| Flexion teardrop fracture |
|---|
 |
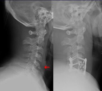
| Teardrop fracture of the cervical spine before and after treatment with metal fixation |
| Specialty | Orthopedic |
|---|
A flexion teardrop fracture is a fracture of the anteroinferior aspect of a cervical vertebral body due to flexion of the spine along with vertical axial compression.[1] The fracture continues sagittally through the vertebral body, and is associated with deformity of the body and subluxation or dislocation of the facet joints at the injured level.[2] A flexion teardrop fracture is usually associated with a spinal cord injury, often a result of displacement of the posterior portion of the vertebral body into the spinal canal.[3]
The flexion teardrop fracture should not be confused with a similar-looking vertebral fracture called "extension teardrop fracture". Both usually occur in the cervical spine, but as their names suggest, they result from different mechanisms (flexion-compression vs. hyperextension). Both are associated with a small fragment being broken apart from the anteroinferior corner of the affected vertebra. Flexion teardrop fractures usually involve instability in all elements of the spine at the injured level, commonly occur at the C4-C7 vertebra, and have a high association with spinal cord injury (in particular anterior cord syndrome). In comparison, the extension-type fracture occurs more commonly at C2 or C3, causes less if any disruption to the middle and posterior elements, and does not usually result in spinal cord injury (however it may co-occur with more dangerous spine injuries).[4][5]
References
- ↑ eMedicine > Fracture, Cervical Spine By Moira Davenport. Updated: Apr 30, 2010
- ↑ "Error: no
|title= specified when using {{Cite web}}". https://radiopaedia.org/articles/flexion-tear-drop-fracture;.Error:+no+|title=+specified when+using+{{[[Template:Cite+web|Cite+web]]}}&rft.atitle=&rft_id=https://radiopaedia.org/articles/flexion-tear-drop-fracture;&rfr_id=info:sid/en.wikibooks.org:Medicine:Flexion_teardrop_fracture">
- ↑ Fundamentals of Diagnostic Radiology. pp. 1110.
- ↑ "Error: no
|title= specified when using {{Cite web}}". https://radiopaedia.org/articles/flexion-tear-drop-fracture;.Error:+no+|title=+specified when+using+{{[[Template:Cite+web|Cite+web]]}}&rft.atitle=&rft_id=https://radiopaedia.org/articles/flexion-tear-drop-fracture;&rfr_id=info:sid/en.wikibooks.org:Medicine:Flexion_teardrop_fracture">
- ↑ "Error: no
|title= specified when using {{Cite web}}". https://radiopaedia.org/articles/extension-tear-drop-fracture-1;.Error:+no+|title=+specified when+using+{{[[Template:Cite+web|Cite+web]]}}&rft.atitle=&rft_id=https://radiopaedia.org/articles/extension-tear-drop-fracture-1;&rfr_id=info:sid/en.wikibooks.org:Medicine:Flexion_teardrop_fracture">
Fractures and cartilage damage |
|---|
| General |
- Avulsion fracture
- Chalkstick fracture
- Greenstick fracture
- Open fracture
- Pathologic fracture
- Spiral fracture
|
|---|
| Head |
- Basilar skull fracture
- Blowout fracture
- Mandibular fracture
- Nasal fracture
- Le Fort fracture of skull
- Zygomaticomaxillary complex fracture
- Zygoma fracture
|
|---|
| Spinal fracture |
- Cervical fracture
- Jefferson fracture
- Hangman's fracture
- Flexion teardrop fracture
- Clay-shoveler fracture
- Burst fracture
- Compression fracture
- Chance fracture
- Holdsworth fracture
|
|---|
| Ribs |
- Rib fracture
- Sternal fracture
|
|---|
| Shoulder fracture | |
|---|
| Arm fracture | | Humerus fracture: |
- Proximal
- Supracondylar
- Holstein–Lewis fracture
|
|---|
| Forearm fracture: |
- Ulna fracture
- Monteggia fracture
- Hume fracture
- Radius fracture/Distal radius
- Galeazzi
- Colles'
- Smith's
- Barton's
- Essex-Lopresti fracture
|
|---|
|
|---|
| Hand fracture |
- Scaphoid
- Rolando
- Bennett's
- Boxer's
- Busch's
|
|---|
| Pelvic fracture |
- Duverney fracture
- Pipkin fracture
|
|---|
| Leg | | Tibia fracture: |
- Bumper fracture
- Segond fracture
- Gosselin fracture
- Toddler's fracture
- Pilon fracture
- Tillaux fracture
|
|---|
| Fibular fracture: |
- Maisonneuve fracture
- Le Fort fracture of ankle
- Bosworth fracture
|
|---|
| Combined tibia and fibula fracture: |
- Trimalleolar fracture
- Bimalleolar fracture
- Pott's fracture
|
|---|
| Crus fracture: | |
|---|
| Femoral fracture: | |
|---|
|
|---|
| Foot fracture |
- Lisfranc
- Jones
- March
- Calcaneal
|
|---|
Medicine |
|---|
Specialties and subspecialties | Surgery |
- Cardiac surgery
- Cardiothoracic surgery
- Colorectal surgery
- Eye surgery
- General surgery
- Neurosurgery
- Oral and maxillofacial surgery
- Orthopedic surgery
- Hand surgery
- Otolaryngology
- Pediatric surgery
- Plastic surgery
- Reproductive surgery
- Surgical oncology
- Thoracic surgery
- Transplant surgery
- Trauma surgery
- Urology
- Vascular surgery
|
Internal medicine |
- Allergy / Immunology
- Angiology
- Cardiology
- Endocrinology
- Gastroenterology
- Geriatrics
- Hematology
- Hospital medicine
- Infectious disease
- Nephrology
- Oncology
- Pulmonology
- Rheumatology
|
Obstetrics and gynaecology |
- Gynaecology
- Gynecologic oncology
- Maternal–fetal medicine
- Obstetrics
- Reproductive endocrinology and infertility
- Urogynecology
|
Diagnostic |
- Radiology
- Interventional radiology
- Nuclear medicine
- Pathology
- Anatomical
- Clinical pathology
- Clinical chemistry
- Clinical immunology
- Cytopathology
- Medical microbiology
- Transfusion medicine
|
Other specialties |
- Addiction medicine
- Adolescent medicine
- Anesthesiology
- Dermatology
- Disaster medicine
- Diving medicine
- Emergency medicine
- Family medicine
- General practice
- Hospital medicine
- Intensive care medicine
- Medical genetics
- Narcology
- Neurology
- Occupational medicine
- Ophthalmology
- Oral medicine
- Pain management
- Palliative care
- Pediatrics
- Physical medicine and rehabilitation
- Preventive medicine
- Psychiatry
- Radiation oncology
- Reproductive medicine
- Sexual medicine
- Sleep medicine
- Sports medicine
- Transplantation medicine
- Tropical medicine
- Venereology
|
|
|---|
| Medical education |
- Medical school
- Bachelor of Medicine, Bachelor of Surgery
- Bachelor of Medical Sciences
- Master of Medicine
- Master of Surgery
- Doctor of Medicine
- Doctor of Osteopathic Medicine
- MD–PhD
|
|---|
| Related topics |
- Alternative medicine
- Allied health
- Dentistry
- Podiatry
- Physiotherapy
- Molecular oncology
- Nanomedicine
- Personalized medicine
- Public health
- Traditional medicine
- Veterinary medicine
- Physician
- History of medicine
|
|---|
Book
Category
Commons
Wikiproject
Portal
Outline
|
 | Original source: https://en.wikipedia.org/wiki/Flexion teardrop fracture. Read more |