Atypical Pneumonia

From Mdwiki

Atypical pneumonia
Other names: Walking pneumonia
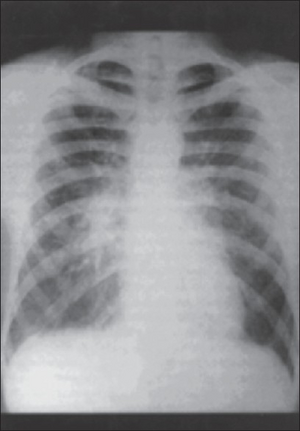
Atypical pneumonia- X-Ray chest showing right peribronchial central infiltrate
SpecialtyInfectious disease, pulmonology

Atypical pneumonia, also known as walking pneumonia,[1] is any type of pneumonia not caused by one of the pathogens most commonly associated with the disease. Its clinical presentation contrasts to that of "typical" pneumonia. A variety of microorganisms can cause it. When it develops independently from another disease, it is called primary atypical pneumonia (PAP).

The term was introduced in the 1930s[2][3] and was contrasted with the bacterial pneumonia caused by Streptococcus pneumoniae, at that time the best known and most commonly occurring form of pneumonia. The distinction was historically considered important, as it differentiated those more likely to present with "typical" respiratory symptoms and lobar pneumonia from those more likely to present with "atypical" generalized symptoms (such as fever, headache, sweating and myalgia) and bronchopneumonia.[4]

Signs and symptoms[edit | edit source]

Usually the atypical causes also involve atypical symptoms:

  • No response to common antibiotics such as sulfonamide[5] and beta-lactams like penicillin.
  • No signs and symptoms of lobar consolidation,[6][7] meaning that the infection is restricted to small areas, rather than involving a whole lobe. As the disease progresses, however, the look can tend to lobar pneumonia.
  • Absence of leukocytosis.[citation needed]
  • Extrapulmonary symptoms, related to the causing organism.[8]
  • Moderate amount of sputum, or no sputum at all (i.e. non-productive).
  • Lack of alveolar exudate.[9]
  • Despite general symptoms and problems with the upper respiratory tract (such as high fever, headache, a dry irritating cough followed later by a productive cough with radiographs showing consolidation), there are in general few physical signs. The patient looks better than the symptoms suggest.[2][5]

Cause[edit | edit source]

The most common causative organisms are (often intracellular living) bacteria:[8]

Chlamydia pneumoniae
Mild form of pneumonia with relatively mild symptoms.
Chlamydia psittaci
Causes psittacosis.
Coxiella burnetii
Causes Q fever.
Francisella tularensis
Causes tularemia.
Legionella pneumophila
Causes a severe form of pneumonia with a relatively high mortality rate, known as legionellosis or Legionnaires' disease.
Mycoplasma pneumoniae
[10] Usually occurs in younger age groups and may be associated with neurological and systemic (e.g. rashes) symptoms.

Atypical pneumonia can also have a fungal, protozoan or viral cause.[11][12]
In the past, most organisms were difficult to culture. However, newer techniques aid in the definitive identification of the pathogen, which may lead to more individualized treatment plans.

Viral[edit | edit source]

Known viral causes of atypical pneumonia include respiratory syncytial virus (RSV), influenza A and B, parainfluenza, adenovirus, severe acute respiratory syndrome (SARS),[13] Middle East respiratory syndrome (MERS), COVID-19[14] and measles.[15]

Diagnosis[edit | edit source]

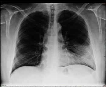
Atypical pneumonia- Chest x-ray, dense infiltration in the left lower lobe

Chest radiographs (X-ray photographs) often show a pulmonary infection before physical signs of atypical pneumonia are observable at all.[5] This is occult pneumonia. In general, occult pneumonia is rather often present in patients with pneumonia and can also be caused by Streptococcus pneumoniae, as the decrease of occult pneumonia after vaccination of children with a pneumococcal vaccine suggests.[16][17]

Infiltration commonly begins in the perihilar region (where the bronchus begins) and spreads in a wedge- or fan-shaped fashion toward the periphery of the lung field. The process most often involves the lower lobe, but may affect any lobe or combination of lobes.[5]

Treatment[edit | edit source]

In terms of management for Atypical pneumonia, usually, NSAIDs, antibiotics and rest are prescribed[18]

Epidemiology[edit | edit source]

Mycoplasma is found more often in younger than in older people.[19][20] Older people are more often infected by Legionella.[20]

Terminology[edit | edit source]

"Primary atypical pneumonia" is called primary because it develops independently of other diseases.[citation needed]

It is commonly known as "walking pneumonia" because its symptoms are often mild enough that one can still be up and about.[21][22]

"Atypical pneumonia" is atypical in that it is caused by atypical organisms (other than Streptococcus pneumoniae, Haemophilus influenzae, and Moraxella catarrhalis).[23] These atypical organisms include special bacteria, viruses, fungi, and protozoa. In addition, this form of pneumonia is atypical in presentation with only moderate amounts of sputum, no consolidation, only small increases in white cell counts, and no alveolar exudate.[15][8]

At the time that atypical pneumonia was first described, organisms like Mycoplasma, Chlamydophila, and Legionella were not yet recognized as bacteria and instead considered viruses. Hence "atypical pneumonia" was also called "non-bacterial".[24]

In literature the term atypical pneumonia is current, sometimes contrasted with viral pneumonia (see below) and sometimes, though incorrectly, with bacterial pneumonia. Many of the organisms causative of atypical pneumonia are unusual types of bacteria (Mycoplasma is a type of bacteria without a cell wall and Chlamydias are intracellular bacteria). As the conditions caused by the various agents have different courses and respond to different treatments, the identification of the specific causative pathogen is important.[citation needed]

References[edit | edit source]

  1. "Atypical Pneumonia (Walking Pneumonia)". Cleveland Clinic. Archived from the original on 2016-12-23. Retrieved 2022-06-23.
  2. 2.0 2.1 Walter C, McCoy MD (1946). "Primary atypical pneumonia: A report of 420 cases with one fatality during twenty-seven month at Station Hospital, Camp Rucker, Alabama". Southern Medical Journal. 39 (9): 696–706. doi:10.1097/00007611-194609000-00005. PMID 20995425. Archived from the original on 2020-03-12. Retrieved 2022-06-23.
  3. Pneumonia, Atypical Bacterial at eMedicine
  4. Pneumonia, Typical Bacterial at eMedicine
  5. 5.0 5.1 5.2 5.3 Commission on Acute Respiratory Diseases, Fort Bragg, North Carolina (April 1944). "Primary Atypical Pneumonia". American Journal of Public Health and the Nation's Health. 34 (4): 347–57. doi:10.2105/AJPH.34.4.347. PMC 1625001. PMID 18015969.
  6. Gouriet F, Drancourt M, Raoult D (October 2006). "Multiplexed serology in atypical bacterial pneumonia". Ann. N. Y. Acad. Sci. 1078 (1): 530–40. Bibcode:2006NYASA1078..530G. doi:10.1196/annals.1374.104. PMID 17114771.
  7. Hindiyeh M, Carroll KC (June 2000). "Laboratory diagnosis of atypical pneumonia". Semin Respir Infect. 15 (2): 101–13. doi:10.1053/srin.2000.9592. PMID 10983928.
  8. 8.0 8.1 8.2 Cunha BA (May 2006). "The atypical pneumonias: clinical diagnosis and importance". Clin. Microbiol. Infect. 12 (Suppl 3): 12–24. doi:10.1111/j.1469-0691.2006.01393.x. PMC 7128183. PMID 16669925. Archived from the original on 2013-01-05.
  9. Robbins and Cotran Pathologic Basis of Disease, 8th edition, Kumar et al., Philadelphia, 2010, p. 714
  10. Mycoplasma+Pneumoniae at the US National Library of Medicine Medical Subject Headings (MeSH)
  11. "Diseases Database". Archived from the original on 2016-03-04. Retrieved 2022-06-23.
  12. Tang YW (December 2003). "Molecular diagnostics of atypical pneumonia" (PDF). Acta Pharmacol. Sin. 24 (12): 1308–13. PMID 14653964. Archived from the original (PDF) on 2011-07-08.
  13. "Severe Acute Respiratory Syndrome (SARS) – multi-country outbreak". Archived from the original on 7 December 2008. Retrieved 2008-12-21.
  14. Zhou, Peng; Yang, Xing-Lou; Wang, Xian-Guang; Hu, Ben; Zhang, Lei; Zhang, Wei; Si, Hao-Rui; Zhu, Yan; Li, Bei; Huang, Chao-Lin; Chen, Hui-Dong; Chen, Jing; Luo, Yun; Guo, Hua; Jiang, Ren-Di; Liu, Mei-Qin; Chen, Ying; Shen, Xu-Rui; Wang, Xi; Zheng, Xiao-Shuang; Zhao, Kai; Chen, Quan-Jiao; Deng, Fei; Liu, Lin-Lin; Yan, Bing; Zhan, Fa-Xian; Wang, Yan-Yi; Xiao, Gengfu; Shi, Zheng-Li (23 January 2020). "Discovery of a novel coronavirus associated with the recent pneumonia outbreak in humans and its potential bat origin". bioRxiv. doi:10.1101/2020.01.22.914952. S2CID 211003249.
  15. 15.0 15.1 Diseases Database Causes of atypical pneumonia Archived 2016-03-04 at the Wayback Machine
  16. Murphy CG, van de Pol AC, Harper MB, Bachur RG (March 2007). "Clinical predictors of occult pneumonia in the febrile child". Acad Emerg Med. 14 (3): 243–49. doi:10.1197/j.aem.2006.08.022. PMID 17242382.
  17. Rutman MS, Bachur R, Harper MB (January 2009). "Radiographic pneumonia in young, highly febrile children with leukocytosis before and after universal conjugate pneumococcal vaccination". Pediatric Emergency Care. 25 (1): 1–7. doi:10.1097/PEC.0b013e318191dab2. PMID 19116501. S2CID 10894988.
  18. "Atypical pneumonia: MedlinePlus Medical Encyclopedia". medlineplus.gov. Archived from the original on 16 July 2022. Retrieved 21 September 2022.
  19. Schneeberger PM, Dorigo-Zetsma JW, van der Zee A, van Bon M, van Opstal JL (2004). "Diagnosis of atypical pathogens in patients hospitalized with community-acquired respiratory infection". Scand. J. Infect. Dis. 36 (4): 269–73. doi:10.1080/00365540410020127. PMID 15198183.
  20. 20.0 20.1 "Pneumonia". National Heart, Lung and Blood Institute. Archived from the original on 2021-07-28. Retrieved 2022-06-23.
  21. "What Is Walking Pneumonia?". Archived from the original on 2020-03-20. Retrieved 2022-06-23.
  22. "Walking pneumonia: What does it mean?". Archived from the original on 2022-07-31. Retrieved 2022-06-23.
  23. Memish ZA, Ahmed QA, Arabi YM, Shibl AM, Niederman MS (October 2007). "Microbiology of community-acquired pneumonia in the Gulf Corporation Council states". J Chemother. 19 Suppl 1: 17–23. doi:10.1080/1120009x.2007.11782430. PMID 18073166. S2CID 37758739.
  24. "Primary atypical pneumonia" at Dorland's Medical Dictionary

External links[edit | edit source]

Classification
External resources

Categories: [Pneumonia] [Atypical pneumonias]


Download as ZWI file | Last modified: 04/15/2024 00:56:52 | 4 views
☰ Source: https://mdwiki.org/wiki/Atypical_pneumonia | License: CC BY-SA 3.0

ZWI is not signed. [what is this?]