Porcelain Gallbladder

From Mdwiki

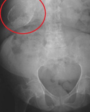
Porcelain gallbladder
Other names: Calcified gallbladder
Porcelain gallbladder.png
Porcelain gallbladder on X-ray

Porcelain gallbladder is a calcification of the gallbladder believed to be brought on by excessive gallstones, although the exact cause is not clear. As with gallstone disease in general, this condition occurs predominantly in overweight female patients of middle age. It is a morphological variant of chronic cholecystitis. Inflammatory scarring of the wall, combined with dystrophic calcification within the wall transforms the gallbladder into a porcelain-like vessel. Removal of the gallbladder (cholecystectomy) is the recommended treatment.

Symptoms and signs[edit | edit source]

Symptoms are similar to gallstones and can include abdominal pain (especially after eating), jaundice, and vomiting. Porcelain gallbladder can also be asymptomatic and discovered on imaging obtained for a different reason.

Association with cancer[edit | edit source]

The assertion that porcelain gallbladder increases the incidence of gallbladder cancer is widely taught in medical schools but is based on studies from 1931 and 1962.[1] A prominent study aid for surgical residents even states that the risk of cancer in a porcelain gallbladder is 15%.[2] The precise nature of the association between gallbladder cancer and porcelain gallbladder is uncertain. Two articles published in 2001 examined the association between cancer of the gallbladder and calcified gallbladder. The first study reviewed 10,741 cholecystectomies and found that the 88 patients with gallbladder cancer did not have calcified gallbladders while the 15 patients with porcelain gallbladders did not have gallbladder cancer.[1] The second study reviewed 25,900 gallbladder specimens and found 150 patients with cancer and 44 patients with calcified gallbladders of two types (intramural calcification and selective mucosal calcification).[3] The selective mucosal calcification group showed a 7% incidence of cancer with a significant odds ratio of 13.89.[3]

An article published in 2013 reviewed 111 studies and found 340 patients with gallbladder wall calcification showed a 21% overall rate of gallbladder malignancy; however, when studies with obvious selection bias were excluded the rate of gallbladder malignancy fell to 6%.[4] Comparatively, a matched cohort without gallbladder calcification showed a 1% rate of gallbladder malignancy.

Diagnosis[edit | edit source]

Endoscopic ultrasound: porcelain gall bladder.

Abdominal radiography (X-ray), abdominal ultrasound or CT scan.[citation needed]

Treatment[edit | edit source]

Due to the increased risk for gallbladder cancer, the recommended treatment is cholecystectomy which usually includes pre-operative or intra-operative imaging of the biliary tree. Cholecystectomy may be performed via an open incision or via laparoscopic methods, but gallbladder anatomy and consistency may complicate the operation.[5]

Based on evidence in the current literature, a prophylactic cholecystectomy is not routinely recommended for all patients with porcelain gallbladder and should be restricted to those with conventional indications, such as young patients[6]

References[edit | edit source]

  1. 1.0 1.1 Towfigh, S; McFadden, DW; Cortina, GR; Thompson Jr, JE; Tompkins, RK; Chandler, C; Hines, OJ (2001). "Porcelain gallbladder is not associated with gallbladder carcinoma". The American Surgeon. 67 (1): 7–10. PMID 11206901.
  2. Fiser, Steven (2013). The ABSITE Review (4th ed.). LWW. ISBN 978-1451186901.
  3. 3.0 3.1 Stephen, Antonia E.; Berger, David L. (2001). "Carcinoma in the porcelain gallbladder: A relationship revisited". Surgery. 129 (6): 699–703. doi:10.1067/msy.2001.113888. PMID 11391368.
  4. Schnelldorfer, Thomas (June 2013). "Porcelain Gallbladder: A Benign Process or Concern for Malignancy?". Journal of Gastrointestinal Surgery. 17 (6): 1161–1168. doi:10.1007/s11605-013-2170-0. PMID 23423431.
  5. Tomioka, T.; Tajima, Y.; Inoue, K.; Onizuka, S.; Ikematsu, Y.; Kanematsu, T. (March 1997). "Laparoscopic Cholecystectomy Is a Safe Procedure for the Treatment of Porcelain Gallbladder". Endoscopy. 29 (3): 225. doi:10.1055/s-2007-1004172. PMID 9201480.
  6. Machado, Norman O. (November 2016). "Porcelain Gallbladder". Sultan Qaboos University Medical Journal. 16 (4): e416–e421. doi:10.18295/squmj.2016.16.04.003. ISSN 2075-051X. PMC 5135451. PMID 28003886.

External links[edit | edit source]

Classification
External resources

Categories: [Gallbladder disorders]


Download as ZWI file | Last modified: 02/18/2024 02:01:18 | 3 views
☰ Source: https://mdwiki.org/wiki/Porcelain_gallbladder | License: CC BY-SA 3.0

ZWI is not signed. [what is this?]