Reactive Gastropathy

From Handwiki

Reactive gastropathy
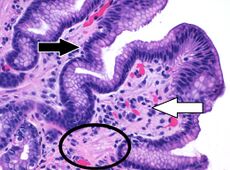
Reactive gastropathy - intermed mag.jpg
Micrograph of a reactive gastropathy. H&E stain.
SpecialtyPathology, gastroenterology

Reactive gastropathy, chemical gastropathy also called gastritis of « C type » or "chemical gastritis"[1] is an abnormality in the stomach caused by chemicals, e.g. bile, alcohol, and characteristically has minimal inflammation.

Cause

Reactive gastropathy has a large number of causes, including:

  • Alcohol use disorder.
  • Bile reflux, such as may be seen post-Billroth II.
  • NSAIDs.

Diagnosis

Reactive gastropathy, is characterized histologically by:[2]
- Foveolar hyperplasia (black arrow), as a tortuosity in the "neck" region of the gastric glands.
- Scant or minimal inflammatory cells (white arrow), i.e. lack of large numbers of neutrophils and plasma cells..
- Smooth muscle hyperplasia in the lamina propria (in black oval).

The diagnosis is by examination of tissue, e.g. a stomach biopsy.

Relation to gastritis

Reactive gastropathy is morphologically distinct entity[3][4] that can be separated from gastritis, which by definition has a significant inflammatory component.

As a reactive gastropathy may mimic a (true) gastritis symptomatically and visually in an endoscopic examination, it may incorrectly be referred to as a gastritis. Even aware of the underlying etiology of the pathologic process, e.g. NSAID use, the label "chemical gastritis" is applied to a chemical gastropathy.

See also

  • Gastritis

References

  1. "Chronic gastritis—a pathogenesis approach". The Journal of Pathology 40 (154): 113–24. 1988. doi:10.1002/path.1711540203. PMID 3280764. 
  2. Genta, RM (Nov 2005). "Differential diagnosis of reactive gastropathy". Seminars in Diagnostic Pathology 22 (4): 273–83. doi:10.1053/j.semdp.2006.04.001. PMID 16939055. 
  3. Pashankar, DS; Bishop, WP; Mitros, FA (Nov 2002). "Chemical gastropathy: a distinct histopathologic entity in children". Journal of Pediatric Gastroenterology and Nutrition 35 (5): 653–7. doi:10.1097/00005176-200211000-00012. PMID 12454581. 
  4. Dixon, MF; O'Connor, HJ; Axon, AT; King, RF; Johnston, D (May 1986). "Reflux gastritis: distinct histopathological entity?". Journal of Clinical Pathology 39 (5): 524–30. doi:10.1136/jcp.39.5.524. PMID 3722405. 

External links

Classification
D
External resources
  • eMedicine: article/1962893
  • Reactive gastropathy - surgical pathology criteria (stanford.edu).



Retrieved from "https://handwiki.org/wiki/index.php?title=Medicine:Reactive_gastropathy&oldid=2929050"

Categories: [Inflammations]


Download as ZWI file | Last modified: 09/25/2023 11:27:49 | 5 views
☰ Source: https://handwiki.org/wiki/Medicine:Reactive_gastropathy | License: CC BY-SA 3.0

ZWI signed:
  Encycloreader by the Knowledge Standards Foundation (KSF) ✓[what is this?]