From Mdwiki | Dermal cylindroma | |
|---|---|
![]() | |
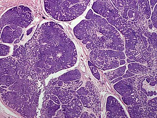
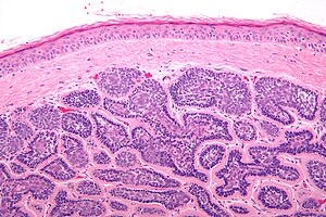
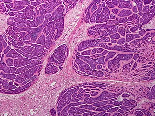
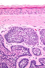
| Micrograph of a dermal cylindroma. H&E stain. | |
In dermatologic pathology, a dermal cylindroma, also dermal eccrine cylindroma or cutaneous cylindroma[1]: 666 ) and (less specifically) cylindroma, is a benign adnexal tumor[2] that occurs on the scalp and forehead.
Multiple cylindromas may grow together in a "hat-like" configuration, sometimes referred to as a turban tumor.[3] Cylindromas are uncommon dysplasias of skin appendages.[4]

Dermal cylindromas are:
They lack of a significant number of lymphocytes; this differentiates them from spiradenomas.
Micrograph of dermal cylindroma in H&E stain.
Dermal cylindroma. Puzzle-like distribution of tumour foci.
Dermal cylindroma. Hyaline droplets visible in lobules.
Dermal cylindroma, micronodular type.
{{cite journal}}: Cite journal requires |journal= (help)
| Classification | |
|---|---|
| External resources |
Categories: [Epidermal nevi, neoplasms, and cysts]