Lymphocytic Colitis

From Handwiki

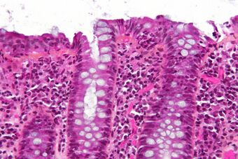
Lymphocytic colitis
Lymphocytic colitis - hps - very high mag.jpg
Micrograph of lymphocytic colitis. HPS stain.

Lymphocytic colitis is a subtype of microscopic colitis, a condition characterized by chronic non-bloody watery diarrhea.[1][2]

Presentation

Causes

No definite cause has been determined. The peak incidence of lymphocytic colitis is in persons over age 50; the disease affects women and men equally. Some reports have implicated long-term usage of NSAIDs, proton pump inhibitors, and selective serotonin reuptake inhibitors, and other drugs. Associations with other autoimmune disorders suggests that overactive immune responses occur.[3]

Diagnosis

The colonoscopy is normal but histology of the mucosal biopsy reveals an accumulation of lymphocytes in the colonic epithelium and connective tissue (lamina propria). Collagenous colitis shares this feature but additionally shows a distinctive thickening of the subepithelial collagen table.[1][2]

Treatment

Budesonide, in colonic release preparations, has been shown in randomized controlled trials to be effective in treating this disorder.[4][5] It helps control the diarrheal symptoms and treatment is usually given for several weeks. Sometimes it is used to prevent frequent relapses.

Over-the-counter antidiarrheal drugs may be effective for some people with lymphocytic colitis. Anti-inflammatory drugs, such as salicylates, mesalazine, and systemic corticosteroids may be prescribed for people who do not respond to other drug treatment. The long-term prognosis for this disease is good with a proportion of people suffering relapses which respond to treatment.[1]

History

Lymphocytic colitis was first described in 1989.[6]

See also

  • Colitis

References

  1. 1.0 1.1 1.2 "Microscopic colitis: Current status, present and future challenges: statements of the European Microscopic Colitis Group.". J Crohns Colitis 6 (9): 932–45. 2012. doi:10.1016/j.crohns.2012.05.014. PMID 22704658. 
  2. 2.0 2.1 "Systematic review: are lymphocytic colitis and collagenous colitis two subtypes of the same disease - microscopic colitis?". Aliment Pharmacol Ther 36 (2): 79–90. 2012. doi:10.1111/j.1365-2036.2012.05166.x. PMID 22670660. 
  3. Park, T; Cave, D; Marshall, C (7 August 2015). "Microscopic colitis: A review of etiology, treatment and refractory disease.". World Journal of Gastroenterology 21 (29): 8804–10. doi:10.3748/wjg.v21.i29.8804. PMID 26269669. 
  4. Chande, N; Al Yatama, N; Bhanji, T; Nguyen, TM; McDonald, JW; MacDonald, JK (13 July 2017). "Interventions for treating lymphocytic colitis.". The Cochrane Database of Systematic Reviews 7 (11): CD006096. doi:10.1002/14651858.CD006096.pub4. PMID 28702956. 
  5. "Collagenous and lymphocytic colitis. evaluation of clinical and histological features, response to treatment, and long-term follow-up.". Am J Gastroenterol 98 (2): 340–7. 2003. PMID 12591052. 
  6. "Lymphocytic ("microscopic") colitis: a comparative histopathologic study with particular reference to collagenous colitis". Hum. Pathol. 20 (1): 18–28. 1989. doi:10.1016/0046-8177(89)90198-6. PMID 2912870. 

External links

Classification
D
  • MeSH: D046730
  • DiseasesDB: 30087
External resources
  • eMedicine: med/1351
  • NIH
  • eMedicine.com



Retrieved from "https://handwiki.org/wiki/index.php?title=Medicine:Lymphocytic_colitis&oldid=389413"

Categories: [Inflammations] [Colitis]


Download as ZWI file | Last modified: 12/12/2022 00:32:12 | 3 views
☰ Source: https://handwiki.org/wiki/Medicine:Lymphocytic_colitis | License: CC BY-SA 3.0

ZWI signed:
  Encycloreader by the Knowledge Standards Foundation (KSF) ✓[what is this?]