Short description: Viral respiratory disease
| Severe acute respiratory syndrome |
|---|
 |
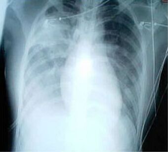
| A chest X-ray showing increased opacity in both lungs, indicative of pneumonia, in a patient with SARS |
| Pronunciation | |
|---|
| Specialty | Infectious disease |
|---|
Severe acute respiratory syndrome (SARS) is a viral respiratory disease of zoonotic origin caused by the SARS coronavirus (SARS-CoV). Between November 2002 and July 2003, an outbreak of SARS in southern China caused an eventual 8,098 cases, resulting in 774 deaths reported in 37 countries,[1] with the majority of cases in China and Hong Kong[2] (9.6% fatality rate) according to the World Health Organization (WHO).[2] No cases of SARS have been reported worldwide since 2004.[3] In late 2017, Chinese scientists traced the virus through the intermediary of civets to cave-dwelling horseshoe bats in Yunnan province.[4]
Signs and symptoms
Initial symptoms are flu-like and may include fever, muscle pain, lethargy symptoms, cough, sore throat, and other nonspecific symptoms. The only symptom common to all patients appears to be a fever above 38 °C (100 °F). SARS may eventually lead to shortness of breath and pneumonia; either direct viral pneumonia or secondary bacterial pneumonia.[citation needed]
The average incubation period for SARS is 4–6 days, although rarely it could be as short as 1 day or as long as 14 days.[5]
Cause
The primary route of transmission for SARS is contact of the mucous membranes with respiratory droplets or fomites. Whilst diarrhoea is common in people with SARS, the fecal-oral route does not appear to be a common mode of transmission.[5] The basic reproduction number of SARS, R0, ranges from 2 to 4 depending on different analyses. Control measures introduced in April 2003 reduced this down to 0.4.[5]
Diagnosis
SARS may be suspected in a patient who has:
- Any of the symptoms, including a fever of 38 °C (100 °F) or higher, and
- Either a history of:
- Contact (sexual or casual) with someone with a diagnosis of SARS within the last 10 days or
- Travel to any of the regions identified by the World Health Organization (WHO) as areas with recent local transmission of SARS.
For a case to be considered probable, a chest X-ray must be positive for atypical pneumonia or respiratory distress syndrome.
The WHO has added the category of "laboratory confirmed SARS" for patients who would otherwise be considered "probable" but who have not yet had a positive chest X-ray changes, but have tested positive for SARS based on one of the approved tests (ELISA, immunofluorescence or PCR).[6]
The appearance of SARS in chest X-rays is not always uniform but generally appears as an abnormality with patchy infiltrates.[7]
Prevention
There is no vaccine for SARS. Isolation and quarantine remain the most effective means to prevent the spread of SARS. Other preventative measures include:
- Hand-washing
- Disinfection of surfaces for fomites
- Wearing a surgical mask
- Avoiding contact with bodily fluids
- Washing the personal items of someone with SARS in hot, soapy water (eating utensils, dishes, bedding, etc.)[8]
- Keeping children with symptoms home from school
- Simple hygiene measures
- Isolating oneself as much as possible to minimise the chances of transmission of the virus
Many public health interventions were made to try to control the spread of the disease, which is mainly spread through respiratory droplets in the air. These interventions included earlier detection of the disease; isolation of people who are infected; droplet and contact precautions; and the use of personal protective equipment (PPE), including masks and isolation gowns.[9] A screening process was also put in place at airports to monitor air travel to and from affected countries.[10] Although no cases have been identified since 2004, the CDC is still working to make federal and local rapid response guidelines and recommendations in the event of a reappearance of the virus.[11]
SARS is most infectious in severely ill patients, which usually occurs during the second week of illness. This delayed infectious period meant that quarantine was highly effective; people who were isolated before day five of their illness rarely transmitted the disease to others.[5]
Treatment
Award to the staff of the Hôpital Français de Hanoï for their dedication during the SARS crisis
Antibiotics are ineffective, as SARS is a viral disease. Treatment of SARS is mainly supportive with antipyretics, supplemental oxygen and mechanical ventilation as needed. Antiviral medications are used as well as high doses of steroids to reduce swelling in the lungs.
People with SARS must be isolated, preferably in negative pressure rooms, with complete barrier nursing precautions taken for any necessary contact with these patients, to limit the chances of medical personnel getting infected with SARS.
Some of the more serious damage caused by SARS may be due to the body's own immune system reacting in what is known as cytokine storm.[12]
As of 2017, there is no cure or protective vaccine for SARS that has been shown to be both safe and effective in humans.[13] The identification and development of novel vaccines and medicines to treat SARS is a priority for governments and public health agencies around the world. MassBiologics, a non-profit organization engaged in the discovery, development and manufacturing of biologic therapies, is cooperating with researchers at NIH and the CDC in developing a monoclonal antibody therapy that demonstrated efficacy in animal models.[14][15][16]
Prognosis
Several consequent reports from China on some recovered SARS patients showed severe long-time sequelae. The most typical diseases include, among other things, pulmonary fibrosis, osteoporosis, and femoral necrosis, which have led to the complete loss of working ability or even self-care ability of these cases. As a result of quarantine procedures, some of the post-SARS patients have been documented suffering from posttraumatic stress disorder (PTSD) and major depressive disorder.[17][18]
Epidemiology
SARS was a relatively rare disease; at the end of the epidemic in June 2003, the incidence was 8422 cases with a case-fatality rate of 11%.[9]
The case-fatality ratio ranges from 0% to 50% depending on the age group of the patient.[5] Patients under 24 were least likely to die; those 65 and older were most likely to die.[19]
History
| Probable cases of SARS by country and region, 1 November 2002 – 31 July 2003.
|
| Country or Region |
Cases |
Deaths |
SARS cases dead due to other causes |
Fatality (%)
|
| Canada |
251 |
44 |
0 |
18
|
| China, People's Republic of * |
5,328 |
349 |
19 |
6.6
|
| Hong Kong |
1,755 |
299 |
5 |
17
|
| Macau |
1 |
0 |
0 |
0
|
| Taiwan ** |
346 |
37 |
36 |
11
|
| Singapore |
238 |
33 |
0 |
14
|
| Vietnam |
63 |
5 |
0 |
8
|
| United States |
27 |
0 |
0 |
0
|
| Philippines |
14 |
2 |
0 |
14
|
| Mongolia |
9 |
0 |
0 |
0
|
| Kuwait |
1 |
0 |
0 |
0
|
| Republic of Ireland |
1 |
0 |
0 |
0
|
| Romania |
1 |
0 |
0 |
0
|
| Russian Federation |
1 |
0 |
0 |
0
|
| Spain |
1 |
0 |
0 |
0
|
| Switzerland |
1 |
0 |
0 |
0
|
| South Korea |
4 |
0 |
0 |
0
|
| Total |
8273 |
775 |
60 |
9.6
|
| (*) Figures for the People's Republic of China exclude Hong Kong and Macau, which are reported separately by the WHO.
|
| (**) Since 11 July 2003, 325 Taiwanese cases have been 'discarded'. Laboratory information was insufficient or incomplete for 135 discarded cases; 101 of these patients died.
|
| Source:World Health Organization.[20]
|
Outbreak in South China
The viral outbreak can be genetically traced to a colony of cave-dwelling horseshoe bats in China's Yunnan province.[21]
The SARS epidemic appears to have started in Guangdong Province, China in November 2002 where the first case was reported that same month. The patient, a farmer from Shunde, Foshan, Guangdong, was treated in the First People's Hospital of Foshan. The patient died soon after, and no definite diagnosis was made on his cause of death. Despite taking some action to control it, Chinese government officials did not inform the World Health Organization of the outbreak until February 2003. This lack of openness caused delays in efforts to control the epidemic, resulting in criticism of the People's Republic of China from the international community. China has since officially apologized for early slowness in dealing with the SARS epidemic.[22]
The outbreak first appeared on 27 November 2002, when Canada's Global Public Health Intelligence Network (GPHIN), an electronic warning system that is part of the World Health Organization's Global Outbreak Alert and Response Network (GOARN), picked up reports of a "flu outbreak" in China through Internet media monitoring and analysis and sent them to the WHO. While GPHIN's capability had recently been upgraded to enable Arabic, Chinese, English, French, Russian, and Spanish translation, the system was limited to English or French in presenting this information. Thus, while the first reports of an unusual outbreak were in Chinese, an English report was not generated until 21 January 2003.[23][24] The first super-spreader, Zhou Zuofen (named incorrectly as Zhou Zoufeng in the citation) was admitted to the Sun Yat-sen Memorial Hospital in Guangzhou on January 31, which soon spread the disease to nearby hospitals.[25]
Subsequent to this, the WHO requested information from Chinese authorities on 5 and 11 December. Despite the successes of the network in previous outbreak of diseases, it did not receive intelligence until the media reports from China several months after the outbreak of SARS. Along with the second alert, WHO released the name, definition, as well as an activation of a coordinated global outbreak response network that brought sensitive attention and containment procedures.[26] By the time the WHO took action, over 500 deaths and an additional 2,000 cases had already occurred worldwide.[24]
In early April, after Jiang Yanyong pushed to report the danger to China,[27][28] there appeared to be a change in official policy when SARS began to receive a much greater prominence in the official media. Some have directly attributed this to the death of American James Earl Salisbury.[29] It was around this same time that Jiang Yanyong made accusations regarding the undercounting of cases in Beijing military hospitals.[27][28] After intense pressure, Chinese officials allowed international officials to investigate the situation there. This revealed problems plaguing the aging mainland Chinese healthcare system, including increasing decentralization, red tape, and inadequate communication.
Many healthcare workers in the affected nations risked and lost their lives by treating patients and trying to contain the infection before ways to prevent infection were known.[30]
Spread to other countries and regions
Areas of the World Affected by SARS in 2002–2003
The epidemic reached the public spotlight in February 2003, when an American businessman traveling from China, Johnny Chen, became afflicted with pneumonia-like symptoms while on a flight to Singapore. The plane stopped in Hanoi, Vietnam, where the victim died in Hanoi French Hospital. Several of the medical staff who treated him soon developed the same disease despite basic hospital procedures. Italian doctor Carlo Urbani identified the threat and communicated it to WHO and the Vietnamese government; he later succumbed to the disease.[31]
The severity of the symptoms and the infection among hospital staff alarmed global health authorities, who were fearful of another emergent pneumonia epidemic. On 12 March 2003, the WHO issued a global alert, followed by a health alert by the United States Centers for Disease Control and Prevention (CDC). Local transmission of SARS took place in Toronto, Ottawa, San Francisco , Ulaanbaatar, Manila, Singapore, Taiwan, Hanoi and Hong Kong whereas within China it spread to Guangdong, Jilin, Hebei, Hubei, Shaanxi, Jiangsu, Shanxi, Tianjin, and Inner Mongolia.[citation needed]
Hong Kong
9th floor layout of the Hotel Metropole in Hong Kong, showing where a super-spreading event of severe acute respiratory syndrome (SARS) occurred
The disease spread in Hong Kong from Liu Jianlun, a Guangdong doctor who was treating patients at Sun Yat-Sen Memorial Hospital.[32] He arrived in February and stayed on the ninth floor of the Metropole Hotel in Kowloon, infecting 16 of the hotel visitors. Those visitors traveled to Canada, Singapore, Taiwan (Republic of China), and Vietnam, spreading SARS to those locations.[33]
Another larger cluster of cases in Hong Kong centred on the Amoy Gardens housing estate. Its spread is suspected to have been facilitated by defects in its drainage system. Concerned citizens in Hong Kong worried that information was not reaching people quickly enough and created a website called sosick.org, which eventually forced the Hong Kong government to provide information related to SARS in a timely manner.[34] The first cohort of affected people were discharged from hospital on 29 March 2003.[35]
Toronto
The first case of SARS in Toronto, Canada was identified on February 23, 2003.[36] Beginning with an elderly woman, Kwan Sui-Chu, returning from a trip to Hong Kong, the virus killed her on March 5 and eventually infected 257 individuals in the province of Ontario. The trajectory of this outbreak is typically divided into two phases, the first centring around her son Tse Chi Kwai, who infected other patients at the Scarborough Grace Hospital and died on March 13. The second major wave of cases was clustered around accidental exposure among patients, visitors, and staff within the North York General Hospital. The WHO officially removed Toronto from its list of infected areas by the end of June, 2003.[37]
The official response by the Ontario provincial government and Canadian federal government has been widely criticized in the years following the outbreak. Brian Schwartz, vice-chair of Ontario's SARS Scientific Advisory Committee, described public health officials’ preparedness and emergency response at the time of the outbreak as “very, very basic and minimal at best”.[38] Critics of the response often cite poorly outlined and enforced protocol for protecting healthcare workers and identifying infected patients as a major contributing factor to the continued spread of the virus. The atmosphere of fear and uncertainty surrounding the outbreak resulted in staffing issues in area hospitals when healthcare workers elected to resign rather than risk exposure to SARS.[citation needed]
Identification of virus
The CDC and Canada's National Microbiology Laboratory identified the SARS genome in April 2003.[39][40] Scientists at Erasmus University in Rotterdam, the Netherlands demonstrated that the SARS coronavirus fulfilled Koch's postulates thereby confirming it as the causative agent. In the experiments, macaques infected with the virus developed the same symptoms as human SARS victims.[41]
In late May 2003, studies were conducted using samples of wild animals sold as food in the local market in Guangdong, China. The results found that the SARS coronavirus could be isolated from masked palm civets (Paguma sp.), even if the animals did not show clinical signs of the virus. The preliminary conclusion was the SARS virus crossed the xenographic barrier from asian palm civet to humans, and more than 10,000 masked palm civets were killed in Guangdong Province. The virus was also later found in raccoon dogs (Nyctereuteus sp.), ferret badgers (Melogale spp.), and domestic cats. In 2005, two studies identified a number of SARS-like coronaviruses in Chinese bats.[42][43]
Phylogenetic analysis of these viruses indicated a high probability that SARS coronavirus originated in bats and spread to humans either directly or through animals held in Chinese markets. The bats did not show any visible signs of disease, but are the likely natural reservoirs of SARS-like coronaviruses. In late 2006, scientists from the Chinese Centre for Disease Control and Prevention of Hong Kong University and the Guangzhou Centre for Disease Control and Prevention established a genetic link between the SARS coronavirus appearing in civets and humans, bearing out claims that the disease had jumped across species.[44]
In December 2017, "after years of searching across China, where the disease first emerged, researchers reported ... that they had found a remote cave in Yunnan province, which is home to horseshoe bats that carry a strain of a particular virus known as a coronavirus. This strain has all the genetic building blocks of the type that triggered the global outbreak of SARS in 2002." The research was "published in the journal Public Library of Science Pathogens" and "was led by Shi Zheng-Li and Cui Jie of the Wuhan Institute of Virology, China... In their paper, the Chinese team warn that another deadly outbreak of SARS could emerge at any time. As they point out, the cave where they discovered their strain is only a kilometre from the nearest village."[4]
Containment
The World Health Organization declared severe acute respiratory syndrome contained on 9 July 2003. In the following years, four SARS cases were reported in China between December 2003 and January 2004. There were also three separate laboratory accidents that resulted in infection. In one of these cases, an ill lab worker spread the virus to several other people.[45][46] Study of live SARS specimens requires a BSL-3 facility; some studies of inactivated SARS specimens can be done at BSL-2 facilities.[47]
Society and culture
Fear of contracting the virus from consuming infected wild animals resulted in public bans and reduced business for meat markets throughout southern China and Hong Kong.[48] In China, Cantonese foodways, which often incorporate a wide range of meat sources, were frequently indicted as an important contributing factor to the origins of the SARS outbreak.[citation needed]
Toronto's Asian minority population faced increased discrimination over the course of the city's outbreak. Local advocacy groups reported Asians being passed over by real-estate agents and taxi drivers and shunned on public transportation.[49] In Boston and New York City, rumors and April Fools pranks gone awry resulted in an atmosphere of fear and substantial economic loss in the cities’ Chinatowns.[citation needed]
See also
- 2009 flu pandemic
- Bird flu
- MERS-CoV – Coronavirus discovered in June 2012 in Saudi Arabia
- Health crisis
- Jiang Yanyong
- Zhong Nanshan
- Carlo Urbani
- Public health in the People's Republic of China
- SARS conspiracy theory
- Super-spreader
- Progress of the SARS outbreak
- Bat-borne virus
References
- ↑ Smith, Richard D (2006). "Responding to global infectious disease outbreaks: Lessons from SARS on the role of risk perception, communication and management". Social Science & Medicine 63 (12): 3113–23. doi:10.1016/j.socscimed.2006.08.004. PMID 16978751.
- ↑ 2.0 2.1 "Summary of probable SARS cases with onset of illness from 1 November 2002 to 31 July 2003". World Health Organization (WHO). http://www.who.int/csr/sars/country/table2004_04_21/en/index.html. Retrieved 2008-10-31.
- ↑ "SARS (severe acute respiratory syndrome)". United Kingdom: National Health Service. 2014-10-03. http://www.nhs.uk/conditions/SARS/Pages/Introduction.aspx. Retrieved 2016-03-08. "Since 2004, there haven't been any known cases of SARS reported anywhere in the world."
- ↑ 4.0 4.1 McKie, Robin (2017-12-10). "Scientists trace 2002 Sars virus to colony of cave-dwelling bats in China" (in en-GB). The Guardian. ISSN 0029-7712. https://www.theguardian.com/world/2017/dec/10/sars-virus-bats-china-severe-acute-respiratory-syndrome.
- ↑ 5.0 5.1 5.2 5.3 5.4 World Health Organization (2003) (in en). Consensus document on the epidemiology of severe acute respiratory syndrome (SARS).
- ↑ Chan, Paul K. S; To, Wing-Kin; Ng, King-Cheung; Lam, Rebecca K. Y; Ng, Tak-Keung; Chan, Rickjason C. W; Wu, Alan; Yu, Wai-Cho et al. (2004). "Laboratory Diagnosis of SARS". Emerging Infectious Diseases 10 (5): 825–31. doi:10.3201/eid1005.030682. PMID 15200815.
- ↑ Lu, P; Zhou, B; Chen, X; Yuan, M; Gong, X; Yang, G; Liu, J; Yuan, B et al. (2003). "Chest X-ray imaging of patients with SARS". Chinese Medical Journal 116 (7): 972–5. PMID 12890364.
- ↑ "SARS: Prevention". MayoClinic.com. 2011-01-06. http://www.mayoclinic.com/health/sars/DS00501/DSECTION=prevention. Retrieved 2013-07-14.
- ↑ 9.0 9.1 Chan-Yeung, M; Xu, RH (November 2003). "SARS: epidemiology.". Respirology (Carlton, Vic.) 8 Suppl: S9–14. doi:10.1046/j.1440-1843.2003.00518.x. PMID 15018127.
- ↑ "SARS (severe acute respiratory syndrome)". 2017-10-19. https://www.nhs.uk/conditions/sars/. Retrieved 1 December 2017.
- ↑ "SARS". https://www.cdc.gov/sars/about/fs-sars.pdf. Retrieved 1 December 2017.
- ↑ Perlman, Stanley; Dandekar, Ajai A (2005). "Immunopathogenesis of coronavirus infections: Implications for SARS". Nature Reviews Immunology 5 (12): 917–27. doi:10.1038/nri1732. PMID 16322745.
- ↑ Jiang, Shibo; Lu, Lu; Du, Lanying (2013). "Development of SARS vaccines and therapeutics is still needed". Future Virology 8 (1): 1–2. doi:10.2217/fvl.12.126.
- ↑ Greenough, Thomas C; Babcock, Gregory J; Roberts, Anjeanette; Hernandez, Hector J; Thomas, Jr, William D; Coccia, Jennifer A; Graziano, Robert F; Srinivasan, Mohan et al. (2005). "Development and Characterization of a Severe Acute Respiratory Syndrome–Associated Coronavirus–Neutralizing Human Monoclonal Antibody That Provides Effective Immunoprophylaxis in Mice". The Journal of Infectious Diseases 191 (4): 507–14. doi:10.1086/427242. PMID 15655773.
- ↑ Tripp, Ralph A; Haynes, Lia M; Moore, Deborah; Anderson, Barbara; Tamin, Azaibi; Harcourt, Brian H; Jones, Les P; Yilla, Mamadi et al. (2005). "Monoclonal antibodies to SARS-associated coronavirus (SARS-CoV): Identification of neutralizing and antibodies reactive to S, N, M and E viral proteins". Journal of Virological Methods 128 (1–2): 21–8. doi:10.1016/j.jviromet.2005.03.021. PMID 15885812.
- ↑ Roberts, Anjeanette; Thomas, William D; Guarner, Jeannette; Lamirande, Elaine W; Babcock, Gregory J; Greenough, Thomas C; Vogel, Leatrice; Hayes, Norman et al. (2006). "Therapy with a Severe Acute Respiratory Syndrome–Associated Coronavirus–Neutralizing Human Monoclonal Antibody Reduces Disease Severity and Viral Burden in Golden Syrian Hamsters". The Journal of Infectious Diseases 193 (5): 685–92. doi:10.1086/500143. PMID 16453264.
- ↑ Hawryluck, Laura; Gold, Wayne L; Robinson, Susan; Pogorski, Stephen; Galea, Sandro; Styra, Rima (2004). "SARS Control and Psychological Effects of Quarantine, Toronto, Canada". Emerging Infectious Diseases 10 (7): 1206–12. doi:10.3201/eid1007.030703. PMID 15324539.
- ↑ Ma Jinyu (2009-07-15). "(Silence of the Post-SARS Patients)" (in Chinese). Southern People Weekly. http://www.infzm.com/content/31372. Retrieved 2013-08-03.
- ↑ Monaghan, Karen J. (2004) (in en). SARS: DOWN BUT STILL A THREAT. National Academies Press (US). https://www.ncbi.nlm.nih.gov/books/NBK92458/.
- ↑ "Epidemic and Pandemic Alert and Response (EPR)". World Health Organization. http://www.who.int/csr/sars/country/en/index.html.
- ↑ McKie, Robin (10 December 2017), "Scientists trace 2002 Sars virus to colony of cave-dwelling bats in China", The Guardian, https://www.theguardian.com/world/2017/dec/10/sars-virus-bats-china-severe-acute-respiratory-syndrome
- ↑ "WHO targets SARS 'super spreaders'". CNN. 6 April 2003. Archived from the original on 7 March 2006. https://web.archive.org/web/20060307182402/http://www.cnn.com/2003/HEALTH/04/05/sars.vaccine/index.html. Retrieved 5 July 2006.
- ↑ Mawudeku, Abla; Blench, Michael (2005). "Global Public Health Intelligence Network". Public Health Agency of Canada. http://www.mt-archive.info/MTS-2005-Mawudeku.pdf.
- ↑ 24.0 24.1 Rodier, G (10 February 2004). "Global Surveillance, National Surveillance, and SARS". Emerging Infectious Diseases 10 (2): 173–5. doi:10.3201/eid1002.031038. PMID 15040346.
- ↑ Abraham, Thomas (2004). Twenty-first Century Plague: The Story of SARS. https://archive.org/details/twentyfirstcentu00thom.
- ↑ Heymann, 2003[full citation needed]
- ↑ 27.0 27.1 Joseph Kahn (12 July 2007). "China bars U.S. trip for doctor who exposed SARS cover-up". The New York Times. https://www.nytimes.com/2007/07/13/world/asia/13iht-13doctor.6640426.html. Retrieved 2013-08-03.
- ↑ 28.0 28.1 "The 2004 Ramon Magsaysay Awardee for Public Service". Ramon Magsaysay Foundation. 31 August 2004. http://www.rmaf.org.ph/Awardees/Citation/CitationJiangYan.htm. Retrieved 2013-05-03.
- ↑ "SARS death leads to China dispute". CNN. 10 April 2003. Archived from the original on 28 November 2007. https://web.archive.org/web/20071128060248/http://www.cnn.com/2003/HEALTH/04/10/sars/index.html. Retrieved 3 April 2007.
- ↑ Sars: The people who risked their lives to stop the virus
- ↑ "WHO | Dr. Carlo Urbani of the World Health Organization dies of SARS". http://www.who.int/csr/sars/urbani/en/. Retrieved 29 November 2017.
- ↑ "Inside the hospital where Patient Zero was infected". South China Morning Post. 2003-03-27. http://www.scmp.com/article/410652/inside-hospital-where-patient-zero-was-infected.
- ↑ Sr. Irene Martineau. Oxford Medical School Gazette. Archived from the original on 10 October 2008. https://web.archive.org/web/20081010223237/http://www.medsci.ox.ac.uk/gazette/previousissues/54vol1/Part21/. Retrieved 2008-11-10.
- ↑ "Hong Kong Residents Share SARS Information Online". https://www.npr.org/templates/story/story.php?storyId=1264207.
- ↑ "Severe Acute Respiratory Syndrome (SARS) overview". AZO network. April 24, 2004. http://www.news-medical.net/news/2004/04/24/821.aspx.
- ↑ "Update: Severe Acute Respiratory Syndrome --- Toronto, Canada, 2003". https://www.cdc.gov/mmwr/preview/mmwrhtml/mm5223a4.htm.
- ↑ Low, Donald (2004). Learning from SARS: Preparing for the Next Disease Outbreak: Workshop Summary.
- ↑ "Is Canada ready for MERS? 3 lessons learned from SARS". http://www.cbc.ca/news/health/mers-outbreak-3-lessons-canada-learned-from-sars-1.3109550.
- ↑ "Remembering SARS: A Deadly Puzzle and the Efforts to Solve It". Centers for Disease Control and Prevention. 11 April 2013. https://www.cdc.gov/about/history/sars/feature.htm. Retrieved 3 August 2013.
- ↑ "Coronavirus never before seen in humans is the cause of SARS". United Nations World Health Organization. 16 April 2006. http://www.who.int/mediacentre/releases/2003/pr31/en/. Retrieved 5 July 2006.
- ↑ Fouchier, Ron A. M; Kuiken, Thijs; Schutten, Martin; Van Amerongen, Geert; Van Doornum, Gerard J. J; Van Den Hoogen, Bernadette G; Peiris, Malik; Lim, Wilina et al. (2003). "Aetiology: Koch's postulates fulfilled for SARS virus". Nature 423 (6937): 240. doi:10.1038/423240a. PMID 12748632. Bibcode: 2003Natur.423..240F.
- ↑ Li, W; Shi, Zhengli; Yu, Meng; Ren, Wuze; Smith, Craig; Epstein, Jonathan H; Wang, Hanzhong; Crameri, Gary et al. (2005). "Bats Are Natural Reservoirs of SARS-Like Coronaviruses". Science 310 (5748): 676–9. doi:10.1126/science.1118391. PMID 16195424. Bibcode: 2005Sci...310..676L. https://semanticscholar.org/paper/f270438ddc983d3b61976fb24e7833e7cadd1ad8.
- ↑ Lau, S. K. P; Woo, P. C. Y; Li, K. S. M; Huang, Y; Tsoi, H.-W; Wong, B. H. L; Wong, S. S. Y; Leung, S.-Y et al. (2005). "Severe acute respiratory syndrome coronavirus-like virus in Chinese horseshoe bats". Proceedings of the National Academy of Sciences 102 (39): 14040–5. doi:10.1073/pnas.0506735102. PMID 16169905. Bibcode: 2005PNAS..10214040L.
- ↑ "Scientists prove SARS-civet cat link". China Daily. 23 November 2006. http://www.chinadaily.com.cn/china/2006-11/23/content_740511.htm.
- ↑ "SARS 2013: 10 Years Ago SARS Went Around the World, Where is It Now?". 2013-03-11. http://www.huffingtonpost.ca/2013/03/11/sars-2013_n_2854568.html.
- ↑ "WHO | SARS outbreak contained worldwide". http://www.who.int/mediacentre/news/releases/2003/pr56/en/. Retrieved 2015-10-16.
- ↑ "SARS | Guidance | Lab Biosafety for Handling and Processing Specimens | CDC" (in en-us). https://www.cdc.gov/sars/guidance/f-lab/app5.html.
- ↑ Zhan, MEI (2005). "Civet Cats, Fried Grasshoppers, and David Beckham's Pajamas: Unruly Bodies after SARS". American Anthropologist 107 (1): 31–42. doi:10.1525/aa.2005.107.1.031. http://www.escholarship.org/uc/item/6sk8w3xk.
- ↑ Schram, J (2003). "How popular perceptions of risk from SARS are fermenting discrimination". BMJ 326 (7395): 939. doi:10.1136/bmj.326.7395.939.
Further reading
- Sihoe, Alan D.L; Wong, Randolph H.L; Lee, Alex T.H; Lau, Lee Sung; Leung, Natalie Y.Y; Law, Kin Ip; Yim, Anthony P.C (2004). "Severe Acute Respiratory Syndrome Complicated by Spontaneous Pneumothorax". Chest 125 (6): 2345–51. doi:10.1378/chest.125.6.2345. PMID 15189961.
- Enserink, M (2013). "War Stories". Science 339 (6125): 1264–8. doi:10.1126/science.339.6125.1264. PMID 23493690.
- Enserink, M (2013). "SARS: Chronology of the Epidemic". Science 339 (6125): 1266–71. doi:10.1126/science.339.6125.1266. PMID 23493691. Bibcode: 2013Sci...339.1266E.
- Normile, D (2013). "Understanding the Enemy". Science 339 (6125): 1269–73. doi:10.1126/science.339.6125.1269. PMID 23493692. Bibcode: 2013Sci...339.1269N.
External links
| Classification | D - ICD-10: U04
- ICD-9-CM: 079.82
- MeSH: D045169
- DiseasesDB: 32835
|
|---|
| External resources | - MedlinePlus: 007192
- eMedicine: med/3662
|
|---|
- Vaccine Research Center Information regarding preventative vaccine research studies
- MedlinePlus: Severe Acute Respiratory Syndrome News, links and information from The United States National Library of Medicine.
- Severe Acute Respiratory Syndrome (SARS) Symptoms and treatment guidelines, travel advisory, and daily outbreak updates. From the World Health Organization (WHO).
- Severe Acute Respiratory Syndrome (SARS) Information on the international outbreak of the illness known as severe acute respiratory syndrome (SARS). Provided by the US Centers for Disease Control
- NIOSH Topic Area: Severe Acute Respiratory Syndrome (SARS)
- NIOSH Publication: Understanding Respiratory Protection Against SARS
Diseases of the respiratory system (J, 460–519) |
|---|
Upper RT (including URTIs, common cold) | | Head |
- sinuses
- Sinusitis
- nose
- Rhinitis
- Vasomotor rhinitis
- Atrophic rhinitis
- Hay fever
- Nasal polyp
- Rhinorrhea
- nasal septum
- Nasal septum deviation
- Nasal septum perforation
- Nasal septal hematoma
- tonsil
- Tonsillitis
- Adenoid hypertrophy
- Peritonsillar abscess
|
|---|
| Neck |
- pharynx
- Pharyngitis
- Strep throat
- Laryngopharyngeal reflux (LPR)
- Retropharyngeal abscess
- larynx
- Croup
- Laryngomalacia
- Laryngeal cyst
- Laryngitis
- Laryngopharyngeal reflux (LPR)
- Laryngospasm
- vocal cords
- Laryngopharyngeal reflux (LPR)
- Vocal fold nodule
- Vocal fold paresis
- Vocal cord dysfunction
- epiglottis
- Epiglottitis
- trachea
- Tracheitis
- Laryngotracheal stenosis
|
|---|
|
|---|
Lower RT/lung disease (including LRTIs) | Bronchial/ obstructive |
- acute
- Acute bronchitis
- chronic
- COPD
- Chronic bronchitis
- Acute exacerbation of COPD)
- Asthma (Status asthmaticus
- Aspirin-induced
- Exercise-induced
- Bronchiectasis
- unspecified
- Bronchitis
- Bronchiolitis
- Bronchiolitis obliterans
- Diffuse panbronchiolitis
|
|---|
Interstitial/ restrictive (fibrosis) | External agents/ occupational lung disease |
- Pneumoconiosis
- Aluminosis
- Asbestosis
- Baritosis
- Bauxite fibrosis
- Berylliosis
- Caplan's syndrome
- Chalicosis
- Coalworker's pneumoconiosis
- Siderosis
- Silicosis
- Talcosis
- Byssinosis
- Hypersensitivity pneumonitis
- Bagassosis
- Bird fancier's lung
- Farmer's lung
- Lycoperdonosis
|
|---|
| Other |
- ARDS
- Combined pulmonary fibrosis and emphysema
- Pulmonary edema
- Löffler's syndrome/Eosinophilic pneumonia
- Respiratory hypersensitivity
- Allergic bronchopulmonary aspergillosis
- Hamman-Rich syndrome
- Idiopathic pulmonary fibrosis
- Sarcoidosis
- Vaping-associated pulmonary injury
|
|---|
|
|---|
Obstructive or restrictive | Pneumonia/ pneumonitis | | By pathogen |
- Viral
- Bacterial
- Atypical bacterial
- Mycoplasma
- Legionnaires' disease
- Chlamydiae
- Fungal
- Parasitic
- noninfectious
- Chemical/Mendelson's syndrome
- Aspiration/Lipid
|
|---|
| By vector/route |
- Community-acquired
- Healthcare-associated
- Hospital-acquired
|
|---|
| By distribution | |
|---|
| IIP | |
|---|
|
|---|
| Other |
- Atelectasis
- circulatory
- Pulmonary hypertension
- Pulmonary embolism
- Lung abscess
|
|---|
|
|---|
|
|---|
Pleural cavity/ mediastinum | | Pleural disease |
- [[Medicine:PneumoPneumothorax]]/Hemopneumothorax
- Pleural effusion
- Hemothorax
- Hydrothorax
- Chylothorax
- Empyema/pyothorax
- Malignant
- Fibrothorax
|
|---|
| Mediastinal disease |
- Mediastinitis
- Mediastinal emphysema
|
|---|
|
|---|
| Other/general |
- Respiratory failure
- Influenza
- SARS
- Coronavirus disease 2019
- Idiopathic pulmonary haemosiderosis
- Pulmonary alveolar proteinosis
|
|---|
Infectious diseases – viral systemic diseases (A80–B34, 042–079) |
|---|
| Oncovirus |
- DNA virus
- HBV
- Hepatocellular carcinoma
- HPV
- Cervical cancer
- Anal cancer
- Penile cancer
- Vulvar cancer
- Vaginal cancer
- Oropharyngeal cancer
- KSHV
- Kaposi's sarcoma
- EBV
- Nasopharyngeal carcinoma
- Burkitt's lymphoma
- Hodgkin's lymphoma
- Follicular dendritic cell sarcoma
- Extranodal NK/T-cell lymphoma, nasal type
- MCPyV
- Merkel-cell carcinoma
- RNA virus
- HCV
- Hepatocellular carcinoma
- Splenic marginal zone lymphoma
- HTLV-I
- Adult T-cell leukemia/lymphoma
|
|---|
| Immune disorders | |
|---|
Central nervous system | Encephalitis/ meningitis |
- DNA virus
- Human polyomavirus 2
- Progressive multifocal leukoencephalopathy
- RNA virus
- MeV
- Subacute sclerosing panencephalitis
- LCV
- Lymphocytic choriomeningitis
- Arbovirus encephalitis
- Orthomyxoviridae (probable)
- Encephalitis lethargica
- RV
- Rabies
- Chandipura vesiculovirus
- Herpesviral meningitis
- Ramsay Hunt syndrome type 2
|
|---|
| Myelitis |
- Poliovirus
- Poliomyelitis
- Post-polio syndrome
- HTLV-I
- Tropical spastic paraparesis
|
|---|
| Eye |
- Cytomegalovirus
- Cytomegalovirus retinitis
- HSV
|
|---|
|
|---|
| Cardiovascular | |
|---|
Respiratory system/ acute viral nasopharyngitis/ viral pneumonia | | DNA virus |
- Epstein–Barr virus
- EBV infection/Infectious mononucleosis
- Cytomegalovirus
|
|---|
| RNA virus |
- IV: SARS coronavirus
- Severe acute respiratory syndrome
- MERS coronavirus
- Middle East respiratory syndrome
- SARS coronavirus 2
- V: Orthomyxoviridae: Influenza virus A/B/C/D
- Influenza/Avian influenza
- V, Paramyxoviridae: Human parainfluenza viruses
- Human orthopneumovirus
- hMPV
|
|---|
|
|---|
| Human digestive system | | Pharynx/Esophagus |
- MuV
- Cytomegalovirus
- Cytomegalovirus esophagitis
|
|---|
Gastroenteritis/ diarrhea |
- DNA virus
- Adenovirus
- Adenovirus infection
- RNA virus
- Rotavirus
- Norovirus
- Astrovirus
- Coronavirus
|
|---|
| Hepatitis |
- DNA virus
- HBV (B)
- RNA virus
- CBV
- HAV (A)
- HCV (C)
- HDV (D)
- HEV (E)
- HGV (G)
|
|---|
| Pancreatitis | |
|---|
|
|---|
| Urogenital | |
|---|
Health in China |
|---|
| Healthcare |
- Health
- Disease surveillance
- Healthcare system reform
- Women's health
- Health informatics
- Tobacco Control Association
- Barefoot doctor
- Patriotic Health Campaign
- China Welfare Institute
- Hospitals in China
- Medical schools
- Organ transplantation
|
|---|
| Medicine and pharmaceutical |
- Medicine
- Traditional Chinese medicine
- Pharmacy
- Pharmaceutical industry
- Biotechnology
|
|---|
| Diseases |
- Avian influenza
- Blue-ear disease
- Cardiovascular disease
- Chronic diseases
- Enterovirus 71 (EV71)
- Fujian flu
- Hepatitis B
- HIV/AIDS
- Iodine deficiency
- lead poisoning scandal
- Leprosy
- Mental health
- Obesity
- Pneumonic plague
- Stroke
- Tuberculosis
- Disease-related deaths
- Swine influenza outbreak
- SARS
- Coronavirus disease 2019
|
|---|
| Government |
- National Health Commission
- Chinese Center for Disease Control and Prevention
- National Medical Products Administration
- National Administration of Traditional Chinese Medicine
- Hong Kong Department of Health *
- Macau Secretariat for Social Affairs and Culture *
- General Administration of Customs
- National Healthcare Security Administration
|
|---|
| Other related issues |
- Demographics
- Dust storms
- Environment
- Food safety
- Illegal drug trade
- Pollution
- Poverty
- Prostitution
- Smoking
- Vegetarianism
- Violence against doctors in China
- Water supply and sanitation
|
|---|
| Studies |
- China–Cornell–Oxford Project (The China Study)
- China Health and Nutrition Survey
- China Family Panel Studies
- China Health and Retirement Longitudinal Study
|
|---|
* only in special administrative regions |