Aortic Aneurysm

From Handwiki

Short description: Excessive enlargement of the human aorta
Aortic aneurysm
Aortic aneurysm.jpg
Figure A shows a normal aorta. Figure B shows a thoracic aortic aneurysm (which is located behind the heart). Figure C shows an abdominal aortic aneurysm located below the arteries that supply blood to the kidneys.
SpecialtyCardiology, Vascular surgery
Symptomsabdominal pain and back pain
ComplicationsHemorrhaging
Diagnostic methodultrasound

An aortic aneurysm is an enlargement (dilatation) of the aorta to greater than 1.5 times normal size.[1] They usually cause no symptoms except when ruptured.[2] Occasionally, there may be abdominal, back, or leg pain.[3] The prevalence of abdominal aortic aneurysm ("AAA") has been reported to range from 2 to 12% and is found in about 8% of men more than 65 years of age.[4] The mortality rate attributable to AAA is about 15,000 per year in the United States and 6,000 to 8,000 per year in the United Kingdom and Ireland. Between 2001 and 2006, there were approximately 230,000 AAA surgical repairs performed on Medicare patients in the United States.

The etiology remains an area of active research. Known causes include trauma, infection, and inflammatory disorders. Risk factors include cigarette smoking, advanced age, dyslipidemia, hypertension, and coronary artery disease. The pathophysiology of the disease is related to an initial arterial insult causing a cascade of inflammation and extracellular matrix protein breakdown by proteinases leading to arterial wall weakening.[5] They are most commonly located in the abdominal aorta, but can also be located in the thoracic aorta. Aortic aneurysms result from a weakness in the wall of the aorta and increase the risk of aortic rupture. When rupture occurs, massive internal bleeding results and, unless treated immediately, shock and death can occur.

Screening with ultrasound is indicated in those at high risk. Prevention is by decreasing risk factors, such as smoking, and treatment is either by open or endovascular surgery. Aortic aneurysms resulted in about 152,000 deaths worldwide in 2013, up from 100,000 in 1990.[6]


Classification

Aortic aneurysms are classified by their location on the aorta.

  • An aortic root aneurysm, or aneurysm of the sinus of Valsalva.
  • Thoracic aortic aneurysms are found within the chest; these are further classified as ascending, aortic arch, or descending aneurysms.
  • Abdominal aortic aneurysms, "AAA" or "Triple A", the most common form of aortic aneurysm, involve that segment of the aorta within the abdominal cavity. Thoracoabdominal aortic aneurysms involve both the thoracic and abdominal aorta.
  • Thoracoabdominal aortic aneurysms comprise some or all of the aorta in both the chest and abdomen, and have components of both thoracic and abdominal aortic aneurysms.[7] The Crawford classification describes five types.[8]

Signs and symptoms

Most intact aortic aneurysms do not produce symptoms. As they enlarge, symptoms such as abdominal pain and back pain may develop. Compression of nerve roots may cause leg pain or numbness. Untreated, aneurysms tend to become progressively larger, although the rate of enlargement is unpredictable for any individual. Rarely, clotted blood which lines most aortic aneurysms can break off and result in an embolus.[7]

Aneurysms cannot be found on physical examination. Medical imaging is necessary to confirm the diagnosis and to determine the anatomic extent of the aneurysm. In patients presenting with aneurysm of the arch of the aorta, a common sign is a hoarse voice from stretching of the left recurrent laryngeal nerve, a branch of the vagus nerve that winds around the aortic arch to supply the muscles of the larynx.[9]

Abdominal aortic aneurysm

Main page: Medicine:Abdominal aortic aneurysm
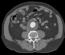
Abdominal aortic aneurysms (3,4 cm)

Abdominal aortic aneurysms (AAAs) are more common than their thoracic counterpart. One reason for this is that elastin, the principal load-bearing protein present in the wall of the aorta, is reduced in the abdominal aorta as compared to the thoracic aorta. Another is that the abdominal aorta does not possess vasa vasorum, the nutrient-supplying blood vessels within the wall of the aorta. Most AAA are true aneurysms that involve all three layers (tunica intima, tunica media and tunica adventitia). The prevalence of AAAs increases with age, with an average age of 65–70 at the time of diagnosis. AAAs have been attributed to atherosclerosis, though other factors are involved in their formation.[7]

CT reconstruction image of an abdominal aortic aneurysm

The risk of rupture of an AAA is related to its diameter; once the aneurysm reaches about 5 cm, the yearly risk of rupture may exceed the risks of surgical repair for an average-risk patient. Rupture risk is also related to shape; so-called "fusiform" (long) aneurysms are considered less rupture-prone than "saccular" (shorter, bulbous) aneurysms, the latter having more wall tension in a particular location in the aneurysm wall.[10]

Before rupture, an AAA may present as a large, pulsatile mass above the umbilicus. A bruit may be heard from the turbulent flow in the aneurysm. Rupture may be the first sign of AAA. Once an aneurysm has ruptured, it presents with classic symptoms of abdominal pain which is severe, constant, and radiating to the back.[10]

The diagnosis of an abdominal aortic aneurysm can be confirmed by the use of ultrasound. Rupture may be indicated by the presence of free fluid in the abdomen. A contrast-enhanced abdominal CT scan is the best test to diagnose an AAA and guide treatment options.[11]

10–25% of patients survive rupture due to large pre-and postoperative mortality. Annual mortality from ruptured aneurysms in the United States is about 15,000. Most are due to abdominal aneurysms, with thoracic and thoracoabdominal aneurysms making up 1% to 4% of the total.[citation needed]

Aortic rupture

An aortic aneurysm can rupture from wall weakness. Aortic rupture is a surgical emergency and has a high mortality even with prompt treatment. Weekend admission for a ruptured aortic aneurysm is associated with increased mortality compared with admission on a weekday, and this is likely due to several factors including a delay in prompt surgical intervention.[12]

Risk factors

  • Coronary artery disease
  • Hypertension
  • Loeys-Dietz Syndrome
  • Hypercholesterolemia
  • Hyperhomocysteinemia
  • Elevated C-reactive protein
  • Tobacco use
  • Alcohol use
  • Peripheral vascular disease
  • Marfan syndrome
  • Ehlers-Danlos type IV
  • Bicuspid Aortic Valve
  • Syphilis
  • IgG4-related disease
  • Pregnancy
  • Chronic obstructive sleep apnea
  • Psoriasis[13]

Pathophysiology

A 6.5 cm AAA with a 3 cm lumen

An aortic aneurysm can occur as a result of trauma, infection, or, most commonly, from an intrinsic abnormality in the elastin and collagen components of the aortic wall. While definite genetic abnormalities were identified in true genetic syndromes (Marfan, Elher-Danlos and others) associated with aortic aneurysms, both thoracic and abdominal aortic aneurysms demonstrate a strong genetic component in their aetiology.[14]

Prevention

The risk of aneurysm enlargement may be diminished with attention to the patient's blood pressure, smoking and cholesterol levels. There have been proposals to introduce ultrasound scans as a screening tool for those most at risk: men over the age of 65.[15][16]

Anacetrapib is a cholesteryl ester transfer protein inhibitor that raises high-density lipoprotein (HDL) cholesterol and reduces low-density lipoprotein (LDL) cholesterol. Anacetrapib reduces progression of atherosclerosis, mainly by reducing non-HDL-cholesterol, improves lesion stability and adds to the beneficial effects of atorvastatin[17] Elevating the amount of HDL cholesterol in the abdominal area of the aortic artery in mice both reduced the size of aneurysms that had already grown and prevented abdominal aortic aneurysms from forming at all. In short, raising HDL cholesterol is beneficial because it induces programmed cell death. The walls of a failing aorta are replaced and strengthened. New lesions should not form at all when using this drug.[18]

Screening

Screening for an aortic aneurysm so that it may be detected and treated prior to rupture is the best way to reduce the overall mortality of the disease. The most cost-efficient screening test is an abdominal aortic ultrasound study. Noting the results of several large, population-based screening trials, the US Centers for Medicare and Medicaid Services (CMS) now provides payment for one ultrasound study in all smokers aged 65 years or older ("SAAAVE Act").[19]

Management

Surgery (open or endovascular) is the definitive treatment of an aortic aneurysm. Medical therapy is typically reserved for smaller aneurysms or for elderly, frail patients where the risks of surgical repair exceed the risks of non-operative therapy (observation alone).

Open infrarenal aortic repair model, showing a surgical clamp above the aneurysm and below the renal arteries

Medical therapy

Medical therapy of aortic aneurysms involves strict blood pressure control. This does not treat the aortic aneurysm per se, but control of hypertension within tight blood pressure parameters may decrease the rate of expansion of the aneurysm.

The medical management of patients with aortic aneurysms, reserved for smaller aneurysms or frail patients, involves cessation of smoking, blood pressure control, use of statins and occasionally beta blockers. Ultrasound studies are obtained on a regular basis (i.e. every 6 or 12 months) to follow the size of the aneurysm.

Despite optimal medical therapy, patients with large aneurysms are likely to have continued aneurysm growth and risk of aneurysm rupture without surgical repair.[20]

Surgery

Decisions about repairing an aortic aneurysm are based on the balance between the risk of aneurysm rupture without treatment versus the risks of the treatment itself. For example, a small aneurysm in an elderly patient with severe cardiovascular disease would not be repaired. The chance of the small aneurysm rupturing is overshadowed by the risk of cardiac complications from the procedure to repair the aneurysm.

The risk of the repair procedure is two-fold. First, there is consideration of the risk of problems occurring during and immediately after the procedure itself ("peri-procedural" complications). Second, the effectiveness of the procedure must be taken into account, namely whether the procedure effectively protects the patient from aneurysm rupture over the long term, and whether the procedure is durable so that secondary procedures, with their attendant risks, are not necessary over the life of the patient. A less invasive procedure (such as endovascular aneurysm repair) may be associated with fewer short-term risks to the patient (fewer peri-procedural complications) but secondary procedures may be necessary over long-term follow-up.

The determination of surgical intervention is determined on a per-case basis. The diameter of the aneurysm, its rate of growth, the presence or absence of Marfan syndrome, Ehlers–Danlos syndromes or similar connective tissue disorders, and other co-morbidities are all important factors in the overall treatment.

A large, rapidly expanding, or symptomatic aneurysm should be repaired, as it has a greater chance of rupture. Slowly expanding aortic aneurysms may be followed by routine diagnostic testing (i.e.: CT scan or ultrasound imaging).

For abdominal aneurysms, the current treatment guidelines for abdominal aortic aneurysms suggest elective surgical repair when the diameter of the aneurysm is greater than 5 cm (2 in). However, recent data on patients aged 60–76 suggest medical management for abdominal aneurysms with a diameter of less than 5.5 cm (2 in).[21]

Open surgery

Main page: Medicine:Open aortic surgery

Open surgery starts with exposure of the dilated portion of the aorta via an incision in the abdomen or abdomen and chest, followed by insertion of a synthetic (Dacron or Gore-Tex) graft (tube) to replace the diseased aorta. The graft is sewn in by hand to the non-diseased portions of the aorta, and the aneurysmal sac is closed around the graft.

The aorta and its branching arteries are cross-clamped during open surgery. This can lead to inadequate blood supply to the spinal cord, resulting in paraplegia. A 2004 systematic review and meta analysis found that cerebrospinal fluid drainage (CFSD), when performed in experienced centers, reduces the risk of ischemic spinal cord injury by increasing the perfusion pressure to the spinal cord.[22] A 2012 Cochrane systematic review noted that further research regarding the effectiveness of CFSD for preventing a spinal cord injury is required.[23] A 2023 systematic review suggested that rates of postoperative spinal cord ischaemia can be kept at low levels after open repair of thoracoabdominal aneurysm with the adequate precautions and perioperative manoeuvres.[24] The majority of the surgeons believe prophylactic lumbar drains are effective in reducing spinal cord ischaemia.[25] Neuromonitoring with motor-evoked potentials (MEP) can provide the surgeon objective criteria to direct selective intercostal reconstruction or other protective anaesthetic and surgical manoeuvres. Simultaneous monitoring of MEP and somatosensory-evoked potentials (SSEP) seems to be the most reliable method.[24]

Endovascular

Main page: Medicine:Endovascular aneurysm repair

Endovascular treatment of aortic aneurysms is a minimally invasive alternative to open surgery repair. It involves the placement of an endo-vascular stent through small incisions at the top of each leg into the aorta.

As compared to open surgery, EVAR has a lower risk of death in the short term and a shorter hospital stay but may not always be an option.[2][26][27] There does not appear to be a difference in longer term outcomes between the two.[28] After EVAR, repeat procedures are more likely to be needed.[29]

Epidemiology

Aortic aneurysms resulted in about 172,427 deaths in 2017 up from 100,000 in 1990.[6]

See also

  • Aortic valve repair
  • Aortic dissection
  • Cardarelli's sign
  • Oliver's sign

References

  1. "Suggested standards for reporting on arterial aneurysms. Subcommittee on Reporting Standards for Arterial Aneurysms, Ad Hoc Committee on Reporting Standards, Society for Vascular Surgery and North American Chapter, International Society for Cardiovascular Surgery". Journal of Vascular Surgery 13 (3): 452–458. March 1991. doi:10.1067/mva.1991.26737. PMID 1999868. 
  2. 2.0 2.1 "Clinical practice. Abdominal aortic aneurysms". The New England Journal of Medicine 371 (22): 2101–2108. November 2014. doi:10.1056/NEJMcp1401430. PMID 25427112. 
  3. "Abdominal aortic aneurysm". American Family Physician 73 (7): 1198–1204. April 2006. PMID 16623206. 
  4. "A review of current reporting of abdominal aortic aneurysm mortality and prevalence in the literature". European Journal of Vascular and Endovascular Surgery 47 (3): 240–242. March 2014. doi:10.1016/j.ejvs.2013.11.007. PMID 24368205. 
  5. "Abdominal aortic aneurysms". Progress in Cardiovascular Diseases 65: 34–43. March 2021. doi:10.1016/j.pcad.2021.03.009. PMID 33831398. 
  6. 6.0 6.1 "Global, regional, and national age-sex specific all-cause and cause-specific mortality for 240 causes of death, 1990–2013: a systematic analysis for the Global Burden of Disease Study 2013". Lancet 385 (9963): 117–171. January 2015. doi:10.1016/S0140-6736(14)61682-2. PMID 25530442. 
  7. 7.0 7.1 7.2 "Aortic aneurysm". Journal of Translational Internal Medicine 4 (1): 35–41. April 2016. doi:10.1515/jtim-2016-0008. PMID 28191516. 
  8. "Crawford classification". https://radiopaedia.org/articles/crawford-classification?lang=gb. 
  9. Yuan, Shi-Min (2020). "Hoarseness Due to Aortic Arch Aneurysms". Brazilian Journal of Cardiovascular Surgery 35 (6): 970–976. doi:10.21470/1678-9741-2019-0352. ISSN 1678-9741. PMID 33306323. PMC 7731862. https://doi.org/10.21470/1678-9741-2019-0352. 
  10. 10.0 10.1 "Abdominal Aortic Aneurysms". 16 October 2020. https://www.lecturio.com/concepts/abdominal-aortic-aneurysms/. 
  11. "Rupture signs on computed tomography, treatment, and outcome of abdominal aortic aneurysms". Insights into Imaging 5 (3): 281–293. June 2014. doi:10.1007/s13244-014-0327-3. PMID 24789068. 
  12. "Effects of weekend admission on the outcomes and management of ruptured aortic aneurysms". Journal of Vascular Surgery 60 (2): 318–324. August 2014. doi:10.1016/j.jvs.2014.02.052. PMID 24709439. 
  13. Yu, Xinyu; Feng, Xin; Xia, Liangtao; Cao, Shiyi; Wei, Xiang (November 2020). "Risk of aortic aneurysm in patients with psoriasis: A systematic review and meta-analysis of cohort studies" (in en). Clinical Cardiology 43 (11): 1266–1272. doi:10.1002/clc.23438. ISSN 0160-9289. PMID 32757333. 
  14. "The genetic basis for aortic aneurysmal disease". Heart 100 (12): 916–922. June 2014. doi:10.1136/heartjnl-2013-305130. PMID 24842835. 
  15. Routine screening in the management of AAA, UK Department of Health study Report
  16. "Abdominal Aortic Aneurysm". Bandolier 27 (3). May 1996. http://www.bandolier.org.uk/band27/b27-3.html. Retrieved 7 March 2021. 
  17. "Efficacy and safety of the cholesteryl ester transfer protein inhibitor anacetrapib as monotherapy and coadministered with atorvastatin in dyslipidemic patients". American Heart Journal 157 (2): 352–360.e2. February 2009. doi:10.1016/j.ahj.2008.09.022. PMID 19185645. 
  18. "Elevation of plasma high-density lipoproteins inhibits development of experimental abdominal aortic aneurysms". Arteriosclerosis, Thrombosis, and Vascular Biology 32 (11): 2678–2686. November 2012. doi:10.1161/ATVBAHA.112.00009. PMID 23023368. *Lay summary in: "Early evidence shows 'good' cholesterol could combat abdominal aortic aneurysm". March 6, 2013. https://www.sciencedaily.com/releases/2013/03/130306084157.htm. 
  19. "SAAAVE Act Background | Society for Vascular Surgery". https://vascular.org/news-advocacy/articles-press-releases/saaave-act-background. 
  20. "Abdominal aortic aneurysm: A comprehensive review". Experimental and Clinical Cardiology 16 (1): 11–15. 2011. PMID 21523201. 
  21. "Mortality results for randomised controlled trial of early elective surgery or ultrasonographic surveillance for small abdominal aortic aneurysms. The UK Small Aneurysm Trial Participants". Lancet 352 (9141): 1649–1655. November 1998. doi:10.1016/S0140-6736(98)10137-X. PMID 9853436. 
  22. "Cerebrospinal fluid drainage to prevent paraplegia during thoracic and thoracoabdominal aortic aneurysm surgery: a systematic review and meta-analysis". Journal of Vascular Surgery 40 (1): 36–44. July 2004. doi:10.1016/j.jvs.2004.03.017. PMID 15218460. 
  23. "Cerebrospinal fluid drainage for thoracic and thoracoabdominal aortic aneurysm surgery". The Cochrane Database of Systematic Reviews 10 (10): CD003635. October 2012. doi:10.1002/14651858.CD003635.pub3. PMID 23076900. 
  24. 24.0 24.1 Sef, D; Thet, MS; Miskolczi, S; Velissaris, T; De Silva, R; Luthra, S; Turina, MI (1 June 2023). "Perioperative neuromonitoring during thoracoabdominal aortic aneurysm open repair: a systematic review.". European Journal of Cardio-Thoracic Surgery 63 (6). doi:10.1093/ejcts/ezad221. PMID 37233116. 
  25. Chung, JC; Lodewyks, CL; Forbes, TL; Chu, MWA; Peterson, MD; Arora, RC; Ouzounian, M; Canadian Thoracic Aortic Collaborative et al. (January 2022). "Prevention and management of spinal cord ischemia following aortic surgery: A survey of contemporary practice.". The Journal of Thoracic and Cardiovascular Surgery 163 (1): 16–23.e7. doi:10.1016/j.jtcvs.2020.03.034. PMID 32334886. 
  26. "Open versus Endovascular Repair of Abdominal Aortic Aneurysm in the Elective and Emergent Setting in a Pooled Population of 37,781 Patients: A Systematic Review and Meta-Analysis". ISRN Cardiology 2014: 149243. 2014. doi:10.1155/2014/149243. PMID 25006502. 
  27. "Elective endovascular vs. open repair for abdominal aortic aneurysm in patients aged 80 years and older: systematic review and meta-analysis". European Journal of Vascular and Endovascular Surgery 42 (5): 571–576. November 2011. doi:10.1016/j.ejvs.2011.07.011. PMID 21820922. 
  28. "Endovascular repair of abdominal aortic aneurysm". The Cochrane Database of Systematic Reviews 2014 (1): CD004178. January 2014. doi:10.1002/14651858.CD004178.pub2. PMID 24453068. 
  29. "Endovascular aneurysm repair (EVAR) follow-up imaging: the assessment and treatment of common postoperative complications". Clinical Radiology 70 (2): 183–196. February 2015. doi:10.1016/j.crad.2014.09.010. PMID 25443774. 

External links

Classification
D
  • ICD-10: I71
  • ICD-9-CM: 441
  • OMIM: 100070
  • MeSH: D001014
  • DiseasesDB: 792
External resources
  • eMedicine: emerg/942 med/2783 emerg/27 radio/1 med/3443



Retrieved from "https://handwiki.org/wiki/index.php?title=Medicine:Aortic_aneurysm&oldid=3274794"

Categories: [Vascular surgery]


Download as ZWI file | Last modified: 03/12/2024 14:28:09 | 2 views
☰ Source: https://handwiki.org/wiki/Medicine:Aortic_aneurysm | License: CC BY-SA 3.0

ZWI is not signed. [what is this?]