| Thoracic aortic aneurysm |
|---|
| Other names | Aneurysm - thoracic aortic[1] |
|---|
 |
A thoracic aortic aneurysm is an aortic aneurysm that presents primarily in the thorax.
A thoracic aortic aneurysm is the "ballooning" of the upper aspect of the aorta, above the diaphragm. Untreated or unrecognized they can be fatal due to dissection or "popping" of the aneurysm leading to nearly instant death. Thoracic aneurysms are less common than an abdominal aortic aneurysm.[2] However, a syphilitic aneurysm is more likely to be a thoracic aortic aneurysm than an abdominal aortic aneurysm. This condition is commonly treated via a specialized multidisciplinary approach with both vascular surgeons and cardiac surgeons.
Presentation
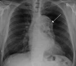
Thoracic aortic aneurysm with arrow marking the lateral border of the aorta
Complications
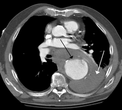
Contrast enhanced CT of a ruptured large (7 cm) thoracic aneurysm, with black arrow indicating the aorta, and white arrow blood in the thorax
The principal causes of death due to thoracic aneurysmal disease are dissection and rupture. Once rupture occurs, the mortality rate is 50–80%. Most deaths in patients with Marfan syndrome are the result of aortic disease.[citation needed]
Causes
There are a number of causes, [3] Aneurysms in patients younger than 40 usually involve the ascending aorta due to a weakening of the aortic wall associated with connective tissue disorders like the Marfan and Ehler-Danlos syndromes or congenital bicuspid aortic valve. Younger patients may develop aortic aneurysms of the thoracoabdominal aorta after an aortic dissection.[citation needed] It can also be caused by blunt injury. Atherosclerosis is the principal cause of descending aortic aneurysms, while aneurysms of the aortic arch may be due to dissection, atherosclerosis, or inflammation.[4]
Age
The diagnosis of thoracic aortic aneurysm usually involves patients in their 60s and 70s.[5][6]
Risk factors
Hypertension and cigarette smoking are the most important risk factors, though the importance of genetic factors has been increasingly recognized. Approximately 10 percent of patients may have other family members who have aortic aneurysms. It is also important to note that individuals with a history of aneurysms in other parts of the body have a higher chance of developing a thoracic aortic aneurysm.[7]
Diagnosis
Aorta segments, with thoracic aorta in area marked in green
Thoracic aortic aneurysm is defined as a cross-sectional diameter exceeding the following cutoff:
- 4.5 cm in the United States [8]
- 4.0 cm in South Korea [9]
A diameter of 3.5 cm is generally considered dilated.[8] However, average values vary with age and size of the reference population, as well as different segments of the aorta.
Upper limits of the standard reference range of the thoracic aorta in a United States population:[10]
|
Small and young |
Large and elderly
|
| Ascending aorta |
3.3 cm |
4.3 cm
|
| Descending aorta |
2.3 cm |
3.2 cm
|
Screening
File:UOTW 64 - Ultrasound of the Week 1.webm
Guidelines were issued in March 2010 for early detection of thoracic aortic disease, by the American College of Cardiology, the American Heart Association, and other groups[citation needed]. Among the recommendations:
- First-degree relatives of people with thoracic aortic aneurysm or dissection should have aortic imaging to identify asymptomatic disease.
- People with symptoms suggestive of thoracic aortic dissection should be routinely evaluated "to establish a pretest risk of disease that can then be used to guide diagnostic decisions."
- People diagnosed with Marfan syndrome should immediately have an echocardiogram to measure the aorta and followed up six months later to check for aortic enlargement.[12]
Treatment
A stent graft placed in the thoracic aorta to treat a thoracic aortic aneurysm.
The size cut off for aortic aneurysm is crucial to its treatment. A thoracic aorta greater than 4.5 cm is generally defined as aneurysmal, while a size greater than 6 cm is the distinction for treatment, which can be either endovascular or surgical, with the former reserved for pathology at the descending aorta.[13]
Indication for surgery may depend upon the size of the aneurysm. Aneurysms in the ascending aorta may require surgery at a smaller size than aneurysms in the descending aorta.[14]
Treatment may be via open or via endovascular means.[citation needed]
Epidemiology
Each year in the United States, some 45,000 people die from diseases of the aorta and its branches. Acute aortic dissection, a life-threatening event due to a tear in the aortic wall, affects 5 to 10 patients per million population each year, most often men between the ages of 50 and 70; of those that occur in women younger than 40, nearly half arise during pregnancy. The majority of these deaths occur as a result of complications of thoracic aneurysmal disease[15]
References
- ↑ "Thoracic aortic aneurysm: MedlinePlus Medical Encyclopedia" (in en). https://medlineplus.gov/ency/article/001119.htm.
- ↑ Thoracic Aortic Aneurysm at eMedicine
- ↑ Aneurysms: Aneurysms and Aortic Dissection at Merck Manual of Diagnosis and Therapy Home Edition
- ↑ Golledge, J.; Norman, P. (June 2010). "Atherosclerosis and abdominal aortic aneurysm: Cause, response or common risk factors?". Arteriosclerosis, Thrombosis, and Vascular Biology 30 (6): 1075–1077. doi:10.1161/ATVBAHA.110.206573. PMID 20484703.
- ↑ "Abdominal Aortic Aneurysms". 16 October 2020. https://www.lecturio.com/concepts/abdominal-aortic-aneurysms/.
- ↑ Golledge, J.; Norman, P. (June 2010). "Atherosclerosis and abdominal aortic aneurysm: Cause, response or common risk factors?". Arteriosclerosis, Thrombosis, and Vascular Biology 30 (6): 1075–1077. doi:10.1161/ATVBAHA.110.206573. PMID 20484703.
- ↑ Thoracic Aortic Disease - Northwestern Memorial Hospital. Thoracic Aortic Aneurysm
- ↑ 8.0 8.1 Bret P Nelson (2015-10-01). "Thoracic Aneurysm". http://emedicine.medscape.com/article/761627-overview.
- ↑ Cho, In-Jeong; Jang, Sung-Yeol; Chang, Hyuk-Jae; Shin, Sanghoon; Shim, Chi Young; Hong, Geu-Ru; Chung, Namsik (2014). "Aortic Aneurysm Screening in a High-Risk Population: A Non-Contrast Computed Tomography Study in Korean Males with Hypertension". Korean Circulation Journal 44 (3): 162–169. doi:10.4070/kcj.2014.44.3.162. ISSN 1738-5520. PMID 24876857.
- ↑ Wolak, Arik; Gransar, Heidi; Thomson, Louise E.J.; Friedman, John D.; Hachamovitch, Rory; Gutstein, Ariel; Shaw, Leslee J.; Polk, Donna et al. (2008). "Aortic Size Assessment by Noncontrast Cardiac Computed Tomography: Normal Limits by Age, Gender, and Body Surface Area". JACC: Cardiovascular Imaging 1 (2): 200–209. doi:10.1016/j.jcmg.2007.11.005. ISSN 1936878X. PMID 19356429.
- ↑ "UOTW#64 - Ultrasound of the Week". 25 November 2015. https://www.ultrasoundoftheweek.com/uotw-64/.
- ↑ "2010 ACCF/AHA/AATS/ACR/ASA/SCA/SCAI/SIR/STS/SVM Guidelines for the diagnosis and management of patients with thoracic aortic disease. A Report of the American College of Cardiology Foundation/American Heart Association Task Force on Practice Guidelines, American Association for Thoracic Surgery, American College of Radiology, American Stroke Association, Society of Cardiovascular Anesthesiologists, Society for Cardiovascular Angiography and Interventions, Society of Interventional Radiology, Society of Thoracic Surgeons, and Society for Vascular Medicine". J. Am. Coll. Cardiol. 55 (14): e27–e129. April 2010. doi:10.1016/j.jacc.2010.02.015. PMID 20359588.
- ↑ "Endovascular treatment of thoracic aortic aneurysms: results of phase II multicenter trial of the GORE TAG thoracic endoprosthesis". J. Vasc. Surg. 41 (1): 1–9. January 2005. doi:10.1016/j.jvs.2004.10.046. PMID 15696036.
- ↑ "Treatment Considerations related to Thoracic Aortic Aneurysm". http://www.mayoclinic.org/aortic-aneurysm/thoracictreatment.html.
- ↑ Aggarwal, S.; Qamar, A; Sharma, V; Sharma, A (2011). "Abdominal aortic aneurysm: A comprehensive review". Experimental and Clinical Cardiology 16 (1): 11–15. PMID 21523201.
External links
| Classification | D - ICD-10: I71.1, I71.2
- ICD-9-CM: 441.1, 441.2
- MeSH: D017545
|
|---|
| External resources | - MedlinePlus: 001119
- eMedicine: article/761627 article/424904 article/418480
|
|---|
Cardiovascular disease (vessels) (I70–I99, 440–456) |
|---|
Arteries, arterioles and capillaries | | Inflammation |
- Arteritis
- Buerger's disease
|
|---|
| Peripheral artery disease | | Arteriosclerosis |
- Atherosclerosis
- Foam cell
- Fatty streak
- Atheroma
- Intermittent claudication
- Critical limb ischemia
- Monckeberg's arteriosclerosis
- Arteriolosclerosis
- Hyaline
- Hyperplastic
- Cholesterol
- LDL
- Oxycholesterol
- Trans fat
|
|---|
| Stenosis |
- Carotid artery stenosis
- Renal artery stenosis
|
|---|
| Other |
- Aortoiliac occlusive disease
- Degos disease
- Erythromelalgia
- Fibromuscular dysplasia
- Raynaud's phenomenon
|
|---|
|
|---|
Aneurysm / dissection / pseudoaneurysm |
- torso: Aortic aneurysm
- Abdominal aortic aneurysm
- Thoracic aortic aneurysm
- Aneurysm of sinus of Valsalva
- Aortic dissection
- Aortic rupture
- Coronary artery aneurysm
- head / neck
- Intracranial aneurysm
- Intracranial berry aneurysm
- Carotid artery dissection
- Vertebral artery dissection
- Familial aortic dissection
|
|---|
| Vascular malformation |
- Arteriovenous fistula
- Arteriovenous malformation
- Telangiectasia
- Hereditary hemorrhagic telangiectasia
|
|---|
| Vascular nevus |
- Cherry hemangioma
- Halo nevus
- Spider angioma
|
|---|
|
|---|
| Veins | | Inflammation | |
|---|
Venous thrombosis / Thrombophlebitis |
- primarily lower limb
- abdomen
- Hepatic veno-occlusive disease
- Budd–Chiari syndrome
- May–Thurner syndrome
- Portal vein thrombosis
- Renal vein thrombosis
- upper limb / torso
- Mondor's disease
- Paget–Schroetter disease
- head
- Cerebral venous sinus thrombosis
- Post-thrombotic syndrome
|
|---|
| Varicose veins |
- Gastric varices
- Portacaval anastomosis
- Caput medusae
- Esophageal varices
- Hemorrhoid
- Varicocele
|
|---|
| Other |
- Chronic venous insufficiency
- Chronic cerebrospinal venous insufficiency
- Superior vena cava syndrome
- Inferior vena cava syndrome
- Venous ulcer
|
|---|
|
|---|
| Arteries or veins |
- Angiopathy
- Macroangiopathy
- Microangiopathy
- Embolism
- Pulmonary embolism
- Cholesterol embolism
- Paradoxical embolism
- Thrombosis
- Vasculitis
|
|---|
| Blood pressure | | Hypertension |
- Hypertensive heart disease
- Hypertensive emergency
- Hypertensive nephropathy
- Essential hypertension
- Secondary hypertension
- Renovascular hypertension
- Benign hypertension
- Pulmonary hypertension
- Systolic hypertension
- White coat hypertension
|
|---|
| Hypotension | |
|---|
|
|---|
 | Original source: https://en.wikipedia.org/wiki/Thoracic aortic aneurysm. Read more |