Probiotic treatment of collagenous colitis: a randomized, double-blind, placebo-controlled trial with Lactobacillus acidophilus and Bifidobacterium animalis subsp. lactis". Inflammatory Bowel Diseases. 12 (5): 395–401. doi:10.1097/01.MIB.0000218763.99334.49. PMID 16670529.
  5. Tromm A, Niewerth U, Khoury M, Baestlein E, Wilhelms G, Schulze J, Stolte M (May 2004). "The probiotic E. coli strain Nissle 1917 for the treatment of collagenous colitis: first results of an open-label trial". Zeitschrift für Gastroenterologie. 42 (5): 365–9. doi:10.1055/s-2004-812709. PMID 15136935.

External links[edit | edit source]

Classification
External resources

Categories: [Colitis] [Steroid-responsive inflammatory conditions]


Download as ZWI file | Last modified: 02/05/2024 07:19:52 | 1 views
☰ Source: https://mdwiki.org/wiki/Collagenous_colitis | License: CC BY-SA 3.0

ZWI is not signed. [what is this?]