Short description: Patient is a carrier for a disease or infection but experiences no symptoms
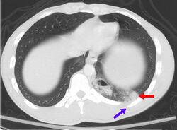
Pulmonary contusion due to trauma is an example of a condition that can be asymptomatic with half of people showing no signs at the initial presentation. The CT scan shows a pulmonary contusion (red arrow) accompanied by a rib fracture (purple arrow).
In medicine, any disease is classified asymptomatic if a patient tests as carrier for a disease or infection but experiences no symptoms. Whenever a medical condition fails to show noticeable symptoms after a diagnosis it might be considered asymptomatic.
Infections of this kind are usually called subclinical infections. Diseases such as mental illnesses or psychosomatic conditions are considered subclinical if they present some individual symptoms but not all those normally required for a clinical diagnosis. The term clinically silent is also found. Producing only a few, mild symptoms, disease is paucisymptomatic. Symptoms appearing later, after an asymptomatic incubation period, mean a pre-symptomatic period has existed.
Importance
Knowing that a condition is asymptomatic is important because:
- It may develop symptoms later and only then require treatment.
- It may resolve itself or become benign.
- It may be contagious, and the contribution of asymptomatic and pre-symptomatic infections to the transmission level of a disease helps set the required control measures to keep it from spreading.[1]
- It is not required that a person undergo treatment. It does not cause later medical problems such as high blood pressure and hyperlipidaemia.[2]
- Be alert to possible problems: asymptomatic hypothyroidism makes a person vulnerable to Wernicke–Korsakoff syndrome or beri-beri following intravenous glucose.[3]
- For some conditions, treatment during the asymptomatic phase is vital. If one waits until symptoms develop, it is too late for survival or to prevent damage.
Mental health
Subclinical or subthreshold conditions are those for which the full diagnostic criteria are not met and have not been met in the past, although symptoms are present. This can mean that symptoms are not severe enough to merit a diagnosis,[4] or that symptoms are severe but do not meet the criteria of a condition.[5] The DSM-5 has a range of subclinical diagnoses called "other specified" and "unspecified" disorders to fit this category, including Other specified feeding or eating disorder and other specified personality disorder and unspecified personality disorder.
Examples
An example of an asymptomatic disease is cytomegalovirus (CMV) which is a member of the herpes virus family. "It is estimated that 1% of all newborns are infected with CMV, but the majority of infections are asymptomatic." (Knox, 1983; Kumar et al. 1984)[6] In some diseases, the proportion of asymptomatic cases can be important. For example, in multiple sclerosis it is estimated that around 25% of the cases are asymptomatic, with these cases detected postmortem or just by coincidence (as incidental findings) while treating other diseases.[7]
List
These are conditions for which there is a sufficient number of documented individuals that are asymptomatic that it is clinically noted. For a complete list of asymptomatic infections see subclinical infection.
- Balanitis xerotica obliterans
- Benign lymphoepithelial lesion
- Cardiac shunt
- Carotid artery dissection
- Carotid bruit
- Cavernous hemangioma
- Chloromas (Myeloid sarcoma)
- Cholera
- Chronic myelogenous leukemia
- Coeliac disease
- Coronary artery disease
- Coronavirus disease 2019
- Cowpox
- Diabetic retinopathy
- Essential fructosuria
- Flu or Influenza strains
- Folliculosebaceous cystic hamartoma
- Glioblastoma multiforme (occasionally)
- Glucocorticoid remediable aldosteronism
- Glucose-6-phosphate dehydrogenase deficiency
- Hepatitis
- Hereditary elliptocytosis
- Herpes
- Heterophoria
- Human coronaviruses (common cold germs)
- Hypertension (high blood pressure)
- Histidinemia
- HIV (AIDS)
- HPV
- Hyperaldosteronism
- hyperlipidaemia
- Hyperprolinemia type I
- Hypothyroidism
- Hypoxia (some cases)
- Idiopathic thrombocytopenic purpura
- Iridodialysis (when small)
- Lesch–Nyhan syndrome (female carriers)
- Levo-Transposition of the great arteries
- Measles
- Meckel's diverticulum
- Microvenular hemangioma
- Mitral valve prolapse
- Monkeypox
- Monoclonal B-cell lymphocytosis
- Myelolipoma
- Nonalcoholic fatty liver disease
- Optic disc pit
- Osteoporosis
- Pertussis (whooping cough)
- Pes cavus
- Poliomyelitis
- Polyorchidism
- Pre-eclampsia
- Prehypertension
- Protrusio acetabuli
- Pulmonary contusion
- Renal tubular acidosis
- Rubella
- Smallpox (extinct since the 1980s)
- Spermatocele
- Sphenoid wing meningioma
- Spider angioma
- Splenic infarction (though not typically)
- Subarachnoid hemorrhage
- Tonsillolith
- Tuberculosis
- Type II diabetes
- Typhus
- Vaginal intraepithelial neoplasia
- Varicella (chickenpox)
- Wilson's disease
Millions of women reported lack of symptoms during pregnancy until the point of childbirth or the beginning of labor; they didn't know they were pregnant. This phenomenon is known as cryptic pregnancies. [8]
See also
- Symptomatic
- Subclinical infection
References
- ↑ Buitrago-Garcia, Diana; Egli-Gany, Dianne; Counotte, Michel J.; Hossmann, Stefanie; Imeri, Hira; Ipekci, Aziz Mert; Salanti, Georgia; Low, Nicola (2020-09-22). "Occurrence and transmission potential of asymptomatic and presymptomatic SARS-CoV-2 infections: A living systematic review and meta-analysis" (in en). PLOS Medicine 17 (9): e1003346. doi:10.1371/journal.pmed.1003346. ISSN 1549-1676. PMID 32960881.
- ↑ Tattersall, R (2001). "Diseases the doctor (or autoanalyser) says you have got". Clinical Medicine (London) 1 (3): 230–3. doi:10.7861/clinmedicine.1-3-230. PMID 11446622.
- ↑ Watson, A. J.; Walker, J. F.; Tomkin, G. H.; Finn, M. M.; Keogh, J. A. (1981). "Acute Wernickes encephalopathy precipitated by glucose loading". Irish Journal of Medical Science 150 (10): 301–303. doi:10.1007/BF02938260. PMID 7319764.
- ↑ Ji, Jianlin (October 2012). "Distinguishing subclinical (subthreshold) depression from the residual symptoms of major depression". Shanghai Archives of Psychiatry 24 (5): 288–289. doi:10.3969/j.issn.1002-0829.2012.05.007. ISSN 1002-0829. PMID 25328354.
- ↑ Diagnostic and statistical manual of mental disorders : DSM-5.. American Psychiatric Association, American Psychiatric Association. DSM-5 Task Force (5th ed.). Arlington, VA: American Psychiatric Association. 2013. ISBN 978-0-89042-554-1. OCLC 830807378. https://www.worldcat.org/oclc/830807378.
- ↑ Vinson, B. (2012). Language Disorders Across the Lifespan. p. 94. Clifton Park, NY: Delmar
- ↑ Engell T (May 1989). "A clinical patho-anatomical study of clinically silent multiple sclerosis". Acta Neurol Scand 79 (5): 428–30. doi:10.1111/j.1600-0404.1989.tb03811.x. PMID 2741673.
- ↑ "What is a Cryptic Pregnancy?". 10 September 2019. https://www.news-medical.net/health/What-is-a-Cryptic-Pregnancy.aspx#:~:text=Cryptic pregnancy is the phenomenon,cases until they give birth..
 | Original source: https://en.wikipedia.org/wiki/Asymptomatic. Read more |