Liver Abscess

From Mdwiki

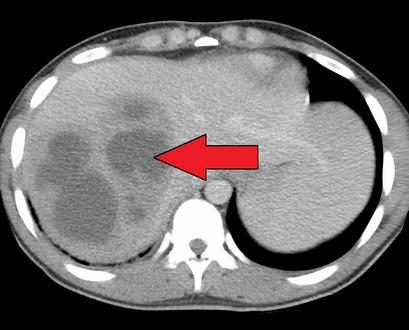
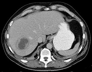
Liver abscess
Liver abscess on axial CT image: a hypodense lesion in the liver with peripherally enhancement.

A liver abscess is a mass filled with pus inside the liver.[1] Common causes are abdominal conditions such as appendicitis or diverticulitis due to haematogenous spread through the portal vein.[2] It can also develop as a complication of a liver injury.

Signs and symptoms[edit | edit source]

The clinical presentation for a liver abscess is consistent with:[3]

Causes[edit | edit source]

Risk factors for developing liver abscess can be due to infection, post-procedural infection and metastasis such as primary liver tumours, liver metastasis, biliary procedures, biliary injuries, biliary tract disease, appendicitis, and diverticulitis.[citation needed]

Major bacterial causes of liver abscess include the following:[4]

However, as noted above, many cases are polymicrobial.

Diagnosis[edit | edit source]

Types[edit | edit source]

There are several major forms of liver abscess, classified by cause:[citation needed]

  • Pyogenic liver abscess, which is most often polymicrobial, accounts for 80% of hepatic abscess cases in the United States.
  • Amoebic liver abscess due to Entamoeba histolytica accounts for 10% of cases. The incidence is much higher in developing countries.
  • Fungal abscess, most often due to Candida species, accounts for less than 10% of cases.
  • Iatrogenic abscess, caused by medical interventions

Management[edit | edit source]

Antibiotics: IV metronidazole and third generation cephalosporin/quinolones, β-lactam antibiotics, and aminoglycosides are effective.[citation needed]

Prognosis[edit | edit source]

The prognosis has improved for liver abscesses. The mortality rate in-hospital is about 2.5-19%. The elderly, ICU admissions, shock, cancer, fungal infections, cirrhosis, chronic kidney disease, acute respiratory failure, severe disease, or disease of biliary origin have a worse prognosis.[3]

References[edit | edit source]

  1. "Liver Abscess Definition in Medical Conditions Dictionary". medconditions.net. 11 April 2018. Archived from the original on 5 April 2012. Retrieved 11 April 2018.
  2. MedlinePlus Encyclopedia: Pyogenic liver abscess
  3. 3.0 3.1 Akhondi H, Sabih DE (2019). "Liver Abscess". StatPearls. StatPearls Publishing. PMID 30855818. Archived from the original on 2021-05-03. Retrieved 2019-07-28.
  4. Webb GJ, Chapman TP, Cadman PJ, Gorard DA (January 2014). "Pyogenic liver abscess". Frontline Gastroenterology. 5 (1): 60–67. doi:10.1136/flgastro-2013-100371. PMC 5369710. PMID 28839753.

External links[edit | edit source]

Classification
External resources

Categories: [Diseases of liver]


Download as ZWI file | Last modified: 06/23/2024 18:49:13 | 8 views
☰ Source: https://mdwiki.org/wiki/Liver_abscess | License: CC BY-SA 3.0

ZWI is not signed. [what is this?]