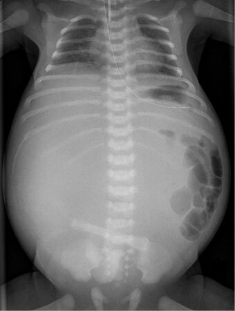
X-ray of a newborn with meconium pseudocyst resulting from bowel perforation. In this case the cause was atresia of the terminal ileum. There is a fine rim of calcification surrounding the big pseudocyst which shifts the other intestinal structures outwards.
Meconium peritonitis refers to rupture of the bowel prior to birth, resulting in fetal stool (meconium) escaping into the surrounding space (peritoneum) leading to inflammation (peritonitis). Despite the bowel rupture, many infants born after meconium peritonitis in utero have normal bowels and have no further issues.
Infants with cystic fibrosis are at increased risk for meconium peritonitis.
Contents
1Signs and symptoms
2Diagnosis
3Treatment
4History
5References
6External links
Signs and symptoms
Diagnosis
Twenty percent of infants born with meconium peritonitis will have vomiting and dilated bowels on x-rays which necessitates surgery[citation needed].
Meconium peritonitis is sometimes diagnosed on prenatal ultrasound[1] where it appears as calcifications[2] within the peritoneum.
Treatment
Adhesiolysis
partial resection of pseudocyst
covering enterostomy.[citation needed]
History
Meconium peritonitis was first described in 1838 by Carl von Rokitansky.[citation needed]
References
↑"Meconium peritonitis in utero: prenatal sonographic findings and clinical implications". J Chin Med Assoc66 (6): 355–9. June 2003. PMID 12889504.
↑Dirkes, K; Crombleholme, TM; Craigo, SD; Latchaw, LA; Jacir, NN; Harris, BH; D'Alton, ME (July 1995). "The natural history of meconium peritonitis diagnosed in utero.". Journal of Pediatric Surgery30 (7): 979–82. doi:10.1016/0022-3468(95)90325-9. PMID 7472957.
External links
Classification
D
ICD-10: P78.0
ICD-9-CM: 777.6
v
t
e
Certain conditions originating in the perinatal period / fetal disease (P, 760–779)
Maternal factors and complications of pregnancy, labour and delivery
placenta:
Placenta praevia
Placental insufficiency
Twin-to-twin transfusion syndrome
chorion/amnion:
Chorioamnionitis
umbilical cord:
Umbilical cord prolapse
Nuchal cord
Single umbilical artery
presentation:
Breech birth
Asynclitism
Shoulder presentation
Length of gestation and fetal growth
Small for gestational age/Large for gestational age
Preterm birth/Postmature birth
Intrauterine growth restriction
Birth trauma
scalp
Cephalhematoma
Chignon
Caput succedaneum
Subgaleal hemorrhage
Brachial plexus lesion
Erb's palsy
Klumpke paralysis
By system
Respiratory
Intrauterine hypoxia
Infant respiratory distress syndrome
Transient tachypnea of the newborn
Meconium aspiration syndrome
pleural disease
Pneumothorax
Pneumomediastinum
Wilson–Mikity syndrome
Bronchopulmonary dysplasia
Cardiovascular
Pneumopericardium
Persistent fetal circulation
Haemorrhagic and hematologic disease
Vitamin K deficiency bleeding
HDN
ABO
Anti-Kell
Rh c
Rh D
Rh E
Hydrops fetalis
Hyperbilirubinemia
Kernicterus
Neonatal jaundice
Velamentous cord insertion
Intraventricular hemorrhage
Germinal matrix hemorrhage
Anemia of prematurity
Digestive
Ileus
Necrotizing enterocolitis
Meconium peritonitis
Integument and thermoregulation
Erythema toxicum
Sclerema neonatorum
Nervous system
Perinatal asphyxia
Periventricular leukomalacia
Musculoskeletal
Gray baby syndrome
muscle tone
Congenital hypertonia
Congenital hypotonia
Infectious
Vertically transmitted infection
Neonatal infection
Congenital rubella syndrome
Neonatal herpes simplex
Mycoplasma hominis infection
Ureaplasma urealyticum infection
Omphalitis
Neonatal sepsis
Group B streptococcal infection
Neonatal conjunctivitis
Other
Miscarriage
Perinatal mortality
Stillbirth
Infant mortality
Neonatal withdrawal
0.00
(0 votes)
Original source: https://en.wikipedia.org/wiki/Meconium peritonitis. Read more