Sars

From Handwiki

Short description: Disease caused by severe acute respiratory syndrome coronavirus
Severe acute respiratory syndrome
(SARS)
Other namesSudden acute respiratory syndrome[1]
SARS virion.gif
Electron micrograph of SARS coronavirus virion
Pronunciation
  • /sɑːrz/, /sɑːz/
SpecialtyInfectious disease
SymptomsFever, persistent dry cough, headache, muscle pains, difficulty breathing
ComplicationsAcute respiratory distress syndrome (ARDS) with other comorbidities that eventually leads to death
Duration2002–2004
CausesSevere acute respiratory syndrome coronavirus (SARS-CoV-1)
PreventionHand washing, cough etiquette, avoiding close contact with infected persons, avoiding travel to affected areas[2]
Prognosis9.5% chance of death (all countries)
Frequency8,096 cases total [when?]
Deaths783 known

Severe acute respiratory syndrome (SARS) is a viral respiratory disease of zoonotic origin caused by the virus SARS-CoV-1, the first identified strain of the SARS-related coronavirus.[3] The first known cases occurred in November 2002, and the syndrome caused the 2002–2004 SARS outbreak. In the 2010s, Chinese scientists traced the virus through the intermediary of Asian palm civets to cave-dwelling horseshoe bats in Xiyang Yi Ethnic Township, Yunnan.[4]

SARS was a relatively rare disease; at the end of the epidemic in June 2003, the incidence was 8,469 cases with a case fatality rate (CFR) of 11%.[5] No cases of SARS-CoV-1 have been reported worldwide since 2004.[6]

In December 2019, another strain of SARS-CoV was identified as severe acute respiratory syndrome coronavirus 2 (SARS-CoV-2).[7] This strain, which is related to SARS-CoV-1, caused coronavirus disease 2019 (COVID-19), a disease that brought about the COVID-19 pandemic.[8]

Signs and symptoms

SARS produces flu-like symptoms which may include fever, muscle pain, lethargy, cough, sore throat, and other nonspecific symptoms. The only symptom common to all patients appears to be a fever above 38 °C (100 °F). SARS often leads to shortness of breath and pneumonia, which may be direct viral pneumonia or secondary bacterial pneumonia.[9]

The average incubation period for SARS is 4–6 days, although it is rarely as short as 1 day or as long as 14 days.[10]

Transmission

The primary route of transmission for SARS-CoV is contact of the mucous membranes with respiratory droplets or fomites. While diarrhea is common in people with SARS, the fecal–oral route does not appear to be a common mode of transmission.[10] The basic reproduction number of SARS-CoV, R0, ranges from 2 to 4 depending on different analyses. Control measures introduced in April 2003 reduced the R to 0.4.[10]

Diagnosis

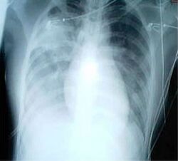
A chest X-ray showing increased opacity in both lungs, indicative of pneumonia, in a patient with SARS

SARS-CoV may be suspected in a patient who has:[citation needed]

  • Any of the symptoms, including a fever of 38 °C (100 °F) or higher, and
  • Either a history of:
    • Contact (sexual or casual) with someone with a diagnosis of SARS within the last 10 days or
    • Travel to any of the regions identified by the World Health Organization (WHO) as areas with recent local transmission of SARS.
  • Clinical criteria of Sars-CoV diagnosis[11]
    • Early illness: equal to or more than 2 of the following: chills, rigors, myalgia, diarrhea, sore throat (self-reported or observed)
    • Mild-to-moderate illness: temperature of >38 °C (100 °F) plus indications of lower respiratory tract infection (cough, dyspnea)
    • Severe illness: ≥1 of radiographic evidence, presence of ARDS, autopsy findings in late patients.

For a case to be considered probable, a chest X-ray must be indicative for atypical pneumonia or acute respiratory distress syndrome.[citation needed]

The WHO has added the category of "laboratory confirmed SARS" which means patients who would otherwise be considered "probable" and have tested positive for SARS based on one of the approved tests (ELISA, immunofluorescence or PCR) but whose chest X-ray findings do not show SARS-CoV infection (e.g. ground glass opacities, patchy consolidations unilateral).[11][12]

The appearance of SARS-CoV in chest X-rays is not always uniform but generally appears as an abnormality with patchy infiltrates.[13]

Prevention

There is a vaccine for SARS, although in March 2020 immunologist Anthony Fauci said the CDC developed one and placed it in the Strategic National Stockpile.[14] That vaccine, is a final product and field-ready as of March 2022.[15] Clinical isolation and vaccination remain the most effective means to prevent the spread of SARS. Other preventive measures include:

  • Hand-washing with soap and water, or use of alcohol-based hand sanitizer[16]
  • Disinfection of surfaces of fomites to remove viruses
  • Avoiding contact with bodily fluids
  • Washing the personal items of someone with SARS in hot, soapy water (eating utensils, dishes, bedding, etc.)[17]
  • Avoiding travel to affected areas
  • Wearing masks and gloves[18]
  • Keeping people with symptoms home from school
  • Simple hygiene measures
  • Distancing oneself at least 6 feet if possible to minimize the chances of transmission of the virus

Many public health interventions were made to try to control the spread of the disease, which is mainly spread through respiratory droplets in the air, either inhaled or deposited on surfaces and subsequently transferred to a body's mucous membranes. These interventions included earlier detection of the disease; isolation of people who are infected; droplet and contact precautions; and the use of personal protective equipment (PPE), including masks and isolation gowns.[5] A 2017 meta-analysis found that for medical professionals wearing N-95 masks could reduce the chances of getting sick up to 80% compared to no mask.[19] A screening process was also put in place at airports to monitor air travel to and from affected countries.[20]

SARS-CoV is most infectious in severely ill patients, which usually occurs during the second week of illness. This delayed infectious period meant that quarantine was highly effective; people who were isolated before day five of their illness rarely transmitted the disease to others.[10]

As of 2017, the CDC was still working to make federal and local rapid-response guidelines and recommendations in the event of a reappearance of the virus.[21]

Treatment

Award to the staff of the Hôpital Français de Hanoï for their dedication during the SARS crisis

As SARS is a viral disease, antibiotics do not have direct effect but may be used against bacterial secondary infection. Treatment of SARS is mainly supportive with antipyretics, supplemental oxygen and mechanical ventilation as needed. While ribavirin is commonly used to treat SARS, there seems to have little to no effect on SARS-CoV, and no impact on patient's outcomes.[22] There is currently no proven antiviral therapy. Tested substances, include ribavirin, lopinavir, ritonavir, type I interferon, that have thus far shown no conclusive contribution to the disease's course.[23] Administration of corticosteroids, is recommended by the British Thoracic Society/British Infection Society/Health Protection Agency in patients with severe disease and O2 saturation of <90%.[24]

People with SARS-CoV must be isolated, preferably in negative-pressure rooms, with complete barrier nursing precautions taken for any necessary contact with these patients, to limit the chances of medical personnel becoming infected.[11] In certain cases, natural ventilation by opening doors and windows is documented to help decreasing indoor concentration of virus particles.[25]

Some of the more serious damage caused by SARS may be due to the body's own immune system reacting in what is known as cytokine storm.[26]

Vaccine

See also: Economics of vaccines and COVID-19 vaccineVaccines can help immune system to create enough antibodies and also it can help to decrease a risk of side effects like arm pain, fever, headache etc.[27][28] According to research papers published in 2005 and 2006, the identification and development of novel vaccines and medicines to treat SARS was a priority for governments and public health agencies around the world.[29][30][31] In early 2004, an early clinical trial on volunteers was planned.[32] A major researcher's 2016 request, however, demonstrated that no field-ready SARS vaccine had been completed because likely market-driven priorities had ended funding.[15]

Prognosis

Several consequent reports from China on some recovered SARS patients showed severe long-time sequelae. The most typical diseases include, among other things, pulmonary fibrosis, osteoporosis, and femoral necrosis, which have led in some cases to the complete loss of working ability or even self-care ability of people who have recovered from SARS. As a result of quarantine procedures, some of the post-SARS patients have been diagnosed with post-traumatic stress disorder (PTSD) and major depressive disorder.[33][34]

Epidemiology

Main page: Medicine:2002–2004 SARS outbreak

SARS was a relatively rare disease; at the end of the epidemic in June 2003, the incidence was 8,422 cases with a case fatality rate (CFR) of 11%.[5]

The case fatality rate (CFR) ranges from 0% to 50% depending on the age group of the patient.[10] Patients under 24 were least likely to die (less than 1%); those 65 and older were most likely to die (over 55%).[35]

As with MERS and COVID-19, SARS resulted in significantly more deaths of males than females.

2003 Probable cases of SARS – worldwide
Probable cases of SARS by country or region,
1 November 2002 – 31 July 2003[36]
Country or region Cases Deaths Fatality (%)
 China[lower-alpha 1] 5,327 349 6.6
 Hong Kong 1,755 299 17.0
 Taiwan[lower-alpha 2] 346 81 23.4[37]
 Canada 251 43 17.1
 Singapore 238 33 13.9
 Vietnam 63 5 7.9
 United States 27 0 0
 Philippines 14 2 14.3
 Thailand 9 2 22.2
 Germany 9 0 0
 Mongolia 9 0 0
 France 7 1 14.3
 Australia 6 0 0
 Malaysia 5 2 40.0
 Sweden 5 0 0
 United Kingdom 4 0 0
 Italy 4 0 0
 Brazil 3 0 0
 India 3 0 0
 South Korea 3 0 0
 Indonesia 2 0 0
 South Africa 1 1 100.0
 Colombia 1 0 0
 Kuwait 1 0 0
 Ireland 1 0 0
 Macao 1 0 0
 New Zealand 1 0 0
 Romania 1 0 0
 Russia 1 0 0
 Spain 1 0 0
  Switzerland 1 0 0
Total excluding China[lower-alpha 1] 2,769 454 16.4
Total (29 territories) 8,096 782 9.6
  1. 1.0 1.1 Figures for China exclude Hong Kong and Macau, which are reported separately by the WHO.
  2. After 11 July 2003, 325 Taiwanese cases were 'discarded'. Laboratory information was insufficient or incomplete for 135 of the discarded cases; 101 of these patients died.

Outbreak in South China

The SARS epidemic began in the Guangdong province of China in November 2002. The earliest case developed symptoms on 16 November 2002.[38] The index patient, a farmer from Shunde, Foshan, Guangdong, was treated in the First People's Hospital of Foshan. The patient died soon after, and no definite diagnosis was made on his cause of death. Despite taking some action to control it, Chinese government officials did not inform the World Health Organization of the outbreak until February 2003. This lack of openness caused delays in efforts to control the epidemic, resulting in criticism of the People's Republic of China from the international community. China officially apologized for early slowness in dealing with the SARS epidemic.[39]

The viral outbreak was subsequently genetically traced to a colony of cave-dwelling horseshoe bats in Xiyang Yi Ethnic Township, Yunnan.[4]

The outbreak first came to the attention of the international medical community on 27 November 2002, when Canada's Global Public Health Intelligence Network (GPHIN), an electronic warning system that is part of the World Health Organization's Global Outbreak Alert and Response Network (GOARN), picked up reports of a "flu outbreak" in China through Internet media monitoring and analysis and sent them to the WHO. While GPHIN's capability had recently been upgraded to enable Arabic, Chinese, English, French, Russian, and Spanish translation, the system was limited to English or French in presenting this information. Thus, while the first reports of an unusual outbreak were in Chinese, an English report was not generated until 21 January 2003.[40][41] The first super-spreader was admitted to the Sun Yat-sen Memorial Hospital in Guangzhou on 31 January, which soon spread the disease to nearby hospitals.[42]

In early April 2003, after a prominent physician, Jiang Yanyong, pushed to report the danger to China,[43][44] there appeared to be a change in official policy when SARS began to receive a much greater prominence in the official media. Some have directly attributed this to the death of an American teacher, James Earl Salisbury, in Hong Kong.[45] It was around this same time that Jiang Yanyong made accusations regarding the undercounting of cases in Beijing military hospitals.[43][44] After intense pressure, Chinese officials allowed international officials to investigate the situation there. This revealed problems plaguing the aging mainland Chinese healthcare system, including increasing decentralization, red tape, and inadequate communication.[46]

Many healthcare workers in the affected nations risked their lives and died by treating patients, and trying to contain the infection before ways to prevent infection were known.[47]

Spread to other regions

The epidemic reached the public spotlight in February 2003, when an American businessman traveling from China, Johnny Chen, became affected by pneumonia-like symptoms while on a flight to Singapore. The plane stopped in Hanoi, Vietnam, where the patient died in Hanoi French Hospital. Several of the medical staff who treated him soon developed the same disease despite basic hospital procedures. Italian doctor Carlo Urbani identified the threat and communicated it to WHO and the Vietnamese government; he later died from the disease.[48]

The severity of the symptoms and the infection among hospital staff alarmed global health authorities, who were fearful of another emergent pneumonia epidemic. On 12 March 2003, the WHO issued a global alert, followed by a health alert by the United States Centers for Disease Control and Prevention (CDC). Local transmission of SARS took place in Toronto, Ottawa, San Francisco, Ulaanbaatar, Manila, Singapore, Taiwan, Hanoi and Hong Kong whereas within China it spread to Guangdong, Jilin, Hebei, Hubei, Shaanxi, Jiangsu, Shanxi, Tianjin, and Inner Mongolia.[citation needed]

Hong Kong

9th-floor layout of the Hotel Metropole in Hong Kong, showing where a super-spreading event of severe acute respiratory syndrome (SARS) occurred

The disease spread in Hong Kong from Liu Jianlun, a Guangdong doctor who was treating patients at Sun Yat-Sen Memorial Hospital.[49] He arrived in February and stayed on the ninth floor of the Metropole Hotel in Kowloon, infecting 16 of the hotel visitors. Those visitors traveled to Canada, Singapore, Taiwan, and Vietnam, spreading SARS to those locations.[50]

Another larger cluster of cases in Hong Kong centred on the Amoy Gardens housing estate. Its spread is suspected to have been facilitated by defects in its bathroom drainage system that allowed sewer gases including virus particles to vent into the room. Bathroom fans exhausted the gases and wind carried the contagion to adjacent downwind complexes. Concerned citizens in Hong Kong worried that information was not reaching people quickly enough and created a website called sosick.org, which eventually forced the Hong Kong government to provide information related to SARS in a timely manner.[51] The first cohort of affected people were discharged from hospital on 29 March 2003.[52]

Canada

The first case of SARS in Toronto was identified on 23 February 2003.[53] Beginning with an elderly woman, Kwan Sui-Chu, who had returned from a trip to Hong Kong and died on 5 March, the virus eventually infected 257 individuals in the province of Ontario. The trajectory of this outbreak is typically divided into two phases, the first centring around her son Tse Chi Kwai, who infected other patients at the Scarborough Grace Hospital and died on 13 March. The second major wave of cases was clustered around accidental exposure among patients, visitors, and staff within the North York General Hospital. The WHO officially removed Toronto from its list of infected areas by the end of June 2003.[54]

The official response by the Ontario provincial government and Canadian federal government has been widely criticized in the years following the outbreak. Brian Schwartz, vice-chair of Ontario's SARS Scientific Advisory Committee, described public health officials' preparedness and emergency response at the time of the outbreak as "very, very basic and minimal at best".[55] Critics of the response often cite poorly outlined and enforced protocol for protecting healthcare workers and identifying infected patients as a major contributing factor to the continued spread of the virus. The atmosphere of fear and uncertainty surrounding the outbreak resulted in staffing issues in area hospitals when healthcare workers elected to resign rather than risk exposure to SARS.[citation needed]

Identification of virus

In late February 2003, Italian doctor Carlo Urbani was called into The French Hospital of Hanoi to look at Johnny Chen, an American businessman who had fallen ill with what doctors thought was a bad case of influenza. Urbani realized that Chen's ailment was probably a new and highly contagious disease. He immediately notified the WHO. He also persuaded the Vietnamese Health Ministry to begin isolating patients and screening travelers, thus slowing the early pace of the epidemic.[56] He subsequently contracted the disease himself, and died in March 2003.[57][58]

Malik Peiris and his colleagues became the first to isolate the virus that causes SARS,[59] a novel coronavirus now known as SARS-CoV-1.[60][61] By June 2003, Peiris, together with his long-time collaborators Leo Poon and Guan Yi, has developed a rapid diagnostic test for SARS-CoV-1 using real-time polymerase chain reaction.[62] The CDC and Canada's National Microbiology Laboratory identified the SARS genome in April 2003.[63][64] Scientists at Erasmus University in Rotterdam, the Netherlands demonstrated that the SARS coronavirus fulfilled Koch's postulates thereby suggesting it as the causative agent. In the experiments, macaques infected with the virus developed the same symptoms as human SARS patients.[65]

Origin and animal vectors

In late May 2003, a study was conducted using samples of wild animals sold as food in the local market in Guangdong, China.[66] The study found that "SARS-like" coronaviruses could be isolated from masked palm civets (Paguma sp.). Genomic sequencing determined that these animal viruses were very similar to human SARS viruses, however they were phylogenetically distinct, and so the study concluded that it was unclear whether they were the natural reservoir in the wild. Still, more than 10,000 masked palm civets were killed in Guangdong Province since they were a "potential infectious source."[67] The virus was also later found in raccoon dogs (Nyctereuteus sp.), ferret badgers (Melogale spp.), and domestic cats.[citation needed]

In 2005, two studies identified a number of SARS-like coronaviruses in Chinese bats.[68][69] Phylogenetic analysis of these viruses indicated a high probability that SARS coronavirus originated in bats and spread to humans either directly or through animals held in Chinese markets. The bats did not show any visible signs of disease, but are the likely natural reservoirs of SARS-like coronaviruses. In late 2006, scientists from the Chinese Centre for Disease Control and Prevention of Hong Kong University and the Guangzhou Centre for Disease Control and Prevention established a genetic link between the SARS coronavirus appearing in civets and in the second, 2004 human outbreak, bearing out claims that the disease had jumped across species.[70]

It took 14 years to find the original bat population likely responsible for the SARS pandemic.[71] In December 2017, "after years of searching across China, where the disease first emerged, researchers reported ... that they had found a remote cave in Xiyang Yi Ethnic Township, Yunnan province, which is home to horseshoe bats that carry a strain of a particular virus known as a coronavirus. This strain has all the genetic building blocks of the type that triggered the global outbreak of SARS in 2002."[4] The research was performed by Shi Zhengli, Cui Jie, and co-workers at the Wuhan Institute of Virology, China, and published in PLOS Pathogens. The authors are quoted as stating that "another deadly outbreak of SARS could emerge at any time. The cave where they discovered their strain is only a kilometre from the nearest village."[4][72] The virus was ephemeral and seasonal in bats.[73] In 2019, a similar virus to SARS caused a cluster of infections in Wuhan, eventually leading to the COVID-19 pandemic.

A small number of cats and dogs tested positive for the virus during the outbreak. However, these animals did not transmit the virus to other animals of the same species or to humans.[74][75]

Containment

The World Health Organization declared severe acute respiratory syndrome contained on 5 July 2003. The containment was achieved through successful public health measures.[76] In the following months, four SARS cases were reported in China between December 2003 and January 2004.[77][78]

While SARS-CoV-1 probably persists as a potential zoonotic threat in its original animal reservoir, human-to-human transmission of this virus may be considered eradicated[citation needed] because no human case has been documented since four minor, brief, subsequent outbreaks in 2004.[76]

Laboratory accidents

After containment, there were four laboratory accidents that resulted in infections.

  • One postdoctoral student at the National University of Singapore in Singapore in August 2003[79]
  • A 44-year-old senior scientist at the National Defense University in Taipei in December 2003. He was confirmed to have the SARS virus after working on a SARS study in Taiwan's only BSL-4 lab. The Taiwan CDC later stated the infection occurred due to laboratory misconduct.[80][81]
  • Two researchers at the Chinese Institute of Virology in Beijing, China around April 2004, who spread it to around six other people. The two researchers contracted it 2 weeks apart.[82]

Study of live SARS specimens requires a biosafety level 3 (BSL-3) facility; some studies of inactivated SARS specimens can be done at biosafety level 2 facilities.[83]

Society and culture

Fear of contracting the virus from consuming infected wild animals resulted in public bans and reduced business for meat markets in southern China and Hong Kong.The WHO declared the end of the pandemic on March 24 2004. [84]

See also

  • 2009 swine flu pandemic
  • Aerosol
  • Avian influenza
  • Bat-borne virus
  • Coronavirus disease 2019 – a disease caused by Severe acute respiratory syndrome coronavirus 2
  • Health crisis
  • Health in China
  • Healthy building
  • Indoor air quality
  • List of medical professionals who died during the SARS outbreak
  • Middle East respiratory syndrome – a coronavirus discovered in June 2012 in Saudi Arabia
  • SARS conspiracy theory
  • Sick building syndrome
  • Zhong Nanshan

References

  1. "SARS Revisited". The Virtual Mentor 8 (4): 219–22. April 2006. doi:10.1001/virtualmentor.2006.8.4.jdsc1-0604. PMID 23241619. https://journalofethics.ama-assn.org/article/sars-revisited/2006-04. Retrieved 26 April 2020. "SARS—the acronym for sudden acute respiratory syndrome". 
  2. "SARS (severe acute respiratory syndrome) – NHS". National Health Service. 24 October 2019. https://www.nhs.uk/conditions/sars/. 
  3. Al-Juhaishi, Atheer Majid Rashid; Aziz, Noor D. (12 September 2022). "Safety and Efficacy of antiviral drugs against covid-19 infection: an updated systemic review" (in en). Medical and Pharmaceutical Journal 1 (2): 45–55. doi:10.55940/medphar20226. ISSN 2957-6067. http://pharmacoj.com/ojs/index.php/Medph/article/view/8. Retrieved 27 January 2023. 
  4. 4.0 4.1 4.2 4.3 The locality was referred to be "a cave in Kunming" in earlier sources because the Xiyang Yi Ethnic Township is administratively part of Kunming, though 70 km apart. Xiyang was identified on "Serological Evidence of Bat SARS-Related Coronavirus Infection in Humans, China". Virologica Sinica 33 (1): 104–107. February 2018. doi:10.1007/s12250-018-0012-7. PMID 29500691. PMC 6178078. https://www.ecohealthalliance.org/wp-content/uploads/2018/03/Virologica-Sinica-SARSr.pdf. Retrieved 8 January 2020. 
    • For an earlier interview of the researchers about the locality of the caves, see: 吴跃伟 (8 December 2017). "专访"病毒猎人":在昆明一蝙蝠洞发现SARS病毒所有基因". 澎湃新闻. https://www.thepaper.cn/newsDetail_forward_1897724. 
  5. 5.0 5.1 5.2 "SARS: epidemiology". Respirology 8 (s1): S9-14. November 2003. doi:10.1046/j.1440-1843.2003.00518.x. PMID 15018127. 
  6. "SARS (severe acute respiratory syndrome)". NHS Choices. UK National Health Service. 3 October 2014. http://www.nhs.uk/conditions/SARS/Pages/Introduction.aspx. "Since 2004, there haven't been any known cases of SARS reported anywhere in the world." 
  7. "New coronavirus stable for hours on surfaces" (in EN). NIH.gov. 17 March 2020. https://www.nih.gov/news-events/news-releases/new-coronavirus-stable-hours-surfaces. 
  8. "Myth busters". WHO.int. World Health Organization. 2019. https://www.who.int/emergencies/diseases/novel-coronavirus-2019/advice-for-public/myth-busters. 
  9. "Clinical progression and viral load in a community outbreak of coronavirus-associated SARS pneumonia: a prospective study". Lancet 361 (9371): 1767–1772. May 2003. doi:10.1016/s0140-6736(03)13412-5. PMID 12781535. 
  10. 10.0 10.1 10.2 10.3 10.4 (in en) Consensus document on the epidemiology of severe acute respiratory syndrome (SARS) (none). World Health Organization. 2003. 
  11. 11.0 11.1 11.2 "SARS | Home | Severe Acute Respiratory Syndrome | SARS-CoV Disease | CDC" (in en-us). 22 October 2019. https://www.cdc.gov/sars/index.html. 
  12. "Laboratory diagnosis of SARS". Emerging Infectious Diseases 10 (5): 825–31. May 2004. doi:10.3201/eid1005.030682. PMID 15200815. 
  13. "Chest X-ray imaging of patients with SARS". Chinese Medical Journal 116 (7): 972–5. July 2003. PMID 12890364. 
  14. "Pandemic Preparedness in the Next Administration: Keynote Address by Anthony S. Fauci". YouTube video- see 27 min. 14 February 2017. https://www.youtube.com/watch?v=DNXGAxGJgQI. 
  15. 15.0 15.1 "Scientists were close to a coronavirus vaccine years ago. Then the money dried up". NBC News. 8 March 2020. https://www.nbcnews.com/health/health-care/scientists-were-close-coronavirus-vaccine-years-ago-then-money-dried-n1150091. 
  16. National Center for Biotechnology Information (2009) (in en). WHO-recommended handrub formulations. World Health Organization. https://www.ncbi.nlm.nih.gov/books/NBK144054/. Retrieved 25 March 2020. 
  17. "SARS: Prevention". MayoClinic.com. 6 January 2011. http://www.mayoclinic.com/health/sars/DS00501/DSECTION=prevention. 
  18. "SARS (Severe acute respiratory syndrome)". 19 October 2017. https://www.nhs.uk/conditions/sars/. 
  19. "Effectiveness of Masks and Respirators Against Respiratory Infections in Healthcare Workers: A Systematic Review and Meta-Analysis". Clinical Infectious Diseases 65 (11): 1934–1942. November 2017. doi:10.1093/cid/cix681. PMID 29140516. 
  20. "SARS (severe acute respiratory syndrome)". 19 October 2017. https://www.nhs.uk/conditions/sars/. 
  21. "SARS". https://www.cdc.gov/sars/about/fs-sars.pdf. 
  22. Harrison's Internal Medicine, 17th ed.. Parisianou Publications. pp. 1129–1130. 
  23. "SARS: systematic review of treatment effects". PLOS Medicine 3 (9): e343. September 2006. doi:10.1371/journal.pmed.0030343. PMID 16968120. 
  24. "Hospital management of adults with severe acute respiratory syndrome (SARS) if SARS re-emerges—updated 10 February 2004". The Journal of Infection 49 (1): 1–7. July 2004. doi:10.1016/j.jinf.2004.04.001. PMID 15194240. 
  25. "Vietnam Took Lead In Containing SARS". The Washington Post. 5 May 2003. https://www.washingtonpost.com/archive/politics/2003/05/05/vietnam-took-lead-in-containing-sars/b9b97e91-b325-42f9-98ef-e23da9f257a0/. 
  26. "Immunopathogenesis of coronavirus infections: implications for SARS". Nature Reviews. Immunology 5 (12): 917–27. December 2005. doi:10.1038/nri1732. PMID 16322745. 
  27. "Development of SARS vaccines and therapeutics is still needed". Future Virology 8 (1): 1–2. January 2013. doi:10.2217/fvl.12.126. PMID 32201503. 
  28. "SARS (severe acute respiratory syndrome)" (in en). 19 October 2017. https://www.nhs.uk/conditions/sars/. 
  29. "Development and characterization of a severe acute respiratory syndrome-associated coronavirus-neutralizing human monoclonal antibody that provides effective immunoprophylaxis in mice". The Journal of Infectious Diseases 191 (4): 507–14. February 2005. doi:10.1086/427242. PMID 15655773. 
  30. "Monoclonal antibodies to SARS-associated coronavirus (SARS-CoV): identification of neutralizing and antibodies reactive to S, N, M and E viral proteins". Journal of Virological Methods 128 (1–2): 21–8. September 2005. doi:10.1016/j.jviromet.2005.03.021. PMID 15885812. 
  31. "Therapy with a severe acute respiratory syndrome-associated coronavirus-neutralizing human monoclonal antibody reduces disease severity and viral burden in golden Syrian hamsters". The Journal of Infectious Diseases 193 (5): 685–92. March 2006. doi:10.1086/500143. PMID 16453264. 
  32. "China in SARS vaccine trial". The Scientist Magazine. 20 January 2004. https://www.the-scientist.com/news-analysis/china-in-sars-vaccine-trial-50553/. 
  33. "SARS control and psychological effects of quarantine, Toronto, Canada". Emerging Infectious Diseases 10 (7): 1206–12. July 2004. doi:10.3201/eid1007.030703. PMID 15324539. 
  34. "(Silence of the Post-SARS Patients)" (in zh). Southern People Weekly. 15 July 2009. http://www.infzm.com/content/31372. 
  35. (in en) SARS: Down But Still a Threat. National Academies Press (US). 2004. https://www.ncbi.nlm.nih.gov/books/NBK92458/. Retrieved 6 February 2018. 
  36. "Summary of probable SARS cases with onset of illness from 1 November 2002 to 31 July 2003". World Health Organization. 21 April 2004. https://www.who.int/csr/sars/country/table2004_04_21/en/. 
  37. "衛生署針對報載SARS死亡人數有極大差異乙事提出說明" (in zh-Hant). https://www.cdc.gov.tw/Bulletin/Detail/epPvhTanl4S984qYmcaMXA?typeid=9. 
  38. "The SARS epidemic in mainland China: bringing together all epidemiological data". Tropical Medicine & International Health 14 (s1): 4–13. November 2009. doi:10.1111/j.1365-3156.2008.02145.x. PMID 19508441. 
  39. "WHO targets SARS 'super spreaders'". CNN. 6 April 2003. http://www.cnn.com/2003/HEALTH/04/05/sars.vaccine/index.html. 
  40. "Global Public Health Intelligence Network". Public Health Agency of Canada. 2005. http://www.mt-archive.info/MTS-2005-Mawudeku.pdf. 
  41. "Global surveillance, national surveillance, and SARS". Emerging Infectious Diseases 10 (2): 173–5. February 2004. doi:10.3201/eid1002.031038. PMID 15040346. 
  42. Twenty-first Century Plague: The Story of SARS. Johns Hopkins University Press. 2004. ISBN 9780801881244. https://archive.org/details/twentyfirstcentu00thom. Retrieved 6 November 2019. 
  43. 43.0 43.1 "China bars U.S. trip for doctor who exposed SARS cover-up". The New York Times. 12 July 2007. https://www.nytimes.com/2007/07/13/world/asia/13iht-13doctor.6640426.html. 
  44. 44.0 44.1 "The 2004 Ramon Magsaysay Awardee for Public Service". Ramon Magsaysay Foundation. 31 August 2004. http://www.rmaf.org.ph/Awardees/Citation/CitationJiangYan.htm. 
  45. "SARS death leads to China dispute". CNN. 10 April 2003. http://www.cnn.com/2003/HEALTH/04/10/sars/index.html. 
  46. Huang, Yanzhong (2004), "THE SARS EPIDEMIC AND ITS AFTERMATH IN CHINA: A POLITICAL PERSPECTIVE" (in en), Learning from SARS: Preparing for the Next Disease Outbreak: Workshop Summary (National Academies Press (US)), https://www.ncbi.nlm.nih.gov/books/NBK92479/, retrieved 19 May 2023 
  47. "They risked their lives to stop Sars". BBC News. 16 August 2013. https://www.bbc.com/news/magazine-23710697. 
  48. "Dr. Carlo Urbani of the World Health Organization dies of SARS". 29 March 2003. https://www.who.int/csr/sars/urbani/en/. 
  49. "Inside the hospital where Patient Zero was infected". South China Morning Post. 27 March 2003. http://www.scmp.com/article/410652/inside-hospital-where-patient-zero-was-infected. 
  50. "SARS in Hong Kong". Oxford Medical School Gazette 54 (1). http://www.medsci.ox.ac.uk/gazette/previousissues/54vol1/Part21/. Retrieved 10 November 2008. 
  51. "Hong Kong Residents Share SARS Information Online". https://www.npr.org/templates/story/story.php?storyId=1264207. 
  52. "Severe Acute Respiratory Syndrome (SARS) overview". AZO network. 24 April 2004. http://www.news-medical.net/news/2004/04/24/821.aspx. 
  53. "Update: Severe Acute Respiratory Syndrome – Toronto, Canada, 2003". https://www.cdc.gov/mmwr/preview/mmwrhtml/mm5223a4.htm. 
  54. Learning from SARS: Preparing for the Next Disease Outbreak: Workshop Summary. 2004. 
  55. "Is Canada ready for MERS? 3 lessons learned from SARS". http://www.cbc.ca/news/health/mers-outbreak-3-lessons-canada-learned-from-sars-1.3109550. 
  56. "Summary of probable SARS cases with onset of illness from 1 November 2002 to 31 July 2003". World Health Organization (WHO). 31 December 2003. https://www.who.int/csr/sars/country/table2004_04_21/en/index.html. 
  57. "Dr Carlo Urbani Health expert who identified the Sars outbreak as an epidemic, and was killed by the virus". The Times (London). http://www.timesonline.co.uk/tol/comment/obituaries/article1129034.ece. (Subscription content?)
  58. "Dr. Carlo Urbani of the World Health Organization dies of SARS". WHO. 29 March 2003. https://www.who.int/csr/sars/urbani/en/. 
  59. Peiris, JSM; Lai, ST; Poon, LLM; Guan, Y; Yam, LYC; Lim, W; Nicholls, J; Yee, WKS et al. (2003). "Coronavirus as a possible cause of severe acute respiratory syndrome". The Lancet 361 (9366): 1319–1325. doi:10.1016/S0140-6736(03)13077-2. PMID 12711465. 
  60. Lau, Yu Lung; Peiris, JS Malik (2005). "Pathogenesis of severe acute respiratory syndrome". Current Opinion in Immunology 17 (4): 404–410. doi:10.1016/j.coi.2005.05.009. PMID 15950449. 
  61. Normile, Dennis (2003). "Up Close and Personal With SARS". Science 300 (5621): 886–887. doi:10.1126/science.300.5621.886. PMID 12738826. https://www.science.org/doi/10.1126/science.300.5621.886. Retrieved 27 October 2022. 
  62. Poon, Leo LM; Wong, On Kei; Luk, Winsie; Yuen, Kwok Yung; Peiris, Joseph SM; Guan, Yi (2003). "Rapid Diagnosis of a Coronavirus Associated with Severe Acute Respiratory Syndrome (SARS)". Clinical Chemistry 49 (6): 953–955. doi:10.1373/49.6.953. PMID 12765993. 
  63. "Remembering SARS: A Deadly Puzzle and the Efforts to Solve It". Centers for Disease Control and Prevention. 11 April 2013. https://www.cdc.gov/about/history/sars/feature.htm. 
  64. "Coronavirus never before seen in humans is the cause of SARS". United Nations World Health Organization. 16 April 2006. https://www.who.int/mediacentre/releases/2003/pr31/en/. 
  65. "Aetiology: Koch's postulates fulfilled for SARS virus". Nature 423 (6937): 240. May 2003. doi:10.1038/423240a. PMID 12748632. Bibcode: 2003Natur.423..240F. 
  66. "Isolation and characterization of viruses related to the SARS coronavirus from animals in southern China". Science 302 (5643): 276–8. October 2003. doi:10.1126/science.1087139. PMID 12958366. Bibcode: 2003Sci...302..276G. https://zenodo.org/record/3949022. Retrieved 4 April 2022. 
  67. "Molecular evolution analysis and geographic investigation of severe acute respiratory syndrome coronavirus-like virus in palm civets at an animal market and on farms". J Virol 79 (18): 11892–900. September 2005. doi:10.1128/JVI.79.18.11892-11900.2005. PMID 16140765. 
  68. "Bats are natural reservoirs of SARS-like coronaviruses". Science 310 (5748): 676–9. October 2005. doi:10.1126/science.1118391. PMID 16195424. Bibcode: 2005Sci...310..676L. https://zenodo.org/record/3949088. Retrieved 30 September 2020. 
  69. "Severe acute respiratory syndrome coronavirus-like virus in Chinese horseshoe bats". Proceedings of the National Academy of Sciences of the United States of America 102 (39): 14040–5. September 2005. doi:10.1073/pnas.0506735102. PMID 16169905. Bibcode: 2005PNAS..10214040L. 
  70. "Scientists prove SARS-civet cat link". China Daily. 23 November 2006. http://www.chinadaily.com.cn/china/2006-11/23/content_740511.htm. 
  71. "The 'Occam's Razor Argument' Has Not Shifted in Favor of a Lab Leak". Snopes. 16 July 2021. https://www.snopes.com/news/2021/07/16/lab-leak-evidence/. 
  72. "Bat cave solves mystery of deadly SARS virus — and suggests new outbreak could occur" (in en). Nature 552 (7683): 15–16. 1 December 2017. doi:10.1038/d41586-017-07766-9. PMID 29219990. Bibcode: 2017Natur.552...15C. 
  73. "How China's 'Bat Woman' Hunted Down Viruses from SARS to the New Coronavirus". https://www.scientificamerican.com/article/how-chinas-bat-woman-hunted-down-viruses-from-sars-to-the-new-coronavirus1/. 
  74. "Coronavirus: Italy and Iran close schools and universities – BBC News". Bbc.co.uk. 4 March 2020. https://www.bbc.co.uk/news/live/world-51747782. 
  75. "Expert reaction to reports that the (Previously reported) pet dog in Hong Kong has repeatedly tested 'weak positive' for COVID-19 virus | Science Media Centre". https://www.sciencemediacentre.org/expert-reaction-to-reports-that-the-previously-reported-pet-dog-in-hong-kong-has-repeatedly-tested-weak-positive-for-covid-19-virus/. 
  76. 76.0 76.1 "Emerging Pandemic Diseases: How We Got to COVID-19". Cell 182 (5): 1077–1092. September 2020. doi:10.1016/j.cell.2020.08.021. PMID 32846157. 
  77. "SARS 2013: 10 Years Ago SARS Went Around the World, Where is It Now?". 11 March 2013. http://www.huffingtonpost.ca/2013/03/11/sars-2013_n_2854568.html. 
  78. "SARS outbreak contained worldwide". 5 July 2003. https://www.who.int/mediacentre/news/releases/2003/pr56/en/. 
  79. "Recent Singapore SARS case a laboratory accident". The Lancet. Infectious Diseases 3 (11): 679. November 2003. doi:10.1016/S1473-3099(03)00815-6. PMID 14603886. 
  80. "Taiwanese SARS researcher infected". 17 December 2003. https://www.cidrap.umn.edu/news-perspective/2003/12/taiwanese-sars-researcher-infected. 
  81. "SARS (Severe Acute Respiratory Syndrome)". https://www.cdc.gov.tw/En/Category/ListContent/bg0g_VU_Ysrgkes_KRUDgQ?uaid=u1D6dRGtmP4Q5YA1GmSKIw. 
  82. "SARS escaped Beijing lab twice". https://www.the-scientist.com/news-analysis/sars-escaped-beijing-lab-twice-50137. 
  83. "SARS | Guidance | Lab Biosafety for Handling and Processing Specimens | CDC" (in en-us). https://www.cdc.gov/sars/guidance/f-lab/app5.html. 
  84. "Civet Cats, Fried Grasshoppers, and David Beckham's Pajamas: Unruly Bodies after SARS". American Anthropologist 107 (1): 31–42. March 2005. doi:10.1525/aa.2005.107.1.031. PMID 32313270. PMC 7159593. http://www.escholarship.org/uc/item/6sk8w3xk. Retrieved 22 January 2019. 

Further reading

  • "Severe acute respiratory syndrome complicated by spontaneous pneumothorax". Chest 125 (6): 2345–51. June 2004. doi:10.1378/chest.125.6.2345. PMID 15189961. 
  • "War stories". Science 339 (6125): 1264–8. March 2013. doi:10.1126/science.339.6125.1264. PMID 23493690. 
  • "SARS: chronology of the epidemic". Science 339 (6125): 1266–71. March 2013. doi:10.1126/science.339.6125.1266. PMID 23493691. Bibcode: 2013Sci...339.1266E. 
  • "Understanding the enemy". Science 339 (6125): 1269–73. March 2013. doi:10.1126/science.339.6125.1269. PMID 23493692. Bibcode: 2013Sci...339.1269N. 

External links

  • MedlinePlus: Severe Acute Respiratory Syndrome News, links and information from The United States National Library of Medicine
  • Severe Acute Respiratory Syndrome (SARS) Symptoms and treatment guidelines, travel advisory, and daily outbreak updates, from the World Health Organization (WHO)
  • Severe Acute Respiratory Syndrome (SARS): information on the international outbreak of the illness known as a severe acute respiratory syndrome (SARS), provided by the US Centers for Disease Control
Classification
D
  • ICD-10: U04
  • ICD-9-CM: 079.82
  • MeSH: D045169
  • DiseasesDB: 32835
External resources
  • MedlinePlus: 007192
  • eMedicine: med/3662



Retrieved from "https://handwiki.org/wiki/index.php?title=Medicine:SARS&oldid=3273679"

Categories: [Severe acute respiratory syndrome] [Zoonotic bacterial diseases] [Sarbecovirus]


Download as ZWI file | Last modified: 02/22/2024 14:21:29 | 3 views
☰ Source: https://handwiki.org/wiki/Medicine:SARS | License: CC BY-SA 3.0

ZWI is not signed. [what is this?]