Abutment (Dentistry)

From Handwiki

Short description: Connecting element in dentistry

In dentistry, an abutment is a connecting element.[1] This is used in the context of a fixed bridge (the "abutment teeth" referring to the teeth supporting the bridge), partial removable dentures (the "abutment teeth" referring to the teeth supporting the partial) and in implants (used to attach a crown, bridge, or removable denture to the dental implant fixture). The implant fixture is the screw-like component that is osseointegrated.

Bridge abutments

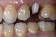
Ceramic Abutment connected to implant
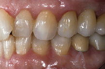
Ceramic crown bonded to abutment

Dental bridge abutments are made such that the path of insertion of the teeth involved is nearly parallel with each other.

Partial denture abutments

Partial denture abutments[2] are unique in that they may incorporate elements such as rest seats, guide planes, and recontouring.

Implant abutments

These are usually called prosthetic implant abutments and are responsible for making the connection between the prosthesis and the implant.[3] These abutments can be made from a variety of materials, such as titanium, surgical stainless steel, gold and zirconia.

The adjacent images show how a ceramic abutment can enhance a ceramic crown by giving it a more lifelike appearance. Ceramic abutments have to be used with care, however, since their compressive strength is nowhere near that of titanium, gold or other noble metals. Most clinicians feel more comfortable using a metal prosthetic abutment in the posterior molar areas, due to the increased masticatory forces present in these areas.

An abutment is not necessarily parallel to the long axis of the implant. It is utilized when the implant is at a different inclination in relation to the proposed prosthesis. Most crowns and fixed partial dentures have a cemented or screw-retained fixation on the abutment.

Three-piece implant

Fracture of abutment screws in three consecutive implants due to severe over-torqueing.

In a three-piece implant the abutment is fixed on the implant with a screw butt joint.[4] This screw needs to be tightened to a predetermined torque with a dental torque wrench, in order to avoid screw loosening during chewing, which can often create a counter-clockwise torque on the implant-abutment interface, encouraging the abutment screw to come loose. This can largely be prevented with proper screw design and torquing of the abutment.

Two-piece implant

In a two-piece implant the abutment is morse tapered or cold welded on the implant. Microbial leakage and colonization between the implant and the abutments can result in inflammatory reactions and crestal bone loss. Morse taper conical abutments showed a cumulative implant survival rate of 98.23%[5] in terms of seal performance, microgap formation, torque maintenance, and abutment stability.[6]

One-piece implant

A one-piece implant incorporates the trans-mucosal abutment as an integral part of the implant.[7] This type of implant is often used with a flapless procedure and immediate loading (the crown is placed a short time after placing the implant).[8]

References

  1. Prasad, DKrishna; Prasad, DAnupama; Bardia, Anshul; Hegde, Chethan (2013). "Questionable abutments: General considerations, changing trends in treatment planning and available options". Journal of Interdisciplinary Dentistry 3 (1): 12. doi:10.4103/2229-5194.120516. ISSN 2229-5194. 
  2. Al-Sinaidi, Aljoharah; Preethanath, Reghunathan S. (2013). "The effect of fixed partial dentures on periodontal status of abutment teeth". King Saud University Journal of Dental Sciences 5 (2): 104–108. doi:10.1016/j.ksujds.2013.11.001. ISSN 2210-8157. 
  3. Cardoso AC, Junior WA, Vasconcellos DK, Souza DC. O passo-a-passo da prótese sobre implantes – Da 2ª etapa cirúrgica à reabilitação oral. São Paulo: Santos; 2007. p. 41-63 e p. 271-182.
  4. Shin, Hyon-Mo; Huh, Jung-Bo; Yun, Mi-Jeong; Jeon, Young-Chan; Chang, Brian Myung; Jeong, Chang-Mo (2014). "Influence of the implant-abutment connection design and diameter on the screw joint stability". The Journal of Advanced Prosthodontics 6 (2): 126–32. doi:10.4047/jap.2014.6.2.126. ISSN 2005-7806. PMID 24843398. 
  5. Mangano, Carlo; Mangano, Francesco; Shibli, Jamil A.; Tettamanti, Lucia; Figliuzzi, Michele; d'Avila, Susana; Sammons, Rachel L.; Piattelli, Adriano (2011). "Prospective Evaluation of 2,549 Morse Taper Connection Implants: 1- to 6-Year Data". Journal of Periodontology 82 (1): 52–61. doi:10.1902/jop.2010.100243. ISSN 0022-3492. PMID 20653436. 
  6. Schmitt, Christian M.; Nogueira-Filho, Getulio; Tenenbaum, Howard C.; Lai, Jim Yuan; Brito, Carlos; Döring, Hendrik; Nonhoff, Jörg (2014). "Performance of conical abutment (Morse Taper) connection implants: A systematic review". Journal of Biomedical Materials Research Part A 102 (2): 552–574. doi:10.1002/jbm.a.34709. ISSN 1549-3296. PMID 23533139. 
  7. "Survival rate of one-piece dental implants placed with a flapless or flap protocol--a randomized, controlled study: 12-month results". Int J Periodontics Restorative Dent 31 (6): 591–601. 2011. PMID 22140661. 
  8. Sato, Junichi; Watanabe, Goro; Ando, Masami; Shimoo, Yoshiaki; Shizukuda, Kazushige; Kimura, Tomonori; Kobayashi, Mariko (2014). "A prospective multicenter study of immediate function of 1-piece implants: A 3-year follow-up report". The Journal of Prosthetic Dentistry 112 (4): 784–791. doi:10.1016/j.prosdent.2014.03.001. ISSN 0022-3913. PMID 24882598. 

External links

  • Dental Implant Options



Retrieved from "https://handwiki.org/wiki/index.php?title=Medicine:Abutment_(dentistry)&oldid=3272112"

Categories: [Dentistry]


Download as ZWI file | Last modified: 08/28/2024 05:30:56 | 17 views
☰ Source: https://handwiki.org/wiki/Medicine:Abutment_(dentistry) | License: CC BY-SA 3.0

ZWI is not signed. [what is this?]